Rabbit anti-Human, Mouse SERTAD3 Polyclonal Antibody | anti-SERTAD3 antibody
SERTAD3 Antibody
Gene Names
SERTAD3; RBT1
Reactivity
Human, Mouse
Applications
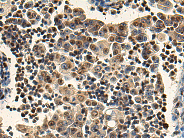
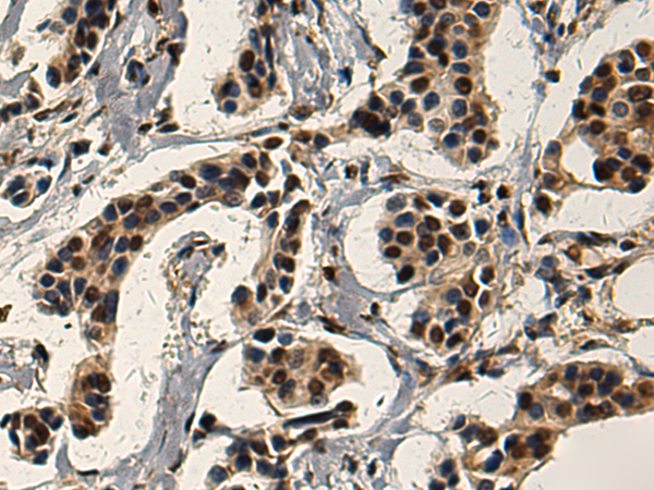
Immunohistochemistry
Purity
Antigen affinity purification
Synonyms
SERTAD3, Antibody; SERTAD3 Antibody; RBT1; anti-SERTAD3 antibody
Host
Rabbit
Reactivity
Human, Mouse
Clonality
Polyclonal
Purity/Purification
Antigen affinity purification
Form/Format
pH7.4 PBS, 0.05% NaN3, 40% Glycerol
Concentration
1.6mg/mL (varies by lot)
Applicable Applications for anti-SERTAD3 antibody
IHC (Immunohistochemistry)
Immunogen
Fusion protein of human SERTAD3
Conjugation
Unconjugated
Preparation and Storage
Store at -20 degree C for 1 year.
Related Product Information for anti-SERTAD3 antibody
The protein encoded by this gene was identified in a yeast two-hybrid assay employing the second subunit of human replication protein A as bait. It is localized to the nucleus and its expression is significantly higher in cancer cell lines compared to normal cell lines. This protein has also been shown to be a strong transcriptional co-activator. Alternative splicing has been observed at this locus and two variants, both encoding the same protein, have been identified.
Product Categories/Family for anti-SERTAD3 antibody
NCBI and Uniprot Product Information
NCBI GI #
NCBI GeneID
Molecular Weight
21,769 Da
NCBI Official Full Name
Homo sapiens SERTA domain containing 3, mRNA
NCBI Official Synonym Full Names
SERTA domain containing 3
NCBI Official Symbol
SERTAD3
NCBI Official Synonym Symbols
RBT1
NCBI Protein Information
SERTA domain-containing protein 3
UniProt Protein Name
Retinal dehydrogenase 1
UniProt Gene Name
ALDH1A1
UniProt Synonym Gene Names
ALDC; ALDH1; PUMB1; RALDH 1; RalDH1
UniProt Entry Name
AL1A1_HUMAN
Customer Reviews
Loading reviews...
Share Your Experience
Similar Products
Product Notes
The SERTAD3 aldh1a1 (Catalog #AAA311724) is an Antibody produced from Rabbit and is intended for research purposes only. The product is available for immediate purchase. The SERTAD3 Antibody reacts with Human, Mouse and may cross-react with other species as described in the data sheet. AAA Biotech's SERTAD3 can be used in a range of immunoassay formats including, but not limited to, IHC (Immunohistochemistry). Researchers should empirically determine the suitability of the SERTAD3 aldh1a1 for an application not listed in the data sheet. Researchers commonly develop new applications and it is an integral, important part of the investigative research process. It is sometimes possible for the material contained within the vial of "SERTAD3, Polyclonal Antibody" to become dispersed throughout the inside of the vial, particularly around the seal of said vial, during shipment and storage. We always suggest centrifuging these vials to consolidate all of the liquid away from the lid and to the bottom of the vial prior to opening. Please be advised that certain products may require dry ice for shipping and that, if this is the case, an additional dry ice fee may also be required.Precautions
All products in the AAA Biotech catalog are strictly for research-use only, and are absolutely not suitable for use in any sort of medical, therapeutic, prophylactic, in-vivo, or diagnostic capacity. By purchasing a product from AAA Biotech, you are explicitly certifying that said products will be properly tested and used in line with industry standard. AAA Biotech and its authorized distribution partners reserve the right to refuse to fulfill any order if we have any indication that a purchaser may be intending to use a product outside of our accepted criteria.Disclaimer
Though we do strive to guarantee the information represented in this datasheet, AAA Biotech cannot be held responsible for any oversights or imprecisions. AAA Biotech reserves the right to adjust any aspect of this datasheet at any time and without notice. It is the responsibility of the customer to inform AAA Biotech of any product performance issues observed or experienced within 30 days of receipt of said product. To see additional details on this or any of our other policies, please see our Terms & Conditions page.Item has been added to Shopping Cart
If you are ready to order, navigate to Shopping Cart and get ready to checkout.
