Loading...

Skip to main content
Call us at +1-800-604-9114 for more information about our products or contact us online Need help? +1-800-604-9114 or contact us

Filters


Clonality

Type

Reactivity

Gene Name

Isotype

Host

Application

Clone

Monoclonal Antibodies

Get accurate results in your research with our Monoclonal Antibodies, which are specially made to target exactly what you require for your research, and will produce consistent, reliable performance in lab tests.


Viewing 9550-9600 of 27645 product results


IgG2a, Monoclonal Antibody (Cat# AAA49133)

No reviews yet
Full Name
RAT ANTI MOUSE IgG2a HEAVY CHAIN:HRP
Applications
ELISA
Pricing

ALDOSTERONE, Monoclonal Antibody (Cat# AAA49155)

No reviews yet
Full Name
MOUSE ANTI ALDOSTERONE
Applications
ELISA
Pricing
product-image-AAA48960_IF13.jpg IF (Immunofluorescence) (ICC/IF analysis of MAPKSP1 in HaLa cells. The cell was stained with ATGA0503 (1:100). The secondary antibody (green) was used Alexa Fluor 488. DAPI was stained the cell nucleus (blue).)

MAPKSP1, Monoclonal Antibody (Cat# AAA48960)

No reviews yet
Full Name
MAPKSP1 antibody
Gene Names
LAMTOR3; MP1; MAPBP; MAPKSP1; PRO0633; MAP2K1IP1; Ragulator3
Reactivity
Human
Applications
Immunofluorescence, Immunocytochemistry, Western Blot
Purity
By protein-A affinity chromatography
Pricing
product-image-AAA49020_AD11.gif Application Data (Staining of rat spleen cells with Mouse anti Rat CD44)

CD44, Monoclonal Antibody (Cat# AAA49020)

No reviews yet
Full Name
MOUSE ANTI RAT CD44:Preservative Free
Gene Names
Cd44; CD44A; METAA; RHAMM
Applications
Flow Cytometry, Immunohistochemistry
Pricing
product-image-AAA49057_AD13.gif Application Data (Staining of human peripheral blood granulocytes with Mouse anti Human CD95:Alexa Fluor 647)

CD95, Monoclonal Antibody (Cat# AAA49057)

No reviews yet
Full Name
MOUSE ANTI HUMAN CD95:FITC
Gene Names
FAS; APT1; CD95; FAS1; APO-1; FASTM; ALPS1A; TNFRSF6
Applications
Flow Cytometry
Pricing
product-image-AAA49026_AD11.jpg Application Data (Published customer image: p53 protein expression in OS cells. wt-p53 U2-OS, U2-OS transfected with empty vector (U2-OS/e) and p53-impaired U2-OS175 cells were positive to anti-p53 that binds the transactivation site of N-terminal domain (aa20-25), with increased expression in U2-OS175 cells. U2-OS and U2-OS/e also presented accumulation of p53 phosphorylated at Ser20 residue (p-p53). MG63 and Saos-2 were negative to both antibodies. Actina was used as loading control.From: Novello C, Pazzaglia L, Conti A, Quattrini I, Pollino S, et al. (2014) p53-Dependent Activation of microRNA-34a in Response to Etoposide-Induced DNA Damage in Osteosarcoma Cell Lines Not Impaired by Dominant Negative p53 Expression. PLoS ONE 9(12): e114757.)

p53, Monoclonal Antibody (Cat# AAA49026)

No reviews yet
Full Name
MOUSE ANTI p53 (aa20-25):Biotin
Gene Names
TP53; P53; BCC7; LFS1; TRP53
Applications
Flow Cytometry
Pricing
product-image-AAA46965_WB15.jpg WB (Western Blot) (Western blot analysis of CD26 expression in HUVEC cell lysate (AAA46965).Electrophoresis was performed on a 5-20% SDS-PAGE gel at 70V (Stacking gel) / 90V (Resolving gel) for 2-3 hours. The sample well of each lane was loaded with 50ug of sample under reducing conditions.After Electrophoresis, proteins were transferred to a Nitrocellulose membrane at 150mA for 50-90 minutes. Blocked the membrane with 5% Non-fat Milk/ TBS for 1.5 hour at RT. The membrane was incubated with rabbit anti-DPP4 monoclonal antibody overnight at 4 degree C, then washed with TBS-0.1%Tween 3 times with 5 minutes each and probed with a goat anti-rabbit IgG-HRP secondary antibody at a dilution of 1:10000 for 1.5 hour at RT. The signal is developed using an Enhanced Chemiluminescent detection (ECL) kit with Tanon 5200 system. A specific band was detected for DPP4)

CD26, Monoclonal Antibody (Cat# AAA46965)

No reviews yet
Full Name
Anti-CD26 Rabbit Monoclonal Antibody
Gene Names
DPP4; CD26; ADABP; ADCP2; DPPIV; TP103
Reactivity
Human, Mouse, Rat
Applications
Western Blot
Purity
Affinity-chromatography
Pricing
product-image-AAA46972_IHC13.jpg IHC (Immunohiostchemistry) (Immunohistochemical analysis of paraffin-embedded human breast, using DNA-PKcs Antibody.)

