Loading...

Skip to main content
Call us at +1-800-604-9114 for more information about our products or contact us online Need help? +1-800-604-9114 or contact us

Filters


Clonality

Type

Reactivity

Gene Name

Isotype

Host

Application

Clone

Polyclonal Antibodies

At AAA Biotech also known as AAA Bio or AAABio, we provide a broad range of purified polyclonal antibodies (pAbs) that are able to all be browsed online through our website. Due to their high specificity and strong binding affinity, these antibodies are ideal for wide swathes of research and experimental applications.


Our polyclonal antibodies can easily support your work, whether you use them for Western Blotting, Immunocytochemistry (with or without Immunofluorescence used in conjunction), Immunohistochemistry, Immunoprecipitation, and ELISA tests. We highly encourage you to browse our range of pAbs and choose the one that best suits your experimental model.


Viewing 50-100 of 96811 product results


Influenza A, Polyclonal Antibody (Cat# AAA14340)

No reviews yet
Full Name
Influenza A antibody
Applications
Western Blot
Purity
Influenza A antibody was purified by Protein G affinity purification.
Pricing
product-image-AAA31295_IHC20.jpg IHC (Immunohistochemistry) (At 1/100 staining Human ovarian cancer and adjacent normal tissues by IHC-P. The sample was formaldehyde fixed and a heat mediated antigen retrieval step in citrate buffer was performed. The sample was then blocked and incubated with the primary antibody at 4 degree C overnight. An HRP conjugated anti-Rabbit antibody was used as the secondary antibody.)

histone H4, Polyclonal Antibody (Cat# AAA31295)

No reviews yet
Full Name
Acetyl-histone H4 (Lys16) Antibody
Gene Names
HIST2H4B; H4/o
Reactivity
Human, Mouse, Rat
Applications
Western Blot, Immunohistochemistry, Immunofluorescence, Immunocytochemistry, Peptide ELISA
Purity
The antiserum was purified by peptide affinity chromatography using SulfoLink Coupling Resin
Pricing
product-image-AAA30923_IF6.jpg IF (Immunofluorescence) (AAA30923 staining HeLa by IF/ICC. The sample were fixed with PFA and permeabilized in 0.1% Triton X-100, then blocked in 10% serum for 45 minutes at 25 degree C. The primary antibody was diluted at 1/200 and incubated with the sample for 1 hour at 37 degree C. An Alexa Fluor 594 conjugated goat anti-rabbit IgG (H+L) Ab, diluted at 1/600, was used as the secondary antibody.)

Galectin 3, Polyclonal Antibody (Cat# AAA30923)

No reviews yet
Full Name
Galectin 3 Antibody
Gene Names
LGALS3; L31; GAL3; MAC2; CBP35; GALBP; GALIG; LGALS2
Reactivity
Human, Mouse, Rat
Applications
Western Blot, Immunohistochemistry, Immunofluorescence, Immunocytochemistry
Purity
The antiserum was purified by peptide affinity chromatography using SulfoLink Coupling Resin.
Pricing

IL1RA, Polyclonal Antibody (Cat# AAA14336)

No reviews yet
Full Name
IL1RA antibody
Gene Names
IL1RN; DIRA; IRAP; IL1F3; IL1RA; MVCD4; IL-1RN; IL-1ra; IL-1ra3; ICIL-1RA
Reactivity
Not determined
Applications
Western Blot
Pricing

BRSV, Polyclonal Antibody (Cat# AAA14339)

No reviews yet
Full Name
BRSV antibody
Applications
Western Blot
Purity
BRSV antibody was purified by affinity chromatography.
Pricing
product-image-AAA31463_APP6.jpg Application Data (At 25 degree C. Samples were then incubated with primary Ab(At 37 degree C. An AlexaFluor594 conjugated goat anti-rabbit IgG(H+L) Ab(Red) and an AlexaFluor488 conjugated goat anti-mouse IgG(H+L) Ab(Green) were used as the secondary antibody.The nuclear counter stain is DAPI(blue).)

Nucleophosmin, Polyclonal Antibody (Cat# AAA31463)

No reviews yet
Full Name
Phospho-Nucleophosmin (Thr237) Antibody
Gene Names
NPM1; B23; NPM
Reactivity
Human, Mouse, Rat
Predicted Reactivity: Pig (100%), Bovine (89%), Horse (100%), Sheep (100%), Rabbit (100%), Dog (100%), Chicken (100%)
Applications
Western Blot, Immunohistochemistry, Immunofluorescence, Immunocytochemistry, Peptide ELISA
Purity
The antibody is from purified rabbit serum by affinity purification via sequential chromatography on phospho-peptide and non-phospho-peptide affinity columns.
Pricing
product-image-AAA31363_IHC11.jpg IHC (Immunohistochemistry) (At 1/100 staining Human esophageal cancer by IHC-P. The sample was formaldehyde fixed and a heat mediated antigen retrieval step in citrate buffer was performed. The sample was then blocked and incubated with the primary antibody at 4 degree C overnight. An HRP conjugated anti-Rabbit antibody was used as the secondary antibody.)

