Loading...

Skip to main content
Call us at +1-800-604-9114 for more information about our products or contact us online Need help? +1-800-604-9114 or contact us

Filters


Clonality

Type

Reactivity

Gene Name

Isotype

Host

Application

Clone

Monoclonal Antibodies

Get accurate results in your research with our Monoclonal Antibodies, which are specially made to target exactly what you require for your research, and will produce consistent, reliable performance in lab tests.


Viewing 8400-8450 of 27647 product results


product-image-AAA320062_FCM10.png FCM/FACS (Flow Cytometry) (Flow cytometric analysis of Jurkat cells using ETS1 Monoclonal Antibody (green) and negative control (purple).)

ETS1, Monoclonal Antibody (Cat# AAA320062)

No reviews yet
Full Name
ETS1 Monoclonal Antibody
Gene Names
ETS1; ETS-1; EWSR2
Reactivity
Human
Applications
Flow Cytometry, Immunocytochemistry, Immunofluorescence, Immunohistochemistry, Western Blot
Purity
Affinity purification
Pricing
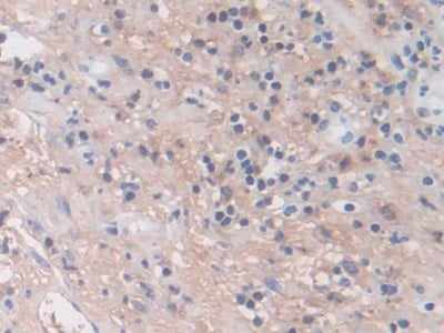
product-image-AAA320066_IHC13.png IHC (Immunohiostchemistry) (Immunohistochemistry analysis of paraffin-embedded human cerebrum tumor (A). endothelium of vessel (B). lymphocyte of thymus(C). showing cytoplasmic localization with DAB staining using Fes Monoclonal Antibody.)

Fes, Monoclonal Antibody (Cat# AAA320066)

No reviews yet
Full Name
Fes Monoclonal Antibody
Gene Names
FES; FPS
Reactivity
Human
Applications
Immunofluorescence, Immunohistochemistry, Western Blot
Purity
Affinity purification
Pricing
product-image-AAA322659_WB15.jpg WB (Western Blot) (Figure 1: Western blot analysis using ILK mAb against human ILK recombinant protein. (Expected MW is 42.7 kDa))

ILK, Monoclonal Antibody (Cat# AAA322659)

No reviews yet
Full Name
ILK Antibody
Gene Names
ILK; P59; ILK-1; ILK-2; p59ILK; HEL-S-28
Reactivity
Human, Mouse, Monkey
Applications
Flow Cytometry, Immunohistochemistry, Western Blot
Purity
Affinity-Chromatography
Pricing
product-image-AAA214794_AD8.jpg Application Data (Analysis of Protein Array containing more than 19,000 full-length human proteins using Cytokeratin 20 (KRT20) Mouse Monoclonal Antibody (KRT20/1991). Z- and S- Score: The Z-score represents the strength of a signal that a monoclonal antibody (MAb) (in combination with a fluorescently-tagged anti-IgG secondary antibody) produces when binding to a particular protein on the HuProtTM array. Z-scores are described in units of standard deviations (SD's) above the mean value of all signals generated on that array. If targets on HuProtTM are arranged in descending order of the Z-score, the S-score is the difference (also in units of SD's) between the Z-score. S-score therefore represents the relative target specificity of a MAb to its intended target. A MAb is considered to specific to its intended target, if the MAb has an S-score of at least 2.5. For example, if a MAb binds to protein X with a Z-score of 43 and to protein Y with a Z-score of 14, then the S-score for the binding of that MAb to protein X is equal to 29.)

Cytokeratin 20 (KRT20), Monoclonal Antibody (Cat# AAA214794)

No reviews yet
Full Name
Cytokeratin 20 (KRT20) (Colorectal Epithelial Marker)
Gene Names
KRT20; K20; CD20; CK20; CK-20; KRT21
Reactivity
Human. Others not known.
Applications
Immunohistochemistry, Western Blot
Purity
Purified Ab with BSA and Azide at 200ug/ml OR Purified Ab WITHOUT BSA and Azide at 1.0mg/ml
Pricing
product-image-AAA152753_WB13.jpg WB (Western Blot) (Western Blot; Sample: Lane1: human Lung lysate; Lane2: K562 cell lysate; Lane3: Hela cell lysate Primary Ab: 1ug/ml Mouse Anti-human IL7R Antibody Second Ab: 0.2ug/mL HRP-Linked Caprine Anti-Mouse IgG Polyclonal Antibody)

Interleukin 7 Receptor (IL7R), Monoclonal Antibody (Cat# AAA152753)

