Loading...

Skip to main content
Call us at +1-800-604-9114 for more information about our products or contact us online Need help? +1-800-604-9114 or contact us

Filters


Clonality

Type

Reactivity

Gene Name

Isotype

Host

Application

Clone

Monoclonal Antibodies

Get accurate results in your research with our Monoclonal Antibodies, which are specially made to target exactly what you require for your research, and will produce consistent, reliable performance in lab tests.


Viewing 9500-9550 of 10000 product results


product-image-AAA312022_ICC10.jpg ICC (Immunocytochemistry) (ICC staining KIM1 in PC-12 cells (green). The nuclear counter stain is DAPI (blue). Cells were fixed in paraformaldehyde, permeabilised with 0.25% Triton X100/PBS.)

KIM1, Monoclonal Antibody (Cat# AAA312022)

Full Name
KIM1 Antibody
Gene Names
HAVCR1; TIM; KIM1; TIM1; HAVCR; KIM-1; TIM-1; TIMD1; TIMD-1; HAVCR-1
Reactivity
Human
Applications
Immunohistochemistry, Immunocytochemistry, Western Blot
Pricing
product-image-AAA312023_ICC11.jpg ICC (Immunocytochemistry) (ICC staining TSH in JAR cells (red). The nuclear counter stain is DAPI (blue). Cells were fixed in paraformaldehyde, permeabilised with 0.25% Triton X100/PBS.)

TSH, Monoclonal Antibody (Cat# AAA312023)

Full Name
TSH Antibody
Gene Names
CGA; HCG; LHA; FSHA; GPHa; TSHA; GPHA1; CG-ALPHA
Reactivity
Human, Mouse
Applications
Immunocytochemistry, Immunohistochemistry, Western Blot
Pricing
product-image-AAA312027_FCM11.jpg FCM/FACS (Flow Cytometry) (Flow cytometric analysis of Hela cells with Rab3a antibody at 1/100 dilution (green) compared with an unlabelled control (cells without incubation with primary antibody; red).)

RAB3A, Monoclonal Antibody (Cat# AAA312027)

Full Name
RAB3A Antibody
Reactivity
Human
Applications
Flow Cytometry, Western Blot
Purity
ProA affinity purified
Pricing
product-image-AAA312030_FCM10.jpg FCM/FACS (Flow Cytometry) (Flow cytometric analysis of Hela cells with TIP60 antibody at 1/100 dilution (green) compared with an unlabelled control (cells without incubation with primary antibody; red).)

TIP60, Monoclonal Antibody (Cat# AAA312030)

Full Name
TIP60 Antibody
Gene Names
KAT5; TIP; ESA1; PLIP; TIP60; cPLA2; HTATIP; ZC2HC5; HTATIP1
Reactivity
Human
Applications
Flow Cytometry, Immunocytochemistry, Western Blot
Purity
ProA affinity purified
Pricing
product-image-AAA312044_FCM13.jpg FCM/FACS (Flow Cytometry) (Flow cytometric analysis of Hela cells with Slingshot homolog 1 antibody at 1/100 dilution (green) compared with an unlabelled control (cells without incubation with primary antibody; red).)

SLINGSHOT-1L, Monoclonal Antibody (Cat# AAA312044)

Full Name
SLINGSHOT-1L Antibody
Gene Names
SSH1; SSH1L
Reactivity
Human
Applications
Flow Cytometry, Immunohistochemistry
Purity
ProA affinity purified
Pricing
product-image-AAA312054_FACS8.jpg FCM/FACS (Flow Cytometry) (Flow cytometric analysis of Hela cells with IL1RAPL1 antibody at 1/100 dilution (green) compared with an unlabelled control (cells without incubation with primary antibody; red).)

IL1RAPL1, Monoclonal Antibody (Cat# AAA312054)

Full Name
IL1RAPL1 Antibody
Gene Names
IL1RAPL1; IL1R8; MRX10; MRX21; MRX34; OPHN4; IL1RAPL; TIGIRR-2
Reactivity
Human
Applications
Flow Cytometry, Immunocytochemistry, Western Blot
Purity
ProA affinity purified
Pricing
product-image-AAA312077_FCM13.jpg FCM/FACS (Flow Cytometry) (Flow cytometric analysis of Jurkat cells with SLC22A1 antibody at 1/100 dilution (green) compared with an unlabelled control (cells without incubation with primary antibody; purple).)

