Rabbit anti-Human, Mouse TSTA3 Polyclonal Antibody | anti-TSTA3 antibody
TSTA3 Polyclonal Antibody
Gene Names
TSTA3; FX; P35B; SDR4E1
Reactivity
Human, Mouse
Applications
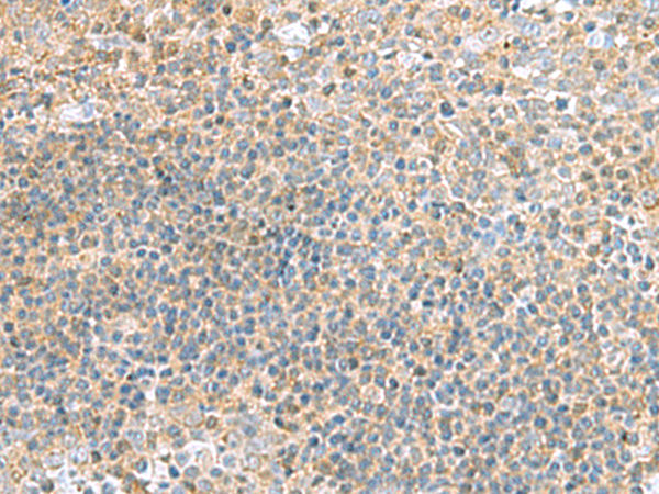
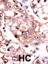
ELISA, Immunohistochemistry
Purity
Antigen Affinity Purification
Synonyms
TSTA3, Antibody; TSTA3 Polyclonal Antibody; 3 5 epimerase/4 reductase; 5-epimerase-4-reductase; Anti TSTA3; EC 1.1.1.271; FCL; FX; GDP 4 keto 6 deoxy D mannose 3 5 epimerase 4 reductase; GDP 4 keto 6 deoxy D mannose epimerase reductase; GDP L fucose synthase; GDP-4-keto-6-deoxy-D-mannose-3; GDP-L-fucose synthase; P35B; Protein FX; Red cell NADP(H) binding protein; Red cell NADP(H)-binding protein; SDR4E1; Short chain dehydrogenase/reductase family 4E member 1; Short-chain dehydrogenase/reductase family 4E member 1; Tissue specific transplantation antigen 3; Tissue specific transplantation antigen P35B; TSTA3; anti-TSTA3 antibody
Host
Rabbit
Reactivity
Human, Mouse
Clonality
Polyclonal
Isotype
IgG
Purity/Purification
Antigen Affinity Purification
Form/Format
PBS with 0.05% NaN3 and 40% Glycerol, pH7.4
Concentration
1mg/mL (varies by lot)
Sequence Length
321
Applicable Applications for anti-TSTA3 antibody
ELISA, IHC (Immunohistochemistry)
Immunogen
Fusion protein of human TSTA3
Conjugation
Unconjugated
Preparation and Storage
Store at -20 degree C. Avoid freeze/thaw cycles.
Related Product Information for anti-TSTA3 antibody
Tissue specific transplantation antigen P35B is a NADP(H)-binding protein. It catalyze the two-step epimerase and the reductase reactions in GDP-D-mannose metabolism, converting GDP-4-keto-6-D-deoxymannose to GDP-L-fucose. GDP-L-fucose is the substrate of several fucosyltransferases involved in the expression of many glycoconjugates, including blood group ABH antigens and developmental adhesion antigens. Mutations in this gene may cause leukocyte adhesion deficiency, type II.
Product Categories/Family for anti-TSTA3 antibody
NCBI and Uniprot Product Information
NCBI GI #
NCBI GeneID
NCBI Accession #
NCBI GenBank Nucleotide #
UniProt Accession #
NCBI Official Full Name
GDP-L-fucose synthase isoform 2
NCBI Official Synonym Full Names
tissue specific transplantation antigen P35B
NCBI Official Symbol
TSTA3
NCBI Official Synonym Symbols
FX; P35B; SDR4E1
NCBI Protein Information
GDP-L-fucose synthase
UniProt Protein Name
GDP-L-fucose synthase
UniProt Gene Name
TSTA3
UniProt Synonym Gene Names
SDR4E1
UniProt Entry Name
FCL_HUMAN
Customer Reviews
Loading reviews...
Share Your Experience
Similar Products
Product Notes
The TSTA3 tsta3 (Catalog #AAA175641) is an Antibody produced from Rabbit and is intended for research purposes only. The product is available for immediate purchase. The TSTA3 Polyclonal Antibody reacts with Human, Mouse and may cross-react with other species as described in the data sheet. AAA Biotech's TSTA3 can be used in a range of immunoassay formats including, but not limited to, ELISA, IHC (Immunohistochemistry). Researchers should empirically determine the suitability of the TSTA3 tsta3 for an application not listed in the data sheet. Researchers commonly develop new applications and it is an integral, important part of the investigative research process. It is sometimes possible for the material contained within the vial of "TSTA3, Polyclonal Antibody" to become dispersed throughout the inside of the vial, particularly around the seal of said vial, during shipment and storage. We always suggest centrifuging these vials to consolidate all of the liquid away from the lid and to the bottom of the vial prior to opening. Please be advised that certain products may require dry ice for shipping and that, if this is the case, an additional dry ice fee may also be required.Precautions
All products in the AAA Biotech catalog are strictly for research-use only, and are absolutely not suitable for use in any sort of medical, therapeutic, prophylactic, in-vivo, or diagnostic capacity. By purchasing a product from AAA Biotech, you are explicitly certifying that said products will be properly tested and used in line with industry standard. AAA Biotech and its authorized distribution partners reserve the right to refuse to fulfill any order if we have any indication that a purchaser may be intending to use a product outside of our accepted criteria.Disclaimer
Though we do strive to guarantee the information represented in this datasheet, AAA Biotech cannot be held responsible for any oversights or imprecisions. AAA Biotech reserves the right to adjust any aspect of this datasheet at any time and without notice. It is the responsibility of the customer to inform AAA Biotech of any product performance issues observed or experienced within 30 days of receipt of said product. To see additional details on this or any of our other policies, please see our Terms & Conditions page.Item has been added to Shopping Cart
If you are ready to order, navigate to Shopping Cart and get ready to checkout.