DUSP1/MKP1, Polyclonal Antibody (Cat# AAA31363)

No reviews yet
Full Name
Phospho-DUSP1/MKP1 (Ser359) Antibody
Gene Names
DUSP1; HVH1; MKP1; CL100; MKP-1; PTPN10
Reactivity
Human, Mouse
Predicted Reactivity: Pig (100%), Zebrafish (92%), Bovine (100%), Horse (100%), Sheep (100%), Rabbit (100%), Dog (100%), Chicken (100%), Xenopus (92%)
Applications
Western Blot, Immunohistochemistry, Peptide ELISA
Purity
The antibody is from purified rabbit serum by affinity purification via sequential chromatography on phospho-peptide and non-phospho-peptide affinity columns.
Pricing

Connexin 43 (CX43), Polyclonal Antibody (Cat# AAA20113)

No reviews yet
Full Name
Polyclonal Antibody to Connexin 43 (CX43)
Gene Names
Gja1; Cx43
Reactivity
Rat, Human, Mouse
Applications
WB, IHC, ICC, IP
Purity
Antigen-specific affinity chromatography followed by Protein A affinity chromatography
Pricing
product-image-AAA14908_APP.jpg Application Data (FLISA plate was coated with purified rat IgG and IgM. Immunoglobulins were detected with serially diluted Goat Anti-Rat IgG-PE)

Goat Anti-Rat IgG (gamma chain specific), Polyclonal Secondary Antibody (Cat# AAA14908)

No reviews yet
Full Name
Goat Anti-Rat IgG-HRP
Reactivity
Rat IgM; may react with immunoglobulins from other species.
Applications
ELISA
Purity
Affinity chromatography on pooled rat IgG covalently linked to agarose
Pricing

unc-13 homolog A, Polyclonal Antibody (Cat# AAA15906)

No reviews yet
Full Name
Rabbit anti-human unc-13 homolog A (C. elegans) polyclonal Antibody
Reactivity
Human, Mouse, Rat
Applications
Western Blot
Purity
Antigen Affinity Purified
Pricing
product-image-AAA30654_IHC9.jpg IHC (Immunohistchemistry) (Immunohistochemistry of paraffin-embedded rat ovary using COL1A1 at dilution of 1:200 (40x lens).)

COL1A1, Polyclonal Antibody (Cat# AAA30654)

No reviews yet
Full Name
COL1A1 Rabbit Polyclonal Antibody
Gene Names
COL1A1; OI4
Reactivity
Human, Mouse, Rat
Applications
Western Blot, Immunohistochemistry, Immunofluorescence
Purity
Affinity purification
Pricing
product-image-AAA31451_APP12.jpg Application Data (At 25 degree C. Samples were then incubated with primary Ab(At 37 degree C. An AlexaFluor594 conjugated goat anti-rabbit IgG(H+L) Ab(Red) and an AlexaFluor488 conjugated goat anti-mouse IgG(H+L) Ab(Green) were used as the secondary antibody.The nuclear counter stain is DAPI(blue).)

RBL2, Polyclonal Antibody (Cat# AAA31451)

No reviews yet
Full Name
Phospho-RBL2 (Thr642) Antibody
Gene Names
RBL2; Rb2; P130
Reactivity
Human, Mouse, Rat
Predicted Reactivity: Pig (100%), Bovine (100%), Horse (89%), Sheep (100%), Rabbit (89%), Dog (100%)
Applications
Western Blot, Immunohistochemistry, Immunofluorescence, Immunocytochemistry, Peptide ELISA
Purity
The antibody is from purified rabbit serum by affinity purification via sequential chromatography on phospho-peptide and non-phospho-peptide affinity columns.
Pricing
product-image-AAA31346_IHC20.jpg IHC (Immunohistochemistry) (At 1/100 staining Human ovarian cancer and adjacent normal tissues by IHC-P. The sample was formaldehyde fixed and a heat mediated antigen retrieval step in citrate buffer was performed. The sample was then blocked and incubated with the primary antibody at 4 degree C overnight. An HRP conjugated anti-Rabbit antibody was used as the secondary antibody.)

Histone H4, Polyclonal Antibody (Cat# AAA31346)

No reviews yet
Full Name
Acetyl-Histone H4 (Lys8) Antibody
Gene Names
HIST2H4B; H4/o
Reactivity
Human, Mouse, Rat, Pig, Bovine
Predicted Reactivity: Chicken (100%), Xenopus (100%)
Applications
Western Blot, Immunohistochemistry, Immunofluorescence, Immunocytochemistry, Peptide ELISA
Purity
The antiserum was purified by peptide affinity chromatography using SulfoLink Coupling Resin
Pricing
product-image-AAA31345_APP11.jpg Application Data (At 25 degree C. Samples were then incubated with primary Ab(At 37 degree C. An AlexaFluor594 conjugated goat anti-rabbit IgG(H+L) Ab(Red) and an AlexaFluor488 conjugated goat anti-mouse IgG(H+L) Ab(Green) were used as the secondary antibody.The nuclear counter stain is DAPI(blue).)