SLC22A1, Monoclonal Antibody (Cat# AAA312077)

Full Name
SLC22A1 Antibody
Gene Names
SLC22A1; OCT1; HOCT1; oct1_cds
Reactivity
Human
Applications
Flow Cytometry, Western Blot
Purity
ProA affinity purified
Pricing
product-image-AAA312079_FCM13.jpg FCM/FACS (Flow Cytometry) (Flow cytometric analysis of RAJI cells with CD94 antibody at 1/100 dilution (green) compared with an unlabelled control (cells without incubation with primary antibody; purple).)

CD94, Monoclonal Antibody (Cat# AAA312079)

Full Name
CD94 Antibody
Gene Names
KLRD1; CD94
Reactivity
Human
Applications
Flow Cytometry, Western Blot
Purity
ProA affinity purified
Pricing
product-image-AAA312083_FCM10.jpg FCM/FACS (Flow Cytometry) (Flow cytometric analysis of Hela cells with PINCH antibody at 1/100 dilution (blue) compared with an unlabelled control (cells without incubation with primary antibody; red).)

PINCH, Monoclonal Antibody (Cat# AAA312083)

Full Name
PINCH Antibody
Gene Names
LIMS1; PINCH; PINCH1; PINCH-1
Reactivity
Human
Applications
Flow Cytometry, Immunocytochemistry, Western Blot
Purity
ProA affinity purified
Pricing
product-image-AAA312498_FCM11.jpg FCM/FACS (Flow Cytometry) (Flow cytometric analysis of Jurkat cells with Noxa antibody at 1/100 dilution (red) compared with an unlabelled control (cells without incubation with primary antibody; black).)

Noxa, Monoclonal Antibody (Cat# AAA312498)

Full Name
Noxa Antibody
Gene Names
PMAIP1; APR; NOXA
Reactivity
Human
Applications
Flow Cytometry, Immunohistochemistry, Western Blot
Purity
ProA affinity purified
Pricing
product-image-AAA312510_IHC13.jpg IHC (Immunohiostchemistry) (Immunohistochemical analysis of paraffin-embedded human skin tissue using anti-CDT1 antibody. Counter stained with hematoxylin.)

CDT1, Monoclonal Antibody (Cat# AAA312510)

Full Name
CDT1 Antibody
Gene Names
CDT1; DUP; RIS2
Reactivity
Human
Applications
Immunoprecipitation, Immunohistochemistry, Western Blot
Purity
ProA affinity purified
Pricing
product-image-AAA312513_IHC13.jpg IHC (Immunohiostchemistry) (Immunohistochemical analysis of paraffin-embedded mouse testes tissue using anti-DAZL antibody. Counter stained with hematoxylin.)

DAZL, Monoclonal Antibody (Cat# AAA312513)

Full Name
DAZL Antibody
Gene Names
DAZL; DAZH; DAZL1; DAZLA; SPGYLA
Reactivity
Human, Mouse, Rat
Applications
Immunohistochemistry, Western Blot
Purity
ProA affinity purified
Pricing
product-image-AAA312521_FACS8.jpg FCM/FACS (Flow Cytometry) (Flow cytometric analysis of Hela cells with Calpain 2 antibody at 1/100 dilution (red) compared with an unlabelled control (cells without incubation with primary antibody; black).)

Calpain 2, Monoclonal Antibody (Cat# AAA312521)

Full Name
Calpain 2 Antibody
Gene Names
CAPN2; CANP2; mCANP; CANPL2; CANPml
Reactivity
Human, Mouse, Rat
Applications
Flow Cytometry, Immunohistochemistry, Immunocytochemistry, Western Blot
Purity
ProA affinity purified
Pricing
product-image-AAA312525_FCM10.jpg FCM/FACS (Flow Cytometry) (Flow cytometric analysis of SH-SY5Y cells with PMP22 antibody at 1/100 dilution (red) compared with an unlabelled control (cells without incubation with primary antibody; black).)

PMP22, Monoclonal Antibody (Cat# AAA312525)

Full Name
PMP22 Antibody
Gene Names
PMP22; DSS; HNPP; CMT1A; CMT1E; GAS-3; Sp110; HMSNIA
Reactivity
Human, Rat
Applications
Flow Cytometry, Immunohistochemistry, Immunocytochemistry, Western Blot
Purity
ProA affinity purified
Pricing
product-image-AAA312545_FCM13.jpg FCM/FACS (Flow Cytometry) (Flow cytometric analysis of HL-60 cells with PGC1 beta antibody at 1/100 dilution (red) compared with an unlabelled control (cells without incubation with primary antibody; black).)

