Loading...

Skip to main content
Call us at +1-800-604-9114 for more information about our products or contact us online Need help? +1-800-604-9114 or contact us

Filters


Clonality

Type

Reactivity

Gene Name

Isotype

Host

Application

Clone

Polyclonal Antibodies

At AAA Biotech also known as AAA Bio or AAABio, we provide a broad range of purified polyclonal antibodies (pAbs) that are able to all be browsed online through our website. Due to their high specificity and strong binding affinity, these antibodies are ideal for wide swathes of research and experimental applications.


Our polyclonal antibodies can easily support your work, whether you use them for Western Blotting, Immunocytochemistry (with or without Immunofluorescence used in conjunction), Immunohistochemistry, Immunoprecipitation, and ELISA tests. We highly encourage you to browse our range of pAbs and choose the one that best suits your experimental model.


Viewing 100-150 of 96811 product results


product-image-AAA10910_IF6.jpg IF (Immunofluorescence) (Immunofluorescence of AXIN2 in HepG2 cells with AXIN2 Antibody at 20 ug/ml.)

AXIN2, Polyclonal Antibody (Cat# AAA10910)

No reviews yet
Full Name
AXIN2 Antibody
Gene Names
AXIN2; AXIL; ODCRCS
Reactivity
Human, Mouse, Rat
Applications
Western Blot, Immunohistochemistry, Immunofluorescence
Purity
AXIN2 Antibody is affinity chromatography purified via peptide column.
Pricing
product-image-AAA10944_IP11.gif IP (Immunoprecipitation) (Figure 11 Immunoprecipitation Validation in HEK293 cells (Kawai et al., 2004)HEK293 cells were transiently transfected with DYKDDDDK-IRF7. Ccell lysates were immunoprecipitated with control rabbit anti-mouse immunoglobulin serum (IgG) or anti-MyD88 (Ab1 and Ab2), followed by immunoblotting with anti-DYKDDDDK.)

MYD88, Polyclonal Antibody (Cat# AAA10944)

No reviews yet
Full Name
MYD88 Antibody
Gene Names
MYD88; MYD88D
Reactivity
Human, Mouse, Rat
Applications
Western Blot
Purity
MYD88 Antibody is affinity chromatography purified via peptide column.
Pricing
product-image-AAA10646_IHC9.jpg IHC (Immunohistchemistry) (Immunohistochemistry of paraffin-embedded rat skeletal muscle using MAPK3 Antibody at dilution of 1:100 (40x lens).)

MAPK3, Polyclonal Antibody (Cat# AAA10646)

No reviews yet
Full Name
MAPK3 Polyclonal Antibody
Gene Names
MAPK3; ERK1; ERT2; ERK-1; PRKM3; P44ERK1; P44MAPK; HS44KDAP; HUMKER1A; p44-ERK1; p44-MAPK
Reactivity
Human, Mouse, Rat
Applications
Western Blot, Immunohistochemistry, Immunofluorescence
Purity
Affinity Purification
Pricing
product-image-AAA28767_WB8.jpg WB (Western Blot) (Western blot analysis of RYK (arrow) using rabbit polyclonal RYK Antibody. 293 cell lysates (2 ug/lane) either nontransfected (Lane 1) or transiently transfected with the RYK gene (Lane 2) (Origene Technologies).)

RYK, Polyclonal Antibody (Cat# AAA28767)

No reviews yet
Full Name
RYK Antibody
Gene Names
RYK; JTK5; RYK1; JTK5A; D3S3195
Reactivity
Human, mouse, rat
Applications
Western Blot, Immunohistochemistry
Purity
Purified Rabbit Polyclonal Antibody (Pab)
Pricing
product-image-AAA31297_APP12.jpg Application Data (At 25 degree C. Samples were then incubated with primary Ab(At 37 degree C. An AlexaFluor594 conjugated goat anti-rabbit IgG(H+L) Ab(Red) and an AlexaFluor488 conjugated goat anti-mouse IgG(H+L) Ab(Green) were used as the secondary antibody.The nuclear counter stain is DAPI (blue).)

GSK3 beta, Polyclonal Antibody (Cat# AAA31297)

No reviews yet
Full Name
Phospho-GSK3 beta (Thr390) Antibody
Reactivity
Human, Mouse, Rat
Applications
Western Blot, Immunohistochemistry, Immunofluorescence, Immunocytochemistry, Peptide ELISA
Purity
The antibody is from purified rabbit serum by affinity purification via sequential chromatography on phospho-peptide and non-phospho-peptide affinity columns.
Pricing
product-image-AAA31415_IHC6.jpg IHC (Immunohistchemistry) (At 1/200 staining Human kidney tissue sections by IHC-P. The tissue was formaldehyde fixed and a heat mediated antigen retrieval step in citrate buffer was performed. The tissue was then blocked and incubated with the antibody for 1.5 hours at 22 degree C. An HRP conjugated goat anti-rabbit antibody was used as the secondary antibody.)

