Rabbit anti-Human Anaphase-promoting complex subunit 10 Polyclonal Antibody | anti-ANAPC10 antibody
Rabbit anti-human Anaphase-promoting complex subunit 10 polyclonal Antibody(ANAPC10)
Gene Names
ANAPC10; DOC1; APC10
Reactivity
Human
Applications
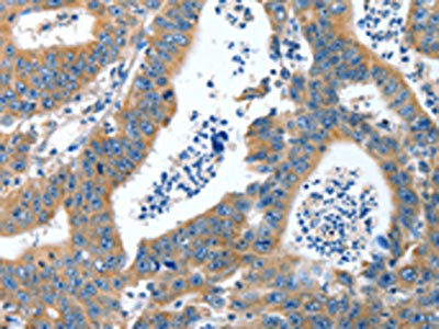
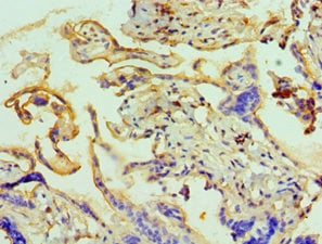
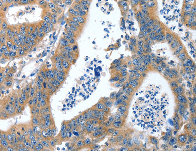
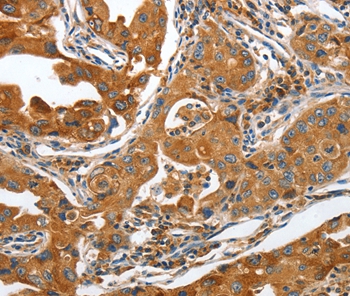
Immunohistochemistry, ELISA
Purity
Antigen Affinity Purified
Synonyms
Anaphase-promoting complex subunit 10, Antibody; Rabbit anti-human Anaphase-promoting complex subunit 10 polyclonal Antibody(ANAPC10); APC10; Cyclosome subunit 10; ANAPC10; anti-ANAPC10 antibody
Host
Rabbit
Reactivity
Human
Clonality
Polyclonal
Isotype
IgG
Purity/Purification
Antigen Affinity Purified
Sequence Length
185
Applicable Applications for anti-ANAPC10 antibody
IHC (Immunohistochemistry), ELISA
Storage Buffer
PBS with 0.02% sodium azide, 50% glycerol, pH7.3.
Conjugate
Non-conjugated
Immunogen
Recombinant human Anaphase-promoting complex subunit 10 protein (1-185aa)
Santa Cruz Alternative
Potential replacement for Santa Cruz Biotechnology antibody catalog# sc-21425 / sc-21426 / sc-20989
Preparation and Storage
Shipped at 4 degree C. Upon delivery aliquot and store at -20 degree C or -80 degree C. Avoid repeated freeze.
Related Product Information for anti-ANAPC10 antibody
Component of the anaphase promoting complex/cyclosome (APC/C), a cell cycle-regulated E3 ubiquitin ligase that controls progression through mitosis and the G1 phase of the cell cycle. The APC/C complex acts by mediating ubiquitination and subsequent degradation of target proteins: it mainly mediates the formation of 'Lys-11'-linked polyubiquitin chains and, to a lower extent, the formation of 'Lys-48'- and 'Lys-63'-linked polyubiquitin chains.
NCBI and Uniprot Product Information
NCBI GI #
NCBI GeneID
NCBI Accession #
NCBI GenBank Nucleotide #
Molecular Weight
21,252 Da
NCBI Official Full Name
anaphase-promoting complex subunit 10 isoform 1
NCBI Official Synonym Full Names
anaphase promoting complex subunit 10
NCBI Official Symbol
ANAPC10
NCBI Official Synonym Symbols
DOC1; APC10
NCBI Protein Information
anaphase-promoting complex subunit 10
UniProt Protein Name
Anaphase-promoting complex subunit 10
UniProt Gene Name
ANAPC10
UniProt Synonym Gene Names
APC10; APC10
UniProt Entry Name
APC10_HUMAN
Customer Reviews
Loading reviews...
Share Your Experience
Similar Products
Product Notes
The ANAPC10 anapc10 (Catalog #AAA118489) is an Antibody produced from Rabbit and is intended for research purposes only. The product is available for immediate purchase. The Rabbit anti-human Anaphase-promoting complex subunit 10 polyclonal Antibody(ANAPC10) reacts with Human and may cross-react with other species as described in the data sheet. AAA Biotech's Anaphase-promoting complex subunit 10 can be used in a range of immunoassay formats including, but not limited to, IHC (Immunohistochemistry), ELISA. Researchers should empirically determine the suitability of the ANAPC10 anapc10 for an application not listed in the data sheet. Researchers commonly develop new applications and it is an integral, important part of the investigative research process. It is sometimes possible for the material contained within the vial of "Anaphase-promoting complex subunit 10, Polyclonal Antibody" to become dispersed throughout the inside of the vial, particularly around the seal of said vial, during shipment and storage. We always suggest centrifuging these vials to consolidate all of the liquid away from the lid and to the bottom of the vial prior to opening. Please be advised that certain products may require dry ice for shipping and that, if this is the case, an additional dry ice fee may also be required.Precautions
All products in the AAA Biotech catalog are strictly for research-use only, and are absolutely not suitable for use in any sort of medical, therapeutic, prophylactic, in-vivo, or diagnostic capacity. By purchasing a product from AAA Biotech, you are explicitly certifying that said products will be properly tested and used in line with industry standard. AAA Biotech and its authorized distribution partners reserve the right to refuse to fulfill any order if we have any indication that a purchaser may be intending to use a product outside of our accepted criteria.Disclaimer
Though we do strive to guarantee the information represented in this datasheet, AAA Biotech cannot be held responsible for any oversights or imprecisions. AAA Biotech reserves the right to adjust any aspect of this datasheet at any time and without notice. It is the responsibility of the customer to inform AAA Biotech of any product performance issues observed or experienced within 30 days of receipt of said product. To see additional details on this or any of our other policies, please see our Terms & Conditions page.Item has been added to Shopping Cart
If you are ready to order, navigate to Shopping Cart and get ready to checkout.
