Rabbit SERCA1 ATPase Polyclonal Antibody | anti-ATP2A1 antibody
Anti-SERCA1 ATPase antibody
IHC (Immunohistochemisry)
(Anti-SERCA1 ATPase antibody, AAA45076, IHC(P)IHC(P): Rat Skeletal Muscle Tissue)
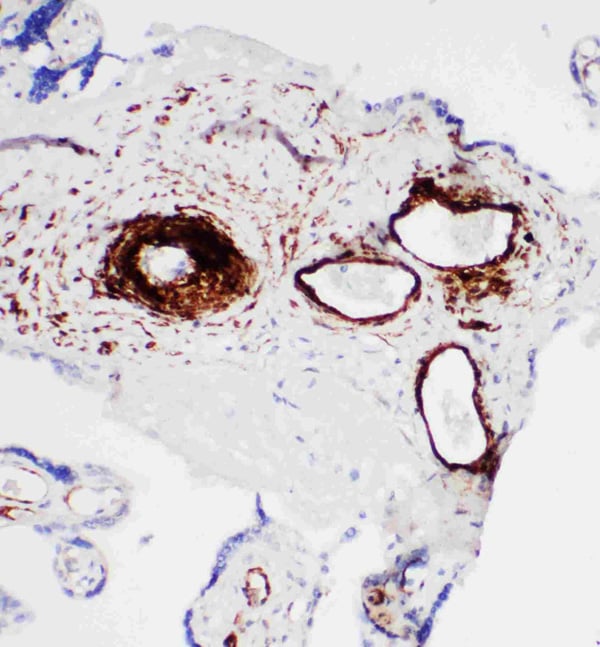
IHC (Immunohiostchemistry)
(Anti-SERCA1 ATPase antibody, AAA45076, IHC(P)IHC(P): Human Placenta Tissue)
WB (Western Blot)
(Anti-SERCA1 ATPase antibody, AAA45076, Western blottingLane 1: Rat Skeletal Muscle Tissue LysateLane 2: PANC Cell LysateLane 3: U87 Cell Lysate)
Background: SERCA1(SARCOPLASMIC RETICULUM Ca(2+)-ATPase 1), also called ATP2A1, is an enzyme that in humans is encoded by the ATP2A1 gene. This gene encodes one of the SERCA Ca(2+)-ATPases, which are intracellular pumps located in the sarcoplasmic or endoplasmic reticula of muscle cells. The SERCA1 gene is mapped on 16p11.2. This enzyme catalyzes the hydrolysis of ATP coupled with the translocation of calcium from the cytosol to the sarcoplasmic reticulum lumen, and is involved in muscular excitation and contraction. Zhang et al.(1995)determined that the human ATP2A1 gene is 26 kb long and contains 23 exons, 1 of which can be alternatively spliced.Overexpression of S1T, but not full-length SERCA1, induced ER stress in HeLa cells and amplified ER stress through the PERK(EIF2AK3)-EIF2A -ATF4 -CHOP(DDIT3) pathway. Mutations in this gene cause some autosomal recessive forms of Brody disease, characterized by increasing impairment of muscular relaxation during exercise.
NCBI and Uniprot Product Information
Customer Reviews
Loading reviews...
Share Your Experience
Similar Products
Product Notes
The ATP2A1 atp2a1 (Catalog #AAA45076) is an Antibody produced from Rabbit and is intended for research purposes only. The product is available for immediate purchase. The Anti-SERCA1 ATPase antibody reacts with Human, Mouse, Rat and may cross-react with other species as described in the data sheet. AAA Biotech's SERCA1 ATPase can be used in a range of immunoassay formats including, but not limited to, IHC (Immunohistochemistry), WB (Western Blot). Researchers should empirically determine the suitability of the ATP2A1 atp2a1 for an application not listed in the data sheet. Researchers commonly develop new applications and it is an integral, important part of the investigative research process. It is sometimes possible for the material contained within the vial of "SERCA1 ATPase, Polyclonal Antibody" to become dispersed throughout the inside of the vial, particularly around the seal of said vial, during shipment and storage. We always suggest centrifuging these vials to consolidate all of the liquid away from the lid and to the bottom of the vial prior to opening. Please be advised that certain products may require dry ice for shipping and that, if this is the case, an additional dry ice fee may also be required.Precautions
All products in the AAA Biotech catalog are strictly for research-use only, and are absolutely not suitable for use in any sort of medical, therapeutic, prophylactic, in-vivo, or diagnostic capacity. By purchasing a product from AAA Biotech, you are explicitly certifying that said products will be properly tested and used in line with industry standard. AAA Biotech and its authorized distribution partners reserve the right to refuse to fulfill any order if we have any indication that a purchaser may be intending to use a product outside of our accepted criteria.Disclaimer
Though we do strive to guarantee the information represented in this datasheet, AAA Biotech cannot be held responsible for any oversights or imprecisions. AAA Biotech reserves the right to adjust any aspect of this datasheet at any time and without notice. It is the responsibility of the customer to inform AAA Biotech of any product performance issues observed or experienced within 30 days of receipt of said product. To see additional details on this or any of our other policies, please see our Terms & Conditions page.Item has been added to Shopping Cart
If you are ready to order, navigate to Shopping Cart and get ready to checkout.