BRCA1, Polyclonal Antibody (Cat# AAA31415)

No reviews yet
Full Name
Phospho-BRCA1 (Ser1497) Antibody
Gene Names
BRCA1; IRIS; PSCP; BRCAI; BRCC1; PNCA4; RNF53; BROVCA1; PPP1R53
Reactivity
Human, Mouse, Rat
Predicted Reactivity: Bovine (80%), Dog (80%)
Applications
Western Blot, Immunohistochemistry, Peptide ELISA
Purity
The antibody is from purified rabbit serum by affinity purification via sequential chromatography on phospho-peptide and non-phospho-peptide affinity columns.
Pricing
product-image-AAA29332_WB7.jpg WB (Western Blot) (Dilution: IHC-p: 100-300.WB 1:500-2000, ELISA 1:10000-20000)

ETBR, Polyclonal Antibody (Cat# AAA29332)

No reviews yet
Full Name
ETBR Polyclonal Antibody
Gene Names
EDNRB; ETB; ET-B; ETBR; ETRB; HSCR; WS4A; ABCDS; ET-BR; HSCR2
Reactivity
Human
Applications
Western Blot, Immunohistochemistry
Pricing
product-image-AAA10715_IHC7.jpg IHC (Immunohistochemistry) (Immunohistochemistry of paraffin-embedded mouse heart using EDA Antibody at dilution of 1:100 (40x lens).)

EDA, Polyclonal Antibody (Cat# AAA10715)

No reviews yet
Full Name
EDA Polyclonal Antibody
Gene Names
EDA; ED1; HED; EDA1; EDA2; HED1; ODT1; XHED; ECTD1; XLHED; ED1-A1; ED1-A2; EDA-A1; EDA-A2; STHAGX1
Reactivity
Human, Mouse, Rat
Applications
Western Blot
Purity
Affinity Purification
Pricing
product-image-AAA29230_IHC7.jpg IHC (Immunohistochemistry) (Dilution: Western Blot: 1/500 - 1/2000. IHC-p: 1/100-1/300. ELISA: 1/20000. Not yet tested in other applications.)

Amphiphysin II, Polyclonal Antibody (Cat# AAA29230)

No reviews yet
Full Name
Amphiphysin II Polyclonal Antibody
Gene Names
BIN1; AMPH2; AMPHL; SH3P9
Reactivity
Human, Mouse, Rat
Applications
Western Blot, Immunohistochemistry
Pricing
product-image-AAA10948_IF6.gif IF (Immunofluorescence) (Immunofluorescence of Caspase-8 in human spleen tissue with Caspase-8 antibody at 20 μg/ml.Red: Caspase-8 Antibody (3473)Blue: DAPI staining)

Caspase-8, Polyclonal Antibody (Cat# AAA10948)

No reviews yet
Full Name
Caspase-8 Antibody
Gene Names
CASP8; CAP4; MACH; MCH5; FLICE; ALPS2B; Casp-8
Reactivity
Human, Mouse, Rat
Applications
Western Blot, Immunocytochemistry, Immunofluorescence
Purity
Caspase-8 Antibody is affinity chromatography purified via peptide column.
Pricing
product-image-AAA19486_FCM12.png FCM (Flow Cytometry) (Figure 12. Flow Cytometry analysis of A431 cells using anti-DBC-1/CCAR2 antibody (AAA19486).Overlay histogram showing A431 cells stained with AAA19486 (Blue line). The cells were blocked with 10% normal goat serum. And then incubated with rabbit anti-DBC-1/CCAR2 Antibody (AAA19486, 1 ug/1x106 cells) for 30 min at 20 degree C. DyLight488 conjugated goat anti-rabbit IgG (BA1127, 5-10 ug/1x106 cells) was used as secondary antibody for 30 minutes at 20 degree C. Isotype control antibody (Green line) was rabbit IgG (1 ug/1x106) used under the same conditions. Unlabelled sample (Red line) was also used as a control.)

DBC-1/CCAR2, Polyclonal Antibody (Cat# AAA19486)

No reviews yet
Full Name
Anti-DBC-1/CCAR2 Antibody Picoband
Gene Names
KIAA1967; DBC1; DBC-1; NET35; p30DBC; p30 DBC
Reactivity
Human, Mouse, Rat, Monkey
Applications
Western Blot, Immunohistochemistry, Immunocytochemistry, Immunofluorescence, Flow Cytometry
Purity
Immunogen affinity purified.
Pricing
product-image-AAA27722_IHC6.png IHC (Immunohistchemistry) (Immunochemical staining MSH6 in Ferret spleen with rabbit polyclonal antibody at 1:1000 dilution, formalin-fixed paraffin embedded sections.)

MSH6, Polyclonal Antibody (Cat# AAA27722)

No reviews yet
Full Name
Anti-MSH6 Antibody, Rabbit Polyclonal
Gene Names
MSH6; GTBP; HSAP; p160; GTMBP; HNPCC5
Reactivity
Human, Cynomolgus, Mouse, Rat, Ferret
Applications
Immunohistochemistry
Purity
Protein A & Antigen Affinity
Pricing
product-image-AAA26902_WB6.jpg WB (Western Blot) (Western Blot Analysis: Representative lot data. Lysate from HEK-293 cells was resolved by electrophoresis, transferred to PVDF and probed with anti-PI3 Kinase, p110beta (0.05 ug/mL). Proteins were visualized using donkey anti-rabbit secondary antibody conjugated to HRP and chemiluminescence detection. Arrow indicates PI3 Kinase, p110beta (~110kD).)

