Rabbit ADFP Polyclonal Antibody | anti-PLIN2 antibody
Anti-ADFP Antibody
Each vial contains 5mg BSA, 0.9mg NaCl, 0.2mg Na2HPO4, 0.05mg NaN3.
IHC (Immunohistochemistry)
(ADFP was detected in paraffin-embedded sections of human mammary cancer tissues using rabbit anti- ADFP Antigen Affinity purified polyclonal antibody at 1ug/mL. The immunohistochemical section was developed using SABC method.)
IHC (Immunohistochemisry)
(ADFP was detected in paraffin-embedded sections of rat testis tissues using rabbit anti- ADFP Antigen Affinity purified polyclonal antibody at 1ug/mL. The immunohistochemical section was developed using SABC method.)
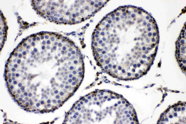
IHC (Immunohiostchemistry)
(ADFP was detected in paraffin-embedded sections of mouse testis tissues using rabbit anti- ADFP Antigen Affinity purified polyclonal antibody at 1ug/mL. The immunohistochemical section was developed using SABC method.)
WB (Western Blot)
(Western blot analysis of ADFP expression in MCF-7 whole cell lysates (lane 1). ADFP at 48KD was detected using rabbit anti- ADFP Antigen Affinity purified polyclonal antibody at 0.5 ug/mL. The blot was developed using chemiluminescence (ECL) method.)
Background: Adipose differentiation-related protein, also known as perilipin 2 (PLIN2), ADRP or adipophilin, is a protein which in humans is encoded by the ADFP gene. The protein encoded by this gene belongs to the perilipin family, members of which coat intracellular lipid storage droplets. This protein is associated with the lipid globule surface membrane material, and maybe involved in development and maintenance of adipose tissue. However, it is not restricted to adipocytes as previously thought, but is found in a wide range of cultured cell lines, including fibroblasts, endothelial and epithelial cells, and tissues, such as lactating mammary gland, adrenal cortex, Sertoli and Leydig cells, and hepatocytes in alcoholic liver cirrhosis, suggesting that it may serve as a marker of lipid accumulation in diverse cell types and diseases. Alternatively spliced transcript variants have been found for this gene.
2. Shaw, C. S., Sherlock, M., Stewart, P. M., Wagenmakers, A. J. M.Adipophilin distribution and colocalisation with lipid droplets in skeletal muscle. Histochem. Cell Biol. 131: 575-581, 2009.
NCBI and Uniprot Product Information
Customer Reviews
Loading reviews...
Share Your Experience
Similar Products
PLIN2 Antibody
PLIN2 Antibody
Product Notes
The PLIN2 plin2 (Catalog #AAA46840) is an Antibody produced from Rabbit and is intended for research purposes only. The product is available for immediate purchase. The Anti-ADFP Antibody reacts with Human, Mouse, Rat and may cross-react with other species as described in the data sheet. AAA Biotech's ADFP can be used in a range of immunoassay formats including, but not limited to, IHC (Immunohistochemistry), WB (Western Blot). Researchers should empirically determine the suitability of the PLIN2 plin2 for an application not listed in the data sheet. Researchers commonly develop new applications and it is an integral, important part of the investigative research process. It is sometimes possible for the material contained within the vial of "ADFP, Polyclonal Antibody" to become dispersed throughout the inside of the vial, particularly around the seal of said vial, during shipment and storage. We always suggest centrifuging these vials to consolidate all of the liquid away from the lid and to the bottom of the vial prior to opening. Please be advised that certain products may require dry ice for shipping and that, if this is the case, an additional dry ice fee may also be required.Precautions
All products in the AAA Biotech catalog are strictly for research-use only, and are absolutely not suitable for use in any sort of medical, therapeutic, prophylactic, in-vivo, or diagnostic capacity. By purchasing a product from AAA Biotech, you are explicitly certifying that said products will be properly tested and used in line with industry standard. AAA Biotech and its authorized distribution partners reserve the right to refuse to fulfill any order if we have any indication that a purchaser may be intending to use a product outside of our accepted criteria.Disclaimer
Though we do strive to guarantee the information represented in this datasheet, AAA Biotech cannot be held responsible for any oversights or imprecisions. AAA Biotech reserves the right to adjust any aspect of this datasheet at any time and without notice. It is the responsibility of the customer to inform AAA Biotech of any product performance issues observed or experienced within 30 days of receipt of said product. To see additional details on this or any of our other policies, please see our Terms & Conditions page.Item has been added to Shopping Cart
If you are ready to order, navigate to Shopping Cart and get ready to checkout.
