Rabbit SMARCA4 Polyclonal Antibody | anti-SMARCA4 antibody
SMARCA4 Antibody
Phosphate buffered saline, pH 7.4, 150mM NaCl, 0.02% sodium azide and 50% glycerol.
WB (Western Blot)
(Western blot analysis of Hepg2 whole cell lysates, using SMARCA4 Antibody. The lane on the left is treated with the antigen-specific peptide.)
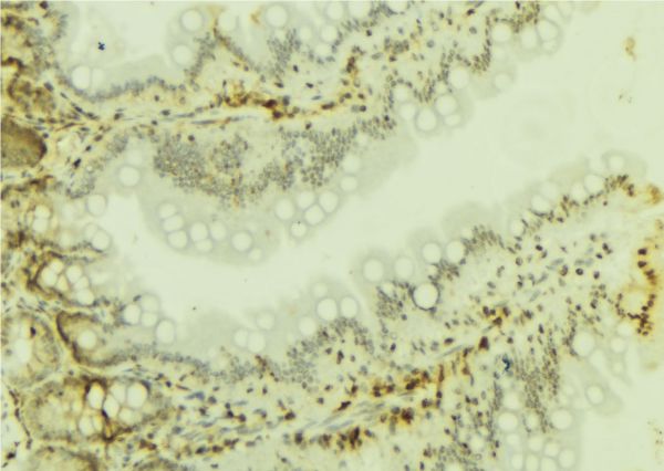
IHC (Immunohistochemistry)
(AAA326600 at 1/100 staining Mouse colon tissue by IHC-P. The sample was formaldehyde fixed and a heat mediated antigen retrieval step in citrate buffer was performed. The sample was then blocked and incubated with the antibody for 1.5 hours at 22 degree C. An HRP conjugated goat anti-rabbit antibody was used as the secondary.)
Function: Involved in transcriptional activation and repression of select genes by chromatin remodeling (alteration of DNA-nucleosome topology). Component of SWI/SNF chromatin remodeling complexes that carry out key enzymatic activities, changing chromatin structure by altering DNA-histone contacts within a nucleosome in an ATP-dependent manner. Component of the CREST-BRG1 complex, a multiprotein complex that regulates promoter activation by orchestrating the calcium-dependent release of a repressor complex and the recruitment of an activator complex. In resting neurons, transcription of the c-FOS promoter is inhibited by SMARCA4-dependent recruitment of a phospho-RB1-HDAC repressor complex. Upon calcium influx, RB1 is dephosphorylated by calcineurin, which leads to release of the repressor complex. At the same time, there is increased recruitment of CREBBP to the promoter by a CREST-dependent mechanism, which leads to transcriptional activation. The CREST-BRG1 complex also binds to the NR2B promoter, and activity-dependent induction of NR2B expression involves the release of HDAC1 and recruitment of CREBBP. Belongs to the neural progenitors-specific chromatin remodeling complex (npBAF complex) and the neuron-specific chromatin remodeling complex (nBAF complex). During neural development, a switch from a stem/progenitor to a postmitotic chromatin remodeling mechanism occurs as neurons exit the cell cycle and become committed to their adult state. The transition from proliferating neural stem/progenitor cells to postmitotic neurons requires a switch in subunit composition of the npBAF and nBAF complexes. As neural progenitors exit mitosis and differentiate into neurons, npBAF complexes which contain ACTL6A/BAF53A and PHF10/BAF45A, are exchanged for homologous alternative ACTL6B/BAF53B and DPF1/BAF45B or DPF3/BAF45C subunits in neuron-specific complexes (nBAF). The npBAF complex is essential for the self-renewal/proliferative capacity of the multipotent neural stem cells. The nBAF complex along with CREST plays a role regulating the activity of genes essential for dendrite growth. SMARCA4/BAF190A may promote neural stem cell self-renewal/proliferation by enhancing Notch-dependent proliferative signals, while concurrently making the neural stem cell insensitive to SHH-dependent differentiating cues (By similarity). Acts as a corepressor of ZEB1 to regulate E-cadherin transcription and is required for induction of epithelial-mesenchymal transition (EMT) by ZEB1. Binds via DLX1 to enhancers located in the intergenic region between DLX5 and DLX6 and this binding is stabilized by the long non-coding RNA (lncRNA) Evf2 (By similarity). Binds to RNA in a promiscuous manner (By similarity). Binding to RNAs including lncRNA Evf2 leads to inhibition of SMARCA4 ATPase and chromatin remodeling activities (By similarity).