DNA-PKcs, Monoclonal Antibody (Cat# AAA46972)

No reviews yet
Full Name
Anti-DNA-PKcs Rabbit Monoclonal Antibody
Gene Names
PRKDC; HYRC; p350; DNAPK; DNPK1; HYRC1; IMD26; XRCC7; DNA-PKcs
Reactivity
Human, Mouse, Rat
Applications
Western Blot, Immunocytochemistry, Immunohistochemistry, Immunofluorescence
Purity
Affinity-chromatography
Pricing
product-image-AAA46974_WB13.jpg WB (Western Blot) (Western blot analysis of MMP14 expression in human spleen lysate (AAA46974).Electrophoresis was performed on a 5-20% SDS-PAGE gel at 70V (Stacking gel) / 90V (Resolving gel) for 2-3 hours. The sample well of each lane was loaded with 50ug of sample under reducing conditions.After Electrophoresis, proteins were transferred to a Nitrocellulose membrane at 150mA for 50-90 minutes. Blocked the membrane with 5% Non-fat Milk/ TBS for 1.5 hour at RT. The membrane was incubated with rabbit anti-MMP14 monoclonal antibody overnight at 4 degree C, then washed with TBS-0.1%Tween 3 times with 5 minutes each and probed with a goat anti-rabbit IgG-HRP secondary antibody at a dilution of 1:10000 for 1.5 hour at RT. The signal is developed using an Enhanced Chemiluminescent detection (ECL) kit with Tanon 5200 system. A specific band was detected for MMP14)

MMP14/Mt1 Mmp, Monoclonal Antibody (Cat# AAA46974)

No reviews yet
Full Name
Anti-MMP14/Mt1 Mmp Rabbit Monoclonal Antibody
Gene Names
MMP14; MMP-14; MMP-X1; MT-MMP; MT1MMP; MTMMP1; WNCHRS; MT1-MMP; MT-MMP 1
Reactivity
Human, Mouse, Rat
Applications
Western Blot, Immunocytochemistry, Immunohistochemistry, Immunofluorescence, Immunoprecipitation, Flow Cytometry
Purity
Affinity-chromatography
Pricing
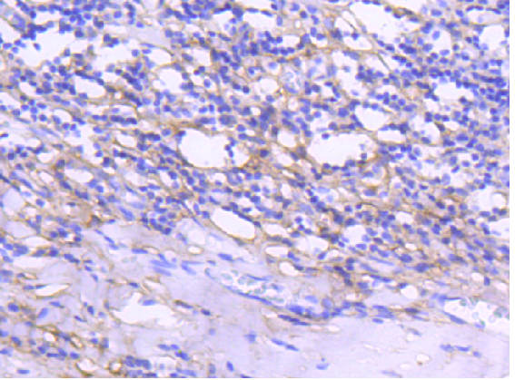
product-image-AAA47001_IHC13.jpg IHC (Immunohiostchemistry) (Immunohistochemical analysis of paraffin-embedded human breast cancer, using ASK1 Antibody(AAA47001)MAP3K5 was detected in paraffin-embedded tissue section. Heat mediated antigen retrieval was performed in citrate buffer (pH6, epitope retrieval solution) for 20 mins. The tissue section was blocked with 10% goat serum. The tissue section was then incubated with 1ug/ml rabbit anti-MAP3K5 Antibody (AAA47001)overnight at 4 degree C. Biotinylated goat anti-rabbit IgG was used as secondary antibody and incubated for 30 minutes at 37 degree C. The tissue section was developed using Strepavidin-Biotin-Complex (SABC) with DAB as the chromogen.)

ASK1, Monoclonal Antibody (Cat# AAA47001)

No reviews yet
Full Name
Anti-ASK1 Rabbit Monoclonal Antibody
Gene Names
MAP3K5; ASK1; MEKK5; MAPKKK5
Reactivity
Human, Mouse
Applications
Western Blot, Immunocytochemistry, Immunohistochemistry, Immunofluorescence, Flow Cytometry
Purity
Affinity-chromatography
Pricing
product-image-AAA47018_WB13.jpg WB (Western Blot) (Western blot analysis of alpha smooth muscle Actin expression in (1)A549 cell lysate; (2)C2C12 cell lysate using alpha-SMA antibody (AAA47018).Electrophoresis was performed on a 5-20% SDS-PAGE gel at 70V (Stacking gel) / 90V (Resolving gel) for 2-3 hours. The sample well of each lane was loaded with 50ug of sample under reducing conditions.After Electrophoresis, proteins were transferred to a Nitrocellulose membrane at 150mA for 50-90 minutes. Blocked the membrane with 5% Non-fat Milk/ TBS for 1.5 hour at RT. The membrane was incubated with rabbit anti-ACTA2 monoclonal antibody overnight at 4 degree C, then washed with TBS-0.1%Tween 3 times with 5 minutes each and probed with a goat anti-rabbit IgG-HRP secondary antibody at a dilution of 1:10000 for 1.5 hour at RT. The signal is developed using an Enhanced Chemiluminescent detection (ECL) kit with Tanon 5200 system. A specific band was detected for ACTA2)

alpha smooth muscle Actin, Monoclonal Antibody (Cat# AAA47018)

