Mouse anti-Human KIT Monoclonal Antibody | anti-KIT antibody
KIT Antibody
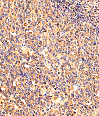
IHC (Immunohistochemistry)
(Immunohistochemical analysis of paraffin-embedded human appendix tissue using AAA283527 performed on the Leica® BOND RXm. Tissue was fixed with formaldehyde at room temperature; antigen retrieval was by heat mediation with a EDTA buffer (pH9. 0). Samples were incubated with primary antibody (1:1000) for 1 hours at room temperature. A undiluted biotinylated CRF Anti-Polyvalent HRP Polymer antibody was used as the secondary antibody.)
IF (Immunofluorescence)
(Fluorescent confocal image of an SY5Y (SH-SY5Y; #CRL-2266) cell stained with AAA283527 KIT antibody. SY5Y cells were fixed with 4% PFA (20 min), permeabilized with Triton X-100 (0.2%, 30 min), then incubated with AAA283527 KIT primary antibody (1:500, 2 h at room temperature). For secondary antibody, Alexa Fluor 488 conjugated donkey anti-mouse antibody (green) was used (1:1000, 1h). Cytoplasmic actin was counterstained with Alexa Fluor 555 (red) conjugated Phalloidin (5.25 uM, 25 min). Nuclei were counterstained with Hoechst 33342 (blue) (10 ug/ml, 3 min). Note the highly specific localization of the KIT immunosignal to the membranes, especially the plasma membrane. ibid. References for SY5Y (SH-SY5Y; #CRL-2266): 1. Ross RA, et al. Coordinate morphological and biochemical interconversion of human neuroblastoma cells. J. Natl. Cancer Inst. 71: 741-749, 1983. [PubMed: 6137586]; 2. Biedler JL, et al. Multiple neurotransmitter synthesis by human neuroblastoma cell lines and clones. Cancer Res. 38: 3751-3757, 1978. [PubMed: 29704]. Ibid.)
WB (Western Blot)
(KIT Antibody western blot analysis in A549 cell line lysates (35ug/lane).This demonstrates the KIT antibody detected the KIT protein (arrow).)
IF (Immunofluorescence)
(Immunofluorescent analysis of U251 cells, using KIT Antibody. AAA283527 was diluted at 1:100 dilution. Dylight Fluor 488-conjugated goat anti-mouse lgG at 1:400 dilution was used as the secondary antibody (green). Cytoplasmic actin was counterstained with Dylight Fluor 554 (red) conjugated Phalloidin (red).)
c-kit. C-kit was first identified as the cellular homolog of the
feline sarcoma viral oncogene v-kit. This protein is a type 3
transmembrane receptor for MGF (mast cell growth factor, also known
as stem cell factor). Mutations in this gene are associated with
gastrointestinal stromal tumors, mast cell disease, acute
myelogenous lukemia, and piebaldism. Multiple transcript variants
encoding different isoforms have been found for this gene.
Cheng, M., et al. Circ. Res. 107(9):1083-1093(2010)
Chi, P., et al. Nature 467(7317):849-853(2010)
Rossi, S., et al. Am. J. Surg. Pathol. 34(10):1480-1491(2010)
Chen, P., et al. World J. Gastroenterol. 16(33):4227-4232(2010)
NCBI and Uniprot Product Information
Customer Reviews
Loading reviews...
Share Your Experience
Similar Products
Product Notes
The KIT kit (Catalog #AAA283527) is an Antibody produced from Mouse and is intended for research purposes only. The product is available for immediate purchase. The KIT Antibody reacts with Human and may cross-react with other species as described in the data sheet. AAA Biotech's KIT can be used in a range of immunoassay formats including, but not limited to, IF (Immunofluorescence), ELISA, WB (Western Blot). Researchers should empirically determine the suitability of the KIT kit for an application not listed in the data sheet. Researchers commonly develop new applications and it is an integral, important part of the investigative research process. It is sometimes possible for the material contained within the vial of "KIT, Monoclonal Antibody" to become dispersed throughout the inside of the vial, particularly around the seal of said vial, during shipment and storage. We always suggest centrifuging these vials to consolidate all of the liquid away from the lid and to the bottom of the vial prior to opening. Please be advised that certain products may require dry ice for shipping and that, if this is the case, an additional dry ice fee may also be required.Precautions
All products in the AAA Biotech catalog are strictly for research-use only, and are absolutely not suitable for use in any sort of medical, therapeutic, prophylactic, in-vivo, or diagnostic capacity. By purchasing a product from AAA Biotech, you are explicitly certifying that said products will be properly tested and used in line with industry standard. AAA Biotech and its authorized distribution partners reserve the right to refuse to fulfill any order if we have any indication that a purchaser may be intending to use a product outside of our accepted criteria.Disclaimer
Though we do strive to guarantee the information represented in this datasheet, AAA Biotech cannot be held responsible for any oversights or imprecisions. AAA Biotech reserves the right to adjust any aspect of this datasheet at any time and without notice. It is the responsibility of the customer to inform AAA Biotech of any product performance issues observed or experienced within 30 days of receipt of said product. To see additional details on this or any of our other policies, please see our Terms & Conditions page.Item has been added to Shopping Cart
If you are ready to order, navigate to Shopping Cart and get ready to checkout.
