Loading...

Skip to main content
Call us at +1-800-604-9114 for more information about our products or contact us online Need help? +1-800-604-9114 or contact us

Filters


Clonality

Type

Reactivity

Gene Name

Isotype

Host

Application

Clone

Monoclonal Antibodies

Get accurate results in your research with our Monoclonal Antibodies, which are specially made to target exactly what you require for your research, and will produce consistent, reliable performance in lab tests.


Viewing 8550-8600 of 10000 product results


product-image-AAA103335_WB10.png WB (Western Blot) (Western Blot analysis of Human Cell lysates showing detection of Aha1 protein using Rat Anti-Aha1 Monoclonal Antibody, Clone 25F2.D9. Load: 15 ug. Block: 1.5% BSA for 30 minutes at RT. Primary Antibody: Rat Anti-Aha1 Monoclonal Antibody at 1:1000 for 2 hours at RT. Secondary Antibody: Sheep Anti-Mouse IgG: HRP for 1 hour at RT.)

Aha1, Monoclonal Antibody (Cat# AAA103335)

Full Name
Aha1 Antibody: ATTO 594
Gene Names
Ahsa1; p38; BC023857
Reactivity
Human, Mouse, Rat
Applications
Immunofluorescence, Immunocytochemistry, Immunohistochemistry, Immunoprecipitation, Western Blot
Pricing
product-image-AAA103361_IHC11.png IHC (Immunohistochemisry) (Immunohistochemistry analysis using Mouse Anti-HCN2 Monoclonal Antibody, Clone S71-37. Tissue: hippocampus. Species: Human. Fixation: Bouin's Fixative and paraffin-embedded. Primary Antibody: Mouse Anti-HCN2 Monoclonal Antibody at 1:100 for 1 hour at RT. Secondary Antibody: FITC Goat Anti-Mouse (green) at 1:50 for 1 hour at RT.)

HCN2, Monoclonal Antibody (Cat# AAA103361)

Full Name
HCN2 Antibody
Reactivity
Mouse, Rat
Applications
Immunofluorescence, Immunohistochemistry, Immunoprecipitation, Western Blot
Pricing
product-image-AAA103946_WB13.png WB (Western Blot) (Western Blot analysis of Human Lymphoblastoid cell line (Raji) showing detection of 33-35 kDa CD74 protein using Mouse Anti-CD74 Monoclonal Antibody, Clone 3D7 . Lane 1: Molecular Weight Ladder (MW). Lane 2: Raji cell lysate. Load: 15 ug. Block: 5% Skim Milk in TBST. Primary Antibody: Mouse Anti-CD74 Monoclonal Antibody at 1:1000 for 2 hours at RT. Secondary Antibody: Goat Anti-Mouse IgG: HRP at 1:1000 for 60 min at RT. Color Development: ECL solution for 5 min in RT. Predicted/Observed Size: 33-35 kDa.)

CD74, Monoclonal Antibody (Cat# AAA103946)

Full Name
CD74 Antibody, Clone 3D7: FITC
Gene Names
CD74; II; DHLAG; HLADG; Ia-GAMMA
Reactivity
Human
Applications
Flow Cytometry, Western Blot
Purity
Protein G Purified
Pricing
product-image-AAA103997_FCM11.png FCM/FACS (Flow Cytometry) (Flow Cytometry analysis using Mouse Anti-Acrolein Monoclonal Antibody, Clone 2H2. Tissue: Neuroblastoma cells (SH-SY5Y). Species: Human. Fixation: 90% Methanol. Primary Antibody: Mouse Anti-Acrolein Monoclonal Antibody at 1:50 for 30 min on ice. Secondary Antibody: Goat Anti-Mouse: PE at 1:100 for 20 min at RT. Isotype Control: Non Specific IgG. Cells were subject to oxidative stress by treating with 250 uM H2O2 for 24 hours.)

Acrolein, Monoclonal Antibody (Cat# AAA103997)

Full Name
Acrolein Antibody, Clone 2H2: ATTO 488
Reactivity
Species Independent
Applications
Flow Cytometry, Immunofluorescence, Immunocytochemistry, Western Blot
Purity
Protein G Purified
Pricing
product-image-AAA104031_FCM11.png FCM/FACS (Flow Cytometry) (Flow Cytometry analysis using Mouse Anti-4-hydroxy-2-hexenal Monoclonal Antibody, Clone 6F10. Tissue: Neuroblastoma cells (SH-SY5Y). Species: Human. Fixation: 90% Methanol. Primary Antibody: Mouse Anti-4-hydroxy-2-hexenal Monoclonal Antibody at 1:50 for 30 min on ice. Secondary Antibody: Goat Anti-Mouse: PE at 1:100 for 20 min at RT. Isotype Control: Non Specific IgG. Cells were subject to oxidative stress by treating with 250 uM H2O2 for 24 hours.)

