Rabbit anti-Human alpha 1 Antichymotrypsin Polyclonal Antibody | anti-SERPINA3 antibody
Anti-alpha 1 Antichymotrypsin antibody
Gene Names
SERPINA3; ACT; AACT; GIG24; GIG25
Reactivity
Human
Applications
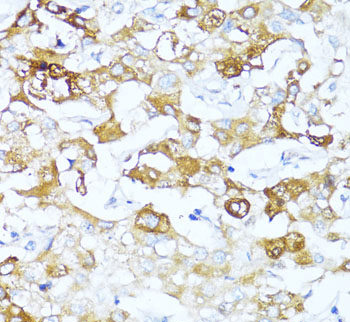
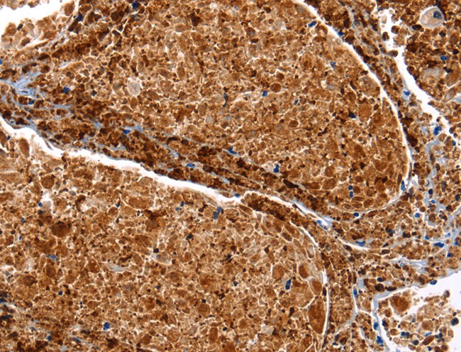
Immunohistochemistry, Western Blot
Purity
Immunogen affinity purified.
Synonyms
alpha 1 Antichymotrypsin, Antibody; Anti-alpha 1 Antichymotrypsin antibody; Alpha-1-antichymotrypsin; serpin peptidase inhibitor, clade A(alpha-1 antiproteinase, antitrypsin), member 3; SERPINA3 antibody; AACT antibody; AACT_HUMAN antibody; ACT antibody; Alpha 1 Antichymotrypsin 1 antibody; Alpha 1 Antichymotrypsin 2 antibody; Alpha 1 Antichymotrypsin 3 antibody; Alpha 1 Antitrypsin Deficiency antibody; Alpha-1-antichymotrypsin His-Pro-less antibody; Anti Elastase antibody; Antichymotrypsin antibody; Cell growth inhibiting gene 24/25 protein antibody; Cell growth-inhibiting gene 24/25 protein antibody; Clade A(Alpha 1 Antiproteinase Antitrypsin) antibody; GIG24 antibody; GIG25 antibody; Growth inhibiting protein 24 antibody; Growth inhibiting protein 25 antibody; MGC88254 antibody; PI1 antibody; Protease Inhibitor 1 antibody; Serine(or Cysteine) Proteinase Inhibitor antibody; Serine(or cysteine) proteinase inhibitor clade A(alpha 1 antiproteinase, antitrypsin) member 3 antibody; Serine(or cysteine) proteinase inhibitor clade A member 3 antibody; Serine proteinase inhibitor clade A member 3 antibody; Serpin A3 antibody; Serpin peptidase inhibitor clade A(alpha 1 antiproteinase antitrypsin) member 3 antibody; SERPINA1 antibody; SERPINA2 antibody; anti-SERPINA3 antibody
Host
Rabbit
Reactivity
Human
Clonality
Polyclonal
Isotype
IgG
Purity/Purification
Immunogen affinity purified.
Form/Format
Lyophilized
Sequence Length
423
Applicable Applications for anti-SERPINA3 antibody
IHC (Immunohistochemistry), WB (Western Blot)
Immunogen
A synthetic peptide corresponding to a sequence in the middle region of human alpha 1 Antichymotrypsin (218-232aa EMPFDPQDTHQSRFY).
Contents
Each vial contains 5mg BSA, 0.9mg NaCl, 0.2mg Na2HPO4, 0.05mg Thimerosal, 0.05mg NaN3.
Reconstitution
Add 0.2ml of distilled water will yield a concentration of 500ug/ml.
Preparation and Storage
At -20 degree C for one year. After reconstitution, at 4 degree C for one month. It can also be aliquotted and stored frozen at -20 degree C for a longer time. Avoid repeated freezing and thawing.
Related Product Information for anti-SERPINA3 antibody
Description: Rabbit IgG polyclonal antibody for Alpha-1-antichymotrypsin(SERPINA3) detection. Tested with WB, IHC-P in Human.
