Mouse CD2 Monoclonal Antibody | anti-CD2 antibody
CD2 Monoclonal Antibody
Gene Names
CD2; T11; SRBC; LFA-2
Reactivity
Human, Mouse, Rat
Applications
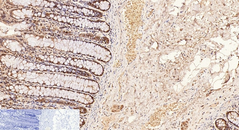
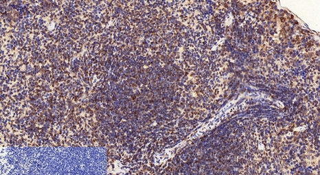
Immunohistochemistry
Purity
Protein A Purification
Synonyms
CD2, Antibody; CD2 Monoclonal Antibody; CD2; SRBC; T-cell surface antigen CD2; Erythrocyte receptor; LFA-2; LFA-3 receptor; Rosette receptor; T-cell surface antigen T11/Leu-5; anti-CD2 antibody
Host
Mouse
Reactivity
Human, Mouse, Rat
Clonality
Monoclonal
Isotype
IgG
Clone Number
4C3
Purity/Purification
Protein A Purification
Concentration
1mg/mL (varies by lot)
Sequence Length
377
Applicable Applications for anti-CD2 antibody
IHC (Immunohistochemistry)
Immunogen
Synthetic Peptide
Buffer
PBS with 0.02% sodium azide, 50% glycerol, pH7.4
Conjugation
Unconjugated
Preparation and Storage
Store at -20 degree C. Avoid freeze / thaw cycles.
Related Product Information for anti-CD2 antibody
The protein encoded by this gene is a surface antigen found on all peripheral blood T-cells. The encoded protein interacts with LFA3 (CD58) on antigen presenting cells to optimize immune recognition. A locus control region (LCR) has been found in the 3' flanking sequence of this gene.CD2 (CD2 Molecule) is a Protein Coding gene. Diseases associated with CD2 include Penis Squamous Cell Carcinoma and Immune Defect Due To Absence Of Thymus. Among its related pathways are PEDF Induced Signaling and TGF-Beta Pathway. GO annotations related to this gene include protein homodimerization activity and receptor activity.
NCBI and Uniprot Product Information
NCBI GI #
NCBI GeneID
NCBI Accession #
NCBI GenBank Nucleotide #
Molecular Weight
39,448 Da
NCBI Official Full Name
T-cell surface antigen CD2 isoform 1
NCBI Official Synonym Full Names
CD2 molecule
NCBI Official Symbol
CD2
NCBI Official Synonym Symbols
T11; SRBC; LFA-2
NCBI Protein Information
T-cell surface antigen CD2
UniProt Protein Name
T-cell surface antigen CD2
UniProt Gene Name
CD2
UniProt Synonym Gene Names
SRBC
Similar Products
Product Notes
The CD2 cd2 (Catalog #AAA173642) is an Antibody produced from Mouse and is intended for research purposes only. The product is available for immediate purchase. The CD2 Monoclonal Antibody reacts with Human, Mouse, Rat and may cross-react with other species as described in the data sheet. AAA Biotech's CD2 can be used in a range of immunoassay formats including, but not limited to, IHC (Immunohistochemistry). Researchers should empirically determine the suitability of the CD2 cd2 for an application not listed in the data sheet. Researchers commonly develop new applications and it is an integral, important part of the investigative research process. It is sometimes possible for the material contained within the vial of "CD2, Monoclonal Antibody" to become dispersed throughout the inside of the vial, particularly around the seal of said vial, during shipment and storage. We always suggest centrifuging these vials to consolidate all of the liquid away from the lid and to the bottom of the vial prior to opening. Please be advised that certain products may require dry ice for shipping and that, if this is the case, an additional dry ice fee may also be required.Precautions
All products in the AAA Biotech catalog are strictly for research-use only, and are absolutely not suitable for use in any sort of medical, therapeutic, prophylactic, in-vivo, or diagnostic capacity. By purchasing a product from AAA Biotech, you are explicitly certifying that said products will be properly tested and used in line with industry standard. AAA Biotech and its authorized distribution partners reserve the right to refuse to fulfill any order if we have any indication that a purchaser may be intending to use a product outside of our accepted criteria.Disclaimer
Though we do strive to guarantee the information represented in this datasheet, AAA Biotech cannot be held responsible for any oversights or imprecisions. AAA Biotech reserves the right to adjust any aspect of this datasheet at any time and without notice. It is the responsibility of the customer to inform AAA Biotech of any product performance issues observed or experienced within 30 days of receipt of said product. To see additional details on this or any of our other policies, please see our Terms & Conditions page.Item has been added to Shopping Cart
If you are ready to order, navigate to Shopping Cart and get ready to checkout.
