Loading...

Skip to main content
Call us at +1-800-604-9114 for more information about our products or contact us online Need help? +1-800-604-9114 or contact us

Filters


Clonality

Type

Reactivity

Gene Name

Isotype

Host

Application

Clone

Monoclonal Antibodies

Get accurate results in your research with our Monoclonal Antibodies, which are specially made to target exactly what you require for your research, and will produce consistent, reliable performance in lab tests.


Viewing 9350-9400 of 27645 product results


product-image-AAA50131_AD10.jpg Application Data (Tim-3 transfected LY5178Y cells stained with Rat anti Mouse TIM-3:Low Endotoxin)

TIM-3, Monoclonal Antibody (Cat# AAA50131)

No reviews yet
Full Name
RAT ANTI MOUSE TIM-3
Gene Names
Havcr2; Tim3; TIM-3; Timd3
Applications
Immunohistochemistry, Immunofluorescence, Flow Cytometry, Immunohistochemistry
Pricing
product-image-AAA50197_AD11.jpg Application Data (Staining of equine peripheral blood granulocytes with Mouse anti Horse CD13:RPE(AAA50197))

CD13, Monoclonal Antibody (Cat# AAA50197)

No reviews yet
Full Name
MOUSE ANTI HORSE CD13:RPE
Applications
Flow Cytometry
Pricing
product-image-AAA50391_AD11.jpg Application Data (FigureA.FITC conjugated Mouse anti Pig CD3 and RPE conjugated Mouse IgG1 isotype control . Figure B. FITC conjugated Mouse anti Pig CD3 and RPE conjugated Mouse anti Pig SWC5 . All experiments performed on red cell lysed porcine blood gated on lymphocytes in the presence of 10% pig serum. Data acquired on the ZE5 Cell Analyzer.)

SWC5, Monoclonal Antibody (Cat# AAA50391)

No reviews yet
Full Name
Mouse Anti Pig SWC5: RPE
Reactivity
Pig
Applications
Flow Cytometry
Purity
Purified IgG prepared by affinity chromatography on Protein A from tissue culture supernatant.
Pricing
product-image-AAA50422_AD13.jpg Application Data (Surface staining of human peripheral blood lymphocytes with Mouse anti Human CD3:RPE (AAA50422) (Blue) with a relevant isotype control (Grey))

CD3, Monoclonal Antibody (Cat# AAA50422)

No reviews yet
Full Name
Mouse anti Human CD3:RPE
Gene Names
CD3E; T3E; TCRE; IMD18
Reactivity
Human
Applications
ELISA
Purity
Purified IgG prepared by affinity chromatography on Protein G from tissue culture supernatant
>90 % by SDS PAGE
Pricing
product-image-AAA50226_AD11.jpg Application Data (Staining of JAM-C transfected CHO cells with Rat anti Mouse JAM-C:Biotin followed by Streptavidin:FITC)

JAM-C, Monoclonal Antibody (Cat# AAA50226)

No reviews yet
Full Name
RAT ANTI MOUSE JAM-C:Preservative Free
Gene Names
Jam3; JAM-3; JAM-C; Jcam3; 1110002N23Rik
Applications
Immunofluorescence, Functional Assay, Flow Cytometry, Immunohistochemistry
Pricing
product-image-AAA50238_AD13.gif Application Data (Human peripheral blood lymphocytes stained with Mouse anti Human CD16: FITC)

CD16, Monoclonal Antibody (Cat# AAA50238)

No reviews yet
Full Name
MOUSE ANTI HUMAN CD16
Gene Names
FCGR3B; CD16; FCG3; CD16b; FCGR3; FCR-10; FCRIII; FCRIIIb
Reactivity
Bovine, Horse (Weak), Pig (Weak), Sheep
Applications
Functional Assay, Flow Cytometry
Pricing

CD172a, Monoclonal Antibody (Cat# AAA50316)

No reviews yet
Full Name
Mouse anti Bovine CD172a
Gene Names
SIRPA; MYD-1; PTPNS1
Reactivity
Bovine
Applications
Immunohistochemistry, Flow Cytometry
Purity
Concentrated tissue culture supernatant clarified by filtration through a 0.2 micrometer filter
Pricing
product-image-AAA51797_FCM13.jpg FCM/FACS (Flow Cytometry) (Human peripheral blood granulocytes stained with purified HI98, followed by anti-mouse IgGs FITC)

SSEA-1 / Lewis x / CD15, Monoclonal Antibody (Cat# AAA51797)

No reviews yet
Full Name
Mouse Monoclonal [clone HI98] (IgM) to Human SSEA-1 / Lewis x / CD15
Gene Names
FUT4; LeX; CD15; ELFT; FCT3A; FUTIV; SSEA-1; FUC-TIV
Reactivity
Chimpanzee, Human
Applications
Flow Cytometry, Immunohistochemistry, Immunohistochemistry
Purity
Affinity Purified
Pricing
product-image-AAA51873_ELISA10.jpg ELISA (Detection limit for recombinant GST tagged SPSB2 is approximately 0.03 ng/ml as a capture antibody.)