4-Hydroxy-2-hexenal, Monoclonal Antibody (Cat# AAA104031)

Full Name
4-Hydroxy-2-hexenal Antibody, Clone 6F10
Reactivity
Species Independent
Applications
Flow Cytometry, Immunofluorescence, Immunocytochemistry, Western Blot
Purity
Protein G Purified
Pricing
product-image-AAA76412_AD15.gif Application Data (Image: TH Staining in the Substantia Nigra.)

Tyrosine Hydroxylase, Monoclonal Antibody (Cat# AAA76412)

Full Name
Tyrosine Hydroxylase, Monoclonal Antibody, Mouse
Gene Names
TH; TYH; DYT14; DYT5b
Reactivity
Human
Applications
Western Blot, Immunohistochemistry
Pricing
product-image-AAA49025_AD8.gif Application Data (His-Ubiquitin recombinant protein probed with Mouse anti Histidine Tag)

HISTIDINE TAG, Monoclonal Antibody (Cat# AAA49025)

Full Name
MOUSE ANTI HISTIDINE TAG:Biotin
Applications
Western Blot
Pricing
product-image-AAA49061_AD8.gif Application Data (Staining of human peripheral blood monocytes with Mouse anti Human CD54)

CD54, Monoclonal Antibody (Cat# AAA49061)

Full Name
MOUSE ANTI HUMAN CD54:FITC
Gene Names
ICAM1; BB2; CD54; P3.58
Applications
Flow Cytometry
Pricing
product-image-AAA107468_IHC11.jpg IHC (Immunohistochemisry) (Immunohistochemical analysis of SSB protein in paraffin embedded Carcinoma of Human thyroid tissue using SSB antibody)

SSB, Monoclonal Antibody (Cat# AAA107468)

Full Name
SSB antibody
Applications
Western Blot, Immunohistochemistry
Purity
SSB antibody was purified by affinity chromatography.
Pricing
product-image-AAA107510_WB13.jpg WB (Western Blot) (Western Blot analysis of HEK293T cell lysates (5 ug) transfected with either recombinant PRKAR1B protein (Right) or empty vector (Left) detected with PRKAR1B antibody)

PRKAR1B, Monoclonal Antibody (Cat# AAA107510)

Full Name
PRKAR1B antibody
Gene Names
PRKAR1B; PRKAR1
Applications
Western Blot, Immunofluorescence
Purity
PRKAR1B antibody was purified by affinity chromatography.
Pricing
product-image-AAA108001_IF10.jpg IF (Immunofluorescence) (Immunofluorescent staining of COS7 cells transiently transfected with recombinant VASP protein using VASP antibody)

VASP, Monoclonal Antibody (Cat# AAA108001)

Full Name
VASP antibody
Applications
Western Blot, Immunohistochemistry, Immunofluorescence, Flow Cytometry
Purity
VASP antibody was purified by affinity chromatography.
Pricing
product-image-AAA108046_IF11.jpg IF (Immunofluorescence) (Immunofluorescent staining of COS7 cells transiently transfected with recombinant VASP protein using VASP antibody)

VASP, Monoclonal Antibody (Cat# AAA108046)

Full Name
VASP antibody
Applications
Western Blot, Immunofluorescence, Flow Cytometry
Purity
VASP antibody was purified by affinity chromatography.
Pricing
product-image-AAA40995_ELISA13.jpg ELISA (Figure 2 ELISA Validation of HIV-1 p24 Antibody with HIV-1 p24 Protein Coating Antigen: HIV-1 p24 recombinant protein, 1ug/mL, incubated at 4 degree C overnight. Detection Antibodies: HIV-1 p24 antibody, AAA40995, dilution: 0.3-1000 ng/mL, incubated at RT for 1 hr. Secondary Antibodies: Goat anti-mouse HRP at 1:5,000, incubated at RT for 1 hr.)