No reviews yet
Full Name
Monoclonal Antibody to Interleukin 7 Receptor (IL7R)
Gene Names
IL7R; ILRA; CD127; IL7RA; CDW127; IL-7R-alpha
Reactivity
Human
Applications
Immunoprecipitation, Immunocytochemistry, Immunohistochemistry, Western Blot
Purity
Protein A + Protein G affinity chromatography
Pricing
product-image-AAA152875_IHC13.jpg IHC (Immunohiostchemistry) (DAB staining on IHC-P;Sample: Porcine Kidney TissuePrimary Ab: 30ug/ml Mouse Anti-human APOH AntibodyControl: Used PBS instead of primary antibodySecond Ab: 2 ug/ml HRP-Linked Caprine Anti-Mouse IgG Polyclonal Antibody)

Apolipoprotein H (APOH), Monoclonal Antibody (Cat# AAA152875)

No reviews yet
Full Name
Monoclonal Antibody to Apolipoprotein H (APOH)
Gene Names
APOH; BG; B2G1; B2GP1
Reactivity
Human
Applications
Immunoprecipitation, Immunocytochemistry, Immunohistochemistry, Western Blot
Purity
Protein A + Protein G affinity chromatography
Pricing
product-image-AAA152657_WB13.jpg WB (Western Blot) (Western Blot; Sample: 293T cell lysate Primary Ab: 2ug/ml Mouse Anti-human HIF1a Antibody Second Ab: 0.2ug/mL HRP-Linked Caprine Anti-Mouse IgG Polyclonal Antibody)

Hypoxia Inducible Factor 1 Alpha (HIF1a), Monoclonal Antibody (Cat# AAA152657)

No reviews yet
Full Name
Monoclonal Antibody to Hypoxia Inducible Factor 1 Alpha (HIF1a)
Gene Names
HIF1A; HIF1; MOP1; PASD8; HIF-1A; bHLHe78; HIF-1alpha; HIF1-ALPHA
Reactivity
Human
Applications
Immunoprecipitation, Immunocytochemistry, Immunohistochemistry, Western Blot
Purity
Affinity Chromatography
Pricing
product-image-AAA152669_WB10.jpg WB (Western Blot) (Western Blot; Sample: Lane1: Rat Liver lysate; Lane2: Rat Spleen lysate Primary Ab: 2 ug/ml Mouse Anti-human FTL Antibody Second Ab: 0.2ug/mL HRP-Linked Caprine Anti-Mouse IgG Polyclonal Antibody)

Ferritin, Light Polypeptide (FTL), Monoclonal Antibody (Cat# AAA152669)

No reviews yet
Full Name
Monoclonal Antibody to Ferritin, Light Polypeptide (FTL)
Gene Names
FTL; LFTD; NBIA3
Reactivity
Human, Rat, Pig
Applications
Immunoprecipitation, Immunocytochemistry, Immunohistochemistry, Western Blot
Purity
Affinity Chromatography
Pricing

CD15, Monoclonal Antibody (Cat# AAA129105)

No reviews yet
Full Name
Anti-Hu CD15 Purified
Reactivity
Human
Applications
Flow Cytometry
Purity
Purified by protein-A affinity chromatography
Pricing

Ig Lambda Light Chain, Monoclonal Antibody (Cat# AAA128258)

No reviews yet
Full Name
Anti-Hu Ig Lambda Light Chain PE, Immunoglobulin lambda, IgI
Reactivity
Human
Applications
Flow Cytometry
Purity
The purified antibody is conjugated with R-phycoerythrin (PE) under optimum conditions. The conjugate is purified by size-exclusion chromatography.
Pricing
product-image-AAA173677_IF11.jpg IF (Immunofluorescence) (Immunofluorescence analysis of Human liver cancer tissue using TTR Monoclonal Antibody at dilution of 1:200.)

TTR, Monoclonal Antibody (Cat# AAA173677)

No reviews yet
Full Name
TTR Monoclonal Antibody
Gene Names
TTR; CTS; ATTR; CTS1; PALB; TBPA; HEL111; HsT2651
Reactivity
Human
Applications
Immunohistochemistry, Western Blot
Purity
Protein A Purification
Pricing
product-image-AAA174750_FCM15.jpg FCM/FACS (Flow Cytometry) (Human T lymphoblastic leukemia cell line Molt-4 are stained with Anti-Human CD1a Monoclonal Antibody(AF647 Conjugated)(filled gray histogram) or Mouse IgG1 Isotype Control Alexa Fluor 647(empty black histogram).)

CD1a, Monoclonal Antibody (Cat# AAA174750)

No reviews yet
Full Name
Anti-Human CD1a Monoclonal Antibody (AF647 Conjugated) [OKT-6]
Gene Names
CD1A; R4; T6; CD1; FCB6; HTA1
Reactivity
Human
Applications
Flow Cytometry
Pricing

IL-2, Monoclonal Antibody (Cat# AAA174769)

No reviews yet
Full Name
Purified Anti-Mouse IL-2 Monoclonal Antibody [JES6-5H4]
Gene Names
Il2; Il-2
Reactivity
Mouse
Applications
Immunohistochemistry, Flow Cytometry
Pricing
product-image-AAA174621_FCM13.jpg FCM/FACS (Flow Cytometry) (Human peripheral blood lymphocytes are stained with Anti-Human CD31 Monoclonal Antibody(PerCP/Cy5.5 Conjugated)(filled gray histogram). Unstained lymphocytes (empty black histogram) are used as control.)

