Mouse BRG-1/SMARCA4 Monoclonal Antibody | anti-BRG-1/SMARCA4 antibody
BRG-1/SMARCA4 (BSB-154)
Reactivity
Human, Mouse, Rat
Synonyms
BRG-1/SMARCA4, Antibody; BRG-1/SMARCA4 (BSB-154); brg-1; brg1; anti-brg-1; anti-brg1; smarca-4; anti-smarca-4; smarca4; anti-smarca4; brg-1 /smarca4; brg-1/smarca4; /smarca4; anti Brg-1; anti-Brg 1; anti Brg 1; anti Brg1; anti-SMARCA4; anti SMARCA4; ATP dependent helicase SMARCA4; BAF190; brahma protein like 1; BRM SWI2 related gene 1; global transcription activator homologous sequence; homeotic gene regulator; hSNF2b; mitotic growth and transcription activator; nuclear protein GRB1; SNF2; SNF2 beta; SNF2 like 4; SNF2L4; SNF2LB; sucrose nonfermenting like 4; SWI2; BAF190A; BRG1 associated factor 190A; Protein brahma homolog 1; protein BRG 1; transcription activator BRG1; RTPS2; anti-BRG-1/SMARCA4 antibody
Host
Mouse
Reactivity
Human, Mouse, Rat
Clonality
Monoclonal
Isotype
IgG1
Clone Number
BSB-154
Form/Format
Paraffin, Frozen
BRG-1/SMARCA4 is a mouse monoclonal antibody derived from cell culture supernatant that is concentrated, dialyzed, filter sterilized and diluted in buffer pH7.5, containing BSA and sodium azide as a preservative.
BRG-1/SMARCA4 is a mouse monoclonal antibody derived from cell culture supernatant that is concentrated, dialyzed, filter sterilized and diluted in buffer pH7.5, containing BSA and sodium azide as a preservative.
Immunogen
Synthetic peptide corresponding to the N-terminus of the human Brg-1 protein.
Control
Colon, Kidney, Prostate, Testis, Transitional Cell Carcinoma, T Cell Lymphoblastic Lymphoma
Localization
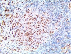
Nuclear
Preparation and Storage
Store at 2-8 degree C (Control Slides: Store at 20-25 degree C)
Related Product Information for anti-BRG-1/SMARCA4 antibody
Brahma-related gene-1 (BRG-1) protein is encoded by the gene SMARCA-4, which is localized on chromosome 19. BRG-1 is the core catalytic ATPase subunit of the SWItch/sucrose non-fermentable (SWI/SNF) complex. SWI/SNFs are a member of the family of ATP-dependent chromatin-remodeling complexes and the function of SWI/SNFs is to facilitate the transcriptional activation or repression of target genes. BRG-1 is essential for DNA repair, differentiation, and organ development. The molecular weight of the BRG-1 subunit is approximately 185 kDa.
There are several studies that suggest the involvement of BRG-1 in different cancer types. It was found that the loss of BRG-1 antibody expression occurs in a portion of tested cancers types, including Breast, Colon, Head/Neck, Ovarian, Liver and Renal Cell Cancer. On the contrary, overexpression of BRG-1 was found in Breast, Colorectal, and Prostate Cancer, as well as Melanoma and Neuroblastoma. An IHC analysis of BRG-1 in Non-Small Cell Lung Cancer (NSCLC) patients revealed that the survival rate of BRG-1 negative patients was 0%, when compared to BRG-1 positive patients, indicating the prognostic value of BRG-1 as a biomarker. Other IHC studies found that the loss of BRG-1 protein expression highly correlates with Small Cell Carcinoma of the Ovary, Hypercalcemic Type (SCCOHT), suggesting BRG-1 as a test marker for SCCOHT.
There are several studies that suggest the involvement of BRG-1 in different cancer types. It was found that the loss of BRG-1 antibody expression occurs in a portion of tested cancers types, including Breast, Colon, Head/Neck, Ovarian, Liver and Renal Cell Cancer. On the contrary, overexpression of BRG-1 was found in Breast, Colorectal, and Prostate Cancer, as well as Melanoma and Neuroblastoma. An IHC analysis of BRG-1 in Non-Small Cell Lung Cancer (NSCLC) patients revealed that the survival rate of BRG-1 negative patients was 0%, when compared to BRG-1 positive patients, indicating the prognostic value of BRG-1 as a biomarker. Other IHC studies found that the loss of BRG-1 protein expression highly correlates with Small Cell Carcinoma of the Ovary, Hypercalcemic Type (SCCOHT), suggesting BRG-1 as a test marker for SCCOHT.
Customer Reviews
Loading reviews...
Share Your Experience
Similar Products
Product Notes
The BRG-1/SMARCA4 (Catalog #AAA59358) is an Antibody produced from Mouse and is intended for research purposes only. The product is available for immediate purchase. The BRG-1/SMARCA4 (BSB-154) reacts with Human, Mouse, Rat and may cross-react with other species as described in the data sheet. It is sometimes possible for the material contained within the vial of "BRG-1/SMARCA4, Monoclonal Antibody" to become dispersed throughout the inside of the vial, particularly around the seal of said vial, during shipment and storage. We always suggest centrifuging these vials to consolidate all of the liquid away from the lid and to the bottom of the vial prior to opening. Please be advised that certain products may require dry ice for shipping and that, if this is the case, an additional dry ice fee may also be required.Precautions
All products in the AAA Biotech catalog are strictly for research-use only, and are absolutely not suitable for use in any sort of medical, therapeutic, prophylactic, in-vivo, or diagnostic capacity. By purchasing a product from AAA Biotech, you are explicitly certifying that said products will be properly tested and used in line with industry standard. AAA Biotech and its authorized distribution partners reserve the right to refuse to fulfill any order if we have any indication that a purchaser may be intending to use a product outside of our accepted criteria.Disclaimer
Though we do strive to guarantee the information represented in this datasheet, AAA Biotech cannot be held responsible for any oversights or imprecisions. AAA Biotech reserves the right to adjust any aspect of this datasheet at any time and without notice. It is the responsibility of the customer to inform AAA Biotech of any product performance issues observed or experienced within 30 days of receipt of said product. To see additional details on this or any of our other policies, please see our Terms & Conditions page.Item has been added to Shopping Cart
If you are ready to order, navigate to Shopping Cart and get ready to checkout.