SPSB2, Monoclonal Antibody (Cat# AAA51873)

No reviews yet
Full Name
Mouse Monoclonal [clone 1E6] (IgG1,k) to Human SPSB2
Gene Names
SPSB2; SSB2; GRCC9
Reactivity
Human
Applications
Western Blot, Immunohistochemistry
Purity
Protein A Purified
Pricing
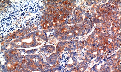
product-image-AAA144656_IHC10.jpg IHC (Immunohistochemistry) (DAB staining on IHC-P;Samples: Human Colorectal cancer Tissue;Primary Ab: 30ug/ml Mouse Anti-Human IL33 AntibodySecond Ab: 2ug/mL HRP-Linked Caprine Anti-Mouse IgG Polyclonal Antibody)

Interleukin 33, Monoclonal Antibody (Cat# AAA144656)

No reviews yet
Full Name
Interleukin 33 (IL33) Monoclonal Antibody
Gene Names
IL33; DVS27; IL1F11; NF-HEV; NFEHEV; C9orf26
Reactivity
Human, Rat
Applications
Immunoprecipitation, Immunocytochemistry, Immunohistochemistry, Western Blot
Purity
Protein A + Protein G affinity chromatography
Pricing
product-image-AAA145975_IHC11.jpg IHC (Immunohistochemisry) (DAB staining on IHC-P; Samples: Human Prostate cancer Tissue))

Glyceraldehyde-3-Phosphate Dehydrogenase (GAPDH), Monoclonal Antibody (Cat# AAA145975)

No reviews yet
Full Name
Anti-Glyceraldehyde-3-Phosphate Dehydrogenase (GAPDH) Monoclonal Antibody
Gene Names
GAPDH; G3PD; GAPD; HEL-S-162eP
Reactivity
Human, Mouse, Rat, Guinea pig, Bovine, Goat, Sheep
Applications
Western Blot
Purity
Protein A + Protein G affinity chromatography
Pricing
product-image-AAA314456_ICC13.jpg ICC (Immunocytochemistry) (Immunocytochemistry of SF3B3(green) in Hela cells using SF3B3 Rabbit mAb at dilution 1/50, and DAPI(blue))

SF3B3, Monoclonal Antibody (Cat# AAA314456)

No reviews yet
Full Name
SF3B3 Rabbit mAb
Gene Names
SF3B3; RSE1; SAP130; SF3b130; STAF130
Reactivity
Human, Mouse, Rat
Applications
Immunofluorescence, Western Blot
Purity
Affinity Purified
Pricing
product-image-AAA314460_ICC13.jpg ICC (Immunocytochemistry) (Immunocytochemistry of Skp1 (green) in MCF-7 using Skp1 antibody at dilution 1/20, and DAPI(blue))

SKP1, Monoclonal Antibody (Cat# AAA314460)

No reviews yet
Full Name
SKP1 Rabbit mAb
Gene Names
SKP1; OCP2; p19A; EMC19; SKP1A; OCP-II; TCEB1L
Reactivity
Human, Mouse, Rat
Applications
Immunofluorescence, Western Blot
Purity
Affinity Purified
Pricing
product-image-AAA314481_IHC13.jpg IHC (Immunohiostchemistry) (Immunohistochemistry of HAUSP/USP7 in paraffin-embedded Human lung cancer tissue using HAUSP/USP7 Rabbit mAb at dilution 1/20)

USP7, Monoclonal Antibody (Cat# AAA314481)

No reviews yet
Full Name
USP7 Rabbit mAb
Gene Names
USP7; TEF1; HAUSP
Reactivity
Human, Mouse, Rat
Applications
Immunohistochemistry, Western Blot
Purity
Affinity Purified
Pricing
product-image-AAA314492_IHC13.jpg IHC (Immunohiostchemistry) (Immunohistochemical of RSK3 in Human lung cancer tissue using RSK3 antibody at dilution 1/20)