No reviews yet
Full Name
Anti-alpha smooth muscle Actin Rabbit Monoclonal Antibody
Gene Names
ACTA2; ACTSA
Reactivity
Human, Mouse, Rat
Applications
Western Blot, Immunocytochemistry, Immunohistochemistry, Immunofluorescence, Flow Cytometry
Purity
Affinity-chromatography
Pricing
product-image-AAA47032_WB13.jpg WB (Western Blot) (Western blot analysis of PIM1 expression in Jurkat cell lysate (AAA47032).Electrophoresis was performed on a 5-20% SDS-PAGE gel at 70V (Stacking gel) / 90V (Resolving gel) for 2-3 hours. The sample well of each lane was loaded with 50ug of sample under reducing conditions.After Electrophoresis, proteins were transferred to a Nitrocellulose membrane at 150mA for 50-90 minutes. Blocked the membrane with 5% Non-fat Milk/ TBS for 1.5 hour at RT. The membrane was incubated with rabbit anti-PIM1 monoclonal antibody overnight at 4 degree C, then washed with TBS-0.1%Tween 3 times with 5 minutes each and probed with a goat anti-rabbit IgG-HRP secondary antibody at a dilution of 1:10000 for 1.5 hour at RT. The signal is developed using an Enhanced Chemiluminescent detection (ECL) kit with Tanon 5200 system. A specific band was detected for PIM1)

PIM1, Monoclonal Antibody (Cat# AAA47032)

No reviews yet
Full Name
Anti-PIM1 Rabbit Monoclonal Antibody
Gene Names
PIM1; PIM
Reactivity
Human, Mouse
Applications
Western Blot, Immunocytochemistry, Immunohistochemistry, Immunofluorescence
Purity
Affinity-chromatography
Pricing
product-image-AAA47037_WB13.jpg WB (Western Blot) (Western blot analysis of CD9 expression in (1)HACAT cell lysate ;(2)HepG2 cell lysate (AAA47037).Electrophoresis was performed on a 5-20% SDS-PAGE gel at 70V (Stacking gel) / 90V (Resolving gel) for 2-3 hours. The sample well of each lane was loaded with 50ug of sample under reducing conditions.After Electrophoresis, proteins were transferred to a Nitrocellulose membrane at 150mA for 50-90 minutes. Blocked the membrane with 5% Non-fat Milk/ TBS for 1.5 hour at RT. The membrane was incubated with rabbit anti-CD9 monoclonal antibody overnight at 4 degree C, then washed with TBS-0.1%Tween 3 times with 5 minutes each and probed with a goat anti-rabbit IgG-HRP secondary antibody at a dilution of 1:10000 for 1.5 hour at RT. The signal is developed using an Enhanced Chemiluminescent detection (ECL) kit with Tanon 5200 system. A specific band was detected for CD9)

CD9, Monoclonal Antibody (Cat# AAA47037)

No reviews yet
Full Name
Anti-CD9 Rabbit Monoclonal Antibody
Gene Names
CD9; MIC3; MRP-1; BTCC-1; DRAP-27; TSPAN29; TSPAN-29
Reactivity
Human, Mouse, Rat
Applications
Western Blot, Immunocytochemistry, Immunohistochemistry, Immunofluorescence, Immunoprecipitation, Flow Cytometry
Purity
Affinity-chromatography
Pricing
product-image-AAA104129_WB13.png WB (Western Blot) (Western Blot analysis of Sulfotyrosine-BSA Conjugate showing detection of 67 kDa Sulfotyrosine protein using Mouse Anti-Sulfotyrosine Monoclonal Antibody, Clone 7C5. Lane 1: Molecular Weight Ladder (MW). Lane 2: Sulfotyrosine-BSA. Lane 3: Tyrosine-BSA. Lane 4: Phosphotyrosine-BSA. Lane 5: BSA. Load: 2 ug. Block: 5% Skim Milk in TBST. Primary Antibody: Mouse Anti-Sulfotyrosine Monoclonal Antibody at 1:1000 for 2 hours at RT. Secondary Antibody: Goat Anti-Mouse IgG: HRP at 1:2000 for 60 min at RT. Color Development: ECL solution for 5 min in RT. Predicted/Observed Size: 67 kDa.)