Phosphoinositide 3 Kinase, p110 beta, Polyclonal Antibody (Cat# AAA26902)

No reviews yet
Full Name
Phosphoinositide 3 Kinase, p110 beta (DKFZp779K1237, MGC133043, p110beta, Phosphatidylinositol 3 Kinase Catalytic beta Polypeptide, Phosphatidylinositol-4,5-bisphosphate 3-kinase Catalytic Subunit beta Isoform, Phosphoinositide 3 Kinase Catalytic beta Pol
Gene Names
PIK3CA; MCM; CWS5; MCAP; PI3K; CLOVE; MCMTC; p110-alpha
Reactivity
Human
Applications
Immunocytochemistry, Western Blot, Immunoprecipitation, Immunohistochemistry
Purity
Purified by Immunoaffinity chromatography.
Pricing
product-image-AAA30668_IF6.jpg IF (Immunofluorescence) (Immunofluorescence analysis of human placenta using ENTPD1/CD39 Polyclonal Antibody.)

ENTPD1/CD39, Polyclonal Antibody (Cat# AAA30668)

No reviews yet
Full Name
ENTPD1/CD39 Rabbit Polyclonal Antibody
Gene Names
ENTPD1; CD39; ATPDase; NTPDase-1
Reactivity
Human, Mouse, Rat
Applications
Western Blot, Immunohistochemistry, Immunofluorescence
Purity
Affinity purification
Pricing
product-image-AAA29917_ICC6.jpg ICC (Immunocytochemistry) (ICC staining N-Cadherin in HepG2 cells (green). The nuclear counter stain is DAPI (blue). Cells were Cells were fixed in paraformaldehyde, permeabilised with 0.25% Triton X100/PBS.)

N-Cadherin, Polyclonal Antibody (Cat# AAA29917)

No reviews yet
Full Name
N-Cadherin Antibody
Gene Names
CDH2; CDHN; NCAD; CD325; CDw325
Reactivity
Human, Mouse
Applications
Western Blot, Immunocytochemistry, Immunohistochemistry, Flow Cytometry
Purity
Peptide affinity purified
Pricing
product-image-AAA31097_WB7.jpg WB (Western Blot) (Western blot analysis of HDAC5 expression in mouse brain tissue lysates, The lane on the right is treated with the antigen-specific peptide.)

HDAC5, Polyclonal Antibody (Cat# AAA31097)

No reviews yet
Full Name
HDAC5 Antibody
Gene Names
HDAC5; HD5; NY-CO-9
Reactivity
Human, Mouse
Applications
Western Blot, Immunohistochemistry, Immunofluorescence, Immunocytochemistry
Purity
The antiserum was purified by peptide affinity chromatography using SulfoLink Coupling Resin.
Pricing
product-image-AAA29220_IHC6.jpg IHC (Immunohistchemistry) (Dilution: Western Blot: 1/500 - 1/2000. IHC-p: 1/100-1/300. ELISA: 1/20000. Not yet tested in other applications.)

HSP 90, Polyclonal Antibody (Cat# AAA29220)

No reviews yet
Full Name
HSP 90 Polyclonal Antibody
Gene Names
HSP90AA1; EL52; HSPN; LAP2; HSP86; HSPC1; HSPCA; Hsp89; Hsp90; HSP89A; HSP90A; HSP90N; HSPCAL1; HSPCAL4
Reactivity
Human, Mouse, Rat
Applications
Western Blot, Immunohistochemistry
Pricing
product-image-AAA28943_IHC7.jpg IHC (Immunohistochemistry) (Dilution: IF: 1:50-200 WB 1:500-2000, IHC 1:50-300 IHC 1:50-300)

Tau, Polyclonal Antibody (Cat# AAA28943)

No reviews yet
Full Name
Tau (phospho Ser396) Polyclonal Antibody
Gene Names
MAPT; TAU; MSTD; PPND; DDPAC; MAPTL; MTBT1; MTBT2; FTDP-17
Reactivity
Human, Mouse, Rat
Applications
Western Blot, Immunohistochemistry, Immunofluorescence
Pricing
product-image-AAA30931_IF12.jpg IF (Immunofluorescence) (AAA30931 staining NIH/3T3 cells by IF/ICC. The sample were fixed with PFA and permeabilized in 0.1% Triton X-100, then blocked in 10% serum for 45 minutes at 25 degree C. The primary antibody was diluted at 1/200 and incubated with the sample for 1 hour at 37 degree C. An Alexa Fluor 594 conjugated goat anti-rabbit IgG (H+L) antibody, diluted at 1/600, was used as secondary antibody.)

Acetyl-p53, Polyclonal Antibody (Cat# AAA30931)

No reviews yet
Full Name
Acetyl-p53 (Lys317) Antibody
Gene Names
TP53; P53; BCC7; LFS1; TRP53
Reactivity
Human, Mouse, Rat
Applications
Western Blot, Immunohistochemistry, Immunofluorescence, Immunocytochemistry
Purity
Affinity Purification
Pricing
product-image-AAA10635_IHC6.jpg IHC (Immunohistchemistry) (Immunohistochemistry of paraffin-embedded human stomach using MAPK8 antibody at dilution of 1:100 (40x lens).)