RSK3, Monoclonal Antibody (Cat# AAA314492)

No reviews yet
Full Name
RSK3 Rabbit mAb
Gene Names
RPS6KA2; RSK; HU-2; RSK3; p90-RSK3; pp90RSK3; MAPKAPK1C; S6K-alpha; S6K-alpha2
Reactivity
Human, Mouse, Rat
Applications
Immunohistochemistry, Western Blot
Purity
Affinity Purified
Pricing
product-image-AAA314499_IHC13.jpg IHC (Immunohiostchemistry) (Immunohistochemistry of E Cadherin (phospho-Ser838/Ser840) in paraffin-embedded Human breast cancer tissue using E Cadherin (phospho-Ser838/Ser840) Rabbit mAb at dilution 1/50)

E Cadherin, Monoclonal Antibody (Cat# AAA314499)

No reviews yet
Full Name
Phospho-E Cadherin (Ser838/Ser840) Rabbit mAb
Gene Names
CDH1; UVO; CDHE; ECAD; LCAM; Arc-1; CD324
Reactivity
Human, Mouse, Rat
Applications
Immunohistochemistry, Western Blot
Purity
Affinity Purified
Pricing
product-image-AAA314532_ICC13.jpg ICC (Immunocytochemistry) (Immunocytochemistry of HIPK2 (green) in hela using HIPK2 Rabbit mAb at dilution 1/50, and DAPI(blue))

HIPK2, Monoclonal Antibody (Cat# AAA314532)

No reviews yet
Full Name
HIPK2 Rabbit mAb
Gene Names
HIPK2; PRO0593
Reactivity
Human, Mouse
Applications
Immunofluorescence, Western Blot
Purity
Affinity Purified
Pricing
product-image-AAA314551_ICC13.jpg ICC (Immunocytochemistry) (Immunocytochemistry of MSH6 (green) in hela using MSH6 Rabbit mAb at dilution 1/50, and DAPI(blue))

MSH6, Monoclonal Antibody (Cat# AAA314551)

No reviews yet
Full Name
MSH6 Rabbit mAb
Gene Names
MSH6; GTBP; HSAP; p160; GTMBP; HNPCC5
Reactivity
Human
Applications
Immunofluorescence, Western Blot
Purity
Affinity Purified
Pricing
product-image-AAA314570_IHC13.jpg IHC (Immunohiostchemistry) (Immunohistochemistry of Rsk 2/MAPKAP Kinase 1b in paraffin-embedded Human lung cancer tissue using Rsk 2/MAPKAP Kinase 1b Rabbit mAb at dilution 1/50)

RSK2, Monoclonal Antibody (Cat# AAA314570)

No reviews yet
Full Name
RSK2 Rabbit mAb
Gene Names
RPS6KA3; CLS; RSK; HU-3; RSK2; MRX19; ISPK-1; p90-RSK2; pp90RSK2; MAPKAPK1B; S6K-alpha3
Reactivity
Human, Mouse, Rat
Applications
Immunohistochemistry, Western Blot
Purity
Affinity Purified
Pricing
product-image-AAA314346_IHC13.jpg IHC (Immunohiostchemistry) (Immunohistochemistry of DKC1 in paraffin-embedded Human breast cancer tissue using DKC1 Rabbit mAb at dilution 1/50)

DKC1, Monoclonal Antibody (Cat# AAA314346)

No reviews yet
Full Name
DKC1 Rabbit mAb
Gene Names
DKC1; DKC; CBF5; DKCX; NAP57; NOLA4; XAP101
Reactivity
Human, Mouse, Rat
Applications
Immunohistochemistry, Western Blot
Purity
Affinity Purified
Pricing
product-image-AAA314350_IHC11.jpg IHC (Immunohistochemisry) (Immunohistochemistry of Eif4a3 in paraffin-embedded Human tonsil using Eif4a3 Rabbit mAb at dilution 1/50)

eIF4A3, Monoclonal Antibody (Cat# AAA314350)

No reviews yet
Full Name
eIF4A3 Rabbit mAb
Gene Names
EIF4A3; RCPS; DDX48; MUK34; NUK34; NMP265; eIF4AIII
Reactivity
Human, Mouse, Rat
Applications
Immunofluorescence, Immunocytochemistry, Immunohistochemistry, Western Blot
Purity
Affinity Purified
Pricing
product-image-AAA314367_IHC13.jpg IHC (Immunohiostchemistry) (Immunohistochemistry of Galectin 3 in paraffin-embedded Human colon cancer tissue using Galectin 3 Rabbit mAb at dilution 1/50)

