Rabbit GRF-1 Polyclonal Antibody | anti-GRF-1 antibody
Phospho-GRF-1 (Tyr1105) Antibody
Phosphate buffered saline, pH 7.4, 150mM NaCl, 0.02% sodium azide and 50% glycerol.