MAPK8, Polyclonal Antibody (Cat# AAA10635)

No reviews yet
Full Name
MAPK8 Polyclonal Antibody
Gene Names
MAPK8; JNK; JNK1; PRKM8; SAPK1; JNK-46; JNK1A2; SAPK1c; JNK21B1/2
Reactivity
Human, Mouse
Applications
Western Blot, Immunofluorescence
Purity
Affinity Purification
Pricing
product-image-AAA28700_IHC2.jpg IHC (Immunohistochemistry) (RNASEK Antibody (Center) (AAA28700) IHC analysis in formalin fixed and paraffin embedded human prostate carcinoma followed by peroxidase conjugation of the secondary antibody and DAB staining. This data demonstrates the use of the RNASEK Antibody (Center) for immunohistochemistry. Clinical relevance has not been evaluated.)

RNASEK, Polyclonal Antibody (Cat# AAA28700)

No reviews yet
Full Name
RNASEK Antibody (Center)
Reactivity
Human (Predicted Reactivity: Bovine, Mouse)
Applications
Western Blot, Immunohistochemistry
Purity
This antibody is purified through a protein A column, followed by peptide affinity purification.
Pricing
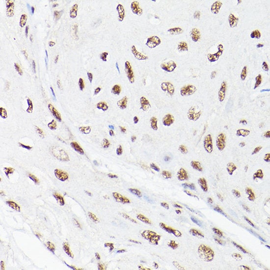
product-image-AAA31356_IHC20.jpg IHC (Immunohistochemistry) (At 1/100 staining Human colorectal cancer and adjacent normal tissues by IHC-P. The sample was formaldehyde fixed and a heat mediated antigen retrieval step in citrate buffer was performed. The sample was then blocked and incubated with the primary antibody at 4 degree C overnight. An HRP conjugated anti-Rabbit antibody was used as the secondary antibody.)

Histone H3, Polyclonal Antibody (Cat# AAA31356)

No reviews yet
Full Name
Acetyl-Histone H3 (Lys9/14/18/23/27) Antibody
Gene Names
HIST1H3A; H3/A; H3FA
Reactivity
Human, Mouse, Rat
Predicted Reactivity: Bovine (100%)
Applications
Western Blot, Immunohistochemistry, Immunofluorescence, Immunocytochemistry, Peptide ELISA
Purity
The antiserum was purified by peptide affinity chromatography using SulfoLink Coupling Resin
Pricing
product-image-AAA22307_IF7.jpg IF (Immunofluorescence) (Immunofluorescence analysis of NIH/3T3 cells using HLA-DPB1 Polyclonal Antibody at dilution of 1:100. Blue: DAPI for nuclear staining.)

HLA-DPB1, Polyclonal Antibody (Cat# AAA22307)

No reviews yet
Full Name
HLA-DPB1 Polyclonal Antibody
Gene Names
HLA-DPB1; DPB1; HLA-DP; HLA-DPB; HLA-DP1B
Reactivity
Human, Mouse, Rat
Applications
Western Blot, Immunohistochemistry, Immunofluorescence
Purity
Affinity purification
Pricing
product-image-AAA10744_IP8.jpg IP (Immunoprecipitation) (Immunoprecipitation analysis of 200ug extracts of 293T cells using 1ug PPP4C antibody. Western blot was performed from the immunoprecipitate using PPP4C antibody at a dilition of 1:1000.)

PPP4C, Polyclonal Antibody (Cat# AAA10744)

No reviews yet
Full Name
PPP4C Polyclonal Antibody
Gene Names
PPP4C; PP4; PPX; PP-X; PP4C; PPH3; PPP4
Reactivity
Human, Mouse, Rat
Applications
Western Blot, Immunohistochemistry, Immunofluorescence
Purity
Affinity Purification
Pricing
product-image-AAA13717_APP.jpg Application Data

HA1 (A/chicken/HongKong/NT366/03)(H9N2), Polyclonal Antibody (Cat# AAA13717)

No reviews yet
Full Name
Anti-HA1 (A/chicken/HongKong/NT366/03)(H9N2)
Applications
Western Blot
Purity
Immunoaffinity chromatography
Pricing
product-image-AAA31314_IHC6.jpg IHC (Immunohistchemistry) (At 1/100 staining Mouse kidney tissue by IHC-P. The sample was formaldehyde fixed and a heat mediated antigen retrieval step in citrate buffer was performed. The sample was then blocked and incubated with the primary antibody at 4 degree C overnight. An HRP conjugated anti-Rabbit antibody was used as the secondary antibody.)

ARRB1, Polyclonal Antibody (Cat# AAA31314)

No reviews yet
Full Name
Phospho-ARRB1 (Ser412) Antibody
Gene Names
ARRB1; ARB1; ARR1
Reactivity
Human, Mouse, Rat
Applications
Western Blot, Immunohistochemistry, Peptide ELISA
Purity
The antibody is from purified rabbit serum by affinity purification via sequential chromatography on phospho-peptide and non-phospho-peptide affinity columns.
Pricing
product-image-AAA14227_IF2.jpg IF (Immunofluorescence) (Immunostaining of mixed neuron/glial cultures stained with anti-UCHL1 antibody (AAA14227), green, 1:500) and rabbit anti-GFAP antibody , red, 1:1000. The blue stains nuclear DNA. The anti-UCHL1 stains strongly the cell body and dendrites of neurons, while anti-GFAP specifically labels astrocytes.)