CD31, Monoclonal Antibody (Cat# AAA174621)

No reviews yet
Full Name
Anti-Human CD31 Monoclonal Antibody (PerCP/Cy5.5 Conjugated)
Gene Names
PECAM1; CD31; PECA1; GPIIA'; PECAM-1; endoCAM; CD31/EndoCAM
Reactivity
Human
Applications
Flow Cytometry
Pricing

Biotin Labeled Anti Human Factor VII, Clone 11G42D8, Monoclonal Antibody (Cat# AAA37677)

No reviews yet
Full Name
Biotin Labeled Anti Human Factor VII, Clone 11G42D8
Gene Names
F7; SPCA
Reactivity
Human
Applications
Western Blot
Purity
IgG fraction
Pricing

MIP1 alpha, Monoclonal Antibody (Cat# AAA74546)

No reviews yet
Full Name
MIP1 alpha antibody
Applications
Neutralization Assay, Western Blot
Purity
MIP1 alpha antibody was purified by Protein A chromatography.
Pricing

GLUCOCORTICOID RECEPTOR, Monoclonal Antibody (Cat# AAA49104)

No reviews yet
Full Name
MOUSE ANTI HUMAN GLUCOCORTICOID RECEPTOR:FITC
Gene Names
NR3C1; GR; GCR; GRL; GCCR; GCRST
Reactivity
Mouse
Applications
Flow Cytometry
Purity
Purified IgG prepared by ion exchange chromatography from tissue culture supernatant
Pricing

ESCHERICHIA COLI LABILE TOXIN A CHAIN, Monoclonal Antibody (Cat# AAA49181)

No reviews yet
Full Name
MOUSE ANTI ESCHERICHIA COLI LABILE TOXIN A CHAIN
Applications
Western Blot, Immunofluorescence
Pricing

V5-TAG, Monoclonal Antibody (Cat# AAA49249)

No reviews yet
Full Name
MOUSE ANTI V5-TAG
Applications
Western Blot, Radioimmunoassay, Immunoprecipitation, Immunohistochemistry, Immunofluorescence, Flow Cytometry
Pricing
product-image-AAA49034_AD8.gif Application Data (Staining of human peripheral blood platelets with Mouse anti Human CD9:Biotin)

CD9, Monoclonal Antibody (Cat# AAA49034)

No reviews yet
Full Name
MOUSE ANTI HUMAN CD9:Biotin
Gene Names
CD9; MIC3; MRP-1; BTCC-1; DRAP-27; TSPAN29; TSPAN-29
Applications
Flow Cytometry
Pricing
product-image-AAA48060_IF13.jpg IF (Immunofluorescence) (ICC/IF analysis of BRCC36 in HeLa cells line, stained with DAPI (Blue) for nucleus staining and monoclonal anti-human BRCC36 antibody (1:100) with goat anti-mouse IgG-Alexa fluor 488 conjugate (Green).)

BRCC36, Monoclonal Antibody (Cat# AAA48060)

No reviews yet
Full Name
BRCC36 antibody
Gene Names
BRCC3; C6.1A; BRCC36; CXorf53
Reactivity
Human
Applications
Immunofluorescence, Immunocytochemistry, Flow Cytometry, Western Blot
Purity
By protein-G affinity chromatography
Pricing

CD90 Thy-1.2, Monoclonal Antibody (Cat# AAA37904)

No reviews yet
Full Name
Rat Anti Mouse CD90 Thy-1.2
Purity
boric acid precipitation.
Pricing
product-image-AAA46888_IHC13.jpg IHC (Immunohiostchemistry) (Immunohistochemical analysis of paraffin-embedded human bladder, using Cyclin D1 Antibody(AAA46888)CCND1 was detected in paraffin-embedded tissue section. Heat mediated antigen retrieval was performed in citrate buffer (pH6, epitope retrieval solution) for 20 mins. The tissue section was blocked with 10% goat serum. The tissue section was then incubated with 1ug/ml rabbit anti-CCND1 Antibody (AAA46888)overnight at 4 degree C. Biotinylated goat anti-rabbit IgG was used as secondary antibody and incubated for 30 minutes at 37 degree C. The tissue section was developed using Strepavidin-Biotin-Complex (SABC) with DAB as the chromogen.)