Histone H3, Polyclonal Antibody (Cat# AAA31345)

No reviews yet
Full Name
Acetyl-Histone H3 (Lys14) Antibody
Gene Names
HIST1H3A; H3/A; H3FA
Reactivity
Human, Mouse, Rat
Predicted Reactivity: Bovine (100%)
Applications
Western Blot, Immunohistochemistry, Immunofluorescence, Immunocytochemistry, Peptide ELISA
Purity
The antiserum was purified by peptide affinity chromatography using SulfoLink Coupling Resin
Pricing
product-image-AAA28313_IF7.jpg IF (Immunofluorescence) (Immunofluorescence analysis of NIH/3T3 cells using Acetyl-Histone H4-K12 antibody at dilution of 1:100.NIH/3T3 cells were treated by TSA (1 uM) at 37℃ for 18 hours. Blue: DAPI for nuclear staining.)

Acetyl-Histone H4-K12, Polyclonal Antibody (Cat# AAA28313)

No reviews yet
Full Name
Acetyl-Histone H4-K12 Rabbit pAb
Gene Names
HIST2H4B; H4/o
Reactivity
Human, Mouse, Rat, Other (Wide Range)
Applications
Western Blot, Immunohistochemistry, Immunofluorescence
Purity
Affinity purification
Pricing

SAA3, Polyclonal Antibody (Cat# AAA27938)

No reviews yet
Full Name
SAA3 Rabbit pAb
Reactivity
Human, Mouse, Rat
Applications
Western Blot, Immunohistochemistry, Immunofluorescence
Purity
Affinity purified
Pricing
product-image-AAA30781_WB6.png WB (Western Blot) (Western Blot analysis of HeLa cells using Acetyl-Ub (K27) Polyclonal Antibody. Secondary antibody was diluted at 1:20000)

Ub, Polyclonal Antibody (Cat# AAA30781)

No reviews yet
Full Name
Ub (Acetyl-Lys27) Rabbit Polyclonal Antibody
Gene Names
UBA52; L40; CEP52; RPL40; HUBCEP52
Reactivity
Human, Mouse, Rat
Applications
Western Blot, Immunohistochemistry, Immunohistochemistry
Purity
The antibody was affinity-purified from rabbit antiserum by affinity-chromatography using epitope-specific immunogen.
Pricing
product-image-AAA26943_IF7.png IF (Immunofluorescence) (Immunofluorescence staining of MCF-7 cell with 5% goat serum, counter-stained with DAPI. The cells were fixed in 4% formaldehyde and blocked in 10% normal Goat Serum. The cells were then incubated with the antibody overnight at 4 degree C. The secondary antibody was Alexa Fluor 488-congugated AffiniPure Goat Anti-Rabbit IgG(H+L).)

MRGPRX2, Polyclonal Antibody (Cat# AAA26943)

No reviews yet
Full Name
MRGPRX2 Antibody
Gene Names
MRGPRX2; MGRG3; MRGX2
Reactivity
Human, Mouse
Applications
Western Blot, Immunofluorescence
Purity
>95%, Protein G purified
Pricing
product-image-AAA28958_IHC7.jpg IHC (Immunohistochemistry) (Dilution: IF: 1:50-200 Western Blot: 1/500 - 1/2000. Immunohistochemistry: 1/100 - 1/300. ELISA: 1/20000. Not yet tested in other applications.)

ERK 1/2, Polyclonal Antibody (Cat# AAA28958)

No reviews yet
Full Name
ERK 1/2 (phospho Thr202/Y204) Polyclonal Antibody
Gene Names
MAPK3; ERK1; ERT2; ERK-1; PRKM3; P44ERK1; P44MAPK; HS44KDAP; HUMKER1A; p44-ERK1; p44-MAPK
Reactivity
Human, Mouse, Rat
Applications
Western Blot, Immunohistochemistry, Immunofluorescence
Pricing
product-image-AAA28349_IP9.jpg IP (Immunoprecipitation) (Immunoprecipitation analysis of 300ug extracts of K-562 cells using 3ug Lamin A/C antibody . Western blot was performed from the immunoprecipitate using Lamin A/C antibody at a dilition of 1:1000.)

Lamin A/C, Polyclonal Antibody (Cat# AAA28349)

No reviews yet
Full Name
[KO Validated] Lamin A/C Rabbit pAb
Gene Names
LMNA; FPL; IDC; LFP; CDDC; EMD2; FPLD; HGPS; LDP1; LMN1; LMNC; PRO1; CDCD1; CMD1A; FPLD2; LMNL1; CMT2B1; LGMD1B
Reactivity
Human, Mouse, Rat
Applications
Western Blot, Immunohistochemistry, Immunofluorescence
Purity
Affinity purification
Pricing
product-image-AAA19740_IF9.jpg IF (Immunofluorescence) (Figure 9. IF analysis of PGP using anti-PGP antibody (AAA19740).PGP was detected in a paraffin-embedded section of human liver cancer tissue. Heat mediated antigen retrieval was performed in EDTA buffer (pH 8.0, epitope retrieval solution). The tissue section was blocked with 10% goat serum. The tissue section was then incubated with 5ug/mL rabbit anti-PGP Antibody (AAA19740) overnight at 4 degree C. Cy3 Conjugated Goat Anti-Rabbit IgG (BA1032) was used as secondary antibody at 1:500 dilution and incubated for 30 minutes at 37 degree C. The section was counterstained with DAPI. Visualize using a fluorescence microscope and filter sets appropriate for the label used.)

