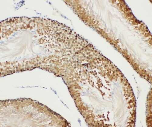
Rabbit Bub3 Polyclonal Antibody | anti-BUB3 antibody
Anti-Bub3 antibody
WB (Western Blot)
(Anti-Bub3 antibody, AAA45085, Western blottingAll lanes: Anti Bub3 (AAA45085) at 0.5ug/mlLane 1: HELA Whole Cell Lysate at 40ugLane 2: A549 Whole Cell Lysate at 40ugLane 3: JURKAT Whole Cell Lysate at 40ugLane 4: COLO320 Whole Cell Lysate at 40ugPredicted bind size: 37KDObserved bind size: 37KD)
Background: BUB3(BUDDING UNINHIBITED BY BENZIMIDAZOLES 3) is a protein that in humans is encoded by the BUB3 gene. And it is mapped on 10q26.13. Bub3 is also a protein involved with the regulation of the Spindle Assembly Checkpoint(SAC); though BUB3 is non-essential in yeast, it is essential in higher eukaryotes. As one of the checkpoint proteins, Bub3 delays the irreversible onset of anaphase through direction of kinetochore localization during prometaphase to achieve biorentation. Bub3 directs the localization of Bub1 at the kinetochore in order to activate the SAC. Bub3 also acts as a regulator in that it affects binding of Mad3 to Mad2. Using deletion analysis, the authors identified a domain of BUB1 that is required both for binding BUB3 and for kinetochore localization of BUB1.
NCBI and Uniprot Product Information
Customer Reviews
Loading reviews...
Share Your Experience
Similar Products
Product Notes
The BUB3 bub3 (Catalog #AAA45085) is an Antibody produced from Rabbit and is intended for research purposes only. The product is available for immediate purchase. The Anti-Bub3 antibody reacts with Human, Mouse, Rat and may cross-react with other species as described in the data sheet. AAA Biotech's Bub3 can be used in a range of immunoassay formats including, but not limited to, ICC (Immunocytochemistry), IHC (Immunohistochemistry), IHC (Immunohistochemistry), WB (Western Blot). Researchers should empirically determine the suitability of the BUB3 bub3 for an application not listed in the data sheet. Researchers commonly develop new applications and it is an integral, important part of the investigative research process. It is sometimes possible for the material contained within the vial of "Bub3, Polyclonal Antibody" to become dispersed throughout the inside of the vial, particularly around the seal of said vial, during shipment and storage. We always suggest centrifuging these vials to consolidate all of the liquid away from the lid and to the bottom of the vial prior to opening. Please be advised that certain products may require dry ice for shipping and that, if this is the case, an additional dry ice fee may also be required.Precautions
All products in the AAA Biotech catalog are strictly for research-use only, and are absolutely not suitable for use in any sort of medical, therapeutic, prophylactic, in-vivo, or diagnostic capacity. By purchasing a product from AAA Biotech, you are explicitly certifying that said products will be properly tested and used in line with industry standard. AAA Biotech and its authorized distribution partners reserve the right to refuse to fulfill any order if we have any indication that a purchaser may be intending to use a product outside of our accepted criteria.Disclaimer
Though we do strive to guarantee the information represented in this datasheet, AAA Biotech cannot be held responsible for any oversights or imprecisions. AAA Biotech reserves the right to adjust any aspect of this datasheet at any time and without notice. It is the responsibility of the customer to inform AAA Biotech of any product performance issues observed or experienced within 30 days of receipt of said product. To see additional details on this or any of our other policies, please see our Terms & Conditions page.Item has been added to Shopping Cart
If you are ready to order, navigate to Shopping Cart and get ready to checkout.
