Rabbit USP22 Polyclonal Antibody | anti-USP22 antibody
USP22 Antibody
Gene Names
USP22; USP3L
Reactivity
Human, Mouse, RatPredicted: Pig, Zebrafish, Bovine, Horse, Rabbit, Dog, Chicken, Xenopus
Applications
ELISA, Western Blot
Purity
The antiserum was purified by peptide affinity chromatography using SulfoLink Coupling Resin (Thermo Fisher Scientific).
Synonyms
USP22, Antibody; USP22 Antibody; Deubiquitinating enzyme 22; KIAA1063; Ubiquitin carboxyl terminal hydrolase 22; Ubiquitin carboxyl-terminal hydrolase 22; Ubiquitin specific peptidase 22; Ubiquitin specific peptidase 3 like; Ubiquitin specific processing protease 22; Ubiquitin specific protease 22; Ubiquitin thioesterase 22; Ubiquitin thiolesterase 22; Ubiquitin-specific-processing protease 22; UBP22_HUMAN; USP 22; Usp22; USP3L; anti-USP22 antibody
Host
Rabbit
Reactivity
Human, Mouse, Rat
Predicted: Pig, Zebrafish, Bovine, Horse, Rabbit, Dog, Chicken, Xenopus
Predicted: Pig, Zebrafish, Bovine, Horse, Rabbit, Dog, Chicken, Xenopus
Clonality
Polyclonal
Isotype
IgG
Specificity
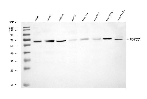
USP22 Antibody detects endogenous levels of USP22.
Purity/Purification
The antiserum was purified by peptide affinity chromatography using SulfoLink Coupling Resin (Thermo Fisher Scientific).
Form/Format
Liquid; Phosphate buffered saline, pH 7.4, 150mM NaCl, 0.02% sodium azide and 50% glycerol.
Concentration
1mg/ml (varies by lot)
Sequence Length
525
Applicable Applications for anti-USP22 antibody
ELISA (Peptide ELISA), WB (Western Blot)
Immunogen
A synthesized peptide derived from human USP22.
Tissue Specificity
Moderately expressed in various tissues including heart and skeletal muscle, and weakly expressed in lung and liver.
Subcellular Location
Nucleus
Preparation and Storage
Store at -20 degree C. Stable for 12 months from date of receipt.
Related Product Information for anti-USP22 antibody
Description: Histone deubiquitinating component of the transcription regulatory histone acetylation (HAT) complex SAGA. Catalyzes the deubiquitination of both histones H2A and H2B, thereby acting as a coactivator. Recruited to specific gene promoters by activators such as MYC, where it is required for transcription. Required for nuclear receptor-mediated transactivation and cell cycle progression.
Subunit Structure: Component of some SAGA transcription coactivator-HAT complexes, at least composed of ATXN7, ATXN7L3, ENY2, GCN5L2, SUPT3H, TAF10, TRRAP and USP22. Within the SAGA complex, ATXN7L3, ENY2 and USP22 form a subcomplex required for histone deubiquitination (PubMed:18206972, PubMed:27601583). Interacts directly with ATXN7L3; leading to its recruitment to the SAGA complex (PubMed:18206972). Interacts with ATXN7L3 and weakly with ATXN7L3B (PubMed:27601583).
Similarity: Belongs to the peptidase C19 family. UBP8 subfamily.
Subunit Structure: Component of some SAGA transcription coactivator-HAT complexes, at least composed of ATXN7, ATXN7L3, ENY2, GCN5L2, SUPT3H, TAF10, TRRAP and USP22. Within the SAGA complex, ATXN7L3, ENY2 and USP22 form a subcomplex required for histone deubiquitination (PubMed:18206972, PubMed:27601583). Interacts directly with ATXN7L3; leading to its recruitment to the SAGA complex (PubMed:18206972). Interacts with ATXN7L3 and weakly with ATXN7L3B (PubMed:27601583).
Similarity: Belongs to the peptidase C19 family. UBP8 subfamily.
NCBI and Uniprot Product Information
NCBI GI #
NCBI GeneID
UniProt Accession #
Molecular Weight
Observed: 66 kDa
Predicted: 60 kDa
Predicted: 60 kDa
NCBI Official Full Name
Ubiquitin carboxyl-terminal hydrolase 22
NCBI Official Synonym Full Names
ubiquitin specific peptidase 22
NCBI Official Symbol
USP22
NCBI Official Synonym Symbols
USP3L
NCBI Protein Information
ubiquitin carboxyl-terminal hydrolase 22
UniProt Protein Name
Ubiquitin carboxyl-terminal hydrolase 22
UniProt Gene Name
USP22
UniProt Synonym Gene Names
KIAA1063; USP3L
UniProt Entry Name
UBP22_HUMAN
Customer Reviews
Loading reviews...
Share Your Experience
Similar Products
Product Notes
The USP22 usp22 (Catalog #AAA328568) is an Antibody produced from Rabbit and is intended for research purposes only. The product is available for immediate purchase. The USP22 Antibody reacts with Human, Mouse, Rat Predicted: Pig, Zebrafish, Bovine, Horse, Rabbit, Dog, Chicken, Xenopus and may cross-react with other species as described in the data sheet. AAA Biotech's USP22 can be used in a range of immunoassay formats including, but not limited to, ELISA (Peptide ELISA), WB (Western Blot). Researchers should empirically determine the suitability of the USP22 usp22 for an application not listed in the data sheet. Researchers commonly develop new applications and it is an integral, important part of the investigative research process. It is sometimes possible for the material contained within the vial of "USP22, Polyclonal Antibody" to become dispersed throughout the inside of the vial, particularly around the seal of said vial, during shipment and storage. We always suggest centrifuging these vials to consolidate all of the liquid away from the lid and to the bottom of the vial prior to opening. Please be advised that certain products may require dry ice for shipping and that, if this is the case, an additional dry ice fee may also be required.Precautions
All products in the AAA Biotech catalog are strictly for research-use only, and are absolutely not suitable for use in any sort of medical, therapeutic, prophylactic, in-vivo, or diagnostic capacity. By purchasing a product from AAA Biotech, you are explicitly certifying that said products will be properly tested and used in line with industry standard. AAA Biotech and its authorized distribution partners reserve the right to refuse to fulfill any order if we have any indication that a purchaser may be intending to use a product outside of our accepted criteria.Disclaimer
Though we do strive to guarantee the information represented in this datasheet, AAA Biotech cannot be held responsible for any oversights or imprecisions. AAA Biotech reserves the right to adjust any aspect of this datasheet at any time and without notice. It is the responsibility of the customer to inform AAA Biotech of any product performance issues observed or experienced within 30 days of receipt of said product. To see additional details on this or any of our other policies, please see our Terms & Conditions page.Item has been added to Shopping Cart
If you are ready to order, navigate to Shopping Cart and get ready to checkout.