Cyclin D1, Monoclonal Antibody (Cat# AAA46888)

No reviews yet
Full Name
Anti-Cyclin D1 Rabbit Monoclonal Antibody
Gene Names
CCND1; BCL1; PRAD1; U21B31; D11S287E
Reactivity
Human, Mouse, Rat
Applications
Western Blot, Immunocytochemistry, Immunohistochemistry, Immunofluorescence, Immunoprecipitation
Purity
Affinity-chromatography
Pricing
product-image-AAA47119_WB13.jpg WB (Western Blot) (Western blot analysis of Lamin B1 expression in (1) Hela cell lysate; (2) Jurkat cell lysate; (3) Mouse brain lysate; (4) Rat heart lysate with Lamin B1 Antibody (AAA47119).Electrophoresis was performed on a 5-20% SDS-PAGE gel at 70V (Stacking gel) / 90V (Resolving gel) for 2-3 hours. The sample well of each lane was loaded with 50ug of sample under reducing conditions.After Electrophoresis, proteins were transferred to a Nitrocellulose membrane at 150mA for 50-90 minutes. Blocked the membrane with 5% Non-fat Milk/ TBS for 1.5 hour at RT. The membrane was incubated with rabbit anti-LMNB1 monoclonal antibody overnight at 4 degree C, then washed with TBS-0.1%Tween 3 times with 5 minutes each and probed with a goat anti-rabbit IgG-HRP secondary antibody at a dilution of 1:10000 for 1.5 hour at RT. The signal is developed using an Enhanced Chemiluminescent detection (ECL) kit with Tanon 5200 system. A specific band was detected for LMNB1)

Lamin B1, Monoclonal Antibody (Cat# AAA47119)

No reviews yet
Full Name
Anti-Lamin B1 Rabbit Monoclonal Antibody
Gene Names
LMNB1; LMN; ADLD; LMN2; LMNB
Reactivity
Human, Mouse, Rat
Applications
Western Blot, Immunocytochemistry, Immunohistochemistry, Immunofluorescence, Immunoprecipitation
Purity
Affinity-chromatography
Pricing
product-image-AAA47175_FCM10.png FCM/FACS (Flow Cytometry) (Figure 4. Phylogenetic analysis of amino acid sequence of different Rabbit Anti-CS1 mAb clones.  A) Heavy chain and  B) Light chain.)

CS1, Monoclonal Antibody (Cat# AAA47175)

No reviews yet
Full Name
Anti-CS1 antibody (DM9), Rabbit mAb
Gene Names
SLAMF7; 19A; CS1; CD319; CRACC
Reactivity
Human
Applications
Immunofluorescence, Immunoprecipitation, Flow Cytometry
Purity
Purified from cell culture supernatant by affinity chromatography
Pricing
product-image-AAA47073_IHC13.jpg IHC (Immunohiostchemistry) (Immunohistochemical analysis of paraffin-embedded human uterus, using Integrin alpha 6 Antibody(AAA47073)ITGA6 was detected in paraffin-embedded tissue section. Heat mediated antigen retrieval was performed in citrate buffer (pH6, epitope retrieval solution) for 20 mins. The tissue section was blocked with 10% goat serum. The tissue section was then incubated with 1ug/ml rabbit anti-ITGA6 Antibody (AAA47073)overnight at 4 degree C. Biotinylated goat anti-rabbit IgG was used as secondary antibody and incubated for 30 minutes at 37 degree C. The tissue section was developed using Strepavidin-Biotin-Complex (SABC) with DAB as the chromogen.)

Integrin alpha 6, Monoclonal Antibody (Cat# AAA47073)

No reviews yet
Full Name
Anti-Integrin alpha 6 Rabbit Monoclonal Antibody
Gene Names
ITGA6; CD49f; VLA-6; ITGA6B
Reactivity
Human, Mouse, Rat
Applications
Western Blot, Immunohistochemistry
Purity
Affinity-chromatography
Pricing
product-image-AAA47302_FCM10.png FCM/FACS (Flow Cytometry) (Figure 4. Affinity ranking of different Rabbit anti-2B4 mAb clones by titration of different concentration onto THP-1 cells. The Y-axis represents the mean fluorescence intensity (MFI) while the X-axis represents the concentration of IgG used.)

2B4, Monoclonal Antibody (Cat# AAA47302)

No reviews yet
Full Name
Anti-2B4 antibody (DM70), Rabbit mAb
Gene Names
CD244; 2B4; NAIL; Nmrk; NKR2B4; SLAMF4
Reactivity
Human
Applications
Flow Cytometry
Purity
Purified from cell culture supernatant by affinity chromatography
Pricing
product-image-AAA49274_AD8.jpg Application Data (Published customer image: FITC conjugated Mouse anti Rat CD71 antibody, clone OX-26 used for flow cytometryImage caption:Flow cytometric analysis of follicle stem cells separated by Vario MACS. (a -d) Single-color flow cytometric analysis of the selected follicle stem cells. X axis represents fluorescence intensity, and Y axis represents cell number. (a) Bulge region cell suspension without antibody staining was used as control. (b) CD34bri cells were isolated by Vario MACS. (c) Control for a6 separation. (d) a6bri cells were isolated by Vario MACS. (e -h) Two-color flow cytometric analysis of follicle stem cells selected by Vario MACS. Cells were divided into four subpopulations: a PEbri FITCdim cells; b PEbri FITCbri cells; c PEdim FITCdim cells; and d PEdim FITCbri cells. (e) Control. (f) CD71 and CD34 was detected with FITC (X axis) and with PE (Y axis). The majority of the isolated cells were CD34briCD71dim cells, characterized by high level expression of CD34 and low level of CD71. No CD34dimCD71bri cells were detected in our experiments. (g) Control for a6 and CD71 combined separation; (h) The a6briCD71dim cells were the main subpopulation of the separated cells.From: Huang E, Lian X, Chen W, Yang T, Yang L. Characterization of rat hair follicle stem cells selected by vario magnetic activated cell sorting system. Acta Histochem Cytochem. 2009 Oct 30;42(5):129-36.)

