Host
Mouse
Reactivity
Human
Clonality
Monoclonal
Isotype
IgG1
Clone Number
10D6
Form/Format
CD163 is a mouse monoclonal antibody derived from cell culture supernatant that is concentrated, dialyzed, filter sterilized and diluted in buffer pH 7.5, containing BSA and sodium azide as a preservative.
Control
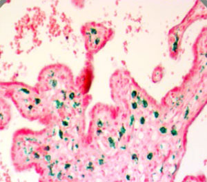
Placenta, Tonsil, Lymph Node, Inflamed Tissue, H. Pylori
Localization
Cytoplasmic, Membranous
Immunogen
Recombinant protein encoding of domains 1-4 of the N-terminal region of human CD163.
Reactivity Note
Paraffin, Frozen
Precautions
1. This product contains <0.1% sodium azide (NaN3) as a preservative. Ensure proper handling procedures are used with this reagent.
2. Always wear personal protective equipment such as laboratory coat, goggles and gloves when handling reagents.
3. Dispose of unused solution with copious amount of water.
4. Do not ingest reagent. If reagent is ingested, seek medical advice immediately.
5. Avoid contact with eyes. If contact occurs, flush with large quantities of water.
6. Follow safety precautions of the heating device used for epitope retrieval (TintoRetriever Pressure Cooker or similar).
7. For additional safety information refer to Safety Data Sheet for this product.
8. For complete recommendations for handling biological specimens, please refer to the CDC document, “Guidelines for Safe Work Practices in Human and AMDL”.
2. Always wear personal protective equipment such as laboratory coat, goggles and gloves when handling reagents.
3. Dispose of unused solution with copious amount of water.
4. Do not ingest reagent. If reagent is ingested, seek medical advice immediately.
5. Avoid contact with eyes. If contact occurs, flush with large quantities of water.
6. Follow safety precautions of the heating device used for epitope retrieval (TintoRetriever Pressure Cooker or similar).
7. For additional safety information refer to Safety Data Sheet for this product.
8. For complete recommendations for handling biological specimens, please refer to the CDC document, “Guidelines for Safe Work Practices in Human and AMDL”.
Specimen Preparation
Paraffin sections: The antibody can be used on formalin-fixed paraffin-embedded (FFPE) tissue sections. Ensure tissue undergoes appropriate fixation for best results. Pre-treatment of tissues with heat-induced epitope retrieval (HIER) is recommended using ImmunoDNA Retriever with Citrate, ImmunoDNA Retriever with EDTA or ImmunoDNA Digestor. See reverse side for complete protocol. Tissue should remain hydrated via use of Immuno/DNA Washer solutions.
Frozen sections and cell preparations: The antibody can be used for labeling acetone-fixed frozen sections and acetone-fixed cell preparations.
Frozen sections and cell preparations: The antibody can be used for labeling acetone-fixed frozen sections and acetone-fixed cell preparations.
Staining Procedure
1. Cut and mount 3-5 micron formalin-fixed paraffin-embedded tissues on positively charged slides such as Hydrophilic Plus Slides.
2. Air dry for 2 hours at 58° C.
3. Deparaffinize, dehydrate and rehydrate tissues.
4. Subject tissues to heat induced epitope retrieval (HIER) using a suitable retrieval solution such as ImmunoDNA Retriever with Citrate or EDTA.
5. Any of three heating methods may be used:
a. TintoRetriever Pressure Cooker or Equivalent
Place tissues/slides in a staining dish or coplin jar containing the ImmunoDNA Retriever with Citrate or EDTA, and place on trivet in the pressure cooker. Add 1-2 inches of distilled water to the pressure cooker and turn heat to high. Incubate for 15 minutes. Open and immediately transfer slides to room temperature.
b. TintoRetriever PT Module or Water Bath Method
Place tissues/slides in a pre-warmed staining dish or coplin jar containing the ImmunoDNA Retriever with Citrate or EDTA at 95°-99° C. Incubate for 30-60 minutes.c. Conventional Steamer Method
Place tissues/slides in a pre-warmed staining dish or coplin jar containing the ImmunoDNA Retriever with Citrate or EDTA in a steamer, cover and steam for 30-60 minutes.
6. After heat treatment, transfer slides in ImmunoDNA Retriever with Citrate or EDTA to room temperature and let stand for 15-20 minutes.
7. For manual staining, perform antibody incubation at ambient temperature. For automated staining methods, perform antibody incubation according to instrument manufacturer’s instructions.
8. Wash slides with ImmunoDNA washer or DI water.
9. Continue IHC staining protocol. Wash slides between each step with ImmunoDNA washer solution.
2. Air dry for 2 hours at 58° C.
3. Deparaffinize, dehydrate and rehydrate tissues.
4. Subject tissues to heat induced epitope retrieval (HIER) using a suitable retrieval solution such as ImmunoDNA Retriever with Citrate or EDTA.
5. Any of three heating methods may be used:
a. TintoRetriever Pressure Cooker or Equivalent
Place tissues/slides in a staining dish or coplin jar containing the ImmunoDNA Retriever with Citrate or EDTA, and place on trivet in the pressure cooker. Add 1-2 inches of distilled water to the pressure cooker and turn heat to high. Incubate for 15 minutes. Open and immediately transfer slides to room temperature.
b. TintoRetriever PT Module or Water Bath Method
Place tissues/slides in a pre-warmed staining dish or coplin jar containing the ImmunoDNA Retriever with Citrate or EDTA at 95°-99° C. Incubate for 30-60 minutes.c. Conventional Steamer Method
Place tissues/slides in a pre-warmed staining dish or coplin jar containing the ImmunoDNA Retriever with Citrate or EDTA in a steamer, cover and steam for 30-60 minutes.