Sulfotyrosine, Monoclonal Antibody (Cat# AAA104129)

No reviews yet
Full Name
Sulfotyrosine Antibody, Clone 7C5: RPE
Reactivity
Species Independent
Applications
Immunofluorescence, Immunocytochemistry, Western Blot
Purity
Protein G Purified
Pricing
product-image-AAA103793_WB11.png WB (Western Blot) (Western Blot analysis of Rat Liver showing detection of ~170 kDa GRP170 protein using Mouse Anti-GRP170 Monoclonal Antibody, Clone 6E3-2C3 . Lane 1: Molecular Weight Ladder (MW). Lane 2: Rat Liver cell lysate. Load: 20 ug. Block: 2% BSA and 2% Skim Milk in 1X TBST. Primary Antibody: Mouse Anti-GRP170 Monoclonal Antibody at 1:1000 for 16 hours at 4 degree C. Secondary Antibody: Goat Anti-Mouse IgG: HRP at 1:100 for 60 min at RT. Color Development: ECL solution for 6 min in RT. Predicted/Observed Size: ~170 kDa.)

GRP170, Monoclonal Antibody (Cat# AAA103793)

No reviews yet
Full Name
Mouse Anti-Human GRP170 Monoclonal IgG2bK
Gene Names
HYOU1; Grp170; HSP12A; ORP150; GRP-170; ORP-150
Reactivity
Human, Mouse, Rat
Applications
Western Blot
Purity
Protein G Purified
Pricing
product-image-AAA103963_WB13.png WB (Western Blot) (Western Blot analysis of Citrulline-BSA Conjugate showing detection of 67 kDa Citrulline protein using Mouse Anti-Citrulline Monoclonal Antibody, Clone 2D3-1B9. Lane 1: Molecular Weight Ladder (MW). Lane 2: BSA (0.5 ug). Lane 3: BSA (2.0 ug). Lane 4: Citrulline-BSA (0.5 ug). Lane 5: Citrulline-BSA (2.0 ug). Block: 5% Skim Milk in TBST. Primary Antibody: Mouse Anti-Citrulline Monoclonal Antibody at 1:1000 for 2 hours at RT. Secondary Antibody: Goat Anti-Mouse IgG: HRP at 1:2000 for 60 min at RT. Color Development: ECL solution for 5 min in RT. Predicted/Observed Size: 67 kDa.)

Citrulline, Monoclonal Antibody (Cat# AAA103963)

No reviews yet
Full Name
Citrulline Antibody, Clone 2D3.1: Biotin
Reactivity
Species Independent
Applications
Immunofluorescence, Immunocytochemistry, Western Blot
Purity
Protein G Purified
Pricing
product-image-AAA104020_WB10.png WB (Western Blot) (Western Blot analysis of Human Cervical cancer cell line (HeLa) lysate showing detection of Hexanoyl-Lysine adduct protein using Mouse Anti-Hexanoyl-Lysine adduct Monoclonal Antibody, Clone 5D9. Lane 1: Molecular Weight Ladder (MW). Lane 2: HeLa cell lysate. Lane 3: H2O2 treated HeLa cell lysate. Load: 12 ug. Block: 5% Skim Milk in TBST. Primary Antibody: Mouse Anti-Hexanoyl-Lysine adduct Monoclonal Antibody at 1:1000 for 2 hours at RT. Secondary Antibody: Goat Anti-Mouse IgG: HRP at 1:2000 for 60 min at RT. Color Development: ECL solution for 5 min in RT.)

Hexanoyl-Lysine adduct, Monoclonal Antibody (Cat# AAA104020)

No reviews yet
Full Name
Hexanoyl-Lysine adduct Antibody, Clone 5D9: PerCP
Reactivity
Species Independent
Applications
Flow Cytometry, Immunofluorescence, Immunocytochemistry, Western Blot
Purity
Protein G Purified
Pricing
product-image-AAA104024_WB10.png WB (Western Blot) (Western Blot analysis of Human Cervical cancer cell line (HeLa) lysate showing detection of Hexanoyl-Lysine adduct protein using Mouse Anti-Hexanoyl-Lysine adduct Monoclonal Antibody, Clone 5E8. Lane 1: Molecular Weight Ladder (MW). Lane 2: HeLa cell lysate. Lane 3: H2O2 treated HeLa cell lysate. Load: 12 ug. Block: 5% Skim Milk in TBST. Primary Antibody: Mouse Anti-Hexanoyl-Lysine adduct Monoclonal Antibody at 1:1000 for 2 hours at RT. Secondary Antibody: Goat Anti-Mouse IgG: HRP at 1:2000 for 60 min at RT. Color Development: ECL solution for 5 min in RT.)

