Rabbit XBP1 Polyclonal Antibody | anti-XBP1 antibody
XBP1 Antibody
Phosphate buffered saline, pH 7.4, 150mM NaCl, 0.02% sodium azide and 50% glycerol.
IHC (Immunohistochemisry)
(AAA321800 at 1/100 staining Human breast cancer tissue by IHC-P. The sample was formaldehyde fixed and a heat mediated antigen retrieval step in citrate buffer was performed. The sample was then blocked and incubated with the antibody for 1.5 hours at 22 degree C. An HRP conjugated goat anti-rabbit antibody was used as the secondary.)
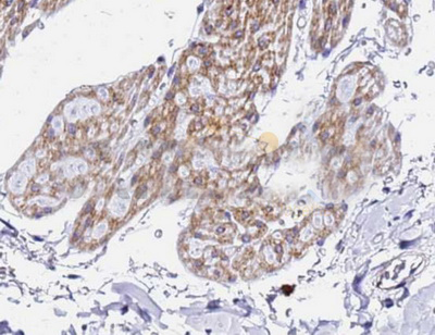
IHC (Immunohiostchemistry)
(AAA321800 at 1/100 staining human breast carcinoma tissues sections by IHC-P. The tissue was formaldehyde fixed and a heat mediated antigen retrieval step in citrate buffer was performed. The tissue was then blocked and incubated with the antibody for 1.5 ho)
WB (Western Blot)
(Western blot analysis of XBP1 expression in HepG2 cell lysate, The lane on the left is treated with the antigen-specific peptide.)
Function: Functions as a transcription factor during endoplasmic reticulum (ER) stress by regulating the unfolded protein response (UPR). Required for cardiac myogenesis and hepatogenesis during embryonic development, and the development of secretory tissues such as exocrine pancreas and salivary gland (By similarity). Involved in terminal differentiation of B lymphocytes to plasma cells and production of immunoglobulins (PubMed:11460154). Modulates the cellular response to ER stress in a PIK3R-dependent manner (PubMed:20348923). Binds to the cis-acting X box present in the promoter regions of major histocompatibility complex class II genes (PubMed:8349596). Involved in VEGF-induced endothelial cell (EC) proliferation and retinal blood vessel formation during embryonic development but also for angiogenesis in adult tissues under ischemic conditions. Functions also as a major regulator of the UPR in obesity-induced insulin resistance and type 2 diabetes for the management of obesity and diabetes prevention (By similarity).
Subunit Structure: Isoform 2 interacts with SIRT1. Isoform 2 interacts with PIK3R1 and PIK3R2; the interactions are direct and induce translocation of XBP1 isoform 2 into the nucleus and the unfolded protein response (UPR) XBP1-dependent target genes activation in a ER stress-and/or insulin-dependent but PI3K-independent manner. Isoform 2 interacts with FOXO1; the interaction is direct and leads to FOXO1 ubiquitination and degradation via the proteasome pathway in hepatocytes (By similarity). Isoform 1 interacts with HM13 (PubMed:25239945). Isoform 1 interacts with RNF139; the interaction induces ubiquitination and degradation of isoform 1 (PubMed:25239945). Isoform 1 interacts (via luminal domain) with DERL1; the interaction obviates the need for ectodomain shedding prior HM13/SPP-mediated XBP1 isoform 1 cleavage (PubMed:25239945). Isoform 1 interacts with isoform 2; the interaction sequesters isoform 2 from the nucleus and enhances isoform 2 degradation in the cytoplasm (PubMed:16461360, PubMed:25239945). Isoform 1 interacts with HDAC3 and AKT1; the interactions occur in endothelial cell (EC) under disturbed flow (PubMed:25190803). Isoform 1 interacts with the oncoprotein FOS (PubMed:1903538). Isoform 2 interacts with ATF6; the interaction occurs in a ER stress-dependent manner and is required for DNA binding to the unfolded protein response element (UPRE) (PubMed:17765680). Isoform 2 interacts with PIK3R1; the interaction is direct and induces translocation of XBP1 isoform 2 into the nucleus and the unfolded protein response (UPR) XBP1-dependent target genes activation in a ER stress-and/or insulin-dependent but PI3K-independent manner (PubMed:20348923).
