Rabbit anti-Human SLC52A1 Polyclonal Antibody | anti-SLC52A1 antibody
SLC52A1 Antibody
Gene Names
SLC52A1; PAR2; RFT1; RBFVD; RFVT1; hRFT1; GPCR42; GPR172B
Reactivity
Human
Applications
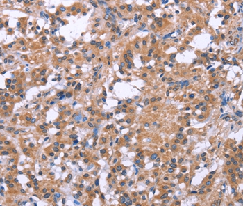
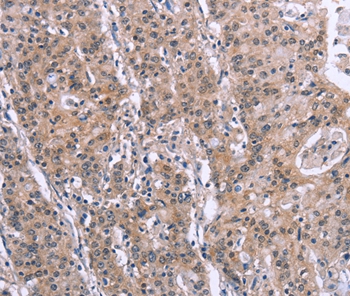
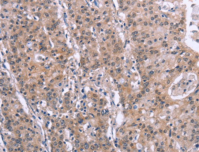
Immunohistochemistry
Purity
Antigen affinity purification.
Synonyms
SLC52A1, Antibody; SLC52A1 Antibody; PAR2; RFT1; RBFVD; RFVT1; hRFT1; GPCR42; GPR172B; anti-SLC52A1 antibody
Host
Rabbit
Reactivity
Human
Clonality
Polyclonal
Specificity
The antibody detects endogenous levels of total SLC52A1 protein.
Purity/Purification
Antigen affinity purification.
Form/Format
Rabbit IgG in pH7.3 PBS, 0.05% NaN3, 50% Glycerol.
Concentration
2.8 mg/ml (varies by lot)
Sequence Length
448
Applicable Applications for anti-SLC52A1 antibody
IHC (Immunohistochemistry)
Immunogen Type
Peptide
Immunogen Description
Synthetic peptide corresponding to a region derived from internal residues of human solute carrier family 52 (riboflavin transporter), member 1
Target Name
SLC52A1
Preparation and Storage
Store at -20 degree C
Related Product Information for anti-SLC52A1 antibody
Biological redox reactions require electron donors and acceptor. Vitamin B2 is the source for the flavin in flavin adenine dinucleotide (FAD) and flavin mononucleotide (FMN) which are common redox reagents. This gene encodes a member of the riboflavin (vitamin B2) transporter family. Haploinsufficiency of this protein can cause maternal riboflavin deficiency. Multiple alternatively spliced variants, encoding the same protein, have been identified.
Product Categories/Family for anti-SLC52A1 antibody
NCBI and Uniprot Product Information
NCBI GI #
NCBI GeneID
NCBI Accession #
NCBI GenBank Nucleotide #
Molecular Weight
16,360 Da
NCBI Official Full Name
solute carrier family 52, riboflavin transporter, member 1
NCBI Official Synonym Full Names
solute carrier family 52 (riboflavin transporter), member 1
NCBI Official Symbol
SLC52A1
NCBI Official Synonym Symbols
PAR2; RFT1; RBFVD; RFVT1; hRFT1; GPCR42; GPR172B
NCBI Protein Information
solute carrier family 52, riboflavin transporter, member 1
UniProt Protein Name
Solute carrier family 52, riboflavin transporter, member 1
UniProt Gene Name
SLC52A1
UniProt Synonym Gene Names
GPR172B; PAR2; RFT1; PERV-A receptor 2; hRFT1
UniProt Entry Name
S52A1_HUMAN
Customer Reviews
Loading reviews...
Share Your Experience
Similar Products
Product Notes
The SLC52A1 slc52a1 (Catalog #AAA303118) is an Antibody produced from Rabbit and is intended for research purposes only. The product is available for immediate purchase. The SLC52A1 Antibody reacts with Human and may cross-react with other species as described in the data sheet. AAA Biotech's SLC52A1 can be used in a range of immunoassay formats including, but not limited to, IHC (Immunohistochemistry). Researchers should empirically determine the suitability of the SLC52A1 slc52a1 for an application not listed in the data sheet. Researchers commonly develop new applications and it is an integral, important part of the investigative research process. It is sometimes possible for the material contained within the vial of "SLC52A1, Polyclonal Antibody" to become dispersed throughout the inside of the vial, particularly around the seal of said vial, during shipment and storage. We always suggest centrifuging these vials to consolidate all of the liquid away from the lid and to the bottom of the vial prior to opening. Please be advised that certain products may require dry ice for shipping and that, if this is the case, an additional dry ice fee may also be required.Precautions
All products in the AAA Biotech catalog are strictly for research-use only, and are absolutely not suitable for use in any sort of medical, therapeutic, prophylactic, in-vivo, or diagnostic capacity. By purchasing a product from AAA Biotech, you are explicitly certifying that said products will be properly tested and used in line with industry standard. AAA Biotech and its authorized distribution partners reserve the right to refuse to fulfill any order if we have any indication that a purchaser may be intending to use a product outside of our accepted criteria.Disclaimer
Though we do strive to guarantee the information represented in this datasheet, AAA Biotech cannot be held responsible for any oversights or imprecisions. AAA Biotech reserves the right to adjust any aspect of this datasheet at any time and without notice. It is the responsibility of the customer to inform AAA Biotech of any product performance issues observed or experienced within 30 days of receipt of said product. To see additional details on this or any of our other policies, please see our Terms & Conditions page.Item has been added to Shopping Cart
If you are ready to order, navigate to Shopping Cart and get ready to checkout.
