Mouse HSP60 Monoclonal Antibody | anti-HSPD1 antibody
Hsp60 Antibody: ATTO 488
ICC (Immunocytochemistry)
(Immunocytochemistry/Immunofluorescence analysis using Mouse Anti-Hsp60 Monoclonal Antibody, Clone LK1,. Tissue: skin Fibroblasts. Species: Human. Fixation: Cold 100% methanol for 30 minutes at -20 degree C . Primary Antibody: Mouse Anti-Hsp60 Monoclonal Antibody at 1:1000 for 1 hour at RT. Secondary Antibody: DAKO LSAB2 streptavidin-peroxidase system. Counterstain: Mayer Hematoxylin (purple/blue) nuclear stain. Left: control; Right: 24 hours after 7th passage of senescence. Courtesy of: Valentina di Felice, University of Palermo, Italy.)
IHC (Immunohistochemistry)
(Immunohistochemistry analysis using Mouse Anti-Hsp60 Monoclonal Antibody, Clone LK-1. Tissue: backskin. Species: Mouse. Fixation: Bouin's Fixative and paraffin-embedded. Primary Antibody: Mouse Anti-Hsp60 Monoclonal Antibody at 1:100 for 1 hour at RT. Secondary Antibody: FITC Goat Anti-Mouse (green) at 1:50 for 1 hour at RT. Localization: Epidermis.)
WB (Western Blot)
(Western Blot analysis of Human Cell line lysates showing detection of Hsp60 protein using Mouse Anti-Hsp60 Monoclonal Antibody, Clone LK-1. Load: 15 ug. Block: 1.5% BSA for 30 minutes at RT. Primary Antibody: Mouse Anti-Hsp60 Monoclonal Antibody at 1:1000 for 2 hours at RT. Secondary Antibody: Sheep Anti-Mouse IgG: HRP for 1 hour at RT.)
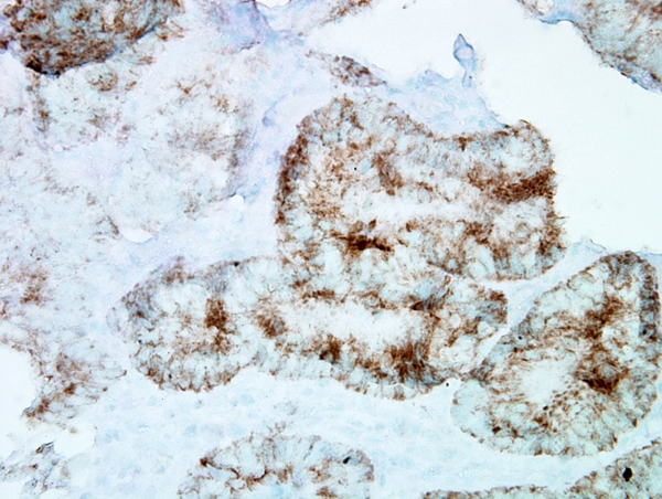
IHC (Immunohiostchemistry)
(Immunohistochemistry analysis using Mouse Anti-Hsp60 Monoclonal Antibody, Clone LK-1. Tissue: colon carcinoma. Species: Human. Fixation: Formalin. Primary Antibody: Mouse Anti-Hsp60 Monoclonal Antibody at 1:100000 for 12 hours at 4 degree C. Secondary Antibody: Biotin Goat Anti-Mouse at 1:2000 for 1 hour at RT. Counterstain: Mayer Hematoxylin (purple/blue) nuclear stain at 200 ul for 2 minutes at RT. Localization: Inflammatory cells. Magnification: 40x.)
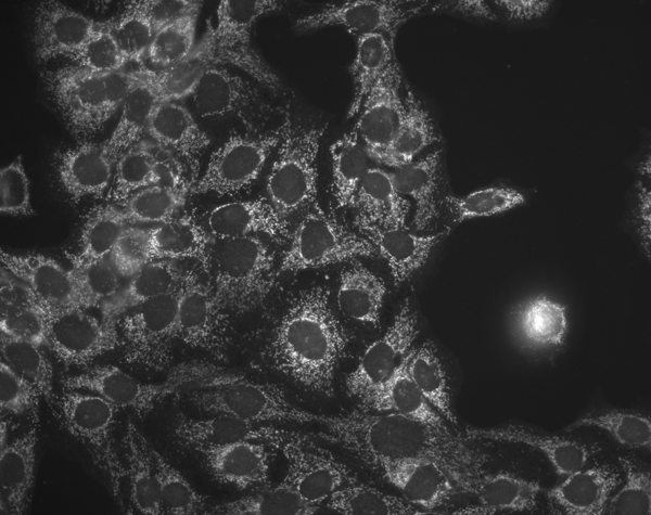
ICC (Immunocytochemistry)
(Immunocytochemistry/Immunofluorescence analysis using Mouse Anti-Hsp60 Monoclonal Antibody, Clone LK-1. Tissue: HaCaT cells. Species: Human. Fixation: Cold 100% methanol at -20 degree C for 10 minutes. Primary Antibody: Mouse Anti-Hsp60 Monoclonal Antibody at 1:100 for 1 hour at RT. Secondary Antibody: FITC Goat Anti-Mouse (green) at 1:50 for 1 hour at RT. Localization: Cytoplasmic Staining.)