Galectin 3, Monoclonal Antibody (Cat# AAA314367)

No reviews yet
Full Name
Galectin 3 Rabbit mAb
Gene Names
LGALS3; L31; GAL3; MAC2; CBP35; GALBP; GALIG; LGALS2
Reactivity
Human, Mouse, Rat
Applications
Immunohistochemistry, Western Blot
Purity
Affinity Purified
Pricing
product-image-AAA314371_IF13.jpg IF (Immunofluorescence) (Immunofluorescence of Glycogen synthase 1 (green) in Hela using Glycogen synthase 1 Rabbit mAb at dilution 1/50, and DAPI(blue))

Glycogen Synthase 1, Monoclonal Antibody (Cat# AAA314371)

No reviews yet
Full Name
Glycogen Synthase 1 Rabbit mAb
Gene Names
GYS1; GSY; GYS
Reactivity
Human, Mouse, Rat
Applications
Immunofluorescence, Western Blot
Purity
Affinity Purified
Pricing
product-image-AAA314378_IHC13.jpg IHC (Immunohiostchemistry) (Immunohistochemistry of hnRNP K in paraffin-embedded Human lung cancer tissue using hnRNP K Rabbit mAb at dilution 1/50)

hnRNP K, Monoclonal Antibody (Cat# AAA314378)

No reviews yet
Full Name
hnRNP K Rabbit mAb
Gene Names
HNRNPK; CSBP; TUNP; HNRPK
Reactivity
Human, Mouse, Rat
Applications
Immunohistochemistry, Western Blot
Purity
Affinity Purified
Pricing
product-image-AAA314408_IHC13.jpg IHC (Immunohiostchemistry) (Immunohistochemistry of Methylmalonyl Coenzyme A mutase in paraffin-embedded Human Cholangiocarcinoma using Methylmalonyl Coenzyme A mutase Rabbit mAb at dilution 1/50)

Methylmalonyl Coenzyme A mutase, Monoclonal Antibody (Cat# AAA314408)

No reviews yet
Full Name
Methylmalonyl Coenzyme A mutase Rabbit mAb
Gene Names
MUT; MCM
Reactivity
Human, Mouse, Rat
Applications
Immunohistochemistry, Western Blot
Purity
Affinity Purified
Pricing
product-image-AAA314941_IHC13.jpg IHC (Immunohiostchemistry) (Immunohistochemical analysis of paraffin-embedded human colon, using Histone H2B (acetyl K20) Antibody.)

Histone H2B (acetyl K20), Monoclonal Recombinant Antibody (Cat# AAA314941)

No reviews yet
Full Name
Histone H2B (acetyl K20) Rabbit mAb
Gene Names
HIST1H2BB; H2B.1; H2B/f; H2BFF
Reactivity
Human, Mouse, Rat
Applications
Chromatin Immunoprecipitation, Flow Cytometry, Immunoprecipitation, Immunofluorescence, Immunocytochemistry, Immunohistochemistry, Western Blot
Purity
Affinity-chromatography
Pricing
product-image-AAA314945_IF11.jpg IF (Immunofluorescence) (Immunofluorescent analysis of Hela cells, using MEK3/MEK6 Antibody.)

MEK3/MEK6, Monoclonal Recombinant Antibody (Cat# AAA314945)

No reviews yet
Full Name
MEK3/MEK6 Rabbit mAb
Gene Names
MAP2K3; MEK3; MKK3; MAPKK3; PRKMK3; SAPKK2; SAPKK-2
Reactivity
Human, Mouse, Rat
Applications
Flow Cytometry, Immunoprecipitation, Immunofluorescence, Immunocytochemistry, Immunohistochemistry, Western Blot
Purity
Affinity-chromatography
Pricing
product-image-AAA314954_IHC13.jpg IHC (Immunohiostchemistry) (Immunohistochemical analysis of paraffin-embedded human colon, using PIAS1+PIAS2+PIAS3 Antibody.)

PIAS1 + PIAS2, Monoclonal Recombinant Antibody (Cat# AAA314954)

No reviews yet
Full Name
PIAS1 + PIAS2 Rabbit mAb
Gene Names
PIAS1; GBP; ZMIZ3; DDXBP1; GU/RH-II
Reactivity
Human, Mouse, Rat
Applications
Flow Cytometry, Immunoprecipitation, Immunofluorescence, Immunocytochemistry, Immunohistochemistry, Western Blot
Purity
Affinity-chromatography
Pricing
product-image-AAA314771_WB13.jpg WB (Western Blot) (Western blot analysis of DjC8 in Jurkat, Hela, COS7, Raji lysates using DjC8 antibody.)