PGP, Polyclonal Antibody (Cat# AAA19740)

No reviews yet
Full Name
Anti-PGP Antibody Picoband
Gene Names
PGP; PGPase
Reactivity
Human, Mouse, Rat
Applications
Western Blot, Immunohistochemistry, Immunocytochemistry, Immunofluorescence, Flow Cytometry
Purity
Immunogen affinity purified.
Pricing
product-image-AAA29005_IHC7.jpg IHC (Immunohistochemistry) (Dilution: Western Blot: 1/500 - 1/2000. Immunohistochemistry: 1/100 - 1/300. Immunofluorescence: 1/200 - 1/1000. ELISA: 1/10000. Not yet tested in other applications.)

Cyclin A, Polyclonal Antibody (Cat# AAA29005)

No reviews yet
Full Name
Cyclin A Polyclonal Antibody
Reactivity
Human, Mouse, Rat, Monkey
Applications
Western Blot, Immunohistochemistry, Immunofluorescence
Pricing

Eotaxin, Polyclonal Antibody (Cat# AAA14071)

No reviews yet
Full Name
Rabbit anti Eotaxin Polyclonal Antibody
Reactivity
Human
Applications
Immunoprecipitation, Immunohistochemistry, Western Blot
Purity
Purified by Epitope Affinity Purification
Pricing
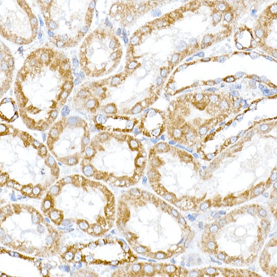
product-image-AAA15905_IHC5.jpg IHC (Immunohistochemistry) (Immunohistochemical of paraffin-embedded human kidney using ZFYVE16 antibody at dilution of 1:200 (under 40x lens))

zinc finger, FYVE domain containing 16, Polyclonal Antibody (Cat# AAA15905)

No reviews yet
Full Name
Rabbit anti-human zinc finger, FYVE domain containing 16 polyclonal Antibody
Gene Names
ZFYVE16; PPP1R69
Reactivity
Human, Mouse, Rat
Applications
Western Blot
Purity
Antigen Affinity Purified
Pricing
product-image-AAA30753_IF10.png IF (Immunofluorescence) (Immunofluorescence analysis of human-breast tissue. 1,Annexin I Polyclonal Antibody(red) was diluted at 1:200(4 degree C,overnight). 2, Cy3 labled Secondary antibody was diluted at 1:300(room temperature, 50min).3, Picture B: DAPI(blue) 10min. Picture A:Target. Picture B: DAPI. Picture C: merge of A+B)

Annexin I, Polyclonal Antibody (Cat# AAA30753)

No reviews yet
Full Name
Annexin I Rabbit Polyclonal Antibody
Gene Names
ANXA1; ANX1; LPC1
Reactivity
Human, Rat, Mouse
Applications
Immunofluorescence, Immunocytochemistry, Western Blot, Immunohistochemistry
Purity
The antibody was affinity-purified from rabbit antiserum by affinity-chromatography using epitope-specific immunogen.
Pricing
product-image-AAA29844_IF6.jpg IF (Immunofluorescence) (Immunofluorescence analysis of HeLa cells using Acetyl-Histone H4-K8 antibody.)

Histone H4-K8, Polyclonal Antibody (Cat# AAA29844)

No reviews yet
Full Name
Acetyl-Histone H4-K8 pAb
Gene Names
HIST2H4B; H4/o
Reactivity
Human, Mouse, Rat, Other (Wide Range)
Applications
Western Blot, Immunohistochemistry, Immunofluorescence, Immunoprecipitation, Chromatin Immunoprecipitation, Chromatin Immunoprecipitation
Purity
Affinity purification
Pricing
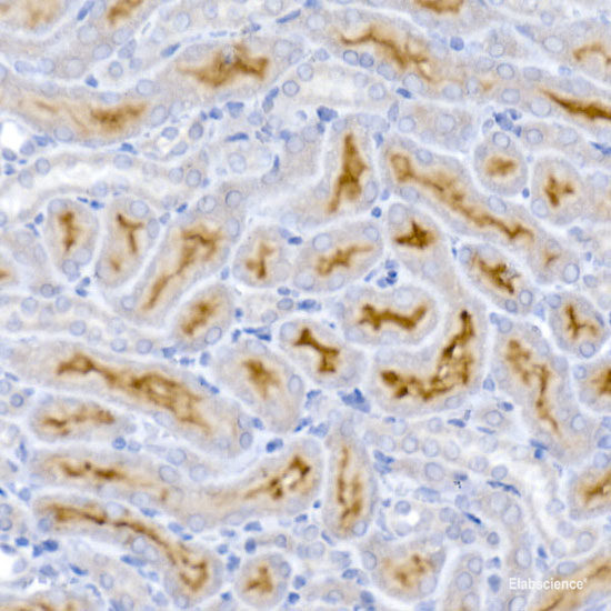
product-image-AAA31095_IHC6.jpg IHC (Immunohistchemistry) (AAA31095 at 1/100 staining Human kidney tissue by IHC-P. The sample was formaldehyde fixed and a heat mediated antigen retrieval step in citrate buffer was performed. The sample was then blocked and incubated with the antibody for 1.5 hours at 22 degree C. An HRP conjugated goat anti-rabbit antibody was used as the secondary.)

