Loading...

Skip to main content
Call us at +1-800-604-9114 for more information about our products or contact us online Need help? +1-800-604-9114 or contact us

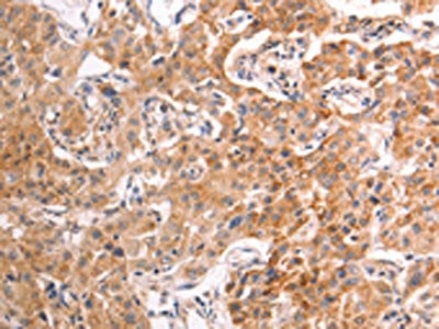
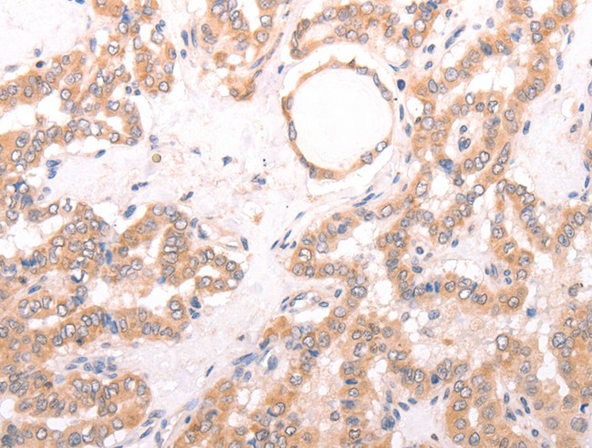
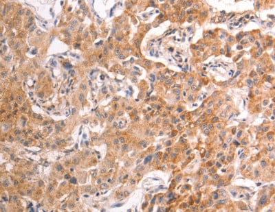
Rabbit Phospho-TRPV4 (Ser824) Polyclonal Antibody | anti-TRPV4 antibody

Phospho-TRPV4 (Ser824) Antibody

Average rating 0.0
No ratings yet
Reactivity
Human, Mouse, Rat
Purity
The antibody is from purified rabbit serum by affinity purification via sequential chromatography on phospho-peptide and non-phospho-peptide affinity columns.
Synonyms
Phospho-TRPV4 (Ser824), Antibody; Phospho-TRPV4 (Ser824) Antibody; BCYM3; CMT2C; HMSN2C; osm 9 like TRP channel 4; Osm-9-like TRP channel 4; OSM9 like transient receptor potential channel 4; Osmosensitive transient receptor potential channel 4; OTRPC 4; OTRPC4; SMAL; SPSMA; SSQTL1; Transient receptor potential cation channel subfamily V member 4; Transient receptor potential protein 12; TRP 12; TRP12; TRPV 4; TrpV4; TRPV4_HUMAN; Vanilloid receptor like channel 2; Vanilloid receptor like protein 2; Vanilloid receptor related osmotically activated channel; Vanilloid receptor-like channel 2; Vanilloid receptor-like protein 2; Vanilloid receptor-related osmotically-activated channel; VR 4; VR OAC; VR-OAC; VR4; VRL 2; VRL-2; VRL2; VROAC; anti-TRPV4 antibody
Ordering
Host
Rabbit
Reactivity
Human, Mouse, Rat
Clonality
Polyclonal
Purity/Purification
The antibody is from purified rabbit serum by affinity purification via sequential chromatography on phospho-peptide and non-phospho-peptide affinity columns.
Form/Format
Rabbit IgG in phosphate buffered saline , pH 7.4, 150mM NaCl, 0.02% sodium azide and 50% glycerol.
Concentration
~1 mg/ml (varies by lot)
Immunogen
A synthesized peptide derived from human TRPV4(Accession Q9HBA0), corresponding to amino acid residues around Ser824.
Preparation and Storage
Store at -20 degree C. Stable for 12 months from date of receipt.

NCBI and Uniprot Product Information

NCBI GeneID
UniProt Accession #
Molecular Weight
98 kDa

Customer Reviews

View All Reviews

Loading reviews...

Share Your Experience

Rating

Similar Products

Product Notes

The TRPV4 (Catalog #AAA330112) is an Antibody produced from Rabbit and is intended for research purposes only. The product is available for immediate purchase. The Phospho-TRPV4 (Ser824) Antibody reacts with Human, Mouse, Rat and may cross-react with other species as described in the data sheet. It is sometimes possible for the material contained within the vial of "Phospho-TRPV4 (Ser824), Polyclonal Antibody" to become dispersed throughout the inside of the vial, particularly around the seal of said vial, during shipment and storage. We always suggest centrifuging these vials to consolidate all of the liquid away from the lid and to the bottom of the vial prior to opening. Please be advised that certain products may require dry ice for shipping and that, if this is the case, an additional dry ice fee may also be required.

Precautions

All products in the AAA Biotech catalog are strictly for research-use only, and are absolutely not suitable for use in any sort of medical, therapeutic, prophylactic, in-vivo, or diagnostic capacity. By purchasing a product from AAA Biotech, you are explicitly certifying that said products will be properly tested and used in line with industry standard. AAA Biotech and its authorized distribution partners reserve the right to refuse to fulfill any order if we have any indication that a purchaser may be intending to use a product outside of our accepted criteria.

Disclaimer

Though we do strive to guarantee the information represented in this datasheet, AAA Biotech cannot be held responsible for any oversights or imprecisions. AAA Biotech reserves the right to adjust any aspect of this datasheet at any time and without notice. It is the responsibility of the customer to inform AAA Biotech of any product performance issues observed or experienced within 30 days of receipt of said product. To see additional details on this or any of our other policies, please see our Terms & Conditions page.

Item has been added to Shopping Cart

If you are ready to order, navigate to Shopping Cart and get ready to checkout.

Submit a Question

Please complete the form below and a representative will contact you as soon as possible.

Request more Information

Please complete the form below and a representative will contact you as soon as possible.

Request a Manual

Please complete the form below and a representative will contact you as soon as possible.

Request a Quote

Please complete the form below and a representative will contact you as soon as possible.