Rabbit anti-Human, Mouse BUB3 Polyclonal Antibody | anti-BUB3 antibody
BUB3 Polyclonal Antibody
Gene Names
Bub3; bub3; BUB3; CG7581; dBUB3; Dmbub3; DmelCG7581
Reactivity
Human, Mouse
Applications
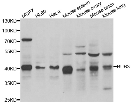
Immunofluorescence, Immunohistochemistry, Western Blot
Purity
Affinity Purification
Synonyms
BUB3, Antibody; BUB3 Polyclonal Antibody; BUB3L; hBUB3; anti-BUB3 antibody
Host
Rabbit
Reactivity
Human, Mouse
Clonality
Polyclonal
Isotype
IgG
Purity/Purification
Affinity Purification
Applicable Applications for anti-BUB3 antibody
IF (Immunofluorescence), IHC (Immunohistochemistry), WB (Western Blot)
Immunogen
Recombinant protein of human BUB3
Buffer
PBS with 0.02% sodium azide, 50% glycerol, pH7.3
Santa Cruz Alternative
Potential replacement for Santa Cruz Biotechnology antibody catalog# sc-19397 / sc-19395 / sc-28258
Preparation and Storage
Store at -20 degree C (regular) or -80 degree C (long term). Avoid freeze / thaw cycles. Buffer: PBS with 0.02% sodium azide, 50% glycerol, pH7.3.
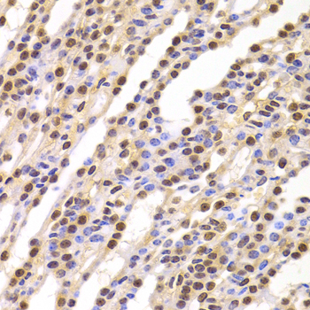
IHC (Immunohiostchemistry)
(Immunohistochemistry of paraffin-embedded Rat kidney using BUB3 antibody at dilution of1:100 (x400 lens).)
Related Product Information for anti-BUB3 antibody
This gene encodes a protein involved in spindle checkpoint function. The encoded protein contains four WD repeat domains and has sequence similarity with the yeast BUB3 protein. Alternate transcriptional splice variants, encoding different isoforms, have been characterized.
NCBI and Uniprot Product Information
NCBI GI #
NCBI GeneID
NCBI Accession #
NCBI GenBank Nucleotide #
Molecular Weight
Calculated MW: 37kDa
NCBI Official Full Name
Bub3, isoform B
NCBI Official Symbol
Bub3
NCBI Official Synonym Symbols
bub3; BUB3; CG7581; dBUB3; Dmbub3; DmelCG7581
NCBI Protein Information
CG7581 gene product from transcript CG7581-RB
Similar Products
Product Notes
The BUB3 (Catalog #AAA171745) is an Antibody produced from Rabbit and is intended for research purposes only. The product is available for immediate purchase. The BUB3 Polyclonal Antibody reacts with Human, Mouse and may cross-react with other species as described in the data sheet. AAA Biotech's BUB3 can be used in a range of immunoassay formats including, but not limited to, IF (Immunofluorescence), IHC (Immunohistochemistry), WB (Western Blot). Researchers should empirically determine the suitability of the BUB3 for an application not listed in the data sheet. Researchers commonly develop new applications and it is an integral, important part of the investigative research process. It is sometimes possible for the material contained within the vial of "BUB3, Polyclonal Antibody" to become dispersed throughout the inside of the vial, particularly around the seal of said vial, during shipment and storage. We always suggest centrifuging these vials to consolidate all of the liquid away from the lid and to the bottom of the vial prior to opening. Please be advised that certain products may require dry ice for shipping and that, if this is the case, an additional dry ice fee may also be required.Precautions
All products in the AAA Biotech catalog are strictly for research-use only, and are absolutely not suitable for use in any sort of medical, therapeutic, prophylactic, in-vivo, or diagnostic capacity. By purchasing a product from AAA Biotech, you are explicitly certifying that said products will be properly tested and used in line with industry standard. AAA Biotech and its authorized distribution partners reserve the right to refuse to fulfill any order if we have any indication that a purchaser may be intending to use a product outside of our accepted criteria.Disclaimer
Though we do strive to guarantee the information represented in this datasheet, AAA Biotech cannot be held responsible for any oversights or imprecisions. AAA Biotech reserves the right to adjust any aspect of this datasheet at any time and without notice. It is the responsibility of the customer to inform AAA Biotech of any product performance issues observed or experienced within 30 days of receipt of said product. To see additional details on this or any of our other policies, please see our Terms & Conditions page.Item has been added to Shopping Cart
If you are ready to order, navigate to Shopping Cart and get ready to checkout.
