Rabbit NKX2.2 Monoclonal Antibody | anti-NKX2.2 antibody
NKX2.2 (Neuroendocrine & Ewing's Sarcoma Marker)
Gene Names
NKX2-2; NKX2B; NKX2.2
Reactivity
Human. Others not known.
Applications
Immunohistochemistry, Immunofluorescence, Flow Cytometry, Functional Assay
Synonyms
NKX2.2, Antibody; NKX2.2 (Neuroendocrine & Ewing's Sarcoma Marker); Homeobox protein NK-2 homolog B; NK2 transcription factor like protein B; NK2 transcription factor related locus 2; NKX22; Nkx2b; tinman; anti-NKX2.2 antibody
Host
Rabbit
Reactivity
Human. Others not known.
Clonality
Monoclonal
Isotype
IgG
Clone Number
NX2/1422R
Specificity
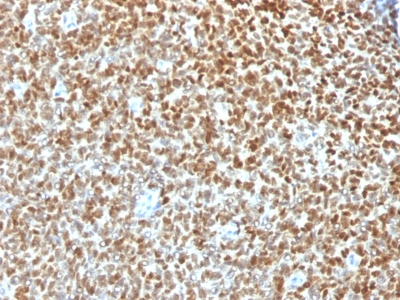
Expression of NKX2.2 has been found in neuroendocrine tumors of the gut, making it a potential marker for the study of gastrointestinal neuroendocrine tumors. More recently, NKX2.2 protein was identified as a target of EWS-FLI-1, the fusion protein specific to Ewing sarcoma, and was shown to be differentially upregulated in Ewing sarcoma on the basis of array-based gene expression analysis. It acts as a valuable marker for Ewing sarcoma, with a sensitivity of 93% and a specificity of 89%, and aids in the differential small round cell tumors.
Form/Format
200ug/ml of Ab purified by Protein A. Prepared in 10mM PBS with 0.05% BSA & 0.05% azide. Also available WITHOUT BSA & azide at 1.0mg/ml.
Sequence Length
273
Applicable Applications for anti-NKX2.2 antibody
IHC (Immunohistochemistry), IF (Immunofluorescence), FCM/FACS (Flow Cytometry)
Immunogen
Recombinant full-length human NKX2.2 protein
Cellular Localization
Nuclear
Hu-chromosome Location
20p11.22
Positive Control
Pancreas or Ewings sarcoma
Preparation and Storage
Antibody with azide - store at 2 to 8 degree C.
Antibody without azide - store at -20 to -80 degree C.
Antibody is stable for 24 months. Non-hazardous. No MSDS required.
Antibody without azide - store at -20 to -80 degree C.
Antibody is stable for 24 months. Non-hazardous. No MSDS required.
References
Yoshida A et. al. Am J Surg Pathol. 2012; 36(7):993-9. Wang, Y.C. et al. (2009)Endocr Relat Cancer16, 267-79.
NCBI and Uniprot Product Information
NCBI GI #
NCBI GeneID
NCBI Accession #
NCBI GenBank Nucleotide #
Molecular Weight
40-50kDa
NCBI Official Full Name
homeobox protein Nkx-2.2
NCBI Official Synonym Full Names
NK2 homeobox 2
NCBI Official Symbol
NKX2-2
NCBI Official Synonym Symbols
NKX2B; NKX2.2
NCBI Protein Information
homeobox protein Nkx-2.2
UniProt Protein Name
Homeobox protein Nkx-2.2
UniProt Gene Name
NKX2-2
UniProt Synonym Gene Names
NKX2.2; NKX2B
Customer Reviews
Loading reviews...
Share Your Experience
Similar Products
Product Notes
The NKX2.2 nkx2-2 (Catalog #AAA214470) is an Antibody produced from Rabbit and is intended for research purposes only. The product is available for immediate purchase. The NKX2.2 (Neuroendocrine & Ewing's Sarcoma Marker) reacts with Human. Others not known. and may cross-react with other species as described in the data sheet. AAA Biotech's NKX2.2 can be used in a range of immunoassay formats including, but not limited to, IHC (Immunohistochemistry), IF (Immunofluorescence), FCM/FACS (Flow Cytometry). Researchers should empirically determine the suitability of the NKX2.2 nkx2-2 for an application not listed in the data sheet. Researchers commonly develop new applications and it is an integral, important part of the investigative research process. It is sometimes possible for the material contained within the vial of "NKX2.2, Monoclonal Antibody" to become dispersed throughout the inside of the vial, particularly around the seal of said vial, during shipment and storage. We always suggest centrifuging these vials to consolidate all of the liquid away from the lid and to the bottom of the vial prior to opening. Please be advised that certain products may require dry ice for shipping and that, if this is the case, an additional dry ice fee may also be required.Precautions
All products in the AAA Biotech catalog are strictly for research-use only, and are absolutely not suitable for use in any sort of medical, therapeutic, prophylactic, in-vivo, or diagnostic capacity. By purchasing a product from AAA Biotech, you are explicitly certifying that said products will be properly tested and used in line with industry standard. AAA Biotech and its authorized distribution partners reserve the right to refuse to fulfill any order if we have any indication that a purchaser may be intending to use a product outside of our accepted criteria.Disclaimer
Though we do strive to guarantee the information represented in this datasheet, AAA Biotech cannot be held responsible for any oversights or imprecisions. AAA Biotech reserves the right to adjust any aspect of this datasheet at any time and without notice. It is the responsibility of the customer to inform AAA Biotech of any product performance issues observed or experienced within 30 days of receipt of said product. To see additional details on this or any of our other policies, please see our Terms & Conditions page.Item has been added to Shopping Cart
If you are ready to order, navigate to Shopping Cart and get ready to checkout.
