Rabbit MEK1 Polyclonal Antibody | anti-MEK1 antibody
Phospho-MEK1 (Thr286) Antibody
Phosphate buffered saline, pH 7.4, 150mM NaCl, 0.02% sodium azide and 50% glycerol.
WB (Western Blot)
(Western blot analysis of extracts of A431 cells, using Phospho-MEK1 (Thr286) Antibody.)
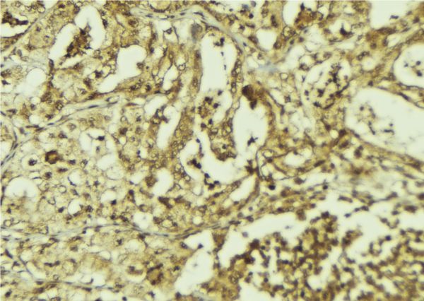
IHC (Immunohistochemistry)
(AAA321348 at 1/100 staining Human breast cancer tissue by IHC-P. The sample was formaldehyde fixed and a heat mediated antigen retrieval step in citrate buffer was performed. The sample was then blocked and incubated with the antibody for 1.5 hours at 22 degree C. An HRP conjugated goat anti-rabbit antibody was used as the secondary.)
Subunit Structure: Found in a complex with at least BRAF, HRAS, MAP2K1, MAPK3/ERK1 and RGS14. Forms a heterodimer with MAP2K2/MEK2. Forms heterodimers with KSR2 which further dimerize to form tetramers. Interacts with ARBB2, LAMTOR3, MAPK1/ERK2, MORG1 and RAF1 (By similarity). Interacts with PPARG and with isoform 1 of VRK2 (PubMed:20679487, PubMed:17101779). Interacts with Yersinia yopJ (PubMed:16728640). Interacts with SGK1 (PubMed:19447520). Interacts with BIRC6/bruce (PubMed:18329369). Interacts with KSR1 (PubMed:10409742). Interacts with KAT7; the interaction promotes KAT7 phosphorylation (By similarity).
Post-translational Modifications: Phosphorylation at Ser-218 and Ser-222 by MAP kinase kinase kinases (RAF or MEKK1) positively regulates kinase activity. Also phosphorylated at Thr-292 by MAPK1/ERK2 and at Ser-298 by PAK. MAPK1/ERK2 phosphorylation of Thr-292 occurs in response to cellular adhesion and leads to inhibition of Ser-298 phosphorylation by PAK. Acetylation by Yersinia yopJ prevents phosphorylation and activation, thus blocking the MAPK signaling pathway.
Similarity: The proline-rich region localized between residues 270 and 307 is important for binding to RAF1 and activation of MAP2K1/MEK1. Belongs to the protein kinase superfamily. STE Ser/Thr protein kinase family. MAP kinase kinase subfamily.
NCBI and Uniprot Product Information
Predicted: 44 kDa
Customer Reviews
Loading reviews...
Share Your Experience
Similar Products
Product Notes
The MEK1 map2k1 (Catalog #AAA321348) is an Antibody produced from Rabbit and is intended for research purposes only. The product is available for immediate purchase. The Phospho-MEK1 (Thr286) Antibody reacts with Human, Mouse, Rat and may cross-react with other species as described in the data sheet. AAA Biotech's MEK1 can be used in a range of immunoassay formats including, but not limited to, IHC (Immunohistochemistry), WB (Western Blot). Researchers should empirically determine the suitability of the MEK1 map2k1 for an application not listed in the data sheet. Researchers commonly develop new applications and it is an integral, important part of the investigative research process. It is sometimes possible for the material contained within the vial of "MEK1, Polyclonal Antibody" to become dispersed throughout the inside of the vial, particularly around the seal of said vial, during shipment and storage. We always suggest centrifuging these vials to consolidate all of the liquid away from the lid and to the bottom of the vial prior to opening. Please be advised that certain products may require dry ice for shipping and that, if this is the case, an additional dry ice fee may also be required.Precautions
All products in the AAA Biotech catalog are strictly for research-use only, and are absolutely not suitable for use in any sort of medical, therapeutic, prophylactic, in-vivo, or diagnostic capacity. By purchasing a product from AAA Biotech, you are explicitly certifying that said products will be properly tested and used in line with industry standard. AAA Biotech and its authorized distribution partners reserve the right to refuse to fulfill any order if we have any indication that a purchaser may be intending to use a product outside of our accepted criteria.Disclaimer
Though we do strive to guarantee the information represented in this datasheet, AAA Biotech cannot be held responsible for any oversights or imprecisions. AAA Biotech reserves the right to adjust any aspect of this datasheet at any time and without notice. It is the responsibility of the customer to inform AAA Biotech of any product performance issues observed or experienced within 30 days of receipt of said product. To see additional details on this or any of our other policies, please see our Terms & Conditions page.Item has been added to Shopping Cart
If you are ready to order, navigate to Shopping Cart and get ready to checkout.
