Rabbit p95/NBS1 Polyclonal Antibody | anti-p95/NBS1 antibody
Phospho-p95/NBS1 (Ser432) Antibody
Predicted: Pig, Bovine, Horse, Sheep, Dog
Predicted: Pig, Bovine, Horse, Sheep, Dog
WB (Western Blot)
(Western blot analysis of Phospho-p95/NBS1 (Ser432) in lysates of HuvEc Forskolin 40nM 30', using Phospho-p95/NBS1 (Ser432) Antibody.)
IHC (Immunohistochemisry)
(At 1/100 staining mouse brain tissue sections by IHC-P. The tissue was formaldehyde fixed and a heat mediated antigen retrieval step in citrate buffer was performed. The tissue was then blocked and incubated with the antibody for 1.5 hours at 22 degree C. An HRP conjugated goat anti-rabbit antibody was used as the secondary)
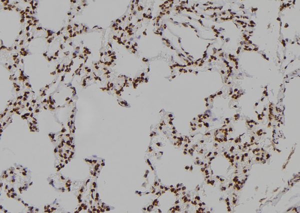
IHC (Immunohiostchemistry)
(At 1/100 staining rat lung tissue sections by IHC-P. The tissue was formaldehyde fixed and a heat mediated antigen retrieval step in citrate buffer was performed. The tissue was then blocked and incubated with the antibody for 1.5 hours at 22 degree C. An HRP conjugated goat anti-rabbit antibody was used as the secondary)
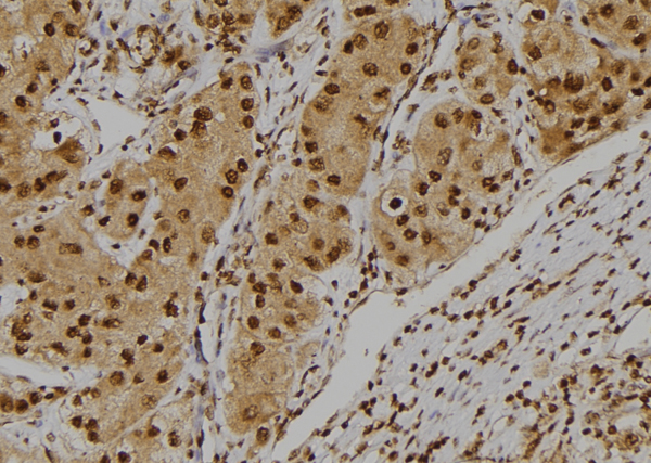
IHC (Immunohistochemistry)
(At 1/100 staining human kidney tissue sections by IHC-P. The tissue was formaldehyde fixed and a heat mediated antigen retrieval step in citrate buffer was performed. The tissue was then blocked and incubated with the antibody for 1.5 hours at 22 degree C. An HRP conjugated goat anti-rabbit antibody was used as the secondary)
Post Translational Modifications: Phosphorylated by ATM in response of ionizing radiation, and such phosphorylation is responsible intra-S phase checkpoint control and telomere maintenance.
Subunit Structure: Component of the MRN complex composed of two heterodimers RAD50/MRE11 associated with a single NBN (PubMed:9590181, PubMed:9705271, PubMed:11238951). Component of the BASC complex, at least composed of BRCA1, MSH2, MSH6, MLH1, ATM, BLM, RAD50, MRE11 and NBN (PubMed:10783165). Interacts with histone H2AFX this requires phosphorylation of H2AFX on 'Ser-139' (PubMed:12419185). Interacts with HJURP (PubMed:17823411). Interacts with INTS3 (PubMed:19683501). Interacts with KPNA2 (PubMed:16188882). Interacts with TERF2 (PubMed:10888888). Interacts with RBBP8; the interaction links the role of the MRN complex in DNA double-strand break sensing to resection (PubMed:19759395). Interacts with SP100; recruits NBN to PML bodies (PubMed:12470659). Interacts with ATF2 (PubMed:15916964). Interacts with MTOR, MAPKAP1 isoform 2 and RICTOR; indicative for an association with the mTORC2 complex (PubMed:23762398). Interacts with MRNIP (PubMed:27568553).
Similarity: The FHA and BRCT domains are likely to have a crucial role for both binding to histone H2AFX and for relocalization of MRE11/RAD50 complex to the vicinity of DNA damage. The C-terminal domain contains a MRE11-binding site, and this interaction is required for the nuclear localization of the MRN complex. The EEXXXDDL motif at the C-terminus is required for the interaction with ATM and its recruitment to sites of DNA damage and promote the phosphorylation of ATM substrates, leading to the events of DNA damage response.
NCBI and Uniprot Product Information
Predicted: 85 kDa
Customer Reviews
Loading reviews...
Share Your Experience
Similar Products
Product Notes
The p95/NBS1 nbn (Catalog #AAA328314) is an Antibody produced from Rabbit and is intended for research purposes only. The product is available for immediate purchase. The Phospho-p95/NBS1 (Ser432) Antibody reacts with Human, Mouse, Rat Predicted: Pig, Bovine, Horse, Sheep, Dog and may cross-react with other species as described in the data sheet. AAA Biotech's p95/NBS1 can be used in a range of immunoassay formats including, but not limited to, ELISA (Peptide ELISA), IHC (Immunohistochemistry), WB (Western Blot). Researchers should empirically determine the suitability of the p95/NBS1 nbn for an application not listed in the data sheet. Researchers commonly develop new applications and it is an integral, important part of the investigative research process. It is sometimes possible for the material contained within the vial of "p95/NBS1, Polyclonal Antibody" to become dispersed throughout the inside of the vial, particularly around the seal of said vial, during shipment and storage. We always suggest centrifuging these vials to consolidate all of the liquid away from the lid and to the bottom of the vial prior to opening. Please be advised that certain products may require dry ice for shipping and that, if this is the case, an additional dry ice fee may also be required.Precautions
All products in the AAA Biotech catalog are strictly for research-use only, and are absolutely not suitable for use in any sort of medical, therapeutic, prophylactic, in-vivo, or diagnostic capacity. By purchasing a product from AAA Biotech, you are explicitly certifying that said products will be properly tested and used in line with industry standard. AAA Biotech and its authorized distribution partners reserve the right to refuse to fulfill any order if we have any indication that a purchaser may be intending to use a product outside of our accepted criteria.Disclaimer
Though we do strive to guarantee the information represented in this datasheet, AAA Biotech cannot be held responsible for any oversights or imprecisions. AAA Biotech reserves the right to adjust any aspect of this datasheet at any time and without notice. It is the responsibility of the customer to inform AAA Biotech of any product performance issues observed or experienced within 30 days of receipt of said product. To see additional details on this or any of our other policies, please see our Terms & Conditions page.Item has been added to Shopping Cart
If you are ready to order, navigate to Shopping Cart and get ready to checkout.