PGC1 beta, Monoclonal Antibody (Cat# AAA312545)

Full Name
PGC1 beta Antibody
Gene Names
PPARGC1B; PERC; ERRL1; PGC1B; PGC-1(beta)
Reactivity
Human, Rat
Applications
Flow Cytometry, Immunoprecipitation, Western Blot
Purity
ProA affinity purified
Pricing
product-image-AAA312552_FACS8.jpg FCM/FACS (Flow Cytometry) (Flow cytometric analysis of NIH-3T3 cells with Galectin 1 antibody at 1/100 dilution (red) compared with an unlabelled control (cells without incubation with primary antibody; black).)

Galectin 1, Monoclonal Antibody (Cat# AAA312552)

Full Name
Galectin 1 Antibody
Gene Names
LGALS1; GBP; GAL1
Reactivity
Human, Rat, Mouse
Applications
Flow Cytometry, Immunoprecipitation, Immunohistochemistry, Immunofluorescence, Immunocytochemistry, Western Blot
Purity
ProA affinity purified
Pricing
product-image-AAA312553_FCM10.jpg FCM/FACS (Flow Cytometry) (Flow cytometric analysis of SW480 cells with JAK1 antibody at 1/100 dilution (red) compared with an unlabelled control (cells without incubation with primary antibody; black).)

JAK1, Monoclonal Antibody (Cat# AAA312553)

Full Name
JAK1 Antibody
Gene Names
JAK1; JTK3; JAK1A; JAK1B
Reactivity
Human, Mouse, Rat
Applications
Flow Cytometry, Immunohistochemistry, Western Blot
Purity
ProA affinity purified
Pricing
product-image-AAA312447_IHC11.jpg IHC (Immunohistochemisry) (Immunohistochemical analysis of paraffin-embedded mouse brain tissue using anti-ADRB2 antibody. Counter stained with hematoxylin.)

beta 2 Adrenergic, Monoclonal Antibody (Cat# AAA312447)

Full Name
beta 2 Adrenergic Receptor Antibody
Gene Names
ADRB2; BAR; B2AR; ADRBR; ADRB2R; BETA2AR
Reactivity
Human, Mouse, Rat, Zebrafish
Applications
Immunoprecipitation, Immunohistochemistry, Western Blot
Purity
ProA affinity purified
Pricing
product-image-AAA312476_FCM13.jpg FCM/FACS (Flow Cytometry) (Flow cytometric analysis of Hela cells with TIMP2 antibody at 1/50 dilution (red) compared with an unlabelled control (cells without incubation with primary antibody; black). Alexa Fluor 488-conjugated goat anti rabbit IgG was used as the secondary antibody.)

TIMP2, Monoclonal Antibody (Cat# AAA312476)

Full Name
TIMP2 Antibody
Gene Names
TIMP2; DDC8; CSC-21K
Reactivity
Human
Applications
Flow Cytometry, Western Blot
Purity
ProA affinity purified
Pricing
product-image-AAA312477_WB15.jpg WB (Western Blot) (Western blot analysis of RPE65 on mouse eyeball cells lysates using anti-RPE65 antibody at 1/500 dilution.)

RPE65, Monoclonal Antibody (Cat# AAA312477)

Full Name
RPE65 Antibody
Gene Names
RPE65; p63; BCO3; LCA2; RP20; rd12; mRPE65; sRPE65
Reactivity
Human, Mouse, Rat
Applications
Immunoprecipitation, Western Blot
Purity
ProA affinity purified
Pricing
product-image-AAA312441_FCM13.jpg FCM/FACS (Flow Cytometry) (Flow cytometric analysis of Hela cells with TRX1 antibody at 1/50 dilution (red) compared with an unlabelled control (cells without incubation with primary antibody; black). Alexa Fluor 488-conjugated goat anti rabbit IgG was used as the secondary antibody.)

Thioredoxin, Monoclonal Antibody (Cat# AAA312441)

Full Name
Thioredoxin Antibody
Gene Names
TXN; TRX; TRDX; TRX1
Reactivity
Human, Mouse, Rat
Applications
Flow Cytometry, Western Blot
Purity
ProA affinity purified
Pricing
product-image-AAA314244_AD10.png Application Data (Figure 3. Affinity ranking of different Rabbit anti-CD38 mAb clones by titration of different concentration onto Raji cells. The Y-axis represents the mean fluorescence intensity (MFI) while the X-axis represents the concentration of IgG used.)