Histone H3, Polyclonal Antibody (Cat# AAA31095)

No reviews yet
Full Name
Histone H3 Antibody
Gene Names
HIST1H3A; H3/A; H3FA
Reactivity
Human, Mouse, Rat
Applications
Western Blot, Immunohistochemistry, Immunofluorescence, Immunocytochemistry
Purity
The antiserum was purified by peptide affinity chromatography using SulfoLink Coupling Resin.
Pricing
product-image-AAA31350_IHC16.jpg IHC (Immunohistochemistry) (At 1/100 staining Human pancreatic cancer by IHC-P. The sample was formaldehyde fixed and a heat mediated antigen retrieval step in citrate buffer was performed. The sample was then blocked and incubated with the primary antibody at 4 degree C overnight. An HRP conjugated anti-Rabbit antibody was used as the secondary antibody.)

Histone H4, Polyclonal Antibody (Cat# AAA31350)

No reviews yet
Full Name
Acetyl-Histone H4 (Lys91) Antibody
Gene Names
HIST2H4B; H4/o
Reactivity
Human, Mouse, Rat, Pig, Bovine
Predicted Reactivity: Chicken (100%), Xenopus (100%)
Applications
Western Blot, Immunohistochemistry, Peptide ELISA
Purity
The antiserum was purified by peptide affinity chromatography using SulfoLink Coupling Resin
Pricing
product-image-AAA10915_IF6.gif IF (Immunofluorescence) (Immunofluorescence of ABCA7 in human spleen tissue with ABCA7 antibody at 20 μg/ml.Red: ABCA7 Antibody (6889)Blue: DAPI staining)

ABCA7, Polyclonal Antibody (Cat# AAA10915)

No reviews yet
Full Name
ABCA7 Antibody
Gene Names
ABCA7; ABCX; ABCA-SSN
Reactivity
Human
Applications
Western Blot, Immunocytochemistry, Immunofluorescence
Purity
ABCA7 Antibody is affinity chromatography purified via peptide column.
Pricing
product-image-AAA30650_WB8.jpg WB (Western Blot) (Western blot analysis of extracts of HCT116 cells, using Bcl-2 at 1:1000 dilution.HCT116 cells treated with different concentrations of IL-8.)

Bcl-2, Polyclonal Antibody (Cat# AAA30650)

No reviews yet
Full Name
Bcl-2 Rabbit Polyclonal Antibody
Gene Names
BCL2; Bcl-2; PPP1R50
Reactivity
Human, Mouse, Rat
Applications
Western Blot, Immunohistochemistry, Immunofluorescence
Purity
Affinity purification
Pricing
product-image-AAA30768_IHC7.png IHC (Immunohistochemistry) (Immunohistochemical analysis of paraffin-embedded human-lung-cancer, antibody was diluted at 1:200)

Napsin A, Polyclonal Antibody (Cat# AAA30768)

No reviews yet
Full Name
Napsin A Rabbit Polyclonal Antibody
Gene Names
NAPSA; KAP; Kdap; NAP1; NAPA; SNAPA
Reactivity
Human, Rat, Mouse
Applications
Immunohistochemistry, Immunohistochemistry
Purity
The antibody was affinity-purified from rabbit antiserum by affinity-chromatography using epitope-specific immunogen.
Pricing

Hepatitis B Virus Surface Antigen, Polyclonal Antibody (Cat# AAA27808)

No reviews yet
Full Name
Anti-Hepatitis B Virus Surface Antigen Antibody
Reactivity
Hepatitis B virus
Applications
ELISA
Purity
Immunogen Affinity Purified
Pricing

Cationic trypsin, Polyclonal Antibody (Cat# AAA26987)

No reviews yet
Full Name
Cationic trypsin Antibody
Reactivity
Dog
Applications
ELISA
Purity
>95%, Protein G purified
Pricing
product-image-AAA30712_IHC6.jpg IHC (Immunohistchemistry) (Immunohistochemistry of paraffin-embedded rat spleen using CORO1A Rabbit pAb.)

CORO1A, Polyclonal Antibody (Cat# AAA30712)

No reviews yet
Full Name
CORO1A Rabbit Polyclonal Antibody
Gene Names
CORO1A; p57; TACO; CLABP; HCORO1; CLIPINA
Reactivity
Human, Mouse, Rat
Applications
Western Blot, Immunohistochemistry
Purity
Affinity purification
Pricing
product-image-AAA31339_IHC6.jpg IHC (Immunohistchemistry) (At 1/100 staining Rat brain tissue by IHC-P. The sample was formaldehyde fixed and a heat mediated antigen retrieval step in citrate buffer was performed. The sample was then blocked and incubated with the primary antibody at 4 degree C overnight. An HRP conjugated anti-Rabbit antibody was used as the secondary antibody.)