Ubiquitin C-terminal Hydrolase 1 (UCHL1) ck, Polyclonal Antibody (Cat# AAA14227)

No reviews yet
Full Name
Anti-Ubiquitin C Terminal Hydrolase 1 (UCHL1)
Gene Names
UCHL1; NDGOA; PARK5; PGP95; PGP9.5; Uch-L1; HEL-117; PGP 9.5
Reactivity
Bovine, Human, Mouse, Pig, Rat
Expected Reactivity: Canine, Feline, Goat, Guinea Pig, Hamster, Horse, Non-Human Primate, Rabbit, Sheep, Vole
Applications
Western Blot, Immunofluorescence
Purity
Total IgY fraction
Pricing
product-image-AAA29963_ICC7.jpg ICC (Immunocytochemistry) (ICC staining GAP43 in A172 cells (green). Cells were fixed in paraformaldehyde, permeabilised with 0.25% Triton X100/PBS.)

GAP43, Polyclonal Antibody (Cat# AAA29963)

No reviews yet
Full Name
GAP43 Antibody
Gene Names
Gap43; B-50; Basp2; GAP-43
Reactivity
Human, Mouse, Rat
Applications
Western Blot, Immunocytochemistry, Immunohistochemistry, Flow Cytometry
Purity
Peptide affinity purified
Pricing
product-image-AAA29872_FCM6.jpg FCM (Flow Cytometry) (Flow cytometric analysis of NIH-3T3 cells with PDGF Receptor beta antibody at 1/100 dilution (red) compared with an unlabelled control (cells without incubation with primary antibody; black).)

PDGF beta, Polyclonal Antibody (Cat# AAA29872)

No reviews yet
Full Name
PDGF Receptor beta Antibody
Gene Names
PDGFRB; IBGC4; JTK12; PDGFR; CD140B; PDGFR1; PDGFR-1
Reactivity
Human, Mouse, Rat
Applications
Western Blot, Immunocytochemistry, Immunohistochemistry, Flow Cytometry
Purity
Peptide affinity purified
Pricing
product-image-AAA26874_WB7.jpg WB (Western Blot) (Western blot analysis of extracts of various cells, using CYCS antibody.)

AcCoA Carboxylase, Polyclonal Antibody (Cat# AAA26874)

No reviews yet
Full Name
AcCoA Carboxylase (Ser79), Phosphorylated (ACC, Acetyl Coenzyme A Carboxylase) (Biotin)
Gene Names
ACACA; ACC; ACAC; ACC1; ACCA; ACACAD
Reactivity
Mouse, Human
Applications
WB
Purity
Purified by Protein A Affinity Chromatography.
Pricing
product-image-AAA30562_IHC6.jpg IHC (Immunohistchemistry) (Immunohistochemistry of paraffin-embedded mouse kidney using Cytochrome c antibody at dilution of 1:100 .)

Cytochrome c, Polyclonal Antibody (Cat# AAA30562)

No reviews yet
Full Name
Cytochrome c Polyclonal Antibody
Gene Names
CYCS; CYC; HCS; THC4
Reactivity
Human, Mouse, Rat
Applications
Western Blot, Immunohistochemistry, Immunofluorescence
Purity
Affinity purification
Pricing
product-image-AAA30613_IF8.jpg IF (Immunofluorescence) (Immunofluorescence analysis of MCF7 cells using TEAD1.)

TEAD1, Polyclonal Antibody (Cat# AAA30613)

No reviews yet
Full Name
TEAD1 Rabbit Polyclonal Antibody
Gene Names
TEAD1; AA; REF1; TCF13; TEF-1; NTEF-1; TCF-13; TEAD-1
Reactivity
Human, Mouse, Rat
Applications
Western Blot, Immunohistochemistry, Immunofluorescence, Chromatin Immunoprecipitation
Purity
Affinity purification
Pricing
product-image-AAA11509_IHC2.jpg IHC (Immunohistochemistry) (Anti-Myelin Basic Protein antibody, AAA11509, IHC(P)IHC(P): Rat Brain Tissue)

Myelin Basic Protein, Polyclonal Antibody (Cat# AAA11509)

No reviews yet
Full Name
Anti-Myelin Basic Protein antibody
Reactivity
Mouse, Rat
Applications
Western Blot, Immunohistochemistry, Immunofluorescence
Purity
Immunogen affinity purified.
Pricing
product-image-AAA13733_APP.jpg Application Data

HA (A/California/06/09)(H1N1), Polyclonal Antibody (Cat# AAA13733)

No reviews yet
Full Name
Anti-HA (A/California/06/09)(H1N1)
Applications
Western Blot
Purity
Immunoaffinity chromatography
Pricing
product-image-AAA19472_IF8.jpg IF (Immunofluorescence) (Figure 8. IF analysis of TRK fused gene/TFG using anti-TRK fused gene/TFG antibody (AAA19472).TRK fused gene/TFG was detected in an immunocytochemical section of U87 cells. Enzyme antigen retrieval was performed using IHC enzyme antigen retrieval reagent (AR0022) for 15 mins. The cells were blocked with 10% goat serum. And then incubated with 5 ug/mL rabbit anti-TRK fused gene/TFG Antibody (AAA19472) overnight at 4 degree C. DyLight488 Conjugated Goat Anti-Rabbit IgG was used as secondary antibody at 1:100 dilution and incubated for 30 minutes at 37 degree C. The section was counterstained with DAPI. Visualize using a fluorescence microscope and filter sets appropriate for the label used.)