DNAJC8, Monoclonal Antibody (Cat# AAA314771)

No reviews yet
Full Name
DNAJC8 Rabbit mAb
Gene Names
DNAJC8; SPF31; HSPC331
Reactivity
Human, Mouse, Rat, Monkey
Applications
Immunocytochemistry, Immunoprecipitation, Immunohistochemistry, Western Blot
Pricing
product-image-AAA314795_WB13.jpg WB (Western Blot) (Western blot analysis of PRKACG in MCF-7, C6, Hela lysates using PRKACG antibody.)

PKA C gamma, Monoclonal Antibody (Cat# AAA314795)

No reviews yet
Full Name
PKA C gamma Rabbit mAb
Gene Names
PRKACG; KAPG; PKACg
Reactivity
Human, Mouse, Rat
Applications
Immunoprecipitation, Western Blot
Pricing
product-image-AAA314799_WB13.jpg WB (Western Blot) (Western blot analysis of PTN in C6, rat Brain lysates using PTN antibody.)

PTN, Monoclonal Antibody (Cat# AAA314799)

No reviews yet
Full Name
PTN Rabbit mAb
Gene Names
PTN; HARP; HBNF; HBGF8; NEGF1
Reactivity
Human, Rat
Applications
Immunoprecipitation, Western Blot
Pricing
product-image-AAA314801_WB13.jpg WB (Western Blot) (Western blot analysis of RALB in MCF-7 lysates using RALB antibody.)

RALB, Monoclonal Antibody (Cat# AAA314801)

No reviews yet
Full Name
RALB Rabbit mAb
Reactivity
Human, Mouse
Applications
Immunoprecipitation, Western Blot
Pricing
product-image-AAA314910_IHC13.jpg IHC (Immunohiostchemistry) (Immunohistochemical analysis of paraffin-embedded human spleen, using CD45 Antibody .)

CD45, Monoclonal Recombinant Antibody (Cat# AAA314910)

No reviews yet
Full Name
CD45 Rabbit mAb
Gene Names
PTPRC; LCA; LY5; B220; CD45; L-CA; T200; CD45R; GP180
Reactivity
Human
Applications
Flow Cytometry, Immunofluorescence, Immunocytochemistry, Immunohistochemistry, Western Blot
Purity
Affinity-chromatography
Pricing
product-image-AAA314917_IHC13.jpg IHC (Immunohiostchemistry) (Immunohistochemical analysis of paraffin-embedded mouse brain, using beta II Tubulin Antibody.)

beta II Tubulin, Monoclonal Recombinant Antibody (Cat# AAA314917)

No reviews yet
Full Name
beta II Tubulin Rabbit mAb
Gene Names
TUBB4B; Beta2; TUBB2; LCAEOD; TUBB2C
Reactivity
Human, Mouse, Rat
Applications
Flow Cytometry, Immunoprecipitation, Immunofluorescence, Immunocytochemistry, Immunohistochemistry, Western Blot
Purity
Affinity-chromatography
Pricing
product-image-AAA141332_IHC10.jpg IHC (Immunohistochemistry) (DAB staining on IHC-P; Samples: Rat Liver Tissue; Primary Ab: 20ug/ml Mouse Anti-Rat CTGF Antibody Second Ab: 2ug/mL HRP-Linked Caprine Anti-Mouse IgG Polyclonal Antibody)

Connective Tissue Growth Factor, Monoclonal Antibody (Cat# AAA141332)

No reviews yet
Full Name
Monoclonal Antibody to Connective Tissue Growth Factor (CTGF)
Gene Names
Ctgf; CTGRP
Reactivity
Rat, Human, Mouse
Applications
Immunoprecipitation, Immunocytochemistry, Immunohistochemistry, Western Blot
Purity
Protein A + Protein G affinity chromatography
Pricing
product-image-AAA149427_WB11.jpg WB (Western Blot) (Western Blot: Sample: Bovine Liver lysate)

Bovine Serum Albumin (BSA), Monoclonal Antibody (Cat# AAA149427)

No reviews yet
Full Name
Monoclonal Antibody to Bovine Serum Albumin (BSA)
Reactivity
Bovine
Applications
Immunoprecipitation, Immunocytochemistry, Immunohistochemistry, Western Blot
Purity
Antigen-specific affinity chromatography followed by Protein A affinity chromatography
Pricing

Collagen Type IV Alpha 3 (COL4a3), Monoclonal Antibody (Cat# AAA151128)

No reviews yet
Full Name
Monoclonal Antibody to Collagen Type IV Alpha 3 (COL4a3)
Reactivity
Human, Rat
Applications
Immunoprecipitation, Immunocytochemistry, Immunohistochemistry, Western Blot
Purity
Protein A + Protein G affinity chromatography
Pricing
product-image-AAA150806_WB13.jpg WB (Western Blot) (Figure. Western Blot; Sample: Recombinant INHbA, Human.)