Myelin Basic Protein/MBP, Polyclonal Antibody (Cat# AAA31339)

No reviews yet
Full Name
Myelin Basic Protein/MBP Antibody
Reactivity
Human, Mouse, Rat
Predicted Reactivity: Pig (100%), Bovine (100%), Horse (100%), Rabbit (100%), Dog (100%), Chicken (86%), Xenopus (86%)
Applications
Western Blot, Immunohistochemistry, Immunofluorescence, Immunocytochemistry, Peptide ELISA
Purity
The antiserum was purified by peptide affinity chromatography using SulfoLink Coupling Resin
Pricing
product-image-AAA23395_WB6.jpg WB (Western Blot) (Host: RabbitTarget Name: GLI2Sample Type: JurkatLane A: Primary AntibodyLane B: Primary Antibody + Blocking PeptidePrimary Antibody Concentration: 2.5ug/mLPeptide Concentration: 4.0ug/mLLysate Quantity: 25ug/laneGel Concentration: 6%-18%)

GLI2, Polyclonal Antibody (Cat# AAA23395)

No reviews yet
Full Name
GLI2 antibody - middle region
Gene Names
GLI2; CJS; HPE9; PHS2; THP1; THP2
Reactivity
Human
Applications
Immunohistochemistry, Western Blot
Purity
Affinity Purified
Pricing
product-image-AAA19236_FCM10.png FCM (Flow Cytometry) (Figure 10. Flow Cytometry analysis of THP-1 cells using anti-HDAC5 antibody (AAA19236).Overlay histogram showing THP-1 cells stained with AAA19236 (Blue line). The cells were blocked with 10% normal goat serum. And then incubated with rabbit anti-HDAC5 Antibody (AAA19236, 1μg/1x106 cells) for 30 min at 20 degree C. DyLight®488 conjugated goat anti-rabbit IgG (5-10μg/1x106 cells) was used as secondary antibody for 30 minutes at 20 degree C. Isotype control antibody (Green line) was rabbit IgG (1μg/1x106) used under the same conditions. Unlabelled sample (Red line) was also used as a control.)

HDAC5, Polyclonal Antibody (Cat# AAA19236)

No reviews yet
Full Name
Anti-HDAC5 Antibody
Gene Names
HDAC5; HD5; NY-CO-9
Reactivity
Human, Mouse, Rat
Applications
Western Blot, Immunohistochemistry, Immunocytochemistry, Immunofluorescence, Flow Cytometry, Direct ELISA
Purity
Immunogen affinity purified.
Pricing
product-image-AAA27060_WB.png WB (Western Blot) (Positive WB detected in Recombinant proteinAll lanes: ompA antibody at 1:2000SecondaryGoat polyclonal to rabbit IgG at 1/50000 dilutionPredicted band size: 35.6 kDaObserved band size: 36 kDa)

ompA, Polyclonal Antibody (Cat# AAA27060)

No reviews yet
Full Name
Rabbit anti-Escherichia coli O157:H7 ompA Polyclonal Antibody
Reactivity
Escherichia coli O157:H7
Applications
Western Blot
Purity
Protein G
Pricing
product-image-AAA31364_APP18.jpg Application Data (At 25 degree C. Samples were then incubated with primary Ab(At 37 degree C. An AlexaFluor594 conjugated goat anti-rabbit IgG(H+L) Ab(Red) and an AlexaFluor488 conjugated goat anti-mouse IgG(H+L) Ab(Green) were used as the secondary antibody.The nuclear counter stain is DAPI(blue).)

AKT1, Polyclonal Antibody (Cat# AAA31364)

No reviews yet
Full Name
Phospho-AKT1 (Ser124) Antibody
Gene Names
AKT1; AKT; PKB; RAC; CWS6; PRKBA; PKB-ALPHA; RAC-ALPHA
Reactivity
Human, Mouse, Rat
Predicted Reactivity: Pig (91%), Bovine (82%), Horse (100%), Dog (100%), Chicken (100%)
Applications
Western Blot, Immunohistochemistry, Immunofluorescence, Immunocytochemistry, Peptide ELISA
Purity
The antibody is from purified rabbit serum by affinity purification via sequential chromatography on phospho-peptide and non-phospho-peptide affinity columns.
Pricing
product-image-AAA30651_IF8.jpg IF (Immunofluorescence) (Immunofluorescence analysis of U-2OS cells using Caspase-3 at dilution of 1:100. Blue: DAPI for nuclear staining.)

Caspase-3, Polyclonal Antibody (Cat# AAA30651)

No reviews yet
Full Name
Caspase-3 Rabbit Polyclonal Antibody
Gene Names
CASP3; CPP32; SCA-1; CPP32B
Reactivity
Human, Mouse, Rat
Applications
Western Blot, Immunohistochemistry, Immunofluorescence
Purity
Affinity purification
Pricing
product-image-AAA26922_IF6.jpg IF (Immunofluorescence) (Immunofluorescent analysis of HepG2 cells using AAA26922 at a dilution of 1:100 and Alexa Fluor 488-congugated AffiniPure Goat Anti-Rabbit IgG(H+L))

14-3-3 protein beta/alpha, Polyclonal Antibody (Cat# AAA26922)

No reviews yet
Full Name
Rabbit anti-human 14-3-3 protein beta/alpha polyclonal Antibody
Gene Names
YWHAB; HS1; GW128; YWHAA; KCIP-1; HEL-S-1
Reactivity
Human, mouse, rat
Applications
Western Blot, Immunohistochemistry
Purity
Caprylic Acid Ammonium Sulfate Precipitation purified
Pricing
product-image-AAA20002_FCM6.png FCM (Flow Cytometry) (Figure 6. Flow Cytometry analysis of U20S cells using anti-LRRN4 antibody (AAA20002).Overlay histogram showing U20S cells stained with AAA20002 (Blue line). The cells were fixed with 4% paraformaldehyde and blocked with 10% normal goat serum. And then incubated with rabbit anti-LRRN4 Antibody (AAA20002, 1ug/1x106 cells) for 30 min at 20 degree C. DyLight488 conjugated goat anti-rabbit IgG was used as secondary antibody for 30 minutes at 20 degree C. Isotype control antibody (Green line) was rabbit IgG (1ug/1x106) used under the same conditions. Unlabelled sample (Red line) was also used as a control.)