HIV-1 p24, Monoclonal Antibody (Cat# AAA40995)

Full Name
HIV-1 p24 Antibody [8A1A6]
Reactivity
Virus
Applications
Western Blot
Purity
Anti-HIV-1 p24 antibody is immunoaffinity chromatography purified IgG.
Pricing
product-image-AAA41006_ELISA13.jpg ELISA (Figure 2 ELISA Validation of HIV-1 p24 Antibody with HIV-1 p24 Protein Coating Antigen: HIV-1 p24 recombinant protein, 1ug/mL, incubated at 4 degree C overnight. Detection Antibodies: HIV-1 p24 antibody, PM-7369, dilution: 0.3-1000 ng/mL, incubated at RT for 1 hr. Secondary Antibodies: Goat anti-mouse HRP at 1:5,000, incubated at RT for 1 hr.)

HIV-1 p24, Monoclonal Antibody (Cat# AAA41006)

Full Name
HIV-1 p24 Antibody [9D2F6](HRP)
Reactivity
Virus
Applications
Western Blot
Purity
Anti-HIV-1 p24 antibody is immunoaffinity chromatography purified IgG.
Pricing
product-image-AAA41014_IHC13.gif IHC (Immunohiostchemistry) (Immunocytochemistry of ERGIC53 in HL60 cells with ERGIC53 antibody at 5 ?g/ml.)

ERGIC53, Monoclonal Antibody (Cat# AAA41014)

Full Name
ERGIC53 Monoclonal Antibody
Reactivity
Human, mouse
Applications
Immunocytochemistry, Western Blot
Purity
ERGIC53 Monoclonal Antibody is Protein A purified.
Pricing

Valerylfentanyl Carboxylic acid, Monoclonal Antibody (Cat# AAA41072)

Full Name
Anti Valerylfentanyl Carboxylic acid mouse monoclonal antibody
Reactivity
CAS # 117332-91-9
Applications
ELISA
Purity
Protein G purified from mice ascites
Pricing

ATAT1, Monoclonal Antibody (Cat# AAA41075)

Full Name
Anti ATAT1 mouse monoclonal antibody
Gene Names
ATAT1; TAT; MEC17; C6orf134; Nbla00487
Reactivity
Human
Applications
Immunohistochemistry, Immunofluorescence, Western Blot
Purity
Protein G purified from mice ascites
Pricing
product-image-AAA102997_WB11.png WB (Western Blot) (Western Blot analysis of Human Heat Shocked cervical cancer cell line (HeLa) lysate showing detection of Hsp60 protein using Mouse Anti-Hsp60 Monoclonal Antibody, Clone LK-2. Load: 15 ug. Block: 1.5% BSA for 30 minutes at RT. Primary Antibody: Mouse Anti-Hsp60 Monoclonal Antibody at 1:1000 for 2 hours at RT. Secondary Antibody: Sheep Anti-Mouse IgG: HRP for 1 hour at RT.)

Hsp60, Monoclonal Antibody (Cat# AAA102997)

Full Name
Hsp60 Antibody: ATTO 390
Gene Names
HSPD1; HLD4; CPN60; GROEL; HSP60; HSP65; SPG13; HSP-60; HuCHA60
Reactivity
Human, Mouse, Rat, Bovine, Canine, Chicken, Guinea Pig, Hamster, Monkey, Pig, Rabbit, Spinach, E.coli (GroEl), H. pylori, S. typhimurium, T. spiralis, Yeast, White Fly
Applications
Flow Cytometry, Immunohistochemistry, Western Blot
Pricing
product-image-AAA77474_AD15.jpg Application Data (Figure 1. reactivity at the adhesion sites of CHO-cells transfected with E-Selectin. Dilution 500x.)

E-selectin, Monoclonal Antibody (Cat# AAA77474)

Full Name
Rat anti E-selectin
Gene Names
SELE; ELAM; ESEL; CD62E; ELAM1; LECAM2
Reactivity
Mouse
Applications
Immunoprecipitation, Immunohistochemistry, Immunofluorescence, Immunoblot, Flow Cytometry
Pricing

Hemoglobin A1c (HbA1c), Monoclonal Antibody (Cat# AAA77397)

Full Name
Hemoglobin A1c (HbA1c) Antibody
Applications
Western Blot, Lateral Flow
Purity
>90%
Pricing
product-image-AAA103086_WB11.png WB (Western Blot) (Western Blot analysis of Rat brain membrane lysate showing detection of SHANK3 protein using Mouse Anti-SHANK3 Monoclonal Antibody, Clone S69-46. Load: 15 ug. Block: 1.5% BSA for 30 minutes at RT. Primary Antibody: Mouse Anti-SHANK3 Monoclonal Antibody at 1:1000 for 2 hours at RT. Secondary Antibody: Sheep Anti-Mouse IgG: HRP for 1 hour at RT.)