TRK fused gene/TFG, Polyclonal Antibody (Cat# AAA19472)

No reviews yet
Full Name
Anti-TRK fused gene/TFG Antibody Picoband
Gene Names
TFG; TF6; HMSNP; SPG57; TRKT3
Reactivity
Human, Mouse, Rat
Applications
Western Blot, Immunohistochemistry, Immunocytochemistry, Immunofluorescence
Purity
Immunogen affinity purified.
Pricing
product-image-AAA29002_IHC7.jpg IHC (Immunohistochemistry) (Dilution: IF: 1:50-200 Western Blot: 1/500 - 1/2000. Immunohistochemistry: 1/100 - 1/300. ELISA: 1/10000. Not yet tested in other applications.)

CREB-1, Polyclonal Antibody (Cat# AAA29002)

No reviews yet
Full Name
CREB-1 Polyclonal Antibody
Gene Names
CREB1; CREB
Reactivity
Human, Mouse, Rat
Applications
Western Blot, Immunohistochemistry, Immunofluorescence
Pricing
product-image-AAA29920_ICC6.jpg ICC (Immunocytochemistry) (ICC staining of BNDF in SHG-44 cells (green). The nuclear counter stain is DAPI (blue). Cells were fixed in paraformaldehyde, permeabilised with 0.25% Triton X100/PBS.)

BDNF, Polyclonal Antibody (Cat# AAA29920)

No reviews yet
Full Name
BDNF Antibody
Gene Names
BDNF; ANON2; BULN2
Reactivity
Human, Mouse, Rat
Applications
Western Blot, Immunocytochemistry, Immunohistochemistry
Purity
Peptide affinity purified
Pricing
product-image-AAA31108_WB6.jpg WB (Western Blot) (Western blot analysis of extracts from HepG2 and 293, using CALR Antibody.)

CALR, Polyclonal Antibody (Cat# AAA31108)

No reviews yet
Full Name
CALR Antibody
Gene Names
CALR; RO; CRT; SSA; cC1qR; HEL-S-99n
Reactivity
Human, Mouse, Rat
Applications
Western Blot, Immunohistochemistry, Immunofluorescence, Immunocytochemistry
Purity
The antiserum was purified by peptide affinity chromatography using SulfoLink Coupling Resin.
Pricing
product-image-AAA31144_WB8.jpg WB (Western Blot) (Western blot analysis of extracts from Mouse spleen, using Cytochrome c Antibody. The lane on the left was treated with blocking peptide.)

Cytochrome c, Polyclonal Antibody (Cat# AAA31144)

No reviews yet
Full Name
Cytochrome c Antibody
Gene Names
CYCS; CYC; HCS; THC4
Reactivity
Human, Mouse, Rat, Monkey
Predicted: Pig, Zebrafish, Bovine, Horse, Sheep, Rabbit, Dog, Chicken, Xenopus
Applications
Western Blot, Immunohistochemistry, Immunofluorescence, Immunocytochemistry, Peptide ELISA
Purity
The antiserum was purified by peptide affinity chromatography using SulfoLink Coupling Resin (Thermo Fisher Scientific).
Pricing
product-image-AAA28961_IHC6.jpg IHC (Immunohistchemistry) (Dilution: Western Blot: 1/500 - 1/2000. Immunohistochemistry: 1/100 - 1/300. ELISA: 1/20000. Not yet tested in other applications.)

Actinin-alpha1/2/3/4, Polyclonal Antibody (Cat# AAA28961)

No reviews yet
Full Name
Actinin-alpha1/2/3/4 Polyclonal Antibody
Gene Names
ACTN1; BDPLT15
Reactivity
Human, Mouse, Rat
Applications
Western Blot, Immunohistochemistry
Pricing
product-image-AAA30596_IHC6.jpg IHC (Immunohistchemistry) (Immunohistochemistry of paraffin-embedded human rectal cancer using EGFR at dilution of 1:100 (40x lens).)

EGFR, Polyclonal Antibody (Cat# AAA30596)

No reviews yet
Full Name
EGFR Rabbit Polyclonal Antibody
Gene Names
EGFR; ERBB; HER1; mENA; ERBB1; PIG61
Reactivity
Human, Mouse, Rat
Applications
Western Blot, Immunohistochemistry, Immunofluorescence
Purity
Affinity purification
Pricing
product-image-AAA10952_APP10.gif Application Data (Figure 10 KD Validation in HeLa cells (Horinaka et al., 2005)HeLa cells were transfected with DR4siRNA or LacZ control siRNA. At 24 h after transfection, the cells were treated with or without 20 ?M luteolin for 24 h. Western blot analysis was carried out with anti-DR4 antibodies (1139). DR4 expression was markedly reduced after DR4 knockdown.)

