Mouse anti-Human, Mouse p40 Monoclonal Antibody | anti-p40 antibody
p40 (ABT020) Antibody
Gene Names
TP63; AIS; KET; LMS; NBP; RHS; p40; p51; p63; EEC3; OFC8; p73H; p73L; SHFM4; TP53L; TP73L; p53CP; TP53CP; B(p51A); B(p51B)
Reactivity
Human, Mouse
Applications
ELISA, Immunofluorescence, Western Blot, Immunohistochemistry
Purity
Protein G
Synonyms
p40, Antibody; p40 (ABT020) Antibody; Tumor protein 63 (p63)(Chroniculcerative stomatitis protein)(CUSP)(Keratinocyte transcription factor KET)(Transformation-related protein 63)(TP63)(Tumor protein p73-like)(p73L)(p40)(p51); AIS; Amplified in squamous cell carcinoma; B(p51A); B(p51B); Chronic ulceRative stomatitis protein; CUSP; DN p63 alpha 1; DNp63; EEC3; id:ibd3516; KeRatinocyte transcription factor; KeRatinocyte transcription factor KET; KET; LMS; MGC115972; MGC192897; NBP; OFC8; OTTHUMP00; anti-p40 antibody
Host
Mouse
Reactivity
Human, Mouse
Clonality
Monoclonal
Isotype
Mouse IgG2b, kappa
Clone Number
ABT020
Specificity
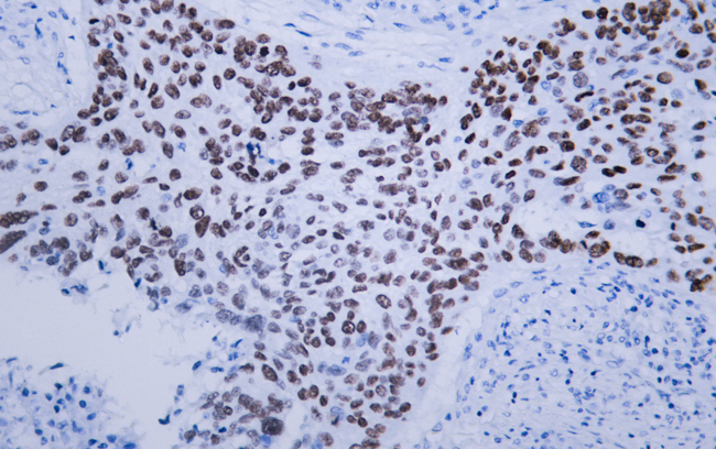
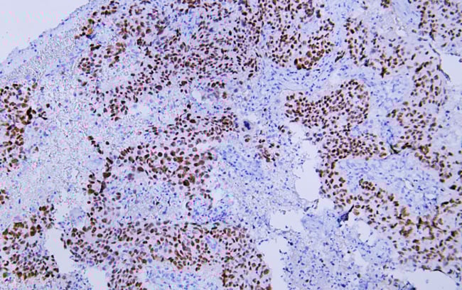
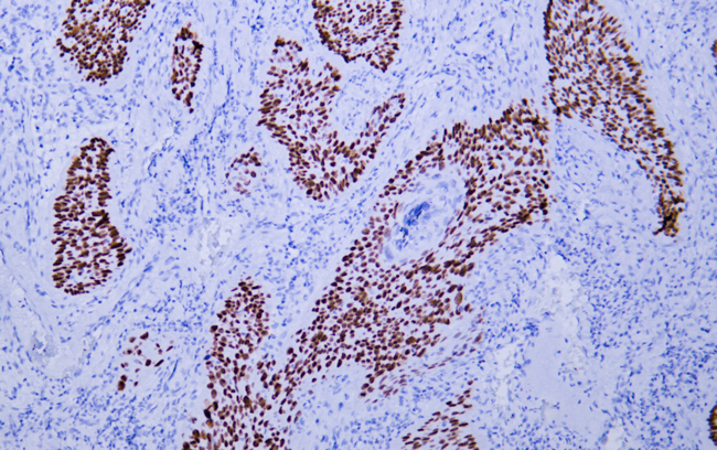
The antibody can specifically recognize human P40(deltaNp63) protein, and TAp63 dose not respond.