Inhibin Beta A (INHbA), Monoclonal Antibody (Cat# AAA150806)

No reviews yet
Full Name
FITC-Linked Monoclonal Antibody to Inhibin Beta A (INHbA)
Gene Names
INHBA; EDF; FRP
Reactivity
Human
Applications
Immunoprecipitation, Immunocytochemistry, Immunohistochemistry, Western Blot
Purity
Protein A + Protein G affinity chromatography
Pricing

Myelin Oligodendrocyte Glycoprotein (MOG), Monoclonal Antibody (Cat# AAA151401)

No reviews yet
Full Name
Biotin Linked Monoclonal Antibody to Myelin Oligodendrocyte Glycoprotein (MOG)
Gene Names
MOG; BTN6; BTNL11; MOGIG2; NRCLP7
Reactivity
Human, Rat, Pig
Applications
Immunofluorescence, Immunocytochemistry, Immunohistochemistry, Western Blot
Purity
Protein A + Protein G affinity chromatography
Pricing

Glutamate Receptor, Ionotropic, NMethylDAspartate 2D (GRIN2D), Monoclonal Antibody (Cat# AAA151421)

No reviews yet
Full Name
FITC Linked Monoclonal Antibody to Glutamate Receptor, Ionotropic, NMethylDAspartate 2D (GRIN2D)
Gene Names
GRIN2D; EB11; NR2D; GluN2D; NMDAR2D
Reactivity
Human
Applications
Immunofluorescence, Immunocytochemistry, Immunohistochemistry, Western Blot
Purity
Protein A + Protein G affinity chromatography
Pricing
product-image-AAA151438_IHC8.jpg IHC (Immunohistochemistry) (DAB staining on IHCP;Sample: Rat Cerebrum Tissue; Primary Ab: 30ug/ml Mouse AntiRat NAP3 AntibodySecond Ab: 2ug/mL HRPLinked Caprine AntiMouse IgG Polyclonal Antibody(Catalog: SAA544Mu19))

Chemokine (CXC Motif) Ligand 1 (CXCL1), Monoclonal Antibody (Cat# AAA151438)

No reviews yet
Full Name
Monoclonal Antibody to Chemokine (CXC Motif) Ligand 1 (CXCL1)
Gene Names
Cxcl1; Gro1; CINC-1
Reactivity
Rat
Applications
Immunoprecipitation, Immunocytochemistry, Immunohistochemistry, Western Blot
Purity
Protein A + Protein G affinity chromatography
Pricing
product-image-AAA151496_WB11.jpg WB (Western Blot) (Western Blot; Sample: Lane1: Human Liver lysate; Lane2: Human Lung lysate Primary Ab: 3ug/ml Mouse AntiHuman aFP Antibody Second Ab: 0.2ug/mL HRPLinked Caprine AntiMouse IgG Polyclonal Antibody (Catalog: SAA544Mu19))

AlphaFetoprotein (AFP), Monoclonal Antibody (Cat# AAA151496)

No reviews yet
Full Name
Monoclonal Antibody to AlphaFetoprotein (AFP)
Gene Names
AFP; FETA; HPAFP
Reactivity
Human
Applications
Immunoprecipitation, Immunocytochemistry, Immunohistochemistry, Western Blot
Purity
Protein A + Protein G affinity chromatography
Pricing
product-image-AAA151822_IHC11.jpg IHC (Immunohistochemisry) (DAB staining on IHCP;Sample: Human Liver Tissue; Primary Ab: 20ug/ml Mouse AntiHuman FGF21 AntibodySecond Ab: 2ug/mL HRPLinked Caprine AntiMouse IgG Polyclonal Antibody(Catalog: SAA544Mu19))

Fibroblast Growth Factor 21 (FGF21), Monoclonal Antibody (Cat# AAA151822)

