Rabbit PDCD1 Polyclonal Antibody | anti-PDCD1 antibody
PDCD1 Polyclonal Antibody
Gene Names
PDCD1; PD1; PD-1; CD279; SLEB2; hPD-1; hPD-l; hSLE1
Reactivity
Human, Mouse, Rat
Applications
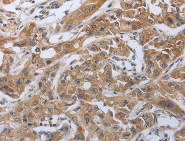
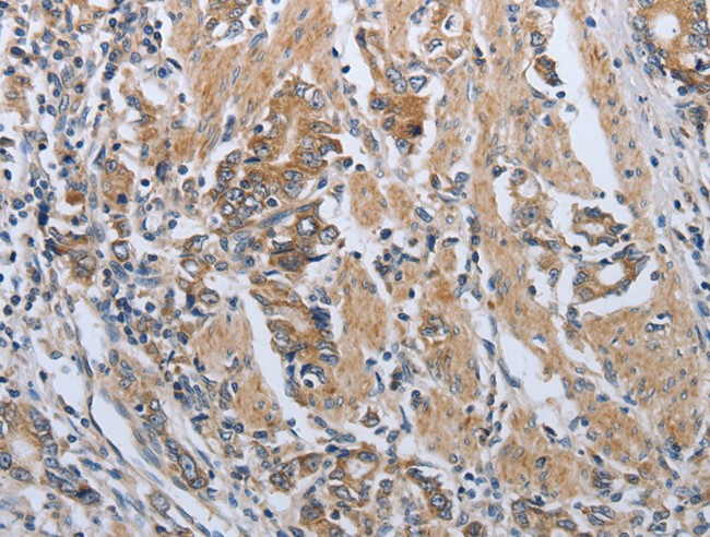
Immunohistochemistry, ELISA
Purity
Antigen affinity purification
Synonyms
PDCD1, Antibody; PDCD1 Polyclonal Antibody; PD1, PD-1, CD279, SLEB2, hPD-1, hPD-l; anti-PDCD1 antibody
Host
Rabbit
Reactivity
Human, Mouse, Rat
Clonality
Polyclonal
Isotype
IgG
Purity/Purification
Antigen affinity purification
Concentration
1.6mg/mL (varies by lot)
Sequence Length
288
Applicable Applications for anti-PDCD1 antibody
IHC (Immunohistochemistry), ELISA
Immunogen
Synthetic peptide of human PDCD1
Buffer
PBS with 0.05% sodium azide, 50% glycerol, pH7.3
Preparation and Storage
Store at -20 degree C (regular) and -80 degree C (long term). Avoid freeze / thaw cycles.
Related Product Information for anti-PDCD1 antibody
This gene encodes a cell surface membrane protein of the immunoglobulin superfamily. This protein is expressed in pro-B-cells and is thought to play a role in their differentiation. In mice, expression of this gene is induced in the thymus when anti-CD3 antibodies are injected and large numbers of thymocytes undergo apoptosis. Mice deficient for this gene bred on a BALB/c background developed dilated cardiomyopathy and died from congestive heart failure. These studies suggest that this gene product may also be important in T cell function and contribute to the prevention of autoimmune diseases.
Product Categories/Family for anti-PDCD1 antibody
NCBI and Uniprot Product Information
NCBI GI #
NCBI GeneID
NCBI Accession #
NCBI GenBank Nucleotide #
Molecular Weight
31,647 Da
NCBI Official Full Name
programmed cell death protein 1
NCBI Official Synonym Full Names
programmed cell death 1
NCBI Official Symbol
PDCD1
NCBI Official Synonym Symbols
PD1; PD-1; CD279; SLEB2; hPD-1; hPD-l; hSLE1
NCBI Protein Information
programmed cell death protein 1; protein PD-1; systemic lupus erythematosus susceptibility 2
UniProt Protein Name
Programmed cell death protein 1
UniProt Gene Name
PDCD1
UniProt Synonym Gene Names
PD1; Protein PD-1; hPD-1
UniProt Entry Name
PDCD1_HUMAN
Customer Reviews
Loading reviews...
Share Your Experience
Similar Products
Product Notes
The PDCD1 pdcd1 (Catalog #AAA168310) is an Antibody produced from Rabbit and is intended for research purposes only. The product is available for immediate purchase. The PDCD1 Polyclonal Antibody reacts with Human, Mouse, Rat and may cross-react with other species as described in the data sheet. AAA Biotech's PDCD1 can be used in a range of immunoassay formats including, but not limited to, IHC (Immunohistochemistry), ELISA. Researchers should empirically determine the suitability of the PDCD1 pdcd1 for an application not listed in the data sheet. Researchers commonly develop new applications and it is an integral, important part of the investigative research process. It is sometimes possible for the material contained within the vial of "PDCD1, Polyclonal Antibody" to become dispersed throughout the inside of the vial, particularly around the seal of said vial, during shipment and storage. We always suggest centrifuging these vials to consolidate all of the liquid away from the lid and to the bottom of the vial prior to opening. Please be advised that certain products may require dry ice for shipping and that, if this is the case, an additional dry ice fee may also be required.Precautions
All products in the AAA Biotech catalog are strictly for research-use only, and are absolutely not suitable for use in any sort of medical, therapeutic, prophylactic, in-vivo, or diagnostic capacity. By purchasing a product from AAA Biotech, you are explicitly certifying that said products will be properly tested and used in line with industry standard. AAA Biotech and its authorized distribution partners reserve the right to refuse to fulfill any order if we have any indication that a purchaser may be intending to use a product outside of our accepted criteria.Disclaimer
Though we do strive to guarantee the information represented in this datasheet, AAA Biotech cannot be held responsible for any oversights or imprecisions. AAA Biotech reserves the right to adjust any aspect of this datasheet at any time and without notice. It is the responsibility of the customer to inform AAA Biotech of any product performance issues observed or experienced within 30 days of receipt of said product. To see additional details on this or any of our other policies, please see our Terms & Conditions page.Item has been added to Shopping Cart
If you are ready to order, navigate to Shopping Cart and get ready to checkout.