CD71, Monoclonal Antibody (Cat# AAA49274)

No reviews yet
Full Name
MOUSE ANTI RAT CD71
Gene Names
Tfrc; Trfr
Applications
Western Blot, Immunohistochemistry, Immunofluorescence, Flow Cytometry, Immunohistochemistry
Pricing
product-image-AAA71498_AD15.gif Application Data

b-Dystroglycan (Tyr-892), Monoclonal Antibody (Cat# AAA71498)

No reviews yet
Full Name
beta-Dystroglycan (Tyr-892), phospho-specific
Reactivity
Human, Rat, Mouse
Applications
Western Blot
Purity
Protein A Purified
Pricing

Alpha-1-antitrypsin, Monoclonal Antibody (Cat# AAA47636)

No reviews yet
Full Name
Alpha-1-Antitrypsin Monoclonal Antibody
Applications
Immunoassay
Pricing
product-image-AAA47669_AD15.jpg Application Data (Gentamicin is an antibiotic used to treat several types of bacterial infections including bone infections, endocarditis, pelvic inflammatory disease, meningitis, pneumonia, urinary tract infections, and sepsis. Gentamicin was discovered in 1963 and is produced by Micromonospora purpurea. Gentamicin is on the World Health Organization's List of Essential Medicines.)

Gentamicin, Monoclonal Antibody (Cat# AAA47669)

No reviews yet
Full Name
Gentamicin Monoclonal Antibody
Applications
ELISA
Pricing
product-image-AAA36400_ICC11.gif ICC (Immunocytochemistry) (Immunostaining analysis in HeLa cells. HeLa cells were fixed with 4% paraformaldehyde and permeabilized with 0.1% Triton X-100 in PBS. The cells were immunostained with anti-FOS mAb. [Lot No. 554C1a-1])

FOS, Monoclonal Antibody (Cat# AAA36400)

No reviews yet
Full Name
Mouse monoclonal antibody Anti-Human FOS
Gene Names
FOS; p55; AP-1; C-FOS
Reactivity
Human
Applications
Immunocytochemistry, Dot Blot
Pricing
product-image-AAA36435_ICC8.gif ICC (Immunocytochemistry) (Immunostaining analysis in HeLa cells. HeLa cells were fixed with 4% paraformaldehyde and permeabilized with 0.1% Triton X-100 in PBS. The cells were immunostained with anti-ZW10 mAb. [Lot No. 3363C4a-1])

ZW10, Monoclonal Antibody (Cat# AAA36435)

No reviews yet
Full Name
Mouse monoclonal antibody Anti-Human ZW10
Gene Names
ZW10; HZW10; KNTC1AP
Reactivity
Human
Applications
Western Blot, Immunoprecipitation, Immunocytochemistry, Dot Blot
Pricing
product-image-AAA36468_ICC10.gif ICC (Immunocytochemistry) (Immunostaining analysis in HeLa cells. HeLa cells were fixed with 4% paraformaldehyde and permeabilized with 0.1% Triton X-100 in PBS. The cells were immunostained with anti-COX4NB mAb. [Lot No. 2643C6a-1])

COX4NB, Monoclonal Antibody (Cat# AAA36468)

No reviews yet
Full Name
Mouse monoclonal antibody Anti-Human COX4NB
Gene Names
EMC8; NOC4; COX4NB; C16orf2; C16orf4; FAM158B
Reactivity
Human
Applications
Western Blot, Immunocytochemistry, Dot Blot
Pricing
product-image-AAA36372_ICC11.gif ICC (Immunocytochemistry) (Immunostaining analysis in HeLa cells. HeLa cells were fixed with 4% paraformaldehyde and permeabilized with 0.1% Triton X-100 in PBS. The cells were immunostained with anti-ACIN1 mAb. [Lot No. 2005C3a-1])

ACIN1, Monoclonal Antibody (Cat# AAA36372)

No reviews yet
Full Name
Mouse monoclonal antibody Anti-Human ACIN1
Gene Names
ACIN1; ACN; ACINUS; fSAP152
Reactivity
Human
Applications
Western Blot, Immunocytochemistry, Dot Blot
Pricing
product-image-AAA36499_ICC11.gif ICC (Immunocytochemistry) (Immunostaining analysis in HeLa cells. HeLa cells were fixed with 4% paraformaldehyde and permeabilized with 0.1% Triton X-100 in PBS. The cells were immunostained with anti-ID1 mAb. [Lot No. 2456C1a-1])

ID1, Monoclonal Antibody (Cat# AAA36499)

No reviews yet
Full Name
Mouse monoclonal antibody Anti-Human ID1
Gene Names
ID1; ID; bHLHb24
Reactivity
Human
Applications
Immunocytochemistry, Dot Blot
Pricing
product-image-AAA36525_QC13.gif Quality Control #2 (Arrow indicates the region of immunized recombinant protein carrying 50-200 amino acids.)