CD38, Monoclonal Antibody (Cat# AAA314244)

Full Name
Anti-CD38 antibody (DM30), Rabbit mAb
Reactivity
Human
Applications
Flow Cytometry
Purity
Purified from cell culture supernatant by affinity chromatography
Pricing
product-image-AAA314261_IHC13.jpg IHC (Immunohiostchemistry) (Immunohistochemistry of Factor XIIIa in paraffin-embedded Human colon cancer tissue using Factor XIIIa Rabbit mAb at dilution 1/100)

Factor XIIIa, Monoclonal Antibody (Cat# AAA314261)

Full Name
Factor XIIIa Rabbit mAb
Gene Names
F13A1; F13A
Reactivity
Human
Applications
Immunohistochemistry, Western Blot
Purity
Affinity Purified
Pricing
product-image-AAA314283_IHC11.jpg IHC (Immunohistochemisry) (Immunohistochemistry of PARK7/DJ1 in paraffin-embedded Human tonsil using PARK7/DJ1 Rabbit mAb at dilution 1/100)

DJ 1, Monoclonal Antibody (Cat# AAA314283)

Full Name
DJ 1 Rabbit mAb
Gene Names
PARK7; DJ1; DJ-1
Reactivity
Human, Mouse, Rat
Applications
Immunofluorescence, Immunocytochemistry, Immunohistochemistry, Western Blot
Purity
Affinity Purified
Pricing
product-image-AAA314292_IHC11.jpg IHC (Immunohistochemisry) (Immunohistochemistry of CD8 in paraffin-embedded Human tonsil using CD8 Rabbit mAb at dilution 1/1)

CD8 alpha, Monoclonal Antibody (Cat# AAA314292)

Full Name
CD8 alpha Rabbit mAb
Gene Names
CD8A; CD8; MAL; p32; Leu2
Reactivity
Human, Mouse
Applications
Immunohistochemistry, Western Blot
Purity
Affinity Purified
Pricing
product-image-AAA314325_IHC13.jpg IHC (Immunohiostchemistry) (Immunohistochemistry of Caveolin-1 in paraffin-embedded Human breast cancer tissue using Caveolin-1 Rabbit mAb at dilution 1/20)

Caveolin 1, Monoclonal Antibody (Cat# AAA314325)

Full Name
Caveolin 1 Rabbit mAb
Gene Names
CAV1; CGL3; BSCL3; VIP21; MSTP085
Reactivity
Human
Applications
Immunohistochemistry, Western Blot
Purity
Affinity Purified
Pricing
product-image-AAA213539_WB8.jpg WB (Western Blot) (Detection of human CD86 by western blot. Samples: Whole cell lysate (10 ug) from HEK293T, HDLM-2, Jurkat, MJ, and HeLa cells prepared using NETN lysis buffer. Antibody: Rabbit anti-CD86 recombinant monoclonal antibody (AAA213539 lot 4) used at 1:1000. Secondary: HRP-conjugated goat anti-rabbit IgG . Detection: Chemiluminescence with an exposure time of 10 seconds.)

CD86, Monoclonal Recombinant Antibody (Cat# AAA213539)

Full Name
Rabbit anti-CD86 Recombinant Monoclonal Antibody [BLR030F]
Reactivity
Human
Applications
Flow Cytometry, Immunocytochemistry, Immunohistochemistry, Immunoprecipitation, Western Blot
Purity
Purified
Pricing
product-image-AAA213685_WB13.jpg WB (Western Blot) (Detection of mouse PVRL1/NECTIN1 by western blot. Samples: Whole cell lysate (50 ug) from ND7/23, C6, RAW 264.7, J774A1, and AML12 cells prepared using NETN lysis buffer. Antibody: Rabbit anti-PVRL1/NECTIN1 recombinant monoclonal antibody (AAA213685 lot 1) used at 1:1000. Secondary: HRP-conjugated goat anti-rabbit IgG . Detection: Chemiluminescence with an exposure time of 75 seconds. Lower Panel: Rabbit anti-Actin recombinant monoclonal antibody .)

PVRL1/NECTIN1, Monoclonal Recombinant Antibody (Cat# AAA213685)

Full Name
Rabbit anti-PVRL1/NECTIN1 Recombinant Monoclonal Antibody [BLR284L]
Gene Names
PVRL1; ED4; PRR; HIgR; HVEC; OFC7; PRR1; PVRR; CD111; PVRR1; SK-12; CLPED1; nectin-1
Reactivity
Human, Mouse
Applications
Western Blot
Purity
Purified
Pricing
product-image-AAA214369_AD13.jpg Application Data

TOP2A, Monoclonal Antibody (Cat# AAA214369)

Full Name
SensiStain Anti-TOP2A Antibody
Reactivity
Human
Applications
Immunohistochemistry
Purity
Purified
Pricing
product-image-AAA215935_IHC15.jpg IHC (Immunohistochemistry) (Formalin-fixed, paraffin-embedded human spleen stained with SPARC/Osteonectin Mouse Monoclonal Antibody (OSTN/3932).)