LRRN4, Polyclonal Antibody (Cat# AAA20002)

No reviews yet
Full Name
Anti-LRRN4 Antibody Picoband
Gene Names
LRRN4; NLRR4; NLRR-4; C20orf75; dJ1056H1.1
Reactivity
Human
Applications
Western Blot, Immunohistochemistry, Immunocytochemistry, Immunofluorescence, Flow Cytometry
Purity
Immunogen affinity purified.
Pricing
product-image-AAA28728_WB7.jpg WB (Western Blot) (FGFR2 Antibody (N-term) western blot analysis in mouse NIH-3T3 cell line lysates (35ug/lane).This demonstrates the FGFR2 antibody detected the FGFR2 protein (arrow).)

FGFR2, Polyclonal Antibody (Cat# AAA28728)

No reviews yet
Full Name
FGFR2 Antibody (N-term)
Gene Names
FGFR2; BEK; JWS; BBDS; CEK3; CFD1; ECT1; KGFR; TK14; TK25; BFR-1; CD332; K-SAM
Reactivity
Human, mouse, rat, monkey
Applications
Immunohistochemistry, Immunofluorescence, Western Blot, Flow Cytometry
Purity
Peptide Affinity Purified Rabbit Polyclonal Antibody (Pab)
Pricing
product-image-AAA31312_APP10.jpg Application Data (At 25 degree C. Samples were then incubated with primary Ab(At 37 degree C. An AlexaFluor594 conjugated goat anti-rabbit IgG(H+L) Ab(Red) and an AlexaFluor488 conjugated goat anti-mouse IgG(H+L) Ab(Green) were used as the secondary antibody.The nuclear counter stain is DAPI (blue).)

Bub1, Polyclonal Antibody (Cat# AAA31312)

No reviews yet
Full Name
Phospho-Bub1 (Ser459) Antibody
Gene Names
BUB1; BUB1A; BUB1L; hBUB1
Reactivity
Human, Rat
Applications
Immunohistochemistry, Immunofluorescence, Immunocytochemistry, Peptide ELISA
Purity
The antibody is from purified rabbit serum by affinity purification via sequential chromatography on phospho-peptide and non-phospho-peptide affinity columns.
Pricing
product-image-AAA29030_IHC7.jpg IHC (Immunohistochemistry) (Dilution: IF: 1:50-200 Western Blot: 1/500 - 1/2000. Immunohistochemistry: 1/100 - 1/300. ELISA: 1/40000. Not yet tested in other applications.)

Glut1, Polyclonal Antibody (Cat# AAA29030)

No reviews yet
Full Name
Glut1 Polyclonal Antibody
Gene Names
SLC2A1; PED; DYT9; GLUT; DYT17; DYT18; EIG12; GLUT1; HTLVR; GLUT1DS
Reactivity
Human, Mouse, Rat
Applications
Western Blot, Immunohistochemistry, Immunofluorescence
Pricing
product-image-AAA30618_IHC9.jpg IHC (Immunohistchemistry) (Immunohistochemistry of paraffin-embedded mouse kidney using HSF1 at dilution of 1:100 (40x lens).)

HSF1, Polyclonal Antibody (Cat# AAA30618)

No reviews yet
Full Name
HSF1 Rabbit Polyclonal Antibody
Gene Names
HSF1; HSTF1
Reactivity
Human, Mouse, Rat
Applications
Western Blot, Immunohistochemistry, Immunofluorescence
Purity
Affinity purification
Pricing
product-image-AAA29323_IHC7.jpg IHC (Immunohistochemistry) (Dilution: Western Blot: 1/500 - 1/2000. IHC-p: 1:100-1:300. ELISA: 1/10000. Not yet tested in other applications.)

S-100 alpha, Polyclonal Antibody (Cat# AAA29323)

No reviews yet
Full Name
S-100 alpha Polyclonal Antibody
Gene Names
S100A1; S100; S100A; S100-alpha
Reactivity
Human, Mouse, Rat
Applications
Western Blot, Immunohistochemistry
Pricing
product-image-AAA29961_FCM9.jpg FCM (Flow Cytometry) (Flow cytometric analysis of Hela cells with TOP2A antibody at 1/100 dilution (blue) compared with an unlabelled control (cells without incubation with primary antibody; red). Goat anti rabbit IgG (FITC) was used as the secondary antibody.)