Hexanoyl-Lysine adduct, Monoclonal Antibody (Cat# AAA104024)

No reviews yet
Full Name
Hexanoyl-Lysine adduct Antibody, Clone 5E8: ATTO 488
Reactivity
Species Independent
Applications
Flow Cytometry, Immunofluorescence, Immunocytochemistry, Western Blot
Purity
Protein G Purified
Pricing
product-image-AAA104090_FCM11.png FCM/FACS (Flow Cytometry) (Flow Cytometry analysis using Mouse Anti-Methylglyoxal Monoclonal Antibody, Clone 9E7. Tissue: Neuroblastoma cells (SH-SY5Y). Species: Human. Fixation: 90% Methanol. Primary Antibody: Mouse Anti-Methylglyoxal Monoclonal Antibody at 1:50 for 30 min on ice. Secondary Antibody: Goat Anti-Mouse: PE at 1:100 for 20 min at RT. Isotype Control: Non Specific IgG. Cells were subject to oxidative stress by treating with 250 uM H2O2 for 24 hours.)

Methylglyoxal, Monoclonal Antibody (Cat# AAA104090)

No reviews yet
Full Name
Methylglyoxal Antibody, Clone 9E7: FITC
Reactivity
Species Independent
Applications
Flow Cytometry, Immunofluorescence, Immunocytochemistry, Western Blot
Purity
Protein G Purified
Pricing
product-image-AAA104091_FCM11.png FCM/FACS (Flow Cytometry) (Flow Cytometry analysis using Mouse Anti-Methylglyoxal Monoclonal Antibody, Clone 9E7. Tissue: Neuroblastoma cells (SH-SY5Y). Species: Human. Fixation: 90% Methanol. Primary Antibody: Mouse Anti-Methylglyoxal Monoclonal Antibody at 1:50 for 30 min on ice. Secondary Antibody: Goat Anti-Mouse: PE at 1:100 for 20 min at RT. Isotype Control: Non Specific IgG. Cells were subject to oxidative stress by treating with 250 uM H2O2 for 24 hours.)

Methylglyoxal, Monoclonal Antibody (Cat# AAA104091)

No reviews yet
Full Name
Methylglyoxal Antibody, Clone 9E7: HRP
Reactivity
Species Independent
Applications
Flow Cytometry, Immunofluorescence, Immunocytochemistry, Western Blot
Purity
Protein G Purified
Pricing
product-image-AAA104092_FCM11.png FCM/FACS (Flow Cytometry) (Flow Cytometry analysis using Mouse Anti-Methylglyoxal Monoclonal Antibody, Clone 9E7. Tissue: Neuroblastoma cells (SH-SY5Y). Species: Human. Fixation: 90% Methanol. Primary Antibody: Mouse Anti-Methylglyoxal Monoclonal Antibody at 1:50 for 30 min on ice. Secondary Antibody: Goat Anti-Mouse: PE at 1:100 for 20 min at RT. Isotype Control: Non Specific IgG. Cells were subject to oxidative stress by treating with 250 uM H2O2 for 24 hours.)

Methylglyoxal, Monoclonal Antibody (Cat# AAA104092)

No reviews yet
Full Name
Methylglyoxal Antibody, Clone 9E7: PerCP
Reactivity
Species Independent
Applications
Flow Cytometry, Immunofluorescence, Immunocytochemistry, Western Blot
Purity
Protein G Purified
Pricing
product-image-AAA108513_IHC13.gif IHC (Immunohiostchemistry) (Immunohistochemistry Staining of Human ovary tissue with beta -Actin mouse mAb(6G3) diluted at 1:200..)

beta-Actin, Monoclonal Antibody (Cat# AAA108513)

No reviews yet
Full Name
beta-Actin Mouse Monoclonal (6G3)Antibody
Reactivity
Human, Rat, Mouse, Rabbit, Sheep, Pig, Chicken
Applications
Immunohistochemistry, Western Blot
Pricing
product-image-AAA108694_AD15.png Application Data

HA-Tag, Monoclonal Antibody (Cat# AAA108694)

No reviews yet
Full Name
HA-Tag monoclonal antibody
Reactivity
Human, Mouse, Rat, Others
Applications
Immunostaining, Immunoprecipitation, Western Blot
Pricing
product-image-AAA77463_AD13.jpg Application Data (Figure 2: Immunohistochemistry on paraffin section of human kidney)

K-Cadherin/Cadherin-6, Monoclonal Antibody (Cat# AAA77463)

No reviews yet
Full Name
Mouse anti K-Cadherin/Cadherin-6
Gene Names
CDH6; CAD6; KCAD; FLJ14176; DKFZp564N1116
Reactivity
Human, Rat
Applications
Western Blot, Immunohistochemistry, Immunohistochemistry, Immunocytochemistry
Pricing
product-image-AAA77481_AD15.jpg Application Data (Figure 1: Immunohistochemistry on frozen section of Human kidney showing strong reactivity in the extracellular matrix and basement membrane.)