SHANK3, Monoclonal Antibody (Cat# AAA103086)

Full Name
SHANK3 Antibody: Biotin
Gene Names
Shank3; Prosap2
Reactivity
Mouse, Human, Rat
Applications
Immunoprecipitation, Immunohistochemistry, Western Blot
Pricing
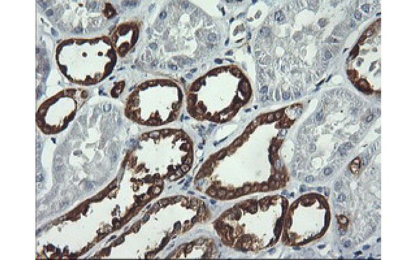
product-image-AAA106735_IHC13.jpg IHC (Immunohiostchemistry) (Immunohistochemical analysis of SERPINB2 protein in paraffin embedded Human Kidney tissue using SERPINB2 antibody)

SERPINB2, Monoclonal Antibody (Cat# AAA106735)

Full Name
SERPINB2 antibody
Gene Names
SERPINB2; PAI; PAI2; PAI-2; PLANH2; HsT1201
Applications
Western Blot, Immunohistochemistry, Flow Cytometry
Purity
SERPINB2 antibody was purified by affinity chromatography.
Pricing
product-image-AAA106749_WB13.jpg WB (Western Blot) (Western Blot analysis of HEK293T cell lysates (5 ug) transfected with either recombinant OSM protein (Right) or empty vector (Left) detected with OSM antibody)

OSM, Monoclonal Antibody (Cat# AAA106749)

Full Name
OSM antibody
Applications
Western Blot, Immunohistochemistry
Purity
OSM antibody was purified by affinity chromatography.
Pricing
product-image-AAA106782_IHC13.jpg IHC (Immunohiostchemistry) (Immunohistochemical analysis of POR protein in paraffin embedded Human pancreas tissue using POR antibody)

POR, Monoclonal Antibody (Cat# AAA106782)

Full Name
POR antibody
Applications
Western Blot, Immunohistochemistry, Flow Cytometry
Purity
POR antibody was purified by affinity chromatography.
Pricing
product-image-AAA106791_IF11.jpg IF (Immunofluorescence) (Immunofluorescent staining of COS7 cells transiently transfected with recombinant PECR protein using PECR antibody)

PECR, Monoclonal Antibody (Cat# AAA106791)

Full Name
PECR antibody
Gene Names
PECR; TERP; DCRRP; PVIARL; HPDHASE; SDR29C1; HSA250303
Applications
Western Blot, Immunohistochemistry, Immunofluorescence, Flow Cytometry
Purity
PECR antibody was purified by affinity chromatography.
Pricing
product-image-AAA106805_WB13.jpg WB (Western Blot) (Western Blot analysis of HEK293T cell lysates (5 ug) transfected with either recombinant SLC2A5 protein (Right) or empty vector (Left) detected with SLC2A5 antibody)

SLC2A5, Monoclonal Antibody (Cat# AAA106805)

Full Name
SLC2A5 antibody
Applications
Western Blot, Immunofluorescence
Purity
SLC2A5 antibody was purified by affinity chromatography.
Pricing
product-image-AAA106889_WB13.jpg WB (Western Blot) (Western Blot analysis of HEK293T cell lysates (5 ug) transfected with either recombinant PDE2A protein (Right) or empty vector (Left) detected with PDE2A antibody)

PDE2A, Monoclonal Antibody (Cat# AAA106889)

Full Name
PDE2A antibody
Gene Names
PDE2A; PDE2A1; PED2A4; cGSPDE; CGS-PDE
Applications
Western Blot, Flow Cytometry
Purity
PDE2A antibody was purified by affinity chromatography.
Pricing
product-image-AAA47299_FCM10.jpg FCM/FACS (Flow Cytometry) (Figure 4. Affinity ranking of different Rabbit anti- CD28 mAb clones by titration of different concentration onto Jurkat cells. The Y-axis represents the mean fluorescence intensity (MFI) while the X-axis represents the concentration of IgG used.)

