Rabbit Nono Polyclonal Antibody | anti-Nono antibody
Nono Antibody
Phosphate buffered saline, pH 7.4, 150mM NaCl, 0.02% sodium azide and 50% glycerol.
WB (Western Blot)
(Western blot analysis of Hela whole cell lysates, using Nono Antibody. The lane on the left is treated with the antigen-specific peptide.)
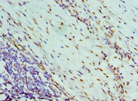
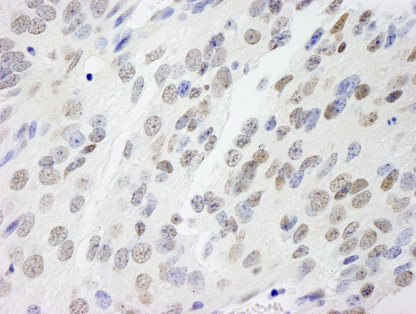
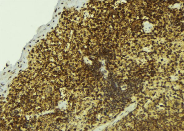
IHC (Immunohistochemistry)
(AAA326957 at 1/100 staining Mouse pancreas tissue by IHC-P. The sample was formaldehyde fixed and a heat mediated antigen retrieval step in citrate buffer was performed. The sample was then blocked and incubated with the antibody for 1.5 hours at 22 degree C. An HRP conjugated goat anti-rabbit antibody was used as the secondary.)
Function: DNA-and RNA binding protein, involved in several nuclear processes. Binds the conventional octamer sequence in double-stranded DNA. Also binds single-stranded DNA and RNA at a site independent of the duplex site. Involved in pre-mRNA splicing, probably as a heterodimer with SFPQ. Interacts with U5 snRNA, probably by binding to a purine-rich sequence located on the 3' side of U5 snRNA stem 1b. Together with PSPC1, required for the formation of nuclear paraspeckles. The SFPQ-NONO heteromer associated with MATR3 may play a role in nuclear retention of defective RNAs. The SFPQ-NONO heteromer may be involved in DNA unwinding by modulating the function of topoisomerase I/TOP1. The SFPQ-NONO heteromer may be involved in DNA non-homologous end joining (NHEJ) required for double-strand break repair and V(D)J recombination and may stabilize paired DNA ends. In vitro, the complex strongly stimulates DNA end joining, binds directly to the DNA substrates and cooperates with the Ku70/G22P1-Ku80/XRCC5 (Ku) dimer to establish a functional preligation complex. NONO is involved in transcriptional regulation. The SFPQ-NONO-NR5A1 complex binds to the CYP17 promoter and regulates basal and cAMP-dependent transcriptional activity. NONO binds to an enhancer element in long terminal repeats of endogenous intracisternal A particles (IAPs) and activates transcription. Regulates the circadian clock by repressing the transcriptional activator activity of the CLOCK-ARNTL/BMAL1 heterodimer. Important for the functional organization of GABAergic synapses. Plays a specific and important role in the regulation of synaptic RNAs and GPHN/gephyrin scaffold structure, through the regulation of GABRA2 transcript. Plays a role in the regulation of DNA virus-mediated innate immune response by assembling into the HDP-RNP complex, a complex that serves as a platform for IRF3 phosphorylation and subsequent innate immune response activation through the cGAS-STING pathway (PubMed:28712728).
Subunit Structure: Interacts with CPNE4 (via VWFA domain) (By similarity). Monomer and component of the SFPQ-NONO complex, which is probably a heterotetramer of two 52 kDa (NONO) and two 100 kDa (SFPQ) subunits. NONO is a component of spliceosome and U5.4/6 snRNP complexes. Forms heterodimers with PSPC1; this involves formation of a coiled coil domain by helices from both proteins. Interacts with PSPC1 and SNRPA/U1A. Part of complex consisting of SFPQ, NONO and MATR3. Part of a complex consisting of SFPQ, NONO and NR5A1. Part of a complex consisting of SFPQ, NONO and TOP1. Interacts with SPI1. Interacts with RNF43. Interacts with PER1 and PER2. Part of the HDP-RNP complex composed of at least HEXIM1, PRKDC, XRCC5, XRCC6, paraspeckle proteins (SFPQ, NONO, PSPC1, RBM14, and MATR3) and NEAT1 RNA (PubMed:28712728).
Post-translational Modifications: The N-terminus is blocked.
NCBI and Uniprot Product Information
Predicted: 55 kDa
Customer Reviews
Loading reviews...
Share Your Experience
Similar Products
Product Notes
The Nono nono (Catalog #AAA326957) is an Antibody produced from Rabbit and is intended for research purposes only. The product is available for immediate purchase. The Nono Antibody reacts with Human, Mouse, Rat and may cross-react with other species as described in the data sheet. AAA Biotech's Nono can be used in a range of immunoassay formats including, but not limited to, ELISA, IHC (Immunohistochemistry), WB (Western Blot). Researchers should empirically determine the suitability of the Nono nono for an application not listed in the data sheet. Researchers commonly develop new applications and it is an integral, important part of the investigative research process. It is sometimes possible for the material contained within the vial of "Nono, Polyclonal Antibody" to become dispersed throughout the inside of the vial, particularly around the seal of said vial, during shipment and storage. We always suggest centrifuging these vials to consolidate all of the liquid away from the lid and to the bottom of the vial prior to opening. Please be advised that certain products may require dry ice for shipping and that, if this is the case, an additional dry ice fee may also be required.Precautions
All products in the AAA Biotech catalog are strictly for research-use only, and are absolutely not suitable for use in any sort of medical, therapeutic, prophylactic, in-vivo, or diagnostic capacity. By purchasing a product from AAA Biotech, you are explicitly certifying that said products will be properly tested and used in line with industry standard. AAA Biotech and its authorized distribution partners reserve the right to refuse to fulfill any order if we have any indication that a purchaser may be intending to use a product outside of our accepted criteria.Disclaimer
Though we do strive to guarantee the information represented in this datasheet, AAA Biotech cannot be held responsible for any oversights or imprecisions. AAA Biotech reserves the right to adjust any aspect of this datasheet at any time and without notice. It is the responsibility of the customer to inform AAA Biotech of any product performance issues observed or experienced within 30 days of receipt of said product. To see additional details on this or any of our other policies, please see our Terms & Conditions page.Item has been added to Shopping Cart
If you are ready to order, navigate to Shopping Cart and get ready to checkout.