Heparan Sulphate Proteoglycan, Monoclonal Antibody (Cat# AAA77481)

No reviews yet
Full Name
Rat anti Heparan Sulphate Proteoglycan
Gene Names
GPC3; SGB; DGSX; MXR7; SDYS; SGBS; OCI-5; SGBS1; GTR2-2; GPC3
Reactivity
Bovine, Human, Mouse, Rat, Cod and Wolffish.
Applications
Western Blot, Immunoprecipitation, Immunohistochemistry, Immunohistochemistry, Immunocytochemistry
Pricing
product-image-AAA77485_AD13.jpg Application Data (Figure 2: Immunofluorescence staining of a 9 days old zebrafish embryo)

NCAM / CD56, Monoclonal Antibody (Cat# AAA77485)

No reviews yet
Full Name
Mouse anti NCAM / CD56
Reactivity
Human, Zebrafish
Applications
Western Blot, Immunohistochemistry, Immunohistochemistry, Immunocytochemistry
Pricing

Integrin beta 1D, Monoclonal Antibody (Cat# AAA77488)

No reviews yet
Full Name
Mouse anti Integrin beta 1D
Gene Names
ITGB1; CD29; FNRB; MDF2; VLAB; GPIIA; MSK12; VLA-BETA
Reactivity
Human, Mouse
Applications
Western Blot, Immunohistochemistry, Immunocytochemistry
Pricing
product-image-AAA77495_IHC10.png IHC (Immunohistochemistry) (Figure 4. Immunohistochemistry on frozen tissue section of human skin showing nuclear lamina staining in epithelial and connective tissue cells.)

Lamin A and C, Monoclonal Antibody (Cat# AAA77495)

No reviews yet
Full Name
Mouse anti Lamin A and C
Gene Names
lmna; lmna-A
Reactivity
Bovine, Canine, Hamster, Human, Mouse, Rat, Sheep
Applications
Western Blot, Immunohistochemistry, Immunocytochemistry, Flow Cytometry
Pricing
product-image-AAA77512_AD13.jpg Application Data (Figure 2: Immunofluorescent staining of LNCaP cells)

PSA, Monoclonal Antibody (Cat# AAA77512)

No reviews yet
Full Name
Mouse anti PSA
Gene Names
KLK3; APS; PSA; hK3; KLK2A1
Reactivity
Human
Applications
Western Blot, Immunohistochemistry, Immunohistochemistry, Immunocytochemistry, Flow Cytometry
Pricing
product-image-AAA77519_AD11.jpg Application Data (Figure 3: Purified ICAM-3-Fc was separated by using PAGE and transferred via electroblotting to nitrocellulose membrane. The membrane was probed with MA4 at a dilution of 1/200 (using TBST " TBS+0.05% tween 20) which equates to a concentration of 5 ug/ml and mAb binding detected by anti-mouse-HRP (1/1000; GE Healthcare). This single band on western blot analysis is consistent with the published reports using this recombinant ICAM-3-Fc which contained only domains 1 and 2 of ICAM-3 fused to human Fc. The band shown is approximately 80kDa.)

ICAM-3, Monoclonal Antibody (Cat# AAA77519)

No reviews yet
Full Name
Mouse anti ICAM-3
Gene Names
ICAM3; CD50; CDW50; ICAM-R
Reactivity
Human
Applications
Immuno-ElectronMicroscopy, Western Blot, Immunoprecipitation, Immunocytochemistry, Immunohistochemistry, Flow Cytometry
Pricing

HLA Class I Heavy Chain, Monoclonal Antibody (Cat# AAA77521)

No reviews yet
Full Name
Mouse anti Human HLA Class I Heavy Chain (Restricted expression)
Reactivity
Human
Applications
Immunoprecipitation, Immunohistochemistry, Immunocytochemistry, Immunoblot, Flow Cytometry, Immunoelectron Microscopy
Pricing

C4, Monoclonal Antibody (Cat# AAA77776)

No reviews yet
Full Name
C4, Mouse, mAb 16D2
Gene Names
C4b; C4; Ss
Reactivity
C4b
C4d
Applications
Western Blot, Immunoprecipitation, Immunofluorescence, Immunoassay
Pricing

TREM-1, Monoclonal Antibody (Cat# AAA77778)

No reviews yet
Full Name
TREM-1, Human, mAb 6B1
Gene Names
TREM1; CD354; TREM-1
Reactivity
Human
Applications
Western Blot, Immunoassay, Functional Assay, Flow Cytometry
Purity
Protein G
Pricing

PECAM-1, Monoclonal Antibody (Cat# AAA77789)

No reviews yet
Full Name
Monoclonal Antibody to Human Pecam-1 (CD31)
Gene Names
PECAM1; CD31; PECA1; GPIIA'; PECAM-1; endoCAM; CD31/EndoCAM
Reactivity
Human
Applications
Immunoprecipitation, Immunoassay, Flow Cytometry
Pricing

