Rabbit TOLLIP Polyclonal Antibody | anti-TOLLIP antibody
TOLLIP Antibody
Phosphate buffered saline, pH 7.4, 150mM NaCl, 0.02% sodium azide and 50% glycerol.
IF (Immunofluorescence)
(AAA326680 staining HuvEc cells by IF/ICC. The sample were fixed with PFA and permeabilized in 0.1% Triton X-100, then blocked in 10% serum for 45 minutes at 25 degree C. The primary antibody was diluted at 1/200 and incubated with the sample for 1 hour at 37 degree C. An Alexa Fluor 594 conjugated goat anti-rabbit IgG (H+L) antibody, diluted at 1/600, was used as secondary antibody.)
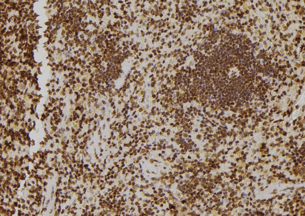
IHC (Immunohistochemisry)
(AAA326680 at 1/100 staining Rat spleen tissue by IHC-P. The sample was formaldehyde fixed and a heat mediated antigen retrieval step in citrate buffer was performed. The sample was then blocked and incubated with the antibody for 1.5 hours at 22 degree C. An HRP conjugated goat anti-rabbit antibody was used as the secondary.)
WB (Western Blot)
(Western blot analysis of extracts of PC-3, using TOLLIP antibody. The lane on the left is treated with the antigen-specific peptide.)
Function: Component of the signaling pathway of IL-1 and Toll-like receptors. Inhibits cell activation by microbial products. Recruits IRAK1 to the IL-1 receptor complex. Inhibits IRAK1 phosphorylation and kinase activity (PubMed:11751856). Connects the ubiquitin pathway to autophagy by functioning as a ubiquitin-ATG8 family adapter and thus mediating autophagic clearance of ubiquitin conjugates. The TOLLIP-dependent selective autophagy pathway plays an important role in clearance of cytotoxic polyQ proteins aggregates (PubMed:25042851).
Subunit Structure: Oligomerizes. Binds to TLR2 and the TLR4-MD2 complex via its C-terminus. Exists as complex with IRAK1 in unstimulated cells. Upon IL-1 signaling, Tollip binds to the activated IL-1 receptor complex containing IL-1RI, IL-1RacP and the adapter protein MyD88, where it interacts with the TIR domain of IL-1RacP. MyD88 then triggers IRAK1 autophosphorylation, which in turn leads to the dissociation of IRAK1 from Tollip and IL-1RAcP. Interacts with TOM1L2. Interacts with ATG8 family proteins (via AIM motifs), and ubiquitin (via CUE domain).
Post-translational Modifications: Phosphorylated by IRAK1 upon stimulation by IL-1 or microbial products.
Similarity: Both ATG8-interaction motifs (AIM1 and AIM2) are required for the association with ATG8 family proteins. Belongs to the tollip family.
NCBI and Uniprot Product Information
Predicted: 31 kDa
Customer Reviews
Loading reviews...
Share Your Experience
Similar Products
Product Notes
The TOLLIP tollip (Catalog #AAA326680) is an Antibody produced from Rabbit and is intended for research purposes only. The product is available for immediate purchase. The TOLLIP Antibody reacts with Human, Mouse, Rat and may cross-react with other species as described in the data sheet. AAA Biotech's TOLLIP can be used in a range of immunoassay formats including, but not limited to, ELISA, ICC (Immunocytochemistry), IF (Immunofluorescence), IHC (Immunohistochemistry), WB (Western Blot). Researchers should empirically determine the suitability of the TOLLIP tollip for an application not listed in the data sheet. Researchers commonly develop new applications and it is an integral, important part of the investigative research process. It is sometimes possible for the material contained within the vial of "TOLLIP, Polyclonal Antibody" to become dispersed throughout the inside of the vial, particularly around the seal of said vial, during shipment and storage. We always suggest centrifuging these vials to consolidate all of the liquid away from the lid and to the bottom of the vial prior to opening. Please be advised that certain products may require dry ice for shipping and that, if this is the case, an additional dry ice fee may also be required.Precautions
All products in the AAA Biotech catalog are strictly for research-use only, and are absolutely not suitable for use in any sort of medical, therapeutic, prophylactic, in-vivo, or diagnostic capacity. By purchasing a product from AAA Biotech, you are explicitly certifying that said products will be properly tested and used in line with industry standard. AAA Biotech and its authorized distribution partners reserve the right to refuse to fulfill any order if we have any indication that a purchaser may be intending to use a product outside of our accepted criteria.Disclaimer
Though we do strive to guarantee the information represented in this datasheet, AAA Biotech cannot be held responsible for any oversights or imprecisions. AAA Biotech reserves the right to adjust any aspect of this datasheet at any time and without notice. It is the responsibility of the customer to inform AAA Biotech of any product performance issues observed or experienced within 30 days of receipt of said product. To see additional details on this or any of our other policies, please see our Terms & Conditions page.Item has been added to Shopping Cart
If you are ready to order, navigate to Shopping Cart and get ready to checkout.