No reviews yet
Full Name
Monoclonal Antibody to Fibroblast Growth Factor 21 (FGF21)
Reactivity
Human
Applications
Immunoprecipitation, Immunocytochemistry, Immunohistochemistry, Western Blot
Purity
Protein A + Protein G affinity chromatography
Pricing
product-image-AAA151841_IHC10.jpg IHC (Immunohistochemistry) (DAB staining on IHCP;Sample: Human Stomach Tissue; Primary Ab: 10ug/ml Mouse AntiHuman LSR AntibodySecond Ab: 2ug/mL HRPLinked Caprine AntiMouse IgG Polyclonal Antibody(Catalog: SAA544Mu19))

Lipolysis Stimulated Lipoprotein Receptor (LSR), Monoclonal Antibody (Cat# AAA151841)

No reviews yet
Full Name
Monoclonal Antibody to Lipolysis Stimulated Lipoprotein Receptor (LSR)
Gene Names
LSR; ILDR3; LISCH7
Reactivity
Human, Pig
Applications
Immunoprecipitation, Immunocytochemistry, Immunohistochemistry, Western Blot
Purity
Protein A + Protein G affinity chromatography
Pricing
product-image-AAA151861_WB13.jpg WB (Western Blot) (Western Blot; Sample: Lane1: Human Lung lysate; Lane2: K562 cell lysate; Lane3: Hela cell lysate; Lane4: HepG2 cell lysate; Primary Ab: 3ug/ml Mouse AntiRat ANXA1 Antibody Second Ab: 0.2ug/mL HRPLinked Caprine AntiMouse IgG Polyclonal Antibody (Catalog: SAA544Mu19))

Annexin A1 (ANXA1), Monoclonal Antibody (Cat# AAA151861)

No reviews yet
Full Name
Monoclonal Antibody to Annexin A1 (ANXA1)
Gene Names
Anxa1; p35; Anx1
Reactivity
Human, Rat
Applications
Immunoprecipitation, Immunocytochemistry, Immunohistochemistry, Western Blot
Purity
Protein A + Protein G affinity chromatography
Pricing
product-image-AAA151881_IHC13.jpg IHC (Immunohiostchemistry) (DAB staining on IHCP;Sample: Human Skeletal muscle Tissue; Primary Ab: 20ug/ml Mouse AntiHuman ISLR AntibodySecond Ab: 2ug/mL HRPLinked Caprine AntiMouse IgG Polyclonal Antibody(Catalog: SAA544Mu19))

Immunoglobulin Superfamily Containing Leucine Rich Repeat Protein (ISLR), Monoclonal Antibody (Cat# AAA151881)

No reviews yet
Full Name
Monoclonal Antibody to Immunoglobulin Superfamily Containing Leucine Rich Repeat Protein (ISLR)
Gene Names
ISLR; HsT17563
Reactivity
Human, Pig
Applications
Immunoprecipitation, Immunocytochemistry, Immunohistochemistry, Western Blot
Purity
Protein A + Protein G affinity chromatography
Pricing
product-image-AAA62026_AD15.jpg Application Data

H1 (A/NewCaledonia/20/99)(H1N1), Monoclonal Antibody (Cat# AAA62026)

No reviews yet
Full Name
Anti-H1 (A/NewCaledonia/20/99)(H1N1), clone 4
Applications
Sandwich ELISA, Western Blot
Purity
Chromatography on protein A Sepharose
Pricing

Tetanus Toxin, Monoclonal Antibody (Cat# AAA62038)

No reviews yet
Full Name
Anti-Tetanus Toxin (mouse monoclonal)
Applications
Neutralization Assay, Western Blot, Sandwich ELISA
Purity
Chromatography on protein G Sepharose.
Pricing
product-image-AAA62093_AD13.jpg Application Data (Figure 2. Pseudoviral particle (PP) infection assay challenged by neutralizing antibody (AAA62093). HEK293-ACE2 cells infected with SARS-CoV-2 pseudoviral particles under various amount of neutralizing antibodies)

COVID 19 Spike S1 IgM Coronavirus, Monoclonal Antibody (Cat# AAA62093)

No reviews yet
Full Name
Anti-S1 (SARS-CoV-2) Human Monoclonal Antibody, IgM
Applications
Western Blot
Purity
Affinity chromatography
Pricing
product-image-AAA51925_ELISA10.jpg ELISA (Sandwich ELISA of Resistin antibody)

RETN / Resistin, Monoclonal Antibody (Cat# AAA51925)

No reviews yet
Full Name
Mouse Monoclonal (IgG2b,k) to Human RETN / Resistin
Gene Names
RETN; ADSF; RSTN; XCP1; FIZZ3; RETN1
Reactivity
Human
Applications
Western Blot, Immunohistochemistry
Purity
Protein A Purified
Pricing

What are Monoclonal Antibodies?