CD28, Monoclonal Antibody (Cat# AAA47299)

Full Name
Anti-CD28 antibody (DM63), Rabbit mAb
Gene Names
CD28; Tp44
Reactivity
Human
Applications
Flow Cytometry
Purity
Purified from cell culture supernatant by affinity chromatography
Pricing
product-image-AAA47399_FCM13.jpg FCM/FACS (Flow Cytometry) (Figure 2. Flow cytometry analysis with 1 ug/mL Anti-TweakR (enavatuzumab) mAb (AAA47399) on Expi293 cells transfected with Human TweakR protein (Blue histogram) or Expi293 transfected with irrelevant protein (Red histogram).)

TweakR, Monoclonal Antibody (Cat# AAA47399)

Full Name
Anti-TweakR (enavatuzumab biosimilar) mAb
Gene Names
TNFRSF12A; FN14; CD266; TWEAKR
Reactivity
Human
Applications
ELISA
Purity
Purified from cell culture supernatant by affinity chromatography
Pricing

Amylase, Monoclonal Antibody (Cat# AAA47638)

Full Name
Amylase Monoclonal Antibody
Gene Names
AMY2A; PA; AMY2; AMY2B
Applications
Immunoassay
Pricing

Canine Immunoglobulin, Monoclonal Antibody (Cat# AAA47642)

Full Name
Anti-Canine Immunoglobulin Monoclonal Antibody
Applications
ELISA
Pricing

Human Immunoglobulin, Monoclonal Antibody (Cat# AAA47648)

Full Name
Anti-Human Immunoglobulin Monoclonal Antibody
Applications
ELISA
Pricing

E Coli K99 pili, Monoclonal Antibody (Cat# AAA47664)

Full Name
E. coli K99 Pilus Monoclonal Antibody
Applications
Immunoassay
Pricing

La Crosse Virus, Monoclonal Antibody (Cat# AAA47696)

Full Name
La Crosse Virus Monoclonal Antibody
Applications
Immunoprecipitation, Immunofluorescence, Immunoblot
Pricing
product-image-AAA49125_AD13.gif Application Data (Staining of thrombin activated human peripheral blood platelets with Mouse anti Human CD62E/CD62P)

CD62E/CD62P, Monoclonal Antibody (Cat# AAA49125)

Full Name
MOUSE ANTI HUMAN CD62E/CD62P:FITC
Gene Names
SELE; ELAM; ESEL; CD62E; ELAM1; LECAM2
Applications
Flow Cytometry
Pricing
product-image-AAA49132_AD8.gif Application Data (His-Ubiquitin recombinant protein probed with Mouse anti Histidine Tag)

HISTIDINE TAG, Monoclonal Antibody (Cat# AAA49132)

Full Name
MOUSE ANTI HISTIDINE TAG:HRP
Applications
Western Blot
Pricing
product-image-AAA49147_AD10.jpg Application Data (Published customer image: Assessment of dectin-2 function on inflammatory cells. Assessment of the impact of blockade of dectin-2 (D2.11E4) on the recognition (upper graphs) and response to (lower graphs) zymosan of inflammatory neutrophils and monocyte/M˜. Data represents mean+/-SEM of triplicates from a representative of 3 independent experiments.From: McDonald JU, Rosas M, Brown GD, Jones SA, Taylor PR (2012) Differential Dependencies of Monocytes and Neutrophils on Dectin-1, Dectin-2 and Complement for the Recognition of Fungal Particles in Inflammation. PLoS ONE 7(9): e45781.)

DECTIN-2, Monoclonal Antibody (Cat# AAA49147)

Full Name
RAT ANTI MOUSE DECTIN-2:Low Endotoxin
Gene Names
Clec4n; Nkcl; Clec6a; Clecsf10
Applications
Immunoprecipitation, Flow Cytometry, Immunohistochemistry
Pricing
product-image-AAA49148_AD11.gif Application Data (Staining of human peripheral blood lymphocytes with Mouse anti Human CD244: Low Endotoxin)

CD244, Monoclonal Antibody (Cat# AAA49148)

Full Name
MOUSE ANTI HUMAN CD244:Low Endotoxin
Gene Names
CD244; 2B4; NAIL; Nmrk; NKR2B4; SLAMF4
Applications
Immunoprecipitation, Flow Cytometry
Pricing
product-image-AAA49150_AD10.gif Application Data (Staining of human peripheral blood lymphocytes with Rat anti Human CD28)