Polymyxin B, Monoclonal Antibody (Cat# AAA77794)

No reviews yet
Full Name
Monoclonal antibody to Polymyxin B (PMB)
Reactivity
Human
Applications
Western Blot, Immunoassay
Pricing

MARCO, Monoclonal Antibody (Cat# AAA77796)

No reviews yet
Full Name
MARCO, Human, mAb PLK-1
Applications
Western Blot, Immunoprecipitation, Immunofluorescence, Flow Cytometry
Purity
Protein G
Pricing

Lipopolysaccharide Core, Monoclonal Antibody (Cat# AAA77825)

No reviews yet
Full Name
Lipopolysaccharide Core, mAb WN1 222-5
Reactivity
Lipopolysaccharide
Applications
Western Blot, Immunohistochemistry, Immunoassay, Functional Assay
Pricing
product-image-AAA77834_IF13.jpg IF (Immunofluorescence) (Immunofluorescence analysis of transfected HeLa cells stained with the antiphospho- Tau (Tyr 18) antibody, dilution 1:200: A: Tau; B: Tau + Fyn)

Tau, Monoclonal Antibody (Cat# AAA77834)

No reviews yet
Full Name
Phospho-Tau (tyr 18) Mouse Monoclonal Antibody (9G3)
Reactivity
Human, Mouse, Rat
Applications
Immunofluorescence, Immunohistochemistry, Western Blot
Pricing

Pseudomonas Aeruginosa Antigen O6, Monoclonal Antibody (Cat# AAA77836)

No reviews yet
Full Name
Pseudomonas Aeruginosa antigen O6 Mouse Monoclonal Antibody
Reactivity
Pseudomonas aeruginosa
Applications
Western Blot
Pricing
product-image-AAA77839_AD13.jpg Application Data

Cardiac Myosin Heavy Chain, Monoclonal Antibody (Cat# AAA77839)

No reviews yet
Full Name
Cardiac Myosin Heavy Chain Mouse Monoclonal (3-48_G5C7)
Gene Names
MYH7; CMH1; MPD1; SPMD; SPMM; CMD1S; MYHCB
Reactivity
Human, Rat, Mouse
Predicted: Canine, Bovine and Rabbit
Applications
Immunohistochemistry, Immunofluorescence, Western Blot
Pricing

double-stranded RNA (J2), Monoclonal Antibody (Cat# AAA77709)

No reviews yet
Full Name
Mouse anti double-stranded RNA (J2)
Applications
Immunohistochemistry, Immunocytochemistry, Flow Cytometry, Dot Blot
Purity
Purity: Gel electrophoretically pure IgG antibody.
Purification Method: Affinity chromatography on Protein A-agarose.
Pricing
product-image-AAA77771_FCM13.jpg FCM/FACS (Flow Cytometry) (Detection of ASGPR in HepG2 cells. red, black and blue line represent the isotope control, cells only and AAA77771 with a concentration of 10 ug/ml, respectively.)

ASGPR, Monoclonal Antibody (Cat# AAA77771)

No reviews yet
Full Name
ASGPR, Rat, mAb 8D7, FITC
Applications
Western Blot, Immunofluorescence, Immunoassay, Flow Cytometry
Purity
Protein G
Pricing

Vibrio cholerae O139, Monoclonal Antibody (Cat# AAA77235)

No reviews yet
Full Name
Vibrio cholerae O139 Antibody
Reactivity
No reactivity with related bacteria including V. cholarae O1-Ogawa & O1-Inaba
Applications
Lateral Flow
Purity
>95%
Pricing

Procalcitonin (PCT), Monoclonal Antibody (Cat# AAA77240)

No reviews yet
Full Name
Procalcitonin (PCT) Antibody
Applications
Immunofluorescence, Lateral Flow
Purity
>90%
Pricing

Methcathinone, Monoclonal Antibody (Cat# AAA77249)

No reviews yet
Full Name
Methcathinone Antibody
Applications
ELISA
Purity
>95% by SDS-PAGE and HPLC
Pricing

Helicobacter pylori, Monoclonal Antibody (Cat# AAA77259)

No reviews yet
Full Name
Helicobacter pylori Antibody
Applications
Lateral Flow
Purity
>95% by SDS-PAGE
Pricing

Dengue Virus, Monoclonal Antibody (Cat# AAA77264)

No reviews yet
Full Name
Dengue Virus (DENV-NS1 Serotype 1) Antibody
Applications
Lateral Flow
Purity
>90%
Pricing

Aflatoxin B1 (AFT B1), Monoclonal Antibody (Cat# AAA77276)

No reviews yet
Full Name
Aflatoxin B1 (AFT B1) Antibody
Reactivity
No reactivity with Aflatoxins M1 or M2
Applications
Lateral Flow
Purity
>95%, Protein A purified
Pricing

MDPV, Monoclonal Antibody (Cat# AAA77291)

No reviews yet
Full Name
MDPV Antibody
Applications
Lateral Flow
Purity
>95% by SDS-PAGE and HPLC
Pricing

Testosterone, Monoclonal Antibody (Cat# AAA77306)

No reviews yet
Full Name
Testosterone Antibody
Applications
Lateral Flow
Purity
>90% by SDS-PAGE
Pricing

What are Monoclonal Antibodies?


