Rabbit Neuropilin-1 (pT916) Antibody | anti-Neuropilin-1 (pT916) antibody
Rabbit anti Neuropilin 1 (pThr916), Phosphospecific
Gene Names
NRP1; NP1; NRP; BDCA4; CD304; VEGF165R; DKFZp781F1414; DKFZp686A03134
Reactivity
Human, Bovine
Applications
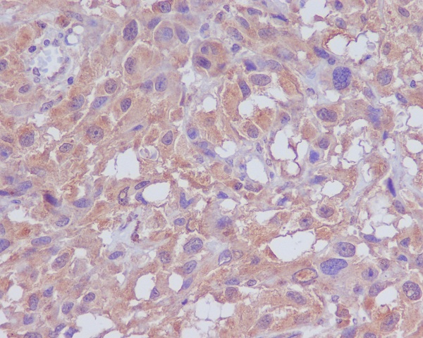
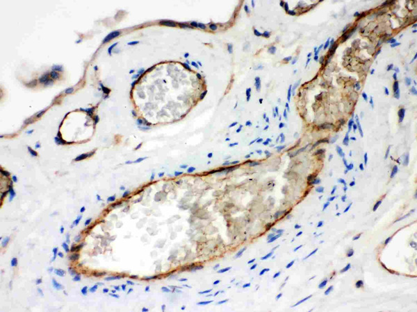
Immunohistochemistry, Western Blot, ELISA
Purity
The Rabbit IgG is purified by Site-specific Epitope Affinity Purification.
Synonyms
Neuropilin-1 (pT916); N/A; Rabbit anti Neuropilin 1 (pThr916), Phosphospecific; Rabbit anti-Neuropilin1 (pThr916); CD304 antigen; NRP1; VEGF Receptor; anti-Neuropilin-1 (pT916) antibody
Host
Rabbit
Reactivity
Human, Bovine
Specificity
This antibody recognizes ~130 kDa of human Neuropilin1 protein at the phosphorylation site of Thr 916. It does not cross react to non-phospho Neuropilin 1. The other species are not tested.
Purity/Purification
The Rabbit IgG is purified by Site-specific Epitope Affinity Purification.
Form/Format
This affinity purified antibody is supplied in sterile Tris-buffered saline (pH7.2) containing antibody stabilizer
Concentration
Size: 100 ug/200 ul (varies by lot)
Applicable Applications for anti-Neuropilin-1 (pT916) antibody
IHC (Immunohistochemistry), WB (Western Blot), ELISA
Antigen Preparation
A synthetic peptide surrounding the epitope -LNTQS- with a phosphorylation site at Thr916. This sequence is identical among human and bovine.
Positive Control
Human Brain Tissue
Cellular Location
Cytoplasmic/membrane
Preparation and Storage
The antibodies are stable for 12 months from date of receipt when stored at -20 degree C to -70 degree C. The antibodies can be stored at 2 degree C -8 degree C for three month without detectable loss of activity. Avoid repeated freezing-thawing cycles.
Related Product Information for anti-Neuropilin-1 (pT916) antibody
The neuropilin-1 (Nrp1) is a multifunctional protein, identified principally as a receptor for the class 3 semaphorins and members of the vascular endothelial growth factor (VEGF) family, but it is capable of other interactions. It is a marker of regulatory T cells (Tr), which often carry Nrp1 and latency-associated peptide (LAP)-TGF-beta1 (the latent form). Nrp1 is reported to be expressed in breast cancer cells. The ischemia can increase neuropilin 1 protein expression in experimental rat brain as well. The phosphorylation of Nrp1 is essential for the Nrp1 activation.
References
Eldar Hochman et al. Molecular Pathways Regulating Pro-migratory Effects of Hedgehog Signaling. J. Biol. Chem., Vol. 281, Issue 45, 33860-33870, November 10, 2006 Glinka Y, et al. Neuropilin-1 is a receptor for transforming growth factor beta-1, activates its latent form, and promotes regulatory T cell activity. J Leukoc Biol. 2008 Jul; 84 (1): 302-10. Epub 2008 Apr 24
NCBI and Uniprot Product Information
NCBI GI #
NCBI GeneID
NCBI Accession #
NCBI GenBank Nucleotide #
UniProt Accession #
Molecular Weight
130 kDa
NCBI Official Full Name
neuropilin-1 isoform a
NCBI Official Synonym Full Names
neuropilin 1
NCBI Official Symbol
NRP1
NCBI Official Synonym Symbols
NP1; NRP; BDCA4; CD304; VEGF165R; DKFZp781F1414; DKFZp686A03134
NCBI Protein Information
neuropilin-1; OTTHUMP00000020818; OTTHUMP00000020819; OTTHUMP00000020820; OTTHUMP00000020821; OTTHUMP00000020822; transmembrane receptor; vascular endothelial cell growth factor 165 receptor
UniProt Protein Name
Neuropilin-1
UniProt Gene Name
NRP1
UniProt Synonym Gene Names
NRP; VEGF165R
UniProt Entry Name
NRP1_HUMAN
Customer Reviews
Loading reviews...
Share Your Experience
Similar Products
Product Notes
The Neuropilin-1 (pT916) nrp1 (Catalog #AAA71395) is an Antibody produced from Rabbit and is intended for research purposes only. The product is available for immediate purchase. The Rabbit anti Neuropilin 1 (pThr916), Phosphospecific reacts with Human, Bovine and may cross-react with other species as described in the data sheet. AAA Biotech's Neuropilin-1 (pT916) can be used in a range of immunoassay formats including, but not limited to, IHC (Immunohistochemistry), WB (Western Blot), ELISA. Researchers should empirically determine the suitability of the Neuropilin-1 (pT916) nrp1 for an application not listed in the data sheet. Researchers commonly develop new applications and it is an integral, important part of the investigative research process. It is sometimes possible for the material contained within the vial of "Neuropilin-1 (pT916), Antibody" to become dispersed throughout the inside of the vial, particularly around the seal of said vial, during shipment and storage. We always suggest centrifuging these vials to consolidate all of the liquid away from the lid and to the bottom of the vial prior to opening. Please be advised that certain products may require dry ice for shipping and that, if this is the case, an additional dry ice fee may also be required.Precautions
All products in the AAA Biotech catalog are strictly for research-use only, and are absolutely not suitable for use in any sort of medical, therapeutic, prophylactic, in-vivo, or diagnostic capacity. By purchasing a product from AAA Biotech, you are explicitly certifying that said products will be properly tested and used in line with industry standard. AAA Biotech and its authorized distribution partners reserve the right to refuse to fulfill any order if we have any indication that a purchaser may be intending to use a product outside of our accepted criteria.Disclaimer
Though we do strive to guarantee the information represented in this datasheet, AAA Biotech cannot be held responsible for any oversights or imprecisions. AAA Biotech reserves the right to adjust any aspect of this datasheet at any time and without notice. It is the responsibility of the customer to inform AAA Biotech of any product performance issues observed or experienced within 30 days of receipt of said product. To see additional details on this or any of our other policies, please see our Terms & Conditions page.Item has been added to Shopping Cart
If you are ready to order, navigate to Shopping Cart and get ready to checkout.
