Rabbit APP Antibody | anti-APP antibody
APP Antibody
Gene Names
APP; AAA; AD1; PN2; ABPP; APPI; CVAP; ABETA; PN-II; preA4; CTFgamma
Reactivity
Human, Mouse, Rat
Applications
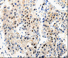
Immunohistochemistry, Western Blot
Purity
Affinity purification
Synonyms
APP; N/A; APP Antibody; AAA; AD1; PN2; ABPP; APPI; CVAP; ABETA; PN-II; anti-APP antibody
Host
Rabbit
Reactivity
Human, Mouse, Rat
Isotype
IgG
Purity/Purification
Affinity purification
Sequence Length
770
Applicable Applications for anti-APP antibody
IHC (Immunohistochemistry), WB (Western Blot)
Immunogen
A synthetic peptide of human APP
Storage Buffer
PBS with 0.02% sodium azide, 50% glycerol, pH7.3.
Preparation and Storage
Store at-20 degree C or-80 degree C. Avoid freeze/thaw cycles.
Related Product Information for anti-APP antibody
This gene encodes a cell surface receptor and transmembrane precursor protein that is cleaved by secretases to form a number of peptides. Some of these peptides are secreted and can bind to the acetyltransferase complex APBB1/TIP60 to promote transcriptional activation, while others form the protein basis of the amyloid plaques found in the brains of patients with Alzheimer disease. Mutations in this gene have been implicated in autosomal dominant Alzheimer disease and cerebroarterial amyloidosis (cerebral amyloid angiopathy). Multiple transcript variants encoding several different isoforms have been found for this gene.
Product Categories/Family for anti-APP antibody
NCBI and Uniprot Product Information
NCBI GI #
NCBI GeneID
NCBI Accession #
NCBI GenBank Nucleotide #
UniProt Accession #
Molecular Weight
87kDa
NCBI Official Full Name
amyloid-beta A4 protein isoform a
NCBI Official Synonym Full Names
amyloid beta precursor protein
NCBI Official Symbol
APP
NCBI Official Synonym Symbols
AAA; AD1; PN2; ABPP; APPI; CVAP; ABETA; PN-II; preA4; CTFgamma
NCBI Protein Information
amyloid-beta A4 protein
UniProt Protein Name
Amyloid-beta A4 protein
UniProt Gene Name
APP
UniProt Synonym Gene Names
A4; AD1; APP; CVAP; PN-II; S-APP-alpha; S-APP-beta; Beta-CTF; Abeta42; Abeta40; Alpha-CTF; AICD-59; AID(59); AICD-57; AID(57); AICD-50; AID(50)
Customer Reviews
Loading reviews...
Share Your Experience
Similar Products
Product Notes
The APP app (Catalog #AAA266618) is an Antibody produced from Rabbit and is intended for research purposes only. The product is available for immediate purchase. The APP Antibody reacts with Human, Mouse, Rat and may cross-react with other species as described in the data sheet. AAA Biotech's APP can be used in a range of immunoassay formats including, but not limited to, IHC (Immunohistochemistry), WB (Western Blot). Researchers should empirically determine the suitability of the APP app for an application not listed in the data sheet. Researchers commonly develop new applications and it is an integral, important part of the investigative research process. It is sometimes possible for the material contained within the vial of "APP, Antibody" to become dispersed throughout the inside of the vial, particularly around the seal of said vial, during shipment and storage. We always suggest centrifuging these vials to consolidate all of the liquid away from the lid and to the bottom of the vial prior to opening. Please be advised that certain products may require dry ice for shipping and that, if this is the case, an additional dry ice fee may also be required.Precautions
All products in the AAA Biotech catalog are strictly for research-use only, and are absolutely not suitable for use in any sort of medical, therapeutic, prophylactic, in-vivo, or diagnostic capacity. By purchasing a product from AAA Biotech, you are explicitly certifying that said products will be properly tested and used in line with industry standard. AAA Biotech and its authorized distribution partners reserve the right to refuse to fulfill any order if we have any indication that a purchaser may be intending to use a product outside of our accepted criteria.Disclaimer
Though we do strive to guarantee the information represented in this datasheet, AAA Biotech cannot be held responsible for any oversights or imprecisions. AAA Biotech reserves the right to adjust any aspect of this datasheet at any time and without notice. It is the responsibility of the customer to inform AAA Biotech of any product performance issues observed or experienced within 30 days of receipt of said product. To see additional details on this or any of our other policies, please see our Terms & Conditions page.Item has been added to Shopping Cart
If you are ready to order, navigate to Shopping Cart and get ready to checkout.
