Rabbit SMARCA5 Polyclonal Antibody | anti-SMARCA5 antibody
SMARCA5 Antibody
Gene Names
SMARCA5; ISWI; SNF2H; hISWI; hSNF2H; WCRF135
Reactivity
Human, Mouse, Rat
Applications
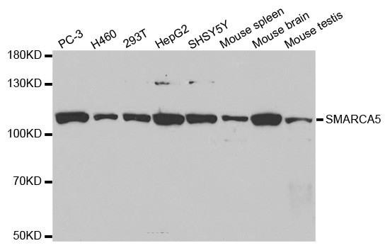
Chromatin Immunoprecipitation, Immunoprecipitation, Immunoprecipitation, Immunofluorescence, Immunohistochemistry, Western Blot
Purity
Antigen affinity purification
Synonyms
SMARCA5, Antibody; SMARCA5 Antibody; ISWI; SNF2H; hISWI; hSNF2H; WCRF135; anti-SMARCA5 antibody
Host
Rabbit
Reactivity
Human, Mouse, Rat
Clonality
Polyclonal
Isotype
IgG
Purity/Purification
Antigen affinity purification
Concentration
1mg/mL (varies by lot)
Sequence Length
1052
Applicable Applications for anti-SMARCA5 antibody
ChIP (Chromatin immunoprecipitation), IP (Immunoprecipitation), IF (Immunofluorescence), IHC (Immunohistochemistry), WB (Western Blot)
Immunogen
Recombinant protein of human SMARCA5
Buffer
PBS with 0.02% sodium azide, 50% glycerol, pH7.3
Santa Cruz Alternative
Potential replacement for Santa Cruz Biotechnology antibody catalog# sc-8760 / sc-8759 / sc-13054
Preparation and Storage
Store at -20 degree C (regular) and -80 degree C (long term). Avoid freeze / thaw cycles.
Related Product Information for anti-SMARCA5 antibody
The protein encoded by this gene is a member of the SWI/SNF family of proteins. Members of this family have helicase and ATPase activities and are thought to regulate transcription of certain genes by altering the chromatin structure around those genes. The protein encoded by this gene is a component of the chromatin remodeling and spacing factor RSF, a facilitator of the transcription of class II genes by RNA polymerase II. The encoded protein is similar in sequence to the Drosophila ISWI chromatin remodeling protein.
NCBI and Uniprot Product Information
NCBI GI #
NCBI GeneID
NCBI Accession #
NCBI GenBank Nucleotide #
Molecular Weight
121,905 Da
NCBI Official Full Name
SWI/SNF-related matrix-associated actin-dependent regulator of chromatin subfamily A member 5
NCBI Official Synonym Full Names
SWI/SNF related, matrix associated, actin dependent regulator of chromatin, subfamily a, member 5
NCBI Official Symbol
SMARCA5
NCBI Official Synonym Symbols
ISWI; SNF2H; hISWI; hSNF2H; WCRF135
NCBI Protein Information
SWI/SNF-related matrix-associated actin-dependent regulator of chromatin subfamily A member 5; SWI/SNF-related matrix-associated actin-dependent regulator of chromatin A5; sucrose nonfermenting protein 2 homolog; sucrose nonfermenting-like 5
UniProt Protein Name
SWI/SNF-related matrix-associated actin-dependent regulator of chromatin subfamily A member 5
UniProt Gene Name
SMARCA5
UniProt Synonym Gene Names
SNF2H; WCRF135; SWI/SNF-related matrix-associated actin-dependent regulator of chromatin A5; hSNF2H
UniProt Entry Name
SMCA5_HUMAN
Similar Products
Product Notes
The SMARCA5 smarca5 (Catalog #AAA167245) is an Antibody produced from Rabbit and is intended for research purposes only. The product is available for immediate purchase. The SMARCA5 Antibody reacts with Human, Mouse, Rat and may cross-react with other species as described in the data sheet. AAA Biotech's SMARCA5 can be used in a range of immunoassay formats including, but not limited to, ChIP (Chromatin immunoprecipitation), IP (Immunoprecipitation), IF (Immunofluorescence), IHC (Immunohistochemistry), WB (Western Blot). Researchers should empirically determine the suitability of the SMARCA5 smarca5 for an application not listed in the data sheet. Researchers commonly develop new applications and it is an integral, important part of the investigative research process. It is sometimes possible for the material contained within the vial of "SMARCA5, Polyclonal Antibody" to become dispersed throughout the inside of the vial, particularly around the seal of said vial, during shipment and storage. We always suggest centrifuging these vials to consolidate all of the liquid away from the lid and to the bottom of the vial prior to opening. Please be advised that certain products may require dry ice for shipping and that, if this is the case, an additional dry ice fee may also be required.Precautions
All products in the AAA Biotech catalog are strictly for research-use only, and are absolutely not suitable for use in any sort of medical, therapeutic, prophylactic, in-vivo, or diagnostic capacity. By purchasing a product from AAA Biotech, you are explicitly certifying that said products will be properly tested and used in line with industry standard. AAA Biotech and its authorized distribution partners reserve the right to refuse to fulfill any order if we have any indication that a purchaser may be intending to use a product outside of our accepted criteria.Disclaimer
Though we do strive to guarantee the information represented in this datasheet, AAA Biotech cannot be held responsible for any oversights or imprecisions. AAA Biotech reserves the right to adjust any aspect of this datasheet at any time and without notice. It is the responsibility of the customer to inform AAA Biotech of any product performance issues observed or experienced within 30 days of receipt of said product. To see additional details on this or any of our other policies, please see our Terms & Conditions page.Item has been added to Shopping Cart
If you are ready to order, navigate to Shopping Cart and get ready to checkout.