CD28, Monoclonal Antibody (Cat# AAA49150)

Full Name
RAT ANTI HUMAN CD28:Low Endotoxin
Gene Names
CD28; Tp44
Applications
Functional Assay, Flow Cytometry, Immunohistochemistry
Pricing
product-image-AAA106648_IHC11.jpg IHC (Immunohistochemisry) (Immunohistochemical analysis of PFKP protein in paraffin embedded Human Kidney tissue using PFKP antibody)

PFKP, Monoclonal Antibody (Cat# AAA106648)

Full Name
PFKP antibody
Gene Names
PFKP; PFKF; PFK-C; PFK-P; ATP-PFK
Applications
Western Blot, Immunohistochemistry, Flow Cytometry
Purity
PFKP antibody was purified by affinity chromatography.
Pricing
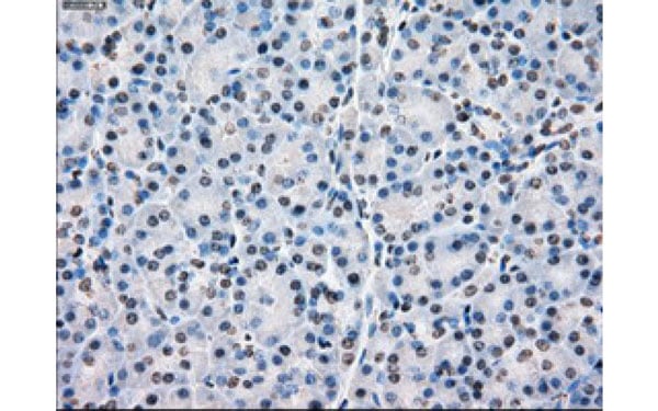
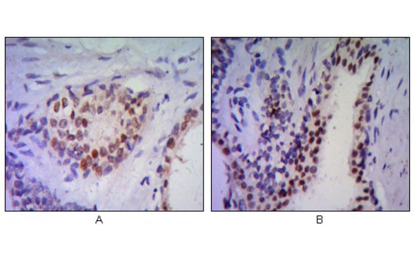
product-image-AAA106191_IHC11.jpg IHC (Immunohistochemisry) (Immunohistochemical analysis of paraffin-embedded human prostata tissues (A, B) using anti-NKX3A antibody with DAB staining.)

NKX3A, Monoclonal Antibody (Cat# AAA106191)

Full Name
NKX3A antibody
Gene Names
Nkx3-1; Bax; NKX3A; NKX3.1; Nkx-3.1; bagpipe
Applications
Western Blot, Immunohistochemistry, Flow Cytometry
Pricing
product-image-AAA106267_IF11.jpg IF (Immunofluorescence) (Immunofluorescent staining of COS7 cells transiently transfected with recombinant DTYMK protein using DTYMK antibody)

DTYMK, Monoclonal Antibody (Cat# AAA106267)

Full Name
DTYMK antibody
Gene Names
DTYMK; CDC8; TMPK; TYMK; PP3731
Applications
Western Blot, Immunohistochemistry, Immunofluorescence, Flow Cytometry
Purity
DTYMK antibody was purified by affinity chromatography.
Pricing
product-image-AAA106223_IF13.jpg IF (Immunofluorescence) (Immunofluorescent staining of COS7 cells transiently transfected with recombinant CDK2 protein using CDK2 antibody)

CDK2, Monoclonal Antibody (Cat# AAA106223)

Full Name
CDK2 antibody
Gene Names
CDK2; CDKN2; p33(CDK2)
Applications
Western Blot, Immunofluorescence, Flow Cytometry
Purity
CDK2 antibody was purified by affinity chromatography.
Pricing
product-image-AAA106249_IF11.jpg IF (Immunofluorescence) (Immunofluorescent staining of COS7 cells transiently transfected with recombinant EIF4E2 protein using EIF4E2 antibody)

EIF4E2, Monoclonal Antibody (Cat# AAA106249)