Background: Alpha 1-antichymotrypsin, also called serpin peptidase inhibitor, clade A(alpha-1 antiproteinase, antitrypsin), member 3 or GIG24 is an alpha globulin glycoprotein that is a member of the serpin superfamily. In humans, it is encoded by the SERPINA3 gene. This gene is mapped to 14q32.13. The protein encoded by this gene is a plasma protease inhibitor and member of the serine protease inhibitor class. Polymorphisms in this protein appear to be tissue specific and influence protease targeting. Variations in this protein's sequence have been implicated in Alzheimer's disease, and deficiency of this protein has been associated with liver disease. Mutations have been identified in patients with Parkinson disease and chronic obstructive pulmonary disease.
Background: Alpha 1-antichymotrypsin, also called serpin peptidase inhibitor, clade A(alpha-1 antiproteinase, antitrypsin), member 3 or GIG24 is an alpha globulin glycoprotein that is a member of the serpin superfamily. In humans, it is encoded by the SERPINA3 gene. This gene is mapped to 14q32.13. The protein encoded by this gene is a plasma protease inhibitor and member of the serine protease inhibitor class. Polymorphisms in this protein appear to be tissue specific and influence protease targeting. Variations in this protein's sequence have been implicated in Alzheimer's disease, and deficiency of this protein has been associated with liver disease. Mutations have been identified in patients with Parkinson disease and chronic obstructive pulmonary disease.
NCBI and Uniprot Product Information
NCBI GI #
NCBI GeneID
UniProt Accession #
Molecular Weight
10,717 Da
NCBI Official Full Name
Alpha-1-antichymotrypsin
NCBI Official Synonym Full Names
serpin peptidase inhibitor, clade A (alpha-1 antiproteinase, antitrypsin), member 3
NCBI Official Symbol
SERPINA3
NCBI Official Synonym Symbols
ACT; AACT; GIG24; GIG25
NCBI Protein Information
alpha-1-antichymotrypsin; serpin A3; growth-inhibiting protein 24; growth-inhibiting protein 25; cell growth-inhibiting gene 24/25 protein; serine (or cysteine) proteinase inhibitor, clade A, member 3
UniProt Protein Name
Alpha-1-antichymotrypsin
UniProt Gene Name
SERPINA3
UniProt Synonym Gene Names
AACT; ACT
UniProt Entry Name
AACT_HUMAN
Customer Reviews
Loading reviews...
Share Your Experience
Similar Products
Product Notes
The SERPINA3 serpina3 (Catalog #AAA45730) is an Antibody produced from Rabbit and is intended for research purposes only. The product is available for immediate purchase. The Anti-alpha 1 Antichymotrypsin antibody reacts with Human and may cross-react with other species as described in the data sheet. AAA Biotech's alpha 1 Antichymotrypsin can be used in a range of immunoassay formats including, but not limited to, IHC (Immunohistochemistry), WB (Western Blot). Researchers should empirically determine the suitability of the SERPINA3 serpina3 for an application not listed in the data sheet. Researchers commonly develop new applications and it is an integral, important part of the investigative research process. It is sometimes possible for the material contained within the vial of "alpha 1 Antichymotrypsin, Polyclonal Antibody" to become dispersed throughout the inside of the vial, particularly around the seal of said vial, during shipment and storage. We always suggest centrifuging these vials to consolidate all of the liquid away from the lid and to the bottom of the vial prior to opening. Please be advised that certain products may require dry ice for shipping and that, if this is the case, an additional dry ice fee may also be required.Precautions
All products in the AAA Biotech catalog are strictly for research-use only, and are absolutely not suitable for use in any sort of medical, therapeutic, prophylactic, in-vivo, or diagnostic capacity. By purchasing a product from AAA Biotech, you are explicitly certifying that said products will be properly tested and used in line with industry standard. AAA Biotech and its authorized distribution partners reserve the right to refuse to fulfill any order if we have any indication that a purchaser may be intending to use a product outside of our accepted criteria.Disclaimer
Though we do strive to guarantee the information represented in this datasheet, AAA Biotech cannot be held responsible for any oversights or imprecisions. AAA Biotech reserves the right to adjust any aspect of this datasheet at any time and without notice. It is the responsibility of the customer to inform AAA Biotech of any product performance issues observed or experienced within 30 days of receipt of said product. To see additional details on this or any of our other policies, please see our Terms & Conditions page.Item has been added to Shopping Cart
If you are ready to order, navigate to Shopping Cart and get ready to checkout.