SPARC/Osteonectin, Monoclonal Antibody (Cat# AAA215935)

Full Name
SPARC/Osteonectin Mouse Monoclonal Antibody [Clone OSTN/3932]
Gene Names
SPARC; ON
Reactivity
Human
Applications
Immunohistochemistry, Western Blot
Pricing
product-image-AAA216058_IHC15.jpg IHC (Immunohistochemistry) (Formalin-fixed, paraffin-embedded human tonsil stained with CD27 Mouse Monoclonal Antibody (LPFS2/4178).)

CD27, Monoclonal Antibody (Cat# AAA216058)

Full Name
CD27 (Tumor Necrosis Factor Receptor Superfamily 7) Mouse Monoclonal Antibody [Clone LPFS2/4178]
Gene Names
CD27; T14; S152; Tp55; TNFRSF7; S152. LPFS2
Reactivity
Human
Applications
Immunohistochemistry
Pricing
product-image-AAA215789_IHC15.jpg IHC (Immunohistochemistry) (Formalin-fixed, paraffin-embedded human brain stained with Myelin Basic Protein Mouse Monoclonal Antibody (MBP/4272).)

Myelin Basic Protein, Monoclonal Antibody (Cat# AAA215789)

Full Name
Myelin Basic Protein Mouse Monoclonal Antibody [Clone MBP/4272]
Reactivity
Human, Bovine and Rat
Reacts weakly with rabbit
Does not react with guinea pig.
Applications
Immunohistochemistry, Western Blot, Immunofluorescence
Pricing
product-image-AAA215300_WB8.jpg WB (Western Blot) (Western Blot Analysis of K562, U-87, A431 cell lysates using ATG5 Mouse Monoclonal Antibody (ATG5/2553).)

ATG5, Monoclonal Antibody (Cat# AAA215300)

Full Name
ATG5 (Autophagy Marker)
Gene Names
ATG5; ASP; APG5; APG5L; hAPG5; SCAR25; APG5-LIKE
Reactivity
Human
Applications
Immunohistochemistry, Western Blot
Purity
Purified Ab with BSA and Azide at 200ug/ml OR Purified Ab WITHOUT BSA and Azide at 1.0mg/ml
Pricing
product-image-AAA215541_IHC15.jpg IHC (Immunohistochemistry) (Formalin-fixed, paraffin-embedded human pancreas stained with Chromogranin A Mouse Monoclonal Antibody (CHGA/4219).)

Chromogranin A/CHGA, Monoclonal Antibody (Cat# AAA215541)

Full Name
Chromogranin A/CHGA (Neuroendocrine Marker) Mouse Monoclonal Antibody [Clone CHGA/4219]
Gene Names
CHGA; CGA
Reactivity
Human
Applications
Immunohistochemistry
Pricing
product-image-AAA215629_SDS_PAGE15.jpg SDS-PAGE (SDS-PAGE Analysis Purified Albumin Recombinant Rabbit Monoclonal Antibody (ALB/6413R). Confirmation of Purity and Integrity of Antibody.)

Albumin, Monoclonal Antibody (Cat# AAA215629)

Full Name
Albumin (Transport Protein) Recombinant Rabbit Monoclonal Antibody [Clone ALB/6413R]
Gene Names
ALB; PRO0883; PRO0903; PRO1341
Reactivity
Human
Applications
Immunohistochemistry, Western Blot, Immunofluorescence
Pricing
product-image-AAA215667_IHC15.jpg IHC (Immunohistochemistry) (Formalin-fixed, paraffin-embedded human testis stained with SF-1 Mouse Monoclonal Antibody (NR5A1/3420) at 2ug/ml. Inset: PBS instead of primary antibody; secondary only negative control.)