Full Name
EIF4E2 antibody
Gene Names
EIF4E2; 4EHP; IF4e; 4E-LP; EIF4EL3
Applications
Western Blot, Immunohistochemistry, Immunofluorescence, Flow Cytometry
Purity
EIF4E2 antibody was purified by affinity chromatography.
Pricing
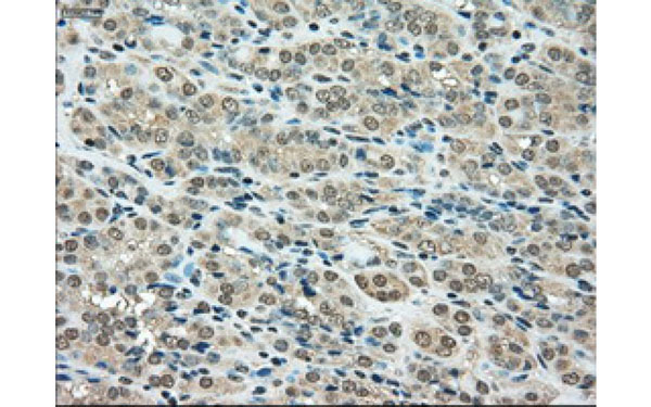
product-image-AAA106405_IHC13.jpg IHC (Immunohiostchemistry) (Immunohistochemical analysis of CHEK2 protein in paraffin embedded Human liver tissue using CHEK2 antibody)

CHEK2, Monoclonal Antibody (Cat# AAA106405)

Full Name
CHEK2 antibody
Gene Names
CHEK2; CDS1; CHK2; LFS2; RAD53; hCds1; HuCds1; PP1425
Applications
Western Blot, Immunohistochemistry, Flow Cytometry
Purity
CHEK2 antibody was purified by affinity chromatography.
Pricing
product-image-AAA78580_WB13.jpg WB (Western Blot) (Figure-2: Western Blot analysis of Monkeypox L1R Antibody: Anti-Monkeypox L1R Antibody (Clone: ABM5H1.1D4) was used at 0.5 ug/ml on Monkeypox L1R Recombinant protein.)

Monkeypox L1R, Monoclonal Antibody (Cat# AAA78580)

Full Name
Anti Monkeypox L1R Antibody (Clone: ABM5H1.1D4)
Reactivity
Monkeypox
Applications
Western Blot
Purity
Protein G Chromatography
Pricing
product-image-AAA78651_IF15.gif IF (Immunofluorescence)

Rat Anti-Mouse Kappa (kappa chain specific), Monoclonal Secondary Antibody (Cat# AAA78651)

Full Name
Rat Anti-Mouse Kappa-UNLB
Reactivity
Mouse
Applications
Immunofluorescence, Flow Cytometry
Pricing
product-image-AAA60492_IHC15.jpg IHC (Immunohistochemistry) (Left: Immunohistochemical staining using MyoD1 antibody on formalin fixed, paraffin embedded human rhabdomyosarcoma.)

MyoD1, Monoclonal Antibody (Cat# AAA60492)

Full Name
MyoD1
Gene Names
MYOD1; PUM; MYF3; MYOD; bHLHc1
Reactivity
Human, Mouse, Rat, Chicken, Pig
Applications
Immunofluorescence, Immunohistochemistry, Immunoprecipitation, Western Blot
Purity
Protein A/G Chromatography
Pricing

Osteopontin, C-terminal, Monoclonal Antibody (Cat# AAA60670)

Full Name
Monoclonal Antibody to Human Osteopontin, C-terminal
Gene Names
SPP1; OPN; BNSP; BSPI; ETA-1
Reactivity
Specific for the C-terminal fragment of full-length Osteopontin. Recognizes native human Osteopontin from purified breast milk and recombinant murine OPN expressed in E.coli.
Applications
Western Blot
Purity
Protein A chromatography from ascites
Purity: >95% pure determined by size-exclusion chromatography
Pricing
product-image-AAA72191_FCM13.png FCM/FACS (Flow Cytometry) (Flow cytometry using the anti-CD40 antibody chi220 (AAA72191). Daudi cells were fixed using 2% PFA and stained with anti-unknown specificity antibody or the rabbit IgG1 version of chi220 (, blue line) at a dilution of 1:100 for 1h at RT. After washing, the bound antibody was detected using a goat anti-rabbit IgG AlexaFluor 488 antibody at a dilution of 1:1000 and cells analyzed using a FACSCanto flow-cytometer.)

CD40, Monoclonal Antibody (Cat# AAA72191)

Full Name
Anti-CD40 [chi220]
Gene Names
CD40LG; IGM; IMD3; TRAP; gp39; CD154; CD40L; HIGM1; T-BAM; TNFSF5; hCD40L
Reactivity
Human
Applications
Blocking
Purity
Purified antibody. Protein A affinity purified
Pricing

What are Monoclonal Antibodies?


