RUNX3 Polyclonal Antibody | anti-RUNX3 antibody
Anti-RUNX3 Antibody
IHC (Immunohistochemistry)
(Anti- RUNX3 Picoband antibody, AAA46495, IHC(P)IHC(P): Human Lung Cancer Tissue)
IHC (Immunohistochemistry)
(Anti- RUNX3 Picoband antibody, AAA46495, IHC(P)IHC(P): Human Intestinal Cancer Tissue)
IHC (Immunohistochemisry)
(Anti- RUNX3 Picoband antibody, AAA46495, IHC(P)IHC(P): Rat Spleen Tissue)
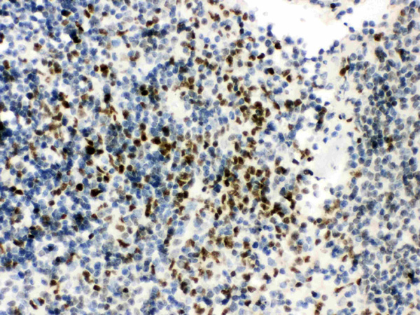
IHC (Immunohiostchemistry)
(Anti- RUNX3 Picoband antibody, AAA46495, IHC(P)IHC(P): Mouse Spleen Tissue)
WB (Western Blot)
(Anti- RUNX3 Picoband antibody, AAA46495, Western blottingAll lanes: Anti RUNX3 (AAA46495) at 0.5ug/mlLane 1: A431 Whole Cell Lysate at 40ugLane 2: U20S Whole Cell Lysate at 40ugPredicted bind size: 44KDObserved bind size: 44KD)
Background: Runt-related transcription factor 3, also called AML2 is a protein that in humans is encoded by the RUNX3 gene. The RUNX3 gene encodes a Runt-related transcription factor, which is part of the RUNX gene family. By fluorescence in situ hybridization, RUNX3 was assigned to human chromosome 1p36.11. RUNX3 binds to the core site of murine Leukemia virus, the core sequences in the enhancer of the polyomavirus, and also to the enhancers of the T-cell receptor genes. It may be involved in the control of cellular proliferation and/or differentiation.
NCBI and Uniprot Product Information
Customer Reviews
Loading reviews...
Share Your Experience
Similar Products
Product Notes
The RUNX3 runx3 (Catalog #AAA46495) is an Antibody and is intended for research purposes only. The product is available for immediate purchase. The Anti-RUNX3 Antibody reacts with Human, Mouse, Rat and may cross-react with other species as described in the data sheet. AAA Biotech's RUNX3 can be used in a range of immunoassay formats including, but not limited to, IHC (Immunohistochemistry), WB (Western Blot). Researchers should empirically determine the suitability of the RUNX3 runx3 for an application not listed in the data sheet. Researchers commonly develop new applications and it is an integral, important part of the investigative research process. It is sometimes possible for the material contained within the vial of "RUNX3, Polyclonal Antibody" to become dispersed throughout the inside of the vial, particularly around the seal of said vial, during shipment and storage. We always suggest centrifuging these vials to consolidate all of the liquid away from the lid and to the bottom of the vial prior to opening. Please be advised that certain products may require dry ice for shipping and that, if this is the case, an additional dry ice fee may also be required.Precautions
All products in the AAA Biotech catalog are strictly for research-use only, and are absolutely not suitable for use in any sort of medical, therapeutic, prophylactic, in-vivo, or diagnostic capacity. By purchasing a product from AAA Biotech, you are explicitly certifying that said products will be properly tested and used in line with industry standard. AAA Biotech and its authorized distribution partners reserve the right to refuse to fulfill any order if we have any indication that a purchaser may be intending to use a product outside of our accepted criteria.Disclaimer
Though we do strive to guarantee the information represented in this datasheet, AAA Biotech cannot be held responsible for any oversights or imprecisions. AAA Biotech reserves the right to adjust any aspect of this datasheet at any time and without notice. It is the responsibility of the customer to inform AAA Biotech of any product performance issues observed or experienced within 30 days of receipt of said product. To see additional details on this or any of our other policies, please see our Terms & Conditions page.Item has been added to Shopping Cart
If you are ready to order, navigate to Shopping Cart and get ready to checkout.