Steroidogenic Factor 1 (SF-1), Monoclonal Antibody (Cat# AAA215667)

Full Name
Steroidogenic Factor 1 (SF-1) (Transcription Factor) Mouse Monoclonal Antibody [Clone NR5A1/3420]
Gene Names
NR5A1; ELP; SF1; FTZ1; POF7; SF-1; AD4BP; FTZF1; SPGF8; SRXY3
Reactivity
Human
Applications
Immunohistochemistry
Pricing
product-image-AAA214767_SDS_PAGE11.jpg SDS-PAGE (SDS-PAGE Analysis Purified IL-10 Recombinant Rabbit Monoclonal Antibody (IL10/2651R). Confirmation of Purity and Integrity of Antibody.)

Interleukin 10 (IL10), Monoclonal Antibody (Cat# AAA214767)

Full Name
Interleukin 10 (IL10) (Immunoregulation Marker)
Gene Names
IL10; CSIF; TGIF; GVHDS; IL-10; IL10A
Reactivity
Human
Applications
Immunohistochemistry
Pricing
product-image-AAA214802_AD13.jpg Application Data (Analysis of Protein Array containing more than 19,000 full-length human proteins using PMEPA1 Mouse Monoclonal Antibody (PMEPA1/2697).Z- and S- Score: The Z-score represents the strength of a signal that a monoclonal antibody (MAb) (in combination with a fluorescently-tagged anti-IgG secondary antibody) produces when binding to a particular protein on the HuProtTM array. Z-scores are described in units of standard deviations (SD's) above the mean value of all signals generated on that array. If targets on HuProtTM are arranged in descending order of the Z-score, the S-score is the difference (also in units of SD's) between the Z-score. S-score therefore represents the relative target specificity of a MAb to its intended target. A MAb is considered to specific to its intended target, if the MAb has an S-score of at least 2.5. For example, if a MAb binds to protein X with a Z-score of 43 and to protein Y with a Z-score of 14, then the S-score for the binding of that MAb to protein X is equal to 29.)

PMEPA1/TMEPAI, Monoclonal Antibody (Cat# AAA214802)

Full Name
PMEPA1/TMEPAI (Tumor Suppressor Oncoprotein)
Gene Names
PMEPA1; STAG1; TMEPAI
Reactivity
Human. Others not known.
Applications
Immunohistochemistry
Purity
Purified Ab with BSA and Azide at 200ug/ml OR Purified Ab WITHOUT BSA and Azide at 1.0mg/ml
Pricing
product-image-AAA315194_IF13.jpg IF (Immunofluorescence) (Immunofluorescent analysis of Hela cells, using p53 Antibody .)

p53, Monoclonal Recombinant Antibody (Cat# AAA315194)

Full Name
p53 Rabbit mAb
Gene Names
TP53; P53; BCC7; LFS1; TRP53
Reactivity
Human
Applications
Immunofluorescence, Immunocytochemistry, Western Blot
Purity
Affinity-chromatography
Pricing
product-image-AAA315196_IF13.jpg IF (Immunofluorescence) (Immunofluorescent analysis of BxPC-3 cells, using Insulin Antibody .)

Insulin, Monoclonal Recombinant Antibody (Cat# AAA315196)

Full Name
Insulin Rabbit mAb
Gene Names
INS; ILPR; IRDN; IDDM2; MODY10
Reactivity
Human, Mouse, Rat
Applications
Immunofluorescence, Immunocytochemistry, Immunohistochemistry
Purity
Affinity-chromatography
Pricing
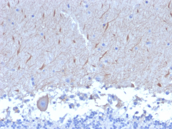
product-image-AAA315199_IHC13.jpg IHC (Immunohiostchemistry) (Immunohistochemical analysis of paraffin-embedded mouse brain, using Fos B Antibody.)

Fos B, Monoclonal Recombinant Antibody (Cat# AAA315199)

Full Name
Fos B Rabbit mAb
Gene Names
FOSB; AP-1; G0S3; GOS3; GOSB
Reactivity
Human, Mouse, Rat
Applications
Immunoprecipitation, Immunofluorescence, Immunocytochemistry, Immunohistochemistry, Western Blot
Purity
Affinity-chromatography
Pricing
product-image-AAA315204_IF13.jpg IF (Immunofluorescence) (Immunofluorescent analysis of Hela cells, using p38 MAPK Antibody.)

p38 MAPK, Monoclonal Recombinant Antibody (Cat# AAA315204)

Full Name
p38 MAPK Rabbit mAb
Gene Names
MAPK14; RK; p38; CSBP; EXIP; Mxi2; CSBP1; CSBP2; CSPB1; PRKM14; PRKM15; SAPK2A; p38ALPHA
Reactivity
Human, Mouse, Rat
Applications
Flow Cytometry, Immunoprecipitation, Immunofluorescence, Immunocytochemistry, Western Blot
Purity
Affinity-chromatography
Pricing
product-image-AAA315205_IHC13.jpg IHC (Immunohiostchemistry) (Immunohistochemical analysis of paraffin-embedded human colon, using MLKL Antibody.)

