Mouse anti-Human, Mouse ACC1 Monoclonal Antibody | anti-ACC1 antibody
ACC1 antibody
Gene Names
ACACA; ACC; ACAC; ACC1; ACCA; ACACAD
Reactivity
Human, Mouse
Applications
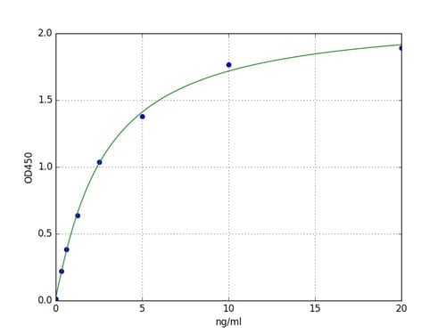
Immunohistochemistry, Western Blot, ELISA
Purity
Protein A+G purification>=95% as determined by SDS-PAGE
Synonyms
ACC1, Antibody; ACC1 antibody; ACC1; Acetyl-CoA carboxylase 1 (ACC1); Acetyl-Coenzyme A carboxylase alpha (ACC-alpha); ACACA; ACAC; ACCA; anti-ACC1 antibody
Host
Mouse
Reactivity
Human, Mouse
Clonality
Monoclonal
Isotype
IgG2a
Clone Number
9D2
Purity/Purification
Protein A+G purification
>=95% as determined by SDS-PAGE
>=95% as determined by SDS-PAGE
Form/Format
Liquid
PBS with 0.02% sodium azide and 50% glycerol pH7.3
PBS with 0.02% sodium azide and 50% glycerol pH7.3
Applicable Applications for anti-ACC1 antibody
IHC (Immunohistochemistry), WB (Western Blot), ELISA
Immunogen
acetyl-Coenzyme A carboxylase alpha
Preparation and Storage
Store at -20 degree C for 12 months (Avoid repeated freeze/thaw cycles.)
Related Product Information for anti-ACC1 antibody
ACACA(Acetyl-CoA carboxylase 1, ACC), also named as ACAC, ACC1 and ACCA, belongs to the biotin containing enzyme family. It catalyzes the synthesis of malonyl-CoA, which is an intermediate substrate playing a pivotal role in the regulation of fatty acid metabolism and energy production. ACACA is involved in the biosynthesis of fatty acids, and malonyl-CoA produced is used as a building block to extend the chain length of fatty acids by fatty acid synthase(FAS)(PMID:19900410). It has 4 isoforms produced by alternative promoter usage with the molecular weight between 260 kDa and 270 kDa.
Product Categories/Family for anti-ACC1 antibody
NCBI and Uniprot Product Information
NCBI GI #
NCBI GeneID
NCBI Accession #
NCBI GenBank Nucleotide #
Molecular Weight
265,554 Da
NCBI Official Full Name
acetyl-CoA carboxylase 1 isoform 1
NCBI Official Synonym Full Names
acetyl-CoA carboxylase alpha
NCBI Official Symbol
ACACA
NCBI Official Synonym Symbols
ACC; ACAC; ACC1; ACCA; ACACAD
NCBI Protein Information
acetyl-CoA carboxylase 1; ACC-alpha; acetyl-Coenzyme A carboxylase alpha
UniProt Protein Name
Acetyl-CoA carboxylase 1
UniProt Gene Name
ACACA
UniProt Synonym Gene Names
ACAC; ACC1; ACCA; ACC1
UniProt Entry Name
ACACA_HUMAN
Customer Reviews
Loading reviews...
Share Your Experience
Similar Products
Product Notes
The ACC1 acaca (Catalog #AAA253815) is an Antibody produced from Mouse and is intended for research purposes only. The product is available for immediate purchase. The ACC1 antibody reacts with Human, Mouse and may cross-react with other species as described in the data sheet. AAA Biotech's ACC1 can be used in a range of immunoassay formats including, but not limited to, IHC (Immunohistochemistry), WB (Western Blot), ELISA. Researchers should empirically determine the suitability of the ACC1 acaca for an application not listed in the data sheet. Researchers commonly develop new applications and it is an integral, important part of the investigative research process. It is sometimes possible for the material contained within the vial of "ACC1, Monoclonal Antibody" to become dispersed throughout the inside of the vial, particularly around the seal of said vial, during shipment and storage. We always suggest centrifuging these vials to consolidate all of the liquid away from the lid and to the bottom of the vial prior to opening. Please be advised that certain products may require dry ice for shipping and that, if this is the case, an additional dry ice fee may also be required.Precautions
All products in the AAA Biotech catalog are strictly for research-use only, and are absolutely not suitable for use in any sort of medical, therapeutic, prophylactic, in-vivo, or diagnostic capacity. By purchasing a product from AAA Biotech, you are explicitly certifying that said products will be properly tested and used in line with industry standard. AAA Biotech and its authorized distribution partners reserve the right to refuse to fulfill any order if we have any indication that a purchaser may be intending to use a product outside of our accepted criteria.Disclaimer
Though we do strive to guarantee the information represented in this datasheet, AAA Biotech cannot be held responsible for any oversights or imprecisions. AAA Biotech reserves the right to adjust any aspect of this datasheet at any time and without notice. It is the responsibility of the customer to inform AAA Biotech of any product performance issues observed or experienced within 30 days of receipt of said product. To see additional details on this or any of our other policies, please see our Terms & Conditions page.Item has been added to Shopping Cart
If you are ready to order, navigate to Shopping Cart and get ready to checkout.