Post-translational Modifications: Isoform 2 is acetylated by EP300; acetylation positively regulates the transcriptional activity of XBP1 isoform 2 (PubMed:20955178). Isoform 2 is deacetylated by SIRT1; deacetylation negatively regulates the transcriptional activity of XBP1 isoform 2 (PubMed:20955178). Isoform 1 is ubiquitinated, leading to proteasome-mediated degradation in response to ER stress (PubMed:11779464, PubMed:16461360, PubMed:25239945). X-box-binding protein 1, cytoplasmic form and luminal form are produced by intramembrane proteolytic cleavage of ER membrane-anchored isoform 1 triggered by HM13/SPP in a DERL1-RNF139-dependent and VCP/p97-independent manner. X-box-binding protein 1, luminal form is ubiquitinated leading to proteasomal degradation (PubMed:25239945).
Similarity: Isoform 1 and isoform 2 N-terminus domains are necessary for nuclear localization targeting. Isoform 1 C-terminus domain confers localization to the cytoplasm and is sufficient to impose rapid degradation (By similarity). Isoform 1 transmembrane signal-anchor domain is necessary for its own mRNA to be recruited to the endoplasmic reticulum (ER) which will undergo unconventional ERN1-dependent splicing in response to ER stress (PubMed:19394296, PubMed:21233347). Isoform 1 N-terminus and C-terminus regions are necessary for DNA-binding and weak transcriptional activity, respectively. Isoform 2 N-terminus and C-terminus regions are necessary for DNA-binding and strong transcriptional activity upon ER stress, respectively (PubMed:11779464, PubMed:8657566). Isoform 2 C-terminus region contains a nuclear exclusion signal (NES) at positions 186 through 208. Isoform 2 C-terminus region contains a degradation domain at positions 209 through 261 (PubMed:16461360). Belongs to the bZIP family.
NCBI and Uniprot Product Information
Predicted: 29 kDa
Customer Reviews
Loading reviews...
Share Your Experience
Similar Products
Product Notes
The XBP1 xbp1 (Catalog #AAA321800) is an Antibody produced from Rabbit and is intended for research purposes only. The product is available for immediate purchase. The XBP1 Antibody reacts with Human, Mouse, Rat and may cross-react with other species as described in the data sheet. AAA Biotech's XBP1 can be used in a range of immunoassay formats including, but not limited to, ELISA, IHC (Immunohistochemistry), WB (Western Blot). Researchers should empirically determine the suitability of the XBP1 xbp1 for an application not listed in the data sheet. Researchers commonly develop new applications and it is an integral, important part of the investigative research process. It is sometimes possible for the material contained within the vial of "XBP1, Polyclonal Antibody" to become dispersed throughout the inside of the vial, particularly around the seal of said vial, during shipment and storage. We always suggest centrifuging these vials to consolidate all of the liquid away from the lid and to the bottom of the vial prior to opening. Please be advised that certain products may require dry ice for shipping and that, if this is the case, an additional dry ice fee may also be required.Precautions
All products in the AAA Biotech catalog are strictly for research-use only, and are absolutely not suitable for use in any sort of medical, therapeutic, prophylactic, in-vivo, or diagnostic capacity. By purchasing a product from AAA Biotech, you are explicitly certifying that said products will be properly tested and used in line with industry standard. AAA Biotech and its authorized distribution partners reserve the right to refuse to fulfill any order if we have any indication that a purchaser may be intending to use a product outside of our accepted criteria.Disclaimer
Though we do strive to guarantee the information represented in this datasheet, AAA Biotech cannot be held responsible for any oversights or imprecisions. AAA Biotech reserves the right to adjust any aspect of this datasheet at any time and without notice. It is the responsibility of the customer to inform AAA Biotech of any product performance issues observed or experienced within 30 days of receipt of said product. To see additional details on this or any of our other policies, please see our Terms & Conditions page.Item has been added to Shopping Cart
If you are ready to order, navigate to Shopping Cart and get ready to checkout.