Monoclonal antibodies are specialized laboratory-produced proteins developed for binding to specific biological antigens or other molecular targets. Since they come from a single cell (or clone), they are especially consistent and accurate in the data they are involved in producing.


This type of antibody material has been shown to be a powerful tool in finding and subsequently destroying harmful cells in an organism, such as those found in cancers or various autoimmune diseases. This makes them excellent aids in medical testing and research, which is why they are so widely used.


AAA Biotech offers a comprehensive range of high-quality monoclonal antibodies that perform effectively in various laboratory tests, including (amongst others) ELISA, western blotting, immunohistochemistry, and flow cytometry. All of the products in our catalog are thoroughly quality tested to make sure that they are reliable and will consistently perform well in your research.


What Are The Uses of Monoclonal Antibodies


Monoclonal antibodies are used in many lab tests, including (amongst others) ELISA, western blotting, immunohistochemistry, and flow cytometry.


ELISA is a test that helps detect a specific substance/analyte in a sample. It uses antibodies (often monoclonal) bound to a solid surface (such as the well of a microplate) to “capture” the substance/analyte in the sample and immobilize it so that the detection antibody component can then bind to it and produce a signal, which can then be measured.


Western blotting identifies specific proteins in a sample. The sample is first separated on a gel, and then antibodies are applied that will typically bind to the target, which will all be localized to a single band in a lane.


Immunohistochemistry helps locate specific proteins in cells or tissue samples using antibodies.


Flow cytometry looks at and sorts cells. It uses antibodies that are conjugated to reporter molecules called “fluorophores”, which, under special lights, emit light themselves, which can then be measured by a detector instrument. For a deeper understanding of these techniques, explore our complete guide to monoclonal antibodies and their benefits.


How Monoclonal Antibodies Are Used as Medicine?


Please note that all of the products listed in AAA Biotech’s also known as AAA Bio or AAABio catalog are strictly for research-use only (RUO).


Monoclonal antibodies can also be used as therapeutic/medical treatments, particularly in the context of cancers. They are designed to find and bind to specific cells or proteins, helping the immune system recognize and attack the cancer. These treatments work in different ways, such as:


  • Radioimmunotherapy attaches a small amount of radioactive molecule to the antibody, so it delivers the radiation directly to the cancer cells that the antibody is specifically binding to.

  • Antibody-directed enzyme prodrug therapy uses antibodies that are specifically bound to special enzymes. These enzymes activate a harmless drug in the body and turn it into a cancer-killing drug only near the cancer cells—this helps avoid harming healthy cells.

  • Immunoliposomes are tiny “bubbles” filled with medicine/drug and coated with antibodies. They carry the drug straight to the cancer cells.


Why Buy Monoclonal Antibodies From Us?


At AAA Biotech, we provide high-performance monoclonal antibodies designed to support a wide range of research needs.


1. Validated for Versatile Applications


The antibodies in our catalog are extensively validated and compatible with multiple techniques, including (but not limited to) ELISA, flow cytometry (FC), immunocytochemistry (ICC), immunofluorescence (IF), immunohistochemistry (IHC), immunoprecipitation (IP), and western blotting (WB).


2. Wide Selection & Specialized Options


We offer antibodies for common and rare species, that are available in various conjugated forms, and also in recombinant formats. Essentially, there is almost anything one might need to meet their experimental model’s requirements.


3. High-Quality Proteins


Our proteins meet high purity standards—90% or more as confirmed by SDS-PAGE. Many are available with tags like His, Flag, GST, or MBP, and we also supply native and biologically active proteins for functional studies.


Frequently Asked Questions


1. Are your monoclonal antibodies validated for specific applications?


Yes, our antibodies are tested and validated for use in methods such as ELISA, western blot, IHC, flow cytometry, and more. Refer to specific product pages or datasheets for individual product information.


2. How do I choose the right monoclonal antibody for my application?


Review the product details directly for application validation, species reactivity, and target information. You may also contact our support team at any time for help.


3. How quickly can I receive my order?


Most orders are processed and shipped within 1–3 business days, depending on product availability and your shipping location.


Submit a Question

Please complete the form below and a representative will contact you as soon as possible.

Request more Information

Please complete the form below and a representative will contact you as soon as possible.

Request a Manual

Please complete the form below and a representative will contact you as soon as possible.

Request a Quote

Please complete the form below and a representative will contact you as soon as possible.