Topoisomerase II alpha, Polyclonal Antibody (Cat# AAA29961)

No reviews yet
Full Name
Topoisomerase II alpha Antibody
Gene Names
TOP2A; TOP2; TP2A
Reactivity
Human, Mouse, Rat
Applications
Western Blot, Immunocytochemistry, Immunohistochemistry, Flow Cytometry
Purity
Peptide affinity purified
Pricing
product-image-AAA13721_WB.jpg WB (Western Blot) (Western Blot: 1: 293 cell extract control2: 293 cell expressing NA (H5N1))

NA (A/Vietnam/1203/2004)(H5N1, human), Polyclonal Antibody (Cat# AAA13721)

No reviews yet
Full Name
Anti-NA (A/Vietnam/1203/2004)(H5N1, human)
Applications
Western Blot
Purity
Immunoaffinity chromatography
Pricing
product-image-AAA30742_IHC11.png IHC (Immunohistochemistry) (Immunohistochemical analysis of paraffin-embedded Human-Appendix tissue. 1,Akt (phospho Thr308) Polyclonal Antibody was diluted at 1:200(4 degree C,overnight). 2, Sodium citrate pH 6.0 was used for antibody retrieval(>98 degree C,20min). 3,Secondary antibody was diluted at 1:200(room temperature, 30min). Negative control was used by secondary antibody only.)

Akt, Polyclonal Antibody (Cat# AAA30742)

No reviews yet
Full Name
Akt (Phospho-Thr308) Rabbit Polyclonal Antibody
Gene Names
AKT1; AKT; PKB; RAC; CWS6; PRKBA; PKB-ALPHA; RAC-ALPHA
Reactivity
Human, Mouse, Rat
Applications
Immunofluorescence, Immunocytochemistry, Western Blot, Immunohistochemistry
Purity
The antibody was affinity-purified from rabbit antiserum by affinity-chromatography using epitope-specific immunogen.
Pricing

What are Polyclonal Antibodies?


Polyclonal antibodies are antibodies that come from multiple B cell clones of a host animal. The typical hosts used for the majority of polyclonal antibody production are rabbits, goats, sheep, and donkeys. These polyclonal antibodies, once having identified their target, will bind to different epitopes located at different regions or sequences on the same protein/antigen. As a result, they are ideal at locating and binding to the target, even if the target is in very low concentrations (due to many different antibodies being able to bind to the same target molecule, which allows for significant amplification of a downstream signal).


Polyclonal antibodies are typically produced by injecting an antigen into a host animal, which causes the animal’s immune system to attack the foreign antigen by mass generating antibodies against it. After a period of time, serum is collected from the animal and purified using physicochemical fractionation, class-specific affinity purification, and/or antigen-affinity purification.


Key Uses of Polyclonal Antibodies


  • Western Blotting: This method is used to find specific proteins in biological samples after separating them by size.

  • Immunohistochemistry: IHC helps visualize the location of proteins in tissue sections using various staining techniques.

  • ELISA: (Enzyme-Linked Immunosorbent Assay) is typically used to identify specific protein quantities in a sample. ELISAs can be either “Quantitative” or “Qualitative”.

  • Flow Cytometry: technique that identifies and measures the specific protein on the surface or inside the cells in a fluid suspension.

  • Immunoprecipitation: IP isolates and studies a specific protein from a complex mixture using antibodies.


Why Buy Polyclonal Antibodies from AAA Biotech?


1. Ideal for Various Applications


Our antibodies are generally going to be validated for use in multiple types of assays, including ELISA, Western Blotting, Immunohistochemistry, Immunoprecipitation, amongst others. They are ideal for a wide range of research applications.


2. Rigorous Quality Control


All of the antibodies in our catalog undergo strict quality testing to ensure specificity, sensitivity, and consistent performance. We are confident in the ability of our antibodies to provide you with accurate results.


3. Wide Assortment of Antibodies


Antibodies in are catalog can be found for both common and exotic species, and these antibodies are also available in both conjugated and recombinant forms to suit many diverse experimental needs.


4. Highly Purified


Our antibodies are available in purified forms with over 85% purity, as confirmed by SDS-PAGE. They are also available with tags such as His, Flag, GST, or MBP. We cater to customers worldwide.


FAQ


1. How are polyclonal antibodies produced?


Traditionally, polyclonal antibodies are produced by injecting an antigen into a host animal (such as a rabbit or goat), which then triggers an immune response from the host animal. The animal’s B cells produce antibodies that will recognize different parts of the injected antigen. These antibodies are then collected from the animal’s blood and purified for use.


2. How do polyclonal antibodies differ from monoclonal antibodies?


Polyclonal antibodies are a mix of antibodies that bind to different locations (epitopes) of the same antigen, while monoclonal antibodies are identical and bind to just one specific epitope. This makes polyclonal antibodies more versatile and better at detecting proteins that may be present in low quantities or in altered/modified forms.


3. How should I store polyclonal antibodies?


Polyclonal antibodies should be stored at 4°C for short-term use (up to a few weeks) and at -20°C or -80°C for long-term storage. Avoid repeated freeze-thaw cycles by dividing them into small aliquots. Always check the datasheet for specific storage instructions.


Submit a Question

Please complete the form below and a representative will contact you as soon as possible.

Request more Information

Please complete the form below and a representative will contact you as soon as possible.

Request a Manual

Please complete the form below and a representative will contact you as soon as possible.

Request a Quote

Please complete the form below and a representative will contact you as soon as possible.