Monoclonal antibodies are specialized laboratory-produced proteins developed for binding to specific biological antigens or other molecular targets. Since they come from a single cell (or clone), they are especially consistent and accurate in the data they are involved in producing.


This type of antibody material has been shown to be a powerful tool in finding and subsequently destroying harmful cells in an organism, such as those found in cancers or various autoimmune diseases. This makes them excellent aids in medical testing and research, which is why they are so widely used.


AAA Biotech offers a comprehensive range of high-quality monoclonal antibodies that perform effectively in various laboratory tests, including (amongst others) ELISA, western blotting, immunohistochemistry, and flow cytometry. All of the products in our catalog are thoroughly quality tested to make sure that they are reliable and will consistently perform well in your research.


What Are The Uses of Monoclonal Antibodies


Monoclonal antibodies are used in many lab tests, including (amongst others) ELISA, western blotting, immunohistochemistry, and flow cytometry.


ELISA is a test that helps detect a specific substance/analyte in a sample. It uses antibodies (often monoclonal) bound to a solid surface (such as the well of a microplate) to “capture” the substance/analyte in the sample and immobilize it so that the detection antibody component can then bind to it and produce a signal, which can then be measured.


Western blotting identifies specific proteins in a sample. The sample is first separated on a gel, and then antibodies are applied that will typically bind to the target, which will all be localized to a single band in a lane.


Immunohistochemistry helps locate specific proteins in cells or tissue samples using antibodies.


Flow cytometry looks at and sorts cells. It uses antibodies that are conjugated to reporter molecules called “fluorophores”, which, under special lights, emit light themselves, which can then be measured by a detector instrument.


How Monoclonal Antibodies Are Used as Medicine?


Please note that all of the products listed in AAA Biotech’s also known as AAA Bio or AAABio catalog are strictly for research-use only (RUO).


Monoclonal antibodies can also be used as therapeutic/medical treatments, particularly in the context of cancers. They are designed to find and bind to specific cells or proteins, helping the immune system recognize and attack the cancer. These treatments work in different ways, such as:


  • Radioimmunotherapy attaches a small amount of radioactive molecule to the antibody, so it delivers the radiation directly to the cancer cells that the antibody is specifically binding to.

  • Antibody-directed enzyme prodrug therapy uses antibodies that are specifically bound to special enzymes. These enzymes activate a harmless drug in the body and turn it into a cancer-killing drug only near the cancer cells—this helps avoid harming healthy cells.

  • Immunoliposomes are tiny “bubbles” filled with medicine/drug and coated with antibodies. They carry the drug straight to the cancer cells.


Why Buy Monoclonal Antibodies From Us?


At AAA Biotech, we provide high-performance monoclonal antibodies designed to support a wide range of research needs.


1. Validated for Versatile Applications


The antibodies in our catalog are extensively validated and compatible with multiple techniques, including (but not limited to) ELISA, flow cytometry (FC), immunocytochemistry (ICC), immunofluorescence (IF), immunohistochemistry (IHC), immunoprecipitation (IP), and western blotting (WB).


2. Wide Selection & Specialized Options


We offer antibodies for common and rare species, that are available in various conjugated forms, and also in recombinant formats. Essentially, there is almost anything one might need to meet their experimental model’s requirements.


3. High-Quality Proteins


Our proteins meet high purity standards—90% or more as confirmed by SDS-PAGE. Many are available with tags like His, Flag, GST, or MBP, and we also supply native and biologically active proteins for functional studies.


Frequently Asked Questions


1. Are your monoclonal antibodies validated for specific applications?


Yes, our antibodies are tested and validated for use in methods such as ELISA, western blot, IHC, flow cytometry, and more. Refer to specific product pages or datasheets for individual product information.


2. How do I choose the right monoclonal antibody for my application?


Review the product details directly for application validation, species reactivity, and target information. You may also contact our support team at any time for help.


3. How quickly can I receive my order?


Most orders are processed and shipped within 1–3 business days, depending on product availability and your shipping location.


Submit a Question

Please complete the form below and a representative will contact you as soon as possible.

Request more Information

Please complete the form below and a representative will contact you as soon as possible.

Request a Manual

Please complete the form below and a representative will contact you as soon as possible.

Request a Quote

Please complete the form below and a representative will contact you as soon as possible.