BRRN1, Monoclonal Antibody (Cat# AAA36525)

No reviews yet
Full Name
Mouse monoclonal antibody Anti-Human BRRN1
Gene Names
NCAPH; BRRN1; CAP-H
Reactivity
Human
Applications
Dot Blot
Pricing

Foot and Mouth Disease Virus Type O (FMDV), Monoclonal Antibody (Cat# AAA36569)

No reviews yet
Full Name
Monoclonal Anti-Foot and Mouth Disease Virus Type O (FMDV)
Purity
>90% by SDS-PAGE
Purification: Iron Exchange
Pricing
product-image-AAA103089_ICC11.png ICC (Immunocytochemistry) (Immunocytochemistry/Immunofluorescence analysis using Mouse Anti-HO-1 Monoclonal Antibody, Clone 1F12-A6. Tissue: HaCaT cells. Species: Human. Fixation: Cold 100% methanol for 10 minutes at -20 degree C. Primary Antibody: Mouse Anti-HO-1 Monoclonal Antibody at 1:100 for 1 hour at RT. Secondary Antibody: FITC Goat Anti-Mouse (green) at 1:50 for 1 hour at RT. Localization: Cell-cell border staining in epidermis, punctuate nuclear staining.)

HO-1, Monoclonal Antibody (Cat# AAA103089)

No reviews yet
Full Name
HO-1 Antibody: PerCP
Gene Names
HMOX1; HO-1; HSP32; HMOX1D; bK286B10
Reactivity
Human, Mouse, Bovine
Applications
Immunocytochemistry, Immunoprecipitation, Immunohistochemistry, Western Blot
Pricing
product-image-AAA103109_WB13.png WB (Western Blot) (Western Blot analysis of Human Cell lysates showing detection of Hsp70 protein using Mouse Anti-Hsp70 Monoclonal Antibody, Clone N27. Load: 15 ug. Block: 1.5% BSA for 30 minutes at RT. Primary Antibody: Mouse Anti-Hsp70 Monoclonal Antibody at 1:1000 for 2 hours at RT. Secondary Antibody: Sheep Anti-Mouse IgG: HRP for 1 hour at RT.)

HSP70/HSC70, Monoclonal Antibody (Cat# AAA103109)

No reviews yet
Full Name
Hsp70/Hsc70 Antibody: PerCP
Gene Names
HSPA1A; HSP72; HSPA1; HSP70I; HSP70-1; HSP70-1A; HEL-S-103
Reactivity
Human, Mouse, Rat, Bovine, C.elegans, Beluga, Canine, Chicken, Drosophila, Fish, Guinea pig, Hamster, Monkey, Pig, Plant, Rabbit, Sheep, Xenopus
Applications
Immunofluorescence, Immunoelectron Microscopy, Flow Cytometry, Immunohistochemistry, Immunoprecipitation, Western Blot
Pricing
product-image-AAA106265_IF13.jpg IF (Immunofluorescence) (Immunofluorescent staining of COS7 cells transiently transfected with recombinant HDAC10 protein using HDAC10 antibody)

HDAC10, Monoclonal Antibody (Cat# AAA106265)

No reviews yet
Full Name
HDAC10 antibody
Gene Names
HDAC10; HD10
Applications
Western Blot, Immunofluorescence, Flow Cytometry
Purity
HDAC10 antibody was purified by affinity chromatography.
Pricing
product-image-AAA106355_IF13.jpg IF (Immunofluorescence) (Immunofluorescent staining of COS7 cells transiently transfected with recombinant GPHN protein using GPHN antibody)

GPHN, Monoclonal Antibody (Cat# AAA106355)

No reviews yet
Full Name
GPHN antibody
Gene Names
GPHN; GPH; GEPH; HKPX1; GPHRYN; MOCODC
Applications
Western Blot, Immunofluorescence, Flow Cytometry
Purity
GPHN antibody was purified by affinity chromatography.
Pricing
product-image-AAA106474_IHC13.jpg IHC (Immunohiostchemistry) (Immunohistochemical analysis of DPP9 protein in paraffin embedded Human lymphoma tissue using DPP9 antibody)

DPP9, Monoclonal Antibody (Cat# AAA106474)

No reviews yet
Full Name
DPP9 antibody
Gene Names
DPP9; DP9; DPLP9; DPRP2; DPRP-2
Applications
Western Blot, Immunohistochemistry, Flow Cytometry
Purity
DPP9 antibody was purified by affinity chromatography.
Pricing
product-image-AAA76610_WB13.jpg WB (Western Blot) (Western blot analysis of different tissue and cell lysates using mouse mAb to GAP43, MO22170, dilution 1:5,000, in green: [1] protein standard (red), [2] rat brain, [3] rat spinal cord, [4] mouse brain, [5] mouse spinal cord, [6] C6 cells, [7] SH-SY5Y cells. The single band at the 43kDa mark corresponds to the GAP43 protein.)

