Rabbit anti-Human, Mouse ACER3 Polyclonal Antibody | anti-ACER3 antibody
ACER3 Antibody
Gene Names
ACER3; APHC; PHCA
Reactivity
Human, Mouse
Applications
Immunofluorescence, Immunohistochemistry, Western Blot, ELISA
Purity
Affinity-purified from rabbit antiserum by affinity-chromatography using epitope-specific immunogen.
Synonyms
ACER3, Antibody; ACER3 Antibody; Alkaline phytoceramidase; Aphc; Alkaline ceramidase; EC 3.5.1.-; Alkaline dihydroceramidase SB89; anti-ACER3 antibody
Host
Rabbit
Reactivity
Human, Mouse
Clonality
Polyclonal
Isotype
IgG
Purity/Purification
Affinity-purified from rabbit antiserum by affinity-chromatography using epitope-specific immunogen.
Form/Format
Liquid; Rabbit IgG In Phosphate Buffered Saline (without Mg2+ and Ca2+), pH 7.4, 150mM NaCl, 0.02% Sodium Azide and 50% Glycerol.
Applicable Applications for anti-ACER3 antibody
IF (Immunofluorescence), IHC (Immunohistochemistry), WB (Western Blot), ELISA
Immunogen
Synthesized peptide derived from internal of human PHCA.
Immunogen Species
Human
Conjugate
Non-conjugated
Preparation and Storage
Upon receipt, store at -20 degree C or -80 degree C. Avoid repeated freeze.
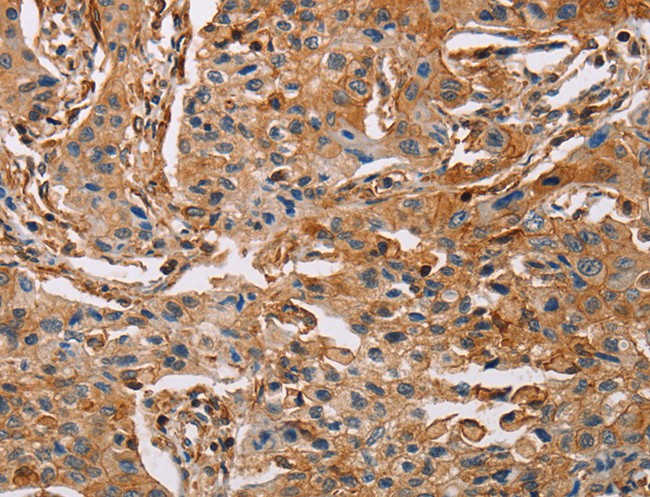
IHC (Immunohiostchemistry)
(Immunohistochemistry analysis of paraffin-embedded human placenta tissue using PHCA antibody.)
Product Categories/Family for anti-ACER3 antibody
NCBI and Uniprot Product Information
NCBI GI #
NCBI GeneID
NCBI Accession #
NCBI GenBank Nucleotide #
Molecular Weight
31,552 Da
NCBI Official Full Name
alkaline ceramidase 3
NCBI Official Synonym Full Names
alkaline ceramidase 3
NCBI Official Symbol
ACER3
NCBI Official Synonym Symbols
APHC; PHCA
NCBI Protein Information
alkaline ceramidase 3; alkCDase 3; alkaline CDase 3; alkaline phytoceramidase; phytoceramidase, alkaline; alkaline dihydroceramidase SB89
UniProt Protein Name
Alkaline ceramidase 3
UniProt Gene Name
ACER3
UniProt Synonym Gene Names
APHC; PHCA; AlkCDase 3; Alkaline CDase 3; aPHC
UniProt Entry Name
ACER3_HUMAN
Customer Reviews
Loading reviews...
Share Your Experience
Similar Products
Product Notes
The ACER3 acer3 (Catalog #AAA242986) is an Antibody produced from Rabbit and is intended for research purposes only. The product is available for immediate purchase. The ACER3 Antibody reacts with Human, Mouse and may cross-react with other species as described in the data sheet. AAA Biotech's ACER3 can be used in a range of immunoassay formats including, but not limited to, IF (Immunofluorescence), IHC (Immunohistochemistry), WB (Western Blot), ELISA. Researchers should empirically determine the suitability of the ACER3 acer3 for an application not listed in the data sheet. Researchers commonly develop new applications and it is an integral, important part of the investigative research process. It is sometimes possible for the material contained within the vial of "ACER3, Polyclonal Antibody" to become dispersed throughout the inside of the vial, particularly around the seal of said vial, during shipment and storage. We always suggest centrifuging these vials to consolidate all of the liquid away from the lid and to the bottom of the vial prior to opening. Please be advised that certain products may require dry ice for shipping and that, if this is the case, an additional dry ice fee may also be required.Precautions
All products in the AAA Biotech catalog are strictly for research-use only, and are absolutely not suitable for use in any sort of medical, therapeutic, prophylactic, in-vivo, or diagnostic capacity. By purchasing a product from AAA Biotech, you are explicitly certifying that said products will be properly tested and used in line with industry standard. AAA Biotech and its authorized distribution partners reserve the right to refuse to fulfill any order if we have any indication that a purchaser may be intending to use a product outside of our accepted criteria.Disclaimer
Though we do strive to guarantee the information represented in this datasheet, AAA Biotech cannot be held responsible for any oversights or imprecisions. AAA Biotech reserves the right to adjust any aspect of this datasheet at any time and without notice. It is the responsibility of the customer to inform AAA Biotech of any product performance issues observed or experienced within 30 days of receipt of said product. To see additional details on this or any of our other policies, please see our Terms & Conditions page.Item has been added to Shopping Cart
If you are ready to order, navigate to Shopping Cart and get ready to checkout.
