Rabbit CD45RB Monoclonal Antibody | anti-CD45RB antibody
CD45RB (B-Cell Marker)
Gene Names
PTPRC; LCA; LY5; B220; CD45; L-CA; T200; CD45R; GP180
Reactivity
Human. Others not known.
Applications
Immunohistochemistry, Western Blot, Immunofluorescence, Flow Cytometry, Functional Assay
Synonyms
CD45RB, Antibody; CD45RB (B-Cell Marker); B220; CD45R; GP180; Leukocyte common antigen (LCA); Loc; Ly-5; Lyt-4; Protein tyrosine phosphatase receptor type C (PTPRC); Receptor-type tyrosine-protein phosphatase C; T200 glycoprotein; anti-CD45RB antibody
Host
Rabbit
Reactivity
Human. Others not known.
Clonality
Monoclonal
Isotype
IgG
Clone Number
PTPRC/1783R
Specificity
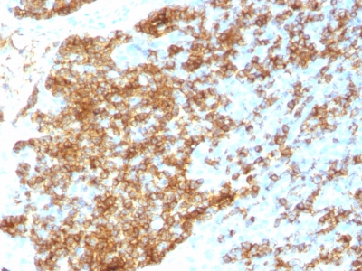
CD45R, also designated CD45 and PTPRC, has been identified as a transmembrane glycoprotein, broadly expressed among hematopoietic cells. Multiple isoforms of CD45R are distributed throughout the immune system according to cell type. These isoforms arise because of alternative splicing of exons 4, 5, and 6. The corresponding protein domains are characterized by the binding of monoclonal antibodies specific for CD45RA (exon 4), CD45RB (exon 5), CD45RC (exon 6) and CD45RO (exons 4 to 6 spliced out). The variation in these isoforms is localized to the extracellular domain of CD45R, while the intracellular domain is conserved. CD45RB is expressed on mature B-lymphocytes and the majority of lymphomas and leukemias of B-cell origin.
Form/Format
200ug/ml of Ab purified by Protein A. Prepared in 10mM PBS with 0.05% BSA & 0.05% azide. Also available WITHOUT BSA & azide at 1.0mg/ml.
Sequence Length
1306
Applicable Applications for anti-CD45RB antibody
IHC (Immunohistochemistry), WB (Western Blot), IF (Immunofluorescence), FCM/FACS (Flow Cytometry)
Immunogen
Human B-lymphocytes
Cellular Localization
Cell Surface and Cytoplasmic
Hu-chromosome Location
1q31.3
Positive Control
Ramos, U-698, or GA-10 cells. Tonsil
Preparation and Storage
Antibody with azide - store at 2 to 8 degree C.
Antibody without azide - store at -20 to -80 degree C.
Antibody is stable for 24 months. Non-hazardous. No MSDS required.
Antibody without azide - store at -20 to -80 degree C.
Antibody is stable for 24 months. Non-hazardous. No MSDS required.
References
Michie SA et. al. American Journal of Clinical Pathology, 1987, 88(4):457-62. Gatter KC et. al. Lancet, 1985 Jun 8, 1(8441):1302-5.
NCBI and Uniprot Product Information
NCBI GI #
NCBI GeneID
NCBI Accession #
NCBI GenBank Nucleotide #
Molecular Weight
180-220kDa
NCBI Official Full Name
receptor-type tyrosine-protein phosphatase C isoform 1
NCBI Official Synonym Full Names
protein tyrosine phosphatase, receptor type C
NCBI Official Symbol
PTPRC
NCBI Official Synonym Symbols
LCA; LY5; B220; CD45; L-CA; T200; CD45R; GP180
NCBI Protein Information
receptor-type tyrosine-protein phosphatase C
UniProt Protein Name
Receptor-type tyrosine-protein phosphatase C
UniProt Gene Name
PTPRC
UniProt Synonym Gene Names
L-CA
Customer Reviews
Loading reviews...
Share Your Experience
Similar Products
Product Notes
The CD45RB ptprc (Catalog #AAA214496) is an Antibody produced from Rabbit and is intended for research purposes only. The product is available for immediate purchase. The CD45RB (B-Cell Marker) reacts with Human. Others not known. and may cross-react with other species as described in the data sheet. AAA Biotech's CD45RB can be used in a range of immunoassay formats including, but not limited to, IHC (Immunohistochemistry), WB (Western Blot), IF (Immunofluorescence), FCM/FACS (Flow Cytometry). Researchers should empirically determine the suitability of the CD45RB ptprc for an application not listed in the data sheet. Researchers commonly develop new applications and it is an integral, important part of the investigative research process. It is sometimes possible for the material contained within the vial of "CD45RB, Monoclonal Antibody" to become dispersed throughout the inside of the vial, particularly around the seal of said vial, during shipment and storage. We always suggest centrifuging these vials to consolidate all of the liquid away from the lid and to the bottom of the vial prior to opening. Please be advised that certain products may require dry ice for shipping and that, if this is the case, an additional dry ice fee may also be required.Precautions
All products in the AAA Biotech catalog are strictly for research-use only, and are absolutely not suitable for use in any sort of medical, therapeutic, prophylactic, in-vivo, or diagnostic capacity. By purchasing a product from AAA Biotech, you are explicitly certifying that said products will be properly tested and used in line with industry standard. AAA Biotech and its authorized distribution partners reserve the right to refuse to fulfill any order if we have any indication that a purchaser may be intending to use a product outside of our accepted criteria.Disclaimer
Though we do strive to guarantee the information represented in this datasheet, AAA Biotech cannot be held responsible for any oversights or imprecisions. AAA Biotech reserves the right to adjust any aspect of this datasheet at any time and without notice. It is the responsibility of the customer to inform AAA Biotech of any product performance issues observed or experienced within 30 days of receipt of said product. To see additional details on this or any of our other policies, please see our Terms & Conditions page.Item has been added to Shopping Cart
If you are ready to order, navigate to Shopping Cart and get ready to checkout.