DR4, Polyclonal Antibody (Cat# AAA10952)

No reviews yet
Full Name
DR4 Antibody
Gene Names
TNFRSF10A; DR4; APO2; CD261; TRAILR1; TRAILR-1
Reactivity
Human
Applications
Western Blot, Immunocytochemistry
Purity
DR4 Antibody is Antibody is affinity chromatography purified via peptide column.
Pricing
product-image-AAA19798_FCM8.jpg FCM (Flow Cytometry) (Figure 8. Flow Cytometry analysis of HepG2 cells using anti-RPS14 antibody (AAA19798).Overlay histogram showing HepG2 cells stained with AAA19798 (Blue line). To facilitate intracellular staining, cells were fixed with 4% paraformaldehyde and permeabilized with permeabilization buffer. The cells were blocked with 10% normal goat serum. And then incubated with rabbit anti-RPS14 Antibody (AAA19798, 1ug/1x106 cells) for 30 min at 20 degree C. DyLight488 conjugated goat anti-rabbit IgG was used as secondary antibody for 30 minutes at 20 degree C. Isotype control antibody (Green line) was rabbit IgG (1ug/1x106) used under the same conditions. Unlabelled sample without incubation with primary antibody and secondary antibody (Red line) was used as a blank control.)

RPS14, Polyclonal Antibody (Cat# AAA19798)

No reviews yet
Full Name
Anti-RPS14 Antibody Picoband
Gene Names
RPS14; S14; EMTB
Reactivity
Human, Mouse, Rat
Applications
Western Blot, Immunohistochemistry, Immunocytochemistry, Immunofluorescence, Immunoprecipitation, Flow Cytometry
Purity
Immunogen affinity purified.
Pricing
product-image-AAA29050_IHC7.jpg IHC (Immunohistochemistry) (Dilution: Western Blot: 1/500 - 1/2000. Immunohistochemistry: 1/100 - 1/300. Immunofluorescence: 1/200 - 1/1000. ELISA: 1/20000. Not yet tested in other applications.)

IRS-1, Polyclonal Antibody (Cat# AAA29050)

No reviews yet
Full Name
IRS-1 Polyclonal Antibody
Gene Names
IRS1; HIRS-1
Reactivity
Human, Mouse, Rat
Applications
Western Blot, Immunohistochemistry, Immunofluorescence
Pricing
product-image-AAA30644_IHC6.jpg IHC (Immunohistchemistry) (Immunohistochemistry of paraffin-embedded human breast cancer using TGFB1 Rabbit pAb.)

TGFB1, Polyclonal Antibody (Cat# AAA30644)

No reviews yet
Full Name
TGFB1 Rabbit Polyclonal Antibody
Gene Names
TGFB1; CED; LAP; DPD1; TGFB; TGFbeta
Reactivity
Human, Mouse, Rat
Applications
Western Blot, Immunohistochemistry, Immunofluorescence
Purity
Affinity purification
Pricing
product-image-AAA18715_IHC3.jpg IHC (Immunohistochemistry) (Immunofluorescent analysis of U251 cells using AAA18715 at a dilution of 1:100 and Alexa Fluor 488-congugated AffiniPure Goat Anti-Rabbit IgG(H+L))

Plasminogen activator inhibitor 1, Polyclonal Antibody (Cat# AAA18715)

No reviews yet
Full Name
Rabbit anti-human Plasminogen activator inhibitor 1 polyclonal Antibody
Gene Names
SERPINE1; PAI; PAI1; PAI-1; PLANH1
Reactivity
Human
Applications
Western Blot, Immunohistochemistry, Immunofluorescence
Purity
>95%, Protein G purified
Pricing
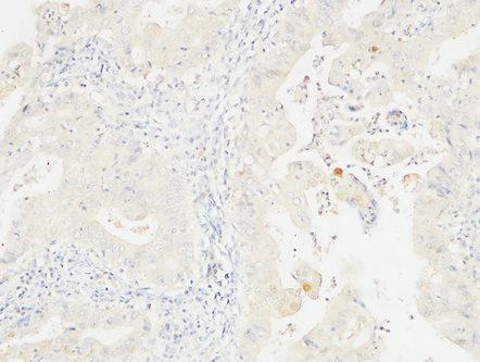
product-image-AAA31343_IHC11.jpg IHC (Immunohistochemistry) (At 1/100 staining Human kidney cancer by IHC-P. The sample was formaldehyde fixed and a heat mediated antigen retrieval step in citrate buffer was performed. The sample was then blocked and incubated with the primary antibody at 4 degree C overnight. An HRP conjugated anti-Rabbit antibody was used as the secondary antibody.)

KSR2, Polyclonal Antibody (Cat# AAA31343)

No reviews yet
Full Name
Phospho-KSR2 (Thr497) Antibody
Reactivity
Human, Mouse, Rat
Predicted Reactivity: Pig (100%), Zebrafish (100%), Bovine (100%), Horse (100%), Sheep (100%), Rabbit (100%), Chicken (91%), Xenopus (91%)
Applications
Western Blot, Immunohistochemistry, Peptide ELISA
Purity
The antibody is from purified rabbit serum by affinity purification via sequential chromatography on phospho-peptide and non-phospho-peptide affinity columns.
Pricing
product-image-AAA31298_APP6.jpg Application Data (At 25 degree C. Samples were then incubated with primary Ab(At 37 degree C. An AlexaFluor594 conjugated goat anti-rabbit IgG(H+L) Ab(Red) and an AlexaFluor488 conjugated goat anti-mouse IgG(H+L) Ab(Green) were used as the secondary antibody.The nuclear counter stain is DAPI (blue).)