MLKL, Monoclonal Recombinant Antibody (Cat# AAA315205)

Full Name
MLKL Rabbit mAb
Reactivity
Human
Applications
Immunohistochemistry, Western Blot
Purity
Affinity-chromatography
Pricing
product-image-AAA315211_IF11.jpg IF (Immunofluorescence) (Immunofluorescent analysis of Hela cells, using IRF1 Antibody .)

IRF1, Monoclonal Recombinant Antibody (Cat# AAA315211)

Full Name
IRF1 Rabbit mAb
Gene Names
IRF1; MAR; IRF-1
Reactivity
Human, Mouse, Rat
Applications
Flow Cytometry, Immunoprecipitation, Immunofluorescence, Immunocytochemistry, Immunohistochemistry, Western Blot
Purity
Affinity-chromatography
Pricing
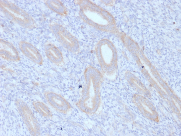
product-image-AAA315212_IHC13.jpg IHC (Immunohiostchemistry) (Immunohistochemical analysis of paraffin-embedded human uterus, using Integrin alpha 6 Antibody.)

Integrin alpha 6, Monoclonal Recombinant Antibody (Cat# AAA315212)

Full Name
Integrin alpha 6 Rabbit mAb
Gene Names
ITGA6; CD49f; VLA-6; ITGA6B
Reactivity
Human, Mouse, Rat
Applications
Immunohistochemistry, Western Blot
Purity
Affinity-chromatography
Pricing
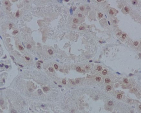
product-image-AAA315217_IHC13.jpg IHC (Immunohiostchemistry) (Immunohistochemical analysis of paraffin-embedded human kidney, using Prohibitin Antibody.)

Prohibitin, Monoclonal Recombinant Antibody (Cat# AAA315217)

Full Name
Prohibitin Rabbit mAb
Gene Names
PHB; PHB1
Reactivity
Human, Mouse, Rat
Applications
Flow Cytometry, Immunoprecipitation, Immunofluorescence, Immunocytochemistry, Immunohistochemistry, Western Blot
Purity
Affinity-chromatography
Pricing
product-image-AAA315220_IHC13.jpg IHC (Immunohiostchemistry) (Immunohistochemical analysis of paraffin-embedded human colon cancer, using RPS3 Antibody.)

RPS3, Monoclonal Recombinant Antibody (Cat# AAA315220)

Full Name
RPS3 Rabbit mAb
Gene Names
RPS3; S3
Reactivity
Human, Mouse, Rat
Applications
Immunofluorescence, Immunocytochemistry, Immunohistochemistry, Western Blot
Purity
Affinity-chromatography
Pricing
product-image-AAA315221_IHC13.jpg IHC (Immunohiostchemistry) (Immunohistochemical analysis of paraffin-embedded human kidney, using Histone H2A.Z Antibody.)

Histone H2A.Z, Monoclonal Recombinant Antibody (Cat# AAA315221)

Full Name
Histone H2A.Z Rabbit mAb
Gene Names
H2AFZ; H2AZ; H2A.z; H2A/z; H2A.Z-1
Reactivity
Human, Mouse, Rat
Applications
Immunofluorescence, Immunocytochemistry, Immunohistochemistry, Western Blot
Purity
Affinity-chromatography
Pricing
product-image-AAA315230_IF11.jpg IF (Immunofluorescence) (Immunofluorescent analysis of Jurkat cells, using CD8 Antibody .)

CD8, Monoclonal Recombinant Antibody (Cat# AAA315230)

Full Name
CD8 Rabbit mAb
Gene Names
CD8A; CD8; MAL; p32; Leu2
Reactivity
Human
Applications
Immunofluorescence, Immunocytochemistry, Immunohistochemistry, Western Blot
Purity
Affinity-chromatography
Pricing
product-image-AAA315232_IHC13.jpg IHC (Immunohiostchemistry) (Immunohistochemical analysis of paraffin-embedded mouse kidney, using Lysozyme Antibody .)