GAP43, Monoclonal Antibody (Cat# AAA76610)

No reviews yet
Full Name
GAP43
Gene Names
GAP43; B-50; PP46
Reactivity
Human, Mouse, Rat
Applications
Immunofluorescence, Immunohistochemistry, Western Blot, Immunocytochemistry
Purity
Affinity Purified
Pricing
product-image-AAA162086_WB15.jpg WB (Western Blot) (Western Blot; Sample: Rat Skeletal muscle lysatePrimary Ab: 0.25ug/ml Mouse Anti-Rat H-FABP AntibodySecond Ab: 0.2ug/ml HRP-Linked Caprine Anti-Mouse IgG Polyclonal Antibody. Western Blot; Sample: Rat Heart lysatePrimary Ab: 0.25ug/ml Mouse Anti-Rat H-FABP AntibodySecond Ab: 0.2ug/ml HRP-Linked Caprine Anti-Mouse IgG Polyclonal Antibody)

Heart-type Fatty Acid Binding Protein (H-FABP), Monoclonal Antibody (Cat# AAA162086)

No reviews yet
Full Name
Monoclonal Antibody to Heart-type Fatty Acid Binding Protein (H-FABP)
Reactivity
Rat
Applications
Immunoprecipitation, Immunocytochemistry, Immunohistochemistry, Western Blot
Purity
Antigen-specific affinity chromatography followed by Protein A affinity chromatography
Pricing
product-image-AAA108119_IHC15.jpg WB (Western Blot) (Immunoblot of human serum stained with Complement H antibody (AAA108119 [L20/3] and (Immunohistochemistry). Human duodenum stained with Complement Factor H antibody)

Complement H, Monoclonal Antibody (Cat# AAA108119)

No reviews yet
Full Name
Complement H antibody
Reactivity
Human
Applications
Western Blot
Purity
Complement H antibody was purified from cell culture supernatant by protein A/G chromatography
Pricing
product-image-AAA102790_WB13.jpg WB (Western Blot) (K-562 cells were subjected to SDS PAGE followed by western blot with AAA102790 (F12 antibody) at dilution of 1:1000)

Factor XII, Monoclonal Antibody (Cat# AAA102790)

No reviews yet
Full Name
Factor XII Mouse Monoclonal
Gene Names
F12; HAF; HAE3; HAEX
Reactivity
Human, Mouse
Applications
Immunohistochemistry, Immunofluorescence, Western Blot
Purity
>=95% as determined by SDS-PAGE
Protein A+G purification
Pricing
product-image-AAA102835_WB13.png WB (Western Blot) (Western Blot analysis of Human Cell lysates showing detection of Hsp70 protein using Mouse Anti-Hsp70 Monoclonal Antibody, Clone N27. Load: 15 ug. Block: 1.5% BSA for 30 minutes at RT. Primary Antibody: Mouse Anti-Hsp70 Monoclonal Antibody at 1:1000 for 2 hours at RT. Secondary Antibody: Sheep Anti-Mouse IgG: HRP for 1 hour at RT.)

HSP70/HSC70, Monoclonal Antibody (Cat# AAA102835)

No reviews yet
Full Name
Hsp70/Hsc70 Antibody: ATTO 390
Gene Names
HSPA1A; HSP72; HSPA1; HSP70I; HSP70-1; HSP70-1A; HEL-S-103
Reactivity
Human, Mouse, Rat, Bovine, C.elegans, Beluga, Canine, Chicken, Drosophila, Fish, Guinea pig, Hamster, Monkey, Pig, Plant, Rabbit, Sheep, Xenopus
Applications
Immunofluorescence, Immunoelectron Microscopy, Flow Cytometry, Immunohistochemistry, Immunoprecipitation, Western Blot
Pricing
product-image-AAA102767_WB15.jpg WB (Western Blot) (HeLa cells were subjected to SDS PAGE followed by western blot with AAA102767 (CXCR3B antibody) at dilution of 1:2000)

CXCR3B, Monoclonal Antibody (Cat# AAA102767)

No reviews yet
Full Name
CXCR3B-specific Mouse Monoclonal
Reactivity
Human
Applications
Western Blot
Purity
Purity: >95% as determined by SDS-PAGE
Purification: Protein A+G purification
Pricing
product-image-AAA103188_ICC8.png ICC (Immunocytochemistry) (Immunocytochemistry/Immunofluorescence analysis using Mouse Anti-Hsp60 Monoclonal Antibody, Clone LK1,. Tissue: skin Fibroblasts. Species: Human. Fixation: Cold 100% methanol for 30 minutes at -20 degree C . Primary Antibody: Mouse Anti-Hsp60 Monoclonal Antibody at 1:1000 for 1 hour at RT. Secondary Antibody: DAKO LSAB2 streptavidin-peroxidase system. Counterstain: Mayer Hematoxylin (purple/blue) nuclear stain. Left: control; Right: 24 hours after 7th passage of senescence. Courtesy of: Valentina di Felice, University of Palermo, Italy.)