6. After heat treatment, transfer slides in ImmunoDNA Retriever with Citrate or EDTA to room temperature and let stand for 15-20 minutes.
7. For manual staining, perform antibody incubation at ambient temperature. For automated staining methods, perform antibody incubation according to instrument manufacturer’s instructions.
8. Wash slides with ImmunoDNA washer or DI water.
9. Continue IHC staining protocol. Wash slides between each step with ImmunoDNA washer solution.
Mounting Protocols
For detailed instructions using biodegradable permanent mounting media such as XyGreen PermaMounter or organic solvent based resin such as PermaMounter.
Product Limitations
Due to inherent variability present in immunohistochemical procedures (including fixation time of tissues, dilution factor of antibody, retrieval method utilized and incubation time), optimal performance should be established through the use of positive and negative controls. Results should be interpreted by a qualified medical professional.
Preparation and Storage
Store at 2 to 8 degree C in the dark. (Control Slides: Store at 20-25 degree C. )
Related Product Information for anti-CD163 antibody
CD163 is a protein that in humans is encoded by the CD163 gene. CD163 is the high affinity scavenger receptor for the hemoglobin-haptoglobin complex and in the absence of haptoglobin - with lower affinity - for hemoglobin alone. CD163 is expressed exclusively on the cell surface of human monocytes and macrophages that evolve predominantly in the late phase of inflammation, and is, therefore, very useful for macrophage-phenotyping. A soluble form of the receptor exists in plasma, commonly named sCD163, which is upregulated in a large range of inflammatory diseases including liver cirrhosis, type 2 diabetes, atherosclerosis, macrophage activation syndrome, Gaucher’s disease, sepsis, HIV infection, rheumatoid arthritis and Hodgkin Lymphoma.
CD163 positivity by IHC can be seen in histiocytes, gut, Kupffer cells, a few alveolar macrophages, the main population of macrophages in the placenta, and in varying degrees in macrophages in inflamed tissue including tumor tissue, depending on the inflammatory stage. Red-pulp, not white-pulp, macrophages in the spleen and cortical macrophages of the thymus are also positive for this marker. CD163 has been found to be helpful in distinguishing synovial macrophages from synovial intimal fibroblasts in the setting of rheumatoid arthritis, with superior specificity for macrophages than CD68, which does not discriminate between these cell types. It also has been confirmed in previous reports of having a prognostic role of tumor-infiltrating macrophages in classical Hodgkin’s Lymphoma. Increased levels of CD163 have been detected in patients with microbial infections and myelomonocytic leukemias and studies have confirmed the fact that CD163 expression is limited to leukemias with monocytic differentiation. Another recent study showed that all 5 cases of synovial-type giant cell tumors of the spinal column were positive for CD163.
CD163 positivity by IHC can be seen in histiocytes, gut, Kupffer cells, a few alveolar macrophages, the main population of macrophages in the placenta, and in varying degrees in macrophages in inflamed tissue including tumor tissue, depending on the inflammatory stage. Red-pulp, not white-pulp, macrophages in the spleen and cortical macrophages of the thymus are also positive for this marker. CD163 has been found to be helpful in distinguishing synovial macrophages from synovial intimal fibroblasts in the setting of rheumatoid arthritis, with superior specificity for macrophages than CD68, which does not discriminate between these cell types. It also has been confirmed in previous reports of having a prognostic role of tumor-infiltrating macrophages in classical Hodgkin’s Lymphoma. Increased levels of CD163 have been detected in patients with microbial infections and myelomonocytic leukemias and studies have confirmed the fact that CD163 expression is limited to leukemias with monocytic differentiation. Another recent study showed that all 5 cases of synovial-type giant cell tumors of the spinal column were positive for CD163.
NCBI and Uniprot Product Information
Customer Reviews
Loading reviews...
Share Your Experience
Similar Products
Product Notes
The CD163 cd163 (Catalog #AAA59254) is an Antibody produced from Mouse and is intended for research purposes only. The product is available for immediate purchase. The CD163 reacts with Human and may cross-react with other species as described in the data sheet. It is sometimes possible for the material contained within the vial of "CD163, Monoclonal Antibody" to become dispersed throughout the inside of the vial, particularly around the seal of said vial, during shipment and storage. We always suggest centrifuging these vials to consolidate all of the liquid away from the lid and to the bottom of the vial prior to opening. Please be advised that certain products may require dry ice for shipping and that, if this is the case, an additional dry ice fee may also be required.Precautions
All products in the AAA Biotech catalog are strictly for research-use only, and are absolutely not suitable for use in any sort of medical, therapeutic, prophylactic, in-vivo, or diagnostic capacity. By purchasing a product from AAA Biotech, you are explicitly certifying that said products will be properly tested and used in line with industry standard. AAA Biotech and its authorized distribution partners reserve the right to refuse to fulfill any order if we have any indication that a purchaser may be intending to use a product outside of our accepted criteria.Disclaimer
Though we do strive to guarantee the information represented in this datasheet, AAA Biotech cannot be held responsible for any oversights or imprecisions. AAA Biotech reserves the right to adjust any aspect of this datasheet at any time and without notice. It is the responsibility of the customer to inform AAA Biotech of any product performance issues observed or experienced within 30 days of receipt of said product. To see additional details on this or any of our other policies, please see our Terms & Conditions page.Item has been added to Shopping Cart
If you are ready to order, navigate to Shopping Cart and get ready to checkout.