Lysozyme, Monoclonal Recombinant Antibody (Cat# AAA315232)

Full Name
Lysozyme Rabbit mAb
Gene Names
LYZ; LZM
Reactivity
Human, Mouse
Applications
Immunoprecipitation, Immunofluorescence, Immunocytochemistry, Immunohistochemistry, Western Blot
Purity
Affinity-chromatography
Pricing

What are Monoclonal Antibodies?


Monoclonal antibodies are specialized laboratory-produced proteins developed for binding to specific biological antigens or other molecular targets. Since they come from a single cell (or clone), they are especially consistent and accurate in the data they are involved in producing.


This type of antibody material has been shown to be a powerful tool in finding and subsequently destroying harmful cells in an organism, such as those found in cancers or various autoimmune diseases. This makes them excellent aids in medical testing and research, which is why they are so widely used.


AAA Biotech offers a comprehensive range of high-quality monoclonal antibodies that perform effectively in various laboratory tests, including (amongst others) ELISA, western blotting, immunohistochemistry, and flow cytometry. All of the products in our catalog are thoroughly quality tested to make sure that they are reliable and will consistently perform well in your research.


What Are The Uses of Monoclonal Antibodies


Monoclonal antibodies are used in many lab tests, including (amongst others) ELISA, western blotting, immunohistochemistry, and flow cytometry.


ELISA is a test that helps detect a specific substance/analyte in a sample. It uses antibodies (often monoclonal) bound to a solid surface (such as the well of a microplate) to “capture” the substance/analyte in the sample and immobilize it so that the detection antibody component can then bind to it and produce a signal, which can then be measured.


Western blotting identifies specific proteins in a sample. The sample is first separated on a gel, and then antibodies are applied that will typically bind to the target, which will all be localized to a single band in a lane.


Immunohistochemistry helps locate specific proteins in cells or tissue samples using antibodies.


Flow cytometry looks at and sorts cells. It uses antibodies that are conjugated to reporter molecules called “fluorophores”, which, under special lights, emit light themselves, which can then be measured by a detector instrument.


How Monoclonal Antibodies Are Used as Medicine?


Please note that all of the products listed in AAA Biotech’s also known as AAA Bio or AAABio catalog are strictly for research-use only (RUO).


Monoclonal antibodies can also be used as therapeutic/medical treatments, particularly in the context of cancers. They are designed to find and bind to specific cells or proteins, helping the immune system recognize and attack the cancer. These treatments work in different ways, such as:


  • Radioimmunotherapy attaches a small amount of radioactive molecule to the antibody, so it delivers the radiation directly to the cancer cells that the antibody is specifically binding to.

  • Antibody-directed enzyme prodrug therapy uses antibodies that are specifically bound to special enzymes. These enzymes activate a harmless drug in the body and turn it into a cancer-killing drug only near the cancer cells—this helps avoid harming healthy cells.

  • Immunoliposomes are tiny “bubbles” filled with medicine/drug and coated with antibodies. They carry the drug straight to the cancer cells.


Why Buy Monoclonal Antibodies From Us?


At AAA Biotech, we provide high-performance monoclonal antibodies designed to support a wide range of research needs.


1. Validated for Versatile Applications


The antibodies in our catalog are extensively validated and compatible with multiple techniques, including (but not limited to) ELISA, flow cytometry (FC), immunocytochemistry (ICC), immunofluorescence (IF), immunohistochemistry (IHC), immunoprecipitation (IP), and western blotting (WB).


2. Wide Selection & Specialized Options


We offer antibodies for common and rare species, that are available in various conjugated forms, and also in recombinant formats. Essentially, there is almost anything one might need to meet their experimental model’s requirements.


3. High-Quality Proteins


Our proteins meet high purity standards—90% or more as confirmed by SDS-PAGE. Many are available with tags like His, Flag, GST, or MBP, and we also supply native and biologically active proteins for functional studies.


Frequently Asked Questions


1. Are your monoclonal antibodies validated for specific applications?


Yes, our antibodies are tested and validated for use in methods such as ELISA, western blot, IHC, flow cytometry, and more. Refer to specific product pages or datasheets for individual product information.


2. How do I choose the right monoclonal antibody for my application?


Review the product details directly for application validation, species reactivity, and target information. You may also contact our support team at any time for help.


3. How quickly can I receive my order?


Most orders are processed and shipped within 1–3 business days, depending on product availability and your shipping location.


Submit a Question

Please complete the form below and a representative will contact you as soon as possible.

Request more Information

Please complete the form below and a representative will contact you as soon as possible.

Request a Manual

Please complete the form below and a representative will contact you as soon as possible.

Request a Quote

Please complete the form below and a representative will contact you as soon as possible.