HSP60, Monoclonal Antibody (Cat# AAA103188)

No reviews yet
Full Name
Hsp60 Antibody: RPE
Gene Names
HSPD1; HLD4; CPN60; GROEL; HSP60; HSP65; SPG13; HSP-60; HuCHA60
Reactivity
Human, Mouse, Rat, Bovine, Canine, Chicken, Drosophila, Guinea Pig, Hamster, Monkey, Pig, Rabbit, Sheep, Xenopus, Soybean
Applications
Immunohistochemistry, Flow Cytometry, Immunoprecipitation, Western Blot
Pricing

What are Monoclonal Antibodies?


Monoclonal antibodies are specialized laboratory-produced proteins developed for binding to specific biological antigens or other molecular targets. Since they come from a single cell (or clone), they are especially consistent and accurate in the data they are involved in producing.


This type of antibody material has been shown to be a powerful tool in finding and subsequently destroying harmful cells in an organism, such as those found in cancers or various autoimmune diseases. This makes them excellent aids in medical testing and research, which is why they are so widely used.


AAA Biotech offers a comprehensive range of high-quality monoclonal antibodies that perform effectively in various laboratory tests, including (amongst others) ELISA, western blotting, immunohistochemistry, and flow cytometry. All of the products in our catalog are thoroughly quality tested to make sure that they are reliable and will consistently perform well in your research.


What Are The Uses of Monoclonal Antibodies


Monoclonal antibodies are used in many lab tests, including (amongst others) ELISA, western blotting, immunohistochemistry, and flow cytometry.


ELISA is a test that helps detect a specific substance/analyte in a sample. It uses antibodies (often monoclonal) bound to a solid surface (such as the well of a microplate) to “capture” the substance/analyte in the sample and immobilize it so that the detection antibody component can then bind to it and produce a signal, which can then be measured.


Western blotting identifies specific proteins in a sample. The sample is first separated on a gel, and then antibodies are applied that will typically bind to the target, which will all be localized to a single band in a lane.


Immunohistochemistry helps locate specific proteins in cells or tissue samples using antibodies.


Flow cytometry looks at and sorts cells. It uses antibodies that are conjugated to reporter molecules called “fluorophores”, which, under special lights, emit light themselves, which can then be measured by a detector instrument.


How Monoclonal Antibodies Are Used as Medicine?


Please note that all of the products listed in AAA Biotech’s also known as AAA Bio or AAABio catalog are strictly for research-use only (RUO).


Monoclonal antibodies can also be used as therapeutic/medical treatments, particularly in the context of cancers. They are designed to find and bind to specific cells or proteins, helping the immune system recognize and attack the cancer. These treatments work in different ways, such as:


  • Radioimmunotherapy attaches a small amount of radioactive molecule to the antibody, so it delivers the radiation directly to the cancer cells that the antibody is specifically binding to.

  • Antibody-directed enzyme prodrug therapy uses antibodies that are specifically bound to special enzymes. These enzymes activate a harmless drug in the body and turn it into a cancer-killing drug only near the cancer cells—this helps avoid harming healthy cells.

  • Immunoliposomes are tiny “bubbles” filled with medicine/drug and coated with antibodies. They carry the drug straight to the cancer cells.


Why Buy Monoclonal Antibodies From Us?


At AAA Biotech, we provide high-performance monoclonal antibodies designed to support a wide range of research needs.


1. Validated for Versatile Applications


The antibodies in our catalog are extensively validated and compatible with multiple techniques, including (but not limited to) ELISA, flow cytometry (FC), immunocytochemistry (ICC), immunofluorescence (IF), immunohistochemistry (IHC), immunoprecipitation (IP), and western blotting (WB).


2. Wide Selection & Specialized Options


We offer antibodies for common and rare species, that are available in various conjugated forms, and also in recombinant formats. Essentially, there is almost anything one might need to meet their experimental model’s requirements.


3. High-Quality Proteins


Our proteins meet high purity standards—90% or more as confirmed by SDS-PAGE. Many are available with tags like His, Flag, GST, or MBP, and we also supply native and biologically active proteins for functional studies.


Frequently Asked Questions


1. Are your monoclonal antibodies validated for specific applications?


Yes, our antibodies are tested and validated for use in methods such as ELISA, western blot, IHC, flow cytometry, and more. Refer to specific product pages or datasheets for individual product information.


2. How do I choose the right monoclonal antibody for my application?


Review the product details directly for application validation, species reactivity, and target information. You may also contact our support team at any time for help.


3. How quickly can I receive my order?


Most orders are processed and shipped within 1–3 business days, depending on product availability and your shipping location.


Submit a Question

Please complete the form below and a representative will contact you as soon as possible.

Request more Information

Please complete the form below and a representative will contact you as soon as possible.

Request a Manual

Please complete the form below and a representative will contact you as soon as possible.

Request a Quote

Please complete the form below and a representative will contact you as soon as possible.