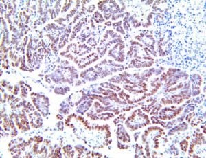
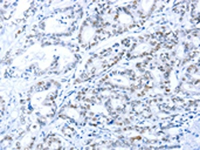
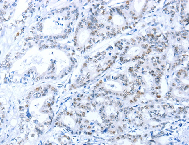
Rabbit anti-Human ARID1A Polyclonal Antibody | anti-ARID1A antibody
ARID1A Antibody (C-Term)
Gene Names
ARID1A; ELD; B120; OSA1; P270; hELD; BM029; MRD14; hOSA1; BAF250; C1orf4; BAF250a; SMARCF1
Reactivity
Human
Applications
ELISA, Western Blot
Synonyms
ARID1A, Antibody; ARID1A Antibody (C-Term); Purified Rabbit Polyclonal Antibody (Pab); AT-rich interactive domain-containing protein 1A; ARID domain-containing protein 1A; B120; BRG1-associated factor 250; BAF250; BRG1-associated factor 250a; BAF250A; Osa homolog 1; hOSA1; SWI-like protein; SWI/SNF complex protein p270; SWI/SNF-related, matrix-associated, actin-dependent regulator of chromatin subfamily F member 1; hELD; ARID1A; C1orf4; OSA1; SMARCF1; anti-ARID1A antibody
Host
Rabbit
Reactivity
Human
Clonality
Polyclonal
Isotype
Ig
Specificity
This ARID1A antibody is generated from a rabbit immunized with a KLH conjugated synthetic peptide between 1717-1750 amino acids from human ARID1A.
Form/Format
Purified polyclonal antibody supplied in PBS with 0.09% (W/V) sodium azide. This antibody is purified through a protein A column, followed by peptide affinity purification.
Sequence Length
2285
Applicable Applications for anti-ARID1A antibody
ELISA, WB (Western Blot)
Antigen Source
Human
Cellular Location
Nucleus {ECO:0000255|PROSITEProRule: PRU00355, ECO:0000269|PubMed:11318604}
Tissue Location
Highly expressed in spleen, thymus, prostate, testis, ovary, small intestine, colon, and PBL, and at a much lower level in heart, brain, placenta, lung, liver, skeletal muscle, kidney, and pancreas.
Preparation and Storage
Maintain refrigerated at 2-8 degree C for up to weeks. For long term storage store at -20 degree C in small aliquots to prevent freeze-thaw cycles.
Related Product Information for anti-ARID1A antibody
Involved in transcriptional activation and repression of select genes by chromatin remodeling (alteration of DNA-nucleosome topology). Binds DNA non-specifically. Also involved in vitamin D- coupled transcription regulation via its association with the WINAC complex, a chromatin-remodeling complex recruited by vitamin D receptor (VDR), which is required for the ligand-bound VDR- mediated transrepression of the CYP27B1 gene. Belongs to the neural progenitors-specific chromatin remodeling complex (npBAF complex) and the neuron-specific chromatin remodeling complex (nBAF complex). During neural development a switch from a stem/progenitor to a post-mitotic chromatin remodeling mechanism occurs as neurons exit the cell cycle and become committed to their adult state. The transition from proliferating neural stem/progenitor cells to post-mitotic neurons requires a switch in subunit composition of the npBAF and nBAF complexes. As neural progenitors exit mitosis and differentiate into neurons, npBAF complexes which contain ACTL6A/BAF53A and PHF10/BAF45A, are exchanged for homologous alternative ACTL6B/BAF53B and DPF1/BAF45B or DPF3/BAF45C subunits in neuron-specific complexes (nBAF). The npBAF complex is essential for the self-renewal/proliferative capacity of the multipotent neural stem cells. The nBAF complex along with CREST plays a role regulating the activity of genes essential for dendrite growth (By similarity).
Product Categories/Family for anti-ARID1A antibody
References
Nie Z.,et al.Mol. Cell. Biol. 20:8879-8888(2000). Gregory S.G.,et al.Nature 441:315-321(2006). Mural R.J.,et al.Submitted (SEP-2005) to the EMBL/GenBank/DDBJ databases. Inoue H.,et al.J. Biol. Chem. 277:41674-41685(2002). Kato H.,et al.J. Biol. Chem. 277:5498-5505(2002).
NCBI and Uniprot Product Information
NCBI GI #
NCBI GeneID
NCBI Accession #
NCBI GenBank Nucleotide #
UniProt Accession #
Molecular Weight
242045
NCBI Official Full Name
AT-rich interactive domain-containing protein 1A isoform a
NCBI Official Synonym Full Names
AT-rich interaction domain 1A
NCBI Official Symbol
ARID1A
NCBI Official Synonym Symbols
ELD; B120; OSA1; P270; hELD; BM029; MRD14; hOSA1; BAF250; C1orf4; BAF250a; SMARCF1
NCBI Protein Information
AT-rich interactive domain-containing protein 1A
UniProt Protein Name
AT-rich interactive domain-containing protein 1A
UniProt Gene Name
ARID1A
UniProt Synonym Gene Names
BAF250; BAF250A; C1orf4; OSA1; SMARCF1; ARID domain-containing protein 1A; BAF250; BAF250A; hOSA1
UniProt Entry Name
ARI1A_HUMAN
Customer Reviews
Loading reviews...
Share Your Experience
Similar Products
Product Notes
The ARID1A arid1a (Catalog #AAA290575) is an Antibody produced from Rabbit and is intended for research purposes only. The product is available for immediate purchase. The ARID1A Antibody (C-Term) reacts with Human and may cross-react with other species as described in the data sheet. AAA Biotech's ARID1A can be used in a range of immunoassay formats including, but not limited to, ELISA, WB (Western Blot). Researchers should empirically determine the suitability of the ARID1A arid1a for an application not listed in the data sheet. Researchers commonly develop new applications and it is an integral, important part of the investigative research process. It is sometimes possible for the material contained within the vial of "ARID1A, Polyclonal Antibody" to become dispersed throughout the inside of the vial, particularly around the seal of said vial, during shipment and storage. We always suggest centrifuging these vials to consolidate all of the liquid away from the lid and to the bottom of the vial prior to opening. Please be advised that certain products may require dry ice for shipping and that, if this is the case, an additional dry ice fee may also be required.Precautions
All products in the AAA Biotech catalog are strictly for research-use only, and are absolutely not suitable for use in any sort of medical, therapeutic, prophylactic, in-vivo, or diagnostic capacity. By purchasing a product from AAA Biotech, you are explicitly certifying that said products will be properly tested and used in line with industry standard. AAA Biotech and its authorized distribution partners reserve the right to refuse to fulfill any order if we have any indication that a purchaser may be intending to use a product outside of our accepted criteria.Disclaimer
Though we do strive to guarantee the information represented in this datasheet, AAA Biotech cannot be held responsible for any oversights or imprecisions. AAA Biotech reserves the right to adjust any aspect of this datasheet at any time and without notice. It is the responsibility of the customer to inform AAA Biotech of any product performance issues observed or experienced within 30 days of receipt of said product. To see additional details on this or any of our other policies, please see our Terms & Conditions page.Item has been added to Shopping Cart
If you are ready to order, navigate to Shopping Cart and get ready to checkout.