Scientific Background: In both prokaryotic and eukaryotic cells, the misfolding and aggregation of proteins during biogenesis and under conditions of cellular stress are prevented by molecular chaperones. Members of the HSP60 family of heat shock proteins are some of the best characterized chaperones. Hsp60, also known as Cpn60 or GroEl, is an abundant protein synthesized constitutively in the cell that is induced to a higher concentration after brief cell shock. It is present in many species and exhibits a remarkable sequence homology among various counterparts in bacteria, plants, and mammals with more than half of the residues identical between bacterial and mammalian Hsp60 (1-3). Whereas mammalian Hsp60 is localized within the mitochondria, plant Hsp60, or otherwise known as Rubisco-binding protein, is located in plant chloroplasts. It has been indicated that these proteins carry out a very important biological function due to the fact that Hsp60 is present in so many different species. The common characteristics of the Hsp60s from the divergent species are i) high abundance, ii) induction with environmental stress such as heat shock, iii) homo-oligomeric structures of either 7 or 14 subunits which reversibly dissociate in the presence of Mg2+ and ATP, iv) ATPase activity and v) a role in folding and assembly of oligomeric protein structures (4). These similarities are supported by recent studies where the single-ring human mitochondrial homolog, Hsp60 with its co-chaperonin, Hsp10 were expressed in a E. coli strain, engineered so that the groE operon is under strict regulatory control. This study has demonstrated that expression of Hsp60-Hsp10 was able to carry out all essential in vivo functions of GroEL and its co-chaperonin, GroES (5). Another important function of Hsp60 and Hsp10 is their protective functions against infection and cellular stress. Hsp60 has however been linked to a number of autoimmune diseases, as well as Alzheimer's, coronary artery diseases, MS, and diabetes (6-9).
1. Ahgib, N. and Komatsu, S. (2009). Comparative analyses of the proteomes of leaves and flowers at various stages of development reveal organ-specific functional differentiation of proteins in soybean. Proteomes. 9 (21), 4889-4907. doi: 10.1002/pmic.200900308
2. Bayot A. et al. (2010). Identification of novel oxidized protein substrates and physiological partners of the mitochondrial ATP-dependent Lon-like protease Pim1. J Biol Chem. 285 (15), 11445-11457.
doi: 10.1074/jbc.M109.065425
3. Ahsan, N., Donnart, T., Nouri, M.Z., and Komatsu, S. (2010). Tissue-specific defense and thermo-adaptive mechanisms of soybean seedlings under heat stress revealed by proteomic approach. J Proteome Res. 9 (8), 4189-4204. doi: 10.1021/pr100504j.
4. Dogan, S. A. et al. (2014). Tissue-Specific Loss of DARS2 Activates Stress Responses Independently of Respiratory Chain Deficiency in the Heart. Cell Metabolism. 19 (3), 458-469. doi.org/10.1016/j.cmet.2014.02.004
NCBI and Uniprot Product Information
Customer Reviews
Loading reviews...
Share Your Experience
Similar Products
Product Notes
The HSPD1 hspd1 (Catalog #AAA103277) is an Antibody produced from Mouse and is intended for research purposes only. The product is available for immediate purchase. The Hsp60 Antibody: ATTO 488 reacts with Human, Mouse, Rat, Bovine, Canine, Chicken, Drosophila, Guinea Pig, Hamster, Monkey, Pig, Rabbit, Sheep, Xenopus, Soybean and may cross-react with other species as described in the data sheet. AAA Biotech's HSP60 can be used in a range of immunoassay formats including, but not limited to, IHC (Immunohistochemistry), FCM/FACS (Flow Cytometry), ELISA, IP (Immunoprecipitation), WB (Western Blot). Researchers should empirically determine the suitability of the HSPD1 hspd1 for an application not listed in the data sheet. Researchers commonly develop new applications and it is an integral, important part of the investigative research process. It is sometimes possible for the material contained within the vial of "HSP60, Monoclonal Antibody" to become dispersed throughout the inside of the vial, particularly around the seal of said vial, during shipment and storage. We always suggest centrifuging these vials to consolidate all of the liquid away from the lid and to the bottom of the vial prior to opening. Please be advised that certain products may require dry ice for shipping and that, if this is the case, an additional dry ice fee may also be required.Precautions
All products in the AAA Biotech catalog are strictly for research-use only, and are absolutely not suitable for use in any sort of medical, therapeutic, prophylactic, in-vivo, or diagnostic capacity. By purchasing a product from AAA Biotech, you are explicitly certifying that said products will be properly tested and used in line with industry standard. AAA Biotech and its authorized distribution partners reserve the right to refuse to fulfill any order if we have any indication that a purchaser may be intending to use a product outside of our accepted criteria.Disclaimer
Though we do strive to guarantee the information represented in this datasheet, AAA Biotech cannot be held responsible for any oversights or imprecisions. AAA Biotech reserves the right to adjust any aspect of this datasheet at any time and without notice. It is the responsibility of the customer to inform AAA Biotech of any product performance issues observed or experienced within 30 days of receipt of said product. To see additional details on this or any of our other policies, please see our Terms & Conditions page.Item has been added to Shopping Cart
If you are ready to order, navigate to Shopping Cart and get ready to checkout.