Monoclonal antibodies are specialized laboratory-produced proteins developed for binding to specific biological antigens or other molecular targets. Since they come from a single cell (or clone), they are especially consistent and accurate in the data they are involved in producing.


This type of antibody material has been shown to be a powerful tool in finding and subsequently destroying harmful cells in an organism, such as those found in cancers or various autoimmune diseases. This makes them excellent aids in medical testing and research, which is why they are so widely used.


AAA Biotech offers a comprehensive range of high-quality monoclonal antibodies that perform effectively in various laboratory tests, including (amongst others) ELISA, western blotting, immunohistochemistry, and flow cytometry. All of the products in our catalog are thoroughly quality tested to make sure that they are reliable and will consistently perform well in your research.


What Are The Uses of Monoclonal Antibodies


Monoclonal antibodies are used in many lab tests, including (amongst others) ELISA, western blotting, immunohistochemistry, and flow cytometry.


ELISA is a test that helps detect a specific substance/analyte in a sample. It uses antibodies (often monoclonal) bound to a solid surface (such as the well of a microplate) to “capture” the substance/analyte in the sample and immobilize it so that the detection antibody component can then bind to it and produce a signal, which can then be measured.


Western blotting identifies specific proteins in a sample. The sample is first separated on a gel, and then antibodies are applied that will typically bind to the target, which will all be localized to a single band in a lane.


Immunohistochemistry helps locate specific proteins in cells or tissue samples using antibodies.


Flow cytometry looks at and sorts cells. It uses antibodies that are conjugated to reporter molecules called “fluorophores”, which, under special lights, emit light themselves, which can then be measured by a detector instrument. For a deeper understanding of these techniques, explore our complete guide to monoclonal antibodies and their benefits.


How Monoclonal Antibodies Are Used as Medicine?


Please note that all of the products listed in AAA Biotech’s also known as AAA Bio or AAABio catalog are strictly for research-use only (RUO).


Monoclonal antibodies can also be used as therapeutic/medical treatments, particularly in the context of cancers. They are designed to find and bind to specific cells or proteins, helping the immune system recognize and attack the cancer. These treatments work in different ways, such as:


  • Radioimmunotherapy attaches a small amount of radioactive molecule to the antibody, so it delivers the radiation directly to the cancer cells that the antibody is specifically binding to.

  • Antibody-directed enzyme prodrug therapy uses antibodies that are specifically bound to special enzymes. These enzymes activate a harmless drug in the body and turn it into a cancer-killing drug only near the cancer cells—this helps avoid harming healthy cells.

  • Immunoliposomes are tiny “bubbles” filled with medicine/drug and coated with antibodies. They carry the drug straight to the cancer cells.


Why Buy Monoclonal Antibodies From Us?


At AAA Biotech, we provide high-performance monoclonal antibodies designed to support a wide range of research needs.


1. Validated for Versatile Applications


The antibodies in our catalog are extensively validated and compatible with multiple techniques, including (but not limited to) ELISA, flow cytometry (FC), immunocytochemistry (ICC), immunofluorescence (IF), immunohistochemistry (IHC), immunoprecipitation (IP), and western blotting (WB).


2. Wide Selection & Specialized Options


We offer antibodies for common and rare species, that are available in various conjugated forms, and also in recombinant formats. Essentially, there is almost anything one might need to meet their experimental model’s requirements.


3. High-Quality Proteins


Our proteins meet high purity standards—90% or more as confirmed by SDS-PAGE. Many are available with tags like His, Flag, GST, or MBP, and we also supply native and biologically active proteins for functional studies.


Frequently Asked Questions


1. Are your monoclonal antibodies validated for specific applications?


Yes, our antibodies are tested and validated for use in methods such as ELISA, western blot, IHC, flow cytometry, and more. Refer to specific product pages or datasheets for individual product information.


2. How do I choose the right monoclonal antibody for my application?


Review the product details directly for application validation, species reactivity, and target information. You may also contact our support team at any time for help.


3. How quickly can I receive my order?


Most orders are processed and shipped within 1–3 business days, depending on product availability and your shipping location.


Submit a Question

Please complete the form below and a representative will contact you as soon as possible.

Request more Information

Please complete the form below and a representative will contact you as soon as possible.

Request a Manual

Please complete the form below and a representative will contact you as soon as possible.

Request a Quote

Please complete the form below and a representative will contact you as soon as possible.