Rabbit SMARCA5 Polyclonal Antibody | anti-SMARCA5 antibody
SMARCA5 Antibody
Phosphate buffered saline, pH 7.4, 150mM NaCl, 0.02% sodium azide and 50% glycerol.
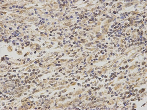
IHC (Immunohiostchemistry)
(AAA326508 at 1/100 staining Human breast cancer tissue by IHC-P. The sample was formaldehyde fixed and a heat mediated antigen retrieval step in citrate buffer was performed. The sample was then blocked and incubated with the antibody for 1.5 hours at 22 degree C. An HRP conjugated goat anti-rabbit antibody was used as the secondary.)
WB (Western Blot)
(Western blot analysis of Hela whole cell lysates, using SMARCA5 Antibody. The lane on the left is treated with the antigen-specific peptide.)
Function: Helicase that possesses intrinsic ATP-dependent nucleosome-remodeling activity. Complexes containing SMARCA5 are capable of forming ordered nucleosome arrays on chromatin; this may require intact histone H4 tails. Also required for replication of pericentric heterochromatin in S-phase specifically in conjunction with BAZ1A. Probably plays a role in repression of polI dependent transcription of the rDNA locus, through the recruitment of the SIN3/HDAC1 corepressor complex to the rDNA promoter. Essential component of the WICH complex, a chromatin remodeling complex that mobilizes nucleosomes and reconfigures irregular chromatin to a regular nucleosomal array structure. The WICH complex regulates the transcription of various genes, has a role in RNA polymerase I and RNA polymerase III transcription, mediates the histone H2AX phosphorylation at 'Tyr-142', and is involved in the maintenance of chromatin structures during DNA replication processes. Essential component of the NoRC (nucleolar remodeling complex) complex, a complex that mediates silencing of a fraction of rDNA by recruiting histone-modifying enzymes and DNA methyltransferases, leading to heterochromatin formation and transcriptional silencing.
Subunit Structure: Catalytic subunit of the four known chromatin-remodeling complexes: CHRAC, RSF, ACF/WCRF, and WICH. Each complex contains subunits which may regulate the specificity or catalytic activity of SMARCA5. ACF/WCRF contains BAZ1A; CHRAC contains BAZ1A, CHRAC1, and POLE3; RSF contains RSF1; WICH contains BAZ1B/WSTF. SMARCA5 is the catalytic subunit of the NoRC chromatin-remodeling complex, which also contains BAZ2A/TIP5. The BAZ2A/TIP5 subunit of NoRC also interacts with DNMT1, DNMT3B and HDAC1, which allows NoRC to actively suppress rDNA transcription by a combination of nucleosome remodeling, histone deacetylation, and DNA methylation. Catalytic subunit of SMARCA5/cohesin/NuRD complexes. Component of the B-WICH complex, at least composed of SMARCA5/SNF2H, BAZ1B/WSTF, SF3B1, DEK, MYO1C, ERCC6, MYBBP1A and DDX21. Interacts with MYO1C (By similarity). Interacts with BEND3.
Similarity: Belongs to the SNF2/RAD54 helicase family. ISWI subfamily.
NCBI and Uniprot Product Information
Predicted: 122 kDa
Customer Reviews
Loading reviews...
Share Your Experience
Similar Products
Product Notes
The SMARCA5 smarca5 (Catalog #AAA326508) is an Antibody produced from Rabbit and is intended for research purposes only. The product is available for immediate purchase. The SMARCA5 Antibody reacts with Human, Mouse, Rat and may cross-react with other species as described in the data sheet. AAA Biotech's SMARCA5 can be used in a range of immunoassay formats including, but not limited to, ELISA, IHC (Immunohistochemistry), WB (Western Blot). Researchers should empirically determine the suitability of the SMARCA5 smarca5 for an application not listed in the data sheet. Researchers commonly develop new applications and it is an integral, important part of the investigative research process. It is sometimes possible for the material contained within the vial of "SMARCA5, Polyclonal Antibody" to become dispersed throughout the inside of the vial, particularly around the seal of said vial, during shipment and storage. We always suggest centrifuging these vials to consolidate all of the liquid away from the lid and to the bottom of the vial prior to opening. Please be advised that certain products may require dry ice for shipping and that, if this is the case, an additional dry ice fee may also be required.Precautions
All products in the AAA Biotech catalog are strictly for research-use only, and are absolutely not suitable for use in any sort of medical, therapeutic, prophylactic, in-vivo, or diagnostic capacity. By purchasing a product from AAA Biotech, you are explicitly certifying that said products will be properly tested and used in line with industry standard. AAA Biotech and its authorized distribution partners reserve the right to refuse to fulfill any order if we have any indication that a purchaser may be intending to use a product outside of our accepted criteria.Disclaimer
Though we do strive to guarantee the information represented in this datasheet, AAA Biotech cannot be held responsible for any oversights or imprecisions. AAA Biotech reserves the right to adjust any aspect of this datasheet at any time and without notice. It is the responsibility of the customer to inform AAA Biotech of any product performance issues observed or experienced within 30 days of receipt of said product. To see additional details on this or any of our other policies, please see our Terms & Conditions page.Item has been added to Shopping Cart
If you are ready to order, navigate to Shopping Cart and get ready to checkout.