Purity/Purification
Protein G
Form/Format
PBS, 50% glycerol, 0.05% Proclin 300, 0.05%BSA
Applicable Applications for anti-p40 antibody
ELISA, IF (Immunofluorescence), WB (Western Blot), IHC (Immunohistochemistry)
Preparation and Storage
Store at -20 degree C/1 year
Product Categories/Family for anti-p40 antibody
NCBI and Uniprot Product Information
NCBI GI #
NCBI GeneID
NCBI Accession #
NCBI GenBank Nucleotide #
UniProt Accession #
Molecular Weight
76,785 Da
NCBI Official Full Name
tumor protein 63 isoform 2
NCBI Official Synonym Full Names
tumor protein p63
NCBI Official Symbol
TP63
NCBI Official Synonym Symbols
AIS; KET; LMS; NBP; RHS; p40; p51; p63; EEC3; OFC8; p73H; p73L; SHFM4; TP53L; TP73L; p53CP; TP53CP; B(p51A); B(p51B)
NCBI Protein Information
tumor protein 63; CUSP; transformation-related protein 63; tumor protein p53-competing protein; amplified in squamous cell carcinoma; chronic ulcerative stomatitis protein; keratinocyte transcription factor KET; tumor protein p63 deltaN isoform delta
UniProt Protein Name
Tumor protein 63
UniProt Gene Name
TP63
UniProt Synonym Gene Names
KET; P63; P73H; P73L; TP73L; p63; CUSP; TP63; p73L
UniProt Entry Name
P63_HUMAN
Customer Reviews
Loading reviews...
Share Your Experience
Similar Products
Product Notes
The p40 tp63 (Catalog #AAA320689) is an Antibody produced from Mouse and is intended for research purposes only. The product is available for immediate purchase. The p40 (ABT020) Antibody reacts with Human, Mouse and may cross-react with other species as described in the data sheet. AAA Biotech's p40 can be used in a range of immunoassay formats including, but not limited to, ELISA, IF (Immunofluorescence), WB (Western Blot), IHC (Immunohistochemistry). Researchers should empirically determine the suitability of the p40 tp63 for an application not listed in the data sheet. Researchers commonly develop new applications and it is an integral, important part of the investigative research process. It is sometimes possible for the material contained within the vial of "p40, Monoclonal Antibody" to become dispersed throughout the inside of the vial, particularly around the seal of said vial, during shipment and storage. We always suggest centrifuging these vials to consolidate all of the liquid away from the lid and to the bottom of the vial prior to opening. Please be advised that certain products may require dry ice for shipping and that, if this is the case, an additional dry ice fee may also be required.Precautions
All products in the AAA Biotech catalog are strictly for research-use only, and are absolutely not suitable for use in any sort of medical, therapeutic, prophylactic, in-vivo, or diagnostic capacity. By purchasing a product from AAA Biotech, you are explicitly certifying that said products will be properly tested and used in line with industry standard. AAA Biotech and its authorized distribution partners reserve the right to refuse to fulfill any order if we have any indication that a purchaser may be intending to use a product outside of our accepted criteria.Disclaimer
Though we do strive to guarantee the information represented in this datasheet, AAA Biotech cannot be held responsible for any oversights or imprecisions. AAA Biotech reserves the right to adjust any aspect of this datasheet at any time and without notice. It is the responsibility of the customer to inform AAA Biotech of any product performance issues observed or experienced within 30 days of receipt of said product. To see additional details on this or any of our other policies, please see our Terms & Conditions page.Item has been added to Shopping Cart
If you are ready to order, navigate to Shopping Cart and get ready to checkout.