YAP, Polyclonal Antibody (Cat# AAA31298)

No reviews yet
Full Name
Phospho-YAP (Ser941) Antibody
Gene Names
YAP1; YAP; YKI; YAP2; YAP65
Reactivity
Human, Mouse, Rat
Applications
Immunohistochemistry, Immunofluorescence, Immunocytochemistry, Peptide ELISA
Purity
The antibody is from purified rabbit serum by affinity purification via sequential chromatography on phospho-peptide and non-phospho-peptide affinity columns.
Pricing
product-image-AAA28834_WB7.jpg WB (Western Blot) (Dilution: IF: 1:50-200 Western Blot: 1/500 - 1/2000. Immunohistochemistry: 1/100 - 1/300. ELISA: 1/20000. Not yet tested in other applications.)

Cleaved-Caspase-9, Polyclonal Antibody (Cat# AAA28834)

No reviews yet
Full Name
Cleaved-Caspase-9 (D353) Polyclonal Antibody
Reactivity
Mouse, Rat
Applications
Western Blot, Immunohistochemistry, Immunofluorescence
Pricing
product-image-AAA10780_IF9.jpg IF (Immunofluorescence) (Immunofluorescence analysis of MCF-7 cells using RSRC1 antibody.)

RSRC1, Polyclonal Antibody (Cat# AAA10780)

No reviews yet
Full Name
RSRC1 Polyclonal Antibody
Gene Names
RSRC1; BM-011; SFRS21; SRrp53
Reactivity
Human
Applications
Western Blot, Immunohistochemistry, Immunofluorescence
Purity
Affinity Purification
Pricing

What are Polyclonal Antibodies?


Polyclonal antibodies are antibodies that come from multiple B cell clones of a host animal. The typical hosts used for the majority of polyclonal antibody production are rabbits, goats, sheep, and donkeys. These polyclonal antibodies, once having identified their target, will bind to different epitopes located at different regions or sequences on the same protein/antigen. As a result, they are ideal at locating and binding to the target, even if the target is in very low concentrations (due to many different antibodies being able to bind to the same target molecule, which allows for significant amplification of a downstream signal).


Polyclonal antibodies are typically produced by injecting an antigen into a host animal, which causes the animal’s immune system to attack the foreign antigen by mass generating antibodies against it. After a period of time, serum is collected from the animal and purified using physicochemical fractionation, class-specific affinity purification, and/or antigen-affinity purification.


Key Uses of Polyclonal Antibodies


  • Western Blotting: This method is used to find specific proteins in biological samples after separating them by size.

  • Immunohistochemistry: IHC helps visualize the location of proteins in tissue sections using various staining techniques.

  • ELISA: (Enzyme-Linked Immunosorbent Assay) is typically used to identify specific protein quantities in a sample. ELISAs can be either “Quantitative” or “Qualitative”.

  • Flow Cytometry: technique that identifies and measures the specific protein on the surface or inside the cells in a fluid suspension.

  • Immunoprecipitation: IP isolates and studies a specific protein from a complex mixture using antibodies.


Why Buy Polyclonal Antibodies from AAA Biotech?


1. Ideal for Various Applications


Our antibodies are generally going to be validated for use in multiple types of assays, including ELISA, Western Blotting, Immunohistochemistry, Immunoprecipitation, amongst others. They are ideal for a wide range of research applications.


2. Rigorous Quality Control


All of the antibodies in our catalog undergo strict quality testing to ensure specificity, sensitivity, and consistent performance. We are confident in the ability of our antibodies to provide you with accurate results.


3. Wide Assortment of Antibodies


Antibodies in are catalog can be found for both common and exotic species, and these antibodies are also available in both conjugated and recombinant forms to suit many diverse experimental needs.


4. Highly Purified


Our antibodies are available in purified forms with over 85% purity, as confirmed by SDS-PAGE. They are also available with tags such as His, Flag, GST, or MBP. We cater to customers worldwide.


FAQ


1. How are polyclonal antibodies produced?


Traditionally, polyclonal antibodies are produced by injecting an antigen into a host animal (such as a rabbit or goat), which then triggers an immune response from the host animal. The animal’s B cells produce antibodies that will recognize different parts of the injected antigen. These antibodies are then collected from the animal’s blood and purified for use.


2. How do polyclonal antibodies differ from monoclonal antibodies?


Polyclonal antibodies are a mix of antibodies that bind to different locations (epitopes) of the same antigen, while monoclonal antibodies are identical and bind to just one specific epitope. This makes polyclonal antibodies more versatile and better at detecting proteins that may be present in low quantities or in altered/modified forms.


3. How should I store polyclonal antibodies?


Polyclonal antibodies should be stored at 4°C for short-term use (up to a few weeks) and at -20°C or -80°C for long-term storage. Avoid repeated freeze-thaw cycles by dividing them into small aliquots. Always check the datasheet for specific storage instructions.


Submit a Question

Please complete the form below and a representative will contact you as soon as possible.

Request more Information

Please complete the form below and a representative will contact you as soon as possible.

Request a Manual

Please complete the form below and a representative will contact you as soon as possible.

Request a Quote

Please complete the form below and a representative will contact you as soon as possible.