Subunit Structure: Component of the multiprotein chromatin-remodeling complexes SWI/SNF: SWI/SNF-A (BAF), SWI/SNF-B (PBAF) and related complexes. The canonical complex contains a catalytic subunit (either SMARCA4/BRG1/BAF190A or SMARCA2/BRM/BAF190B) and at least SMARCE1, ACTL6A/BAF53, SMARCC1/BAF155, SMARCC2/BAF170, and SMARCB1/SNF5/BAF47. Other subunits specific to each of the complexes may also be present permitting several possible developmental-and tissue-specific combinations (PubMed:22952240, PubMed:26601204). Component of the BAF complex, which includes at least actin (ACTB), ARID1A/BAF250A, ARID1B/BAF250B, SMARCA2/BRM, SMARCA4/BRG1/BAF190A, ACTL6A/BAF53, ACTL6B/BAF53B, SMARCE1/BAF57, SMARCC1/BAF155, SMARCC2/BAF170, SMARCB1/SNF5/INI1, and one or more SMARCD1/BAF60A, SMARCD2/BAF60B, or SMARCD3/BAF60C. In muscle cells, the BAF complex also contains DPF3 (PubMed:18765789). Component of neural progenitors-specific chromatin remodeling complex (npBAF complex) composed of at least, ARID1A/BAF250A or ARID1B/BAF250B, SMARCD1/BAF60A, SMARCD3/BAF60C, SMARCA2/BRM/BAF190B, SMARCA4/BRG1/BAF190A, SMARCB1/BAF47, SMARCC1/BAF155, SMARCE1/BAF57, SMARCC2/BAF170, PHF10/BAF45A, ACTL6A/BAF53A and actin. Component of neuron-specific chromatin remodeling complex (nBAF complex) composed of at least, ARID1A/BAF250A or ARID1B/BAF250B, SMARCD1/BAF60A, SMARCD3/BAF60C, SMARCA2/BRM/BAF190B, SMARCA4/BRG1/BAF190A, SMARCB1/BAF47, SMARCC1/BAF155, SMARCE1/BAF57, SMARCC2/BAF170, DPF1/BAF45B, DPF3/BAF45C, ACTL6B/BAF53B and actin. Component of the SWI/SNF-B (PBAF) chromatin remodeling complex, at least composed of SMARCA4/BRG1, SMARCB1/BAF47/SNF5, ACTL6A/BAF53A or ACTL6B/BAF53B, SMARCE1/BAF57, SMARCD1/BAF60A, SMARCD2/BAF60B, perhaps SMARCD3/BAF60C, SMARCC1/BAF155, SMARCC2/BAF170, PBRM1/BAF180, ARID2/BAF200 and actin (PubMed:26601204). Component of the BAF53 complex, at least composed of BAF53A, RUVBL1, SMARCA4/BRG1/BAF190A, and TRRAP, which preferentially acetylates histone H4 (and H2A) within nucleosomes (PubMed:11839798). Component of the CREST-BRG1 complex, at least composed of SMARCA4/BRG1/BAF190A, SS18L1/CREST, HDAC1, RB1 and SP1 (By similarity). Interacts with PHF10/BAF45A (By similarity). Interacts with MYOG (By similarity). Interacts directly with IKFZ1; the interaction associates IKFZ1 with the BAF complex (PubMed:10204490). Interacts with ZEB1 (via N-terminus) (PubMed:20418909). Interacts with NR3C1, PGR, SMARD1, TOPBP1 and ZMIM2/ZIMP7 (PubMed:9590696, PubMed:12917342, PubMed:15075294, PubMed:16051670). Interacts with (via the bromodomain) with TERT; the interaction regulates Wnt-mediated signaling (PubMed:19571879). Interacts with TBX21 in a KDM6B-dependent manner (By similarity). Interacts with KDM6A and KDM6B (By similarity). Interacts with HNRNPU; this interaction occurs in embryonic stem cells and stimulates global Pol II-mediated transcription (By similarity). Interacts with ACTL6A (PubMed:28649782). Interacts with DLX1 (By similarity).
Similarity: Belongs to the SNF2/RAD54 helicase family.
NCBI and Uniprot Product Information
Predicted: 185 kDa
Customer Reviews
Loading reviews...
Share Your Experience
Similar Products
Product Notes
The SMARCA4 smarca4 (Catalog #AAA326600) is an Antibody produced from Rabbit and is intended for research purposes only. The product is available for immediate purchase. The SMARCA4 Antibody reacts with Human, Mouse, Rat and may cross-react with other species as described in the data sheet. AAA Biotech's SMARCA4 can be used in a range of immunoassay formats including, but not limited to, ELISA, IHC (Immunohistochemistry), WB (Western Blot). Researchers should empirically determine the suitability of the SMARCA4 smarca4 for an application not listed in the data sheet. Researchers commonly develop new applications and it is an integral, important part of the investigative research process. It is sometimes possible for the material contained within the vial of "SMARCA4, Polyclonal Antibody" to become dispersed throughout the inside of the vial, particularly around the seal of said vial, during shipment and storage. We always suggest centrifuging these vials to consolidate all of the liquid away from the lid and to the bottom of the vial prior to opening. Please be advised that certain products may require dry ice for shipping and that, if this is the case, an additional dry ice fee may also be required.Precautions
All products in the AAA Biotech catalog are strictly for research-use only, and are absolutely not suitable for use in any sort of medical, therapeutic, prophylactic, in-vivo, or diagnostic capacity. By purchasing a product from AAA Biotech, you are explicitly certifying that said products will be properly tested and used in line with industry standard. AAA Biotech and its authorized distribution partners reserve the right to refuse to fulfill any order if we have any indication that a purchaser may be intending to use a product outside of our accepted criteria.Disclaimer
Though we do strive to guarantee the information represented in this datasheet, AAA Biotech cannot be held responsible for any oversights or imprecisions. AAA Biotech reserves the right to adjust any aspect of this datasheet at any time and without notice. It is the responsibility of the customer to inform AAA Biotech of any product performance issues observed or experienced within 30 days of receipt of said product. To see additional details on this or any of our other policies, please see our Terms & Conditions page.Item has been added to Shopping Cart
If you are ready to order, navigate to Shopping Cart and get ready to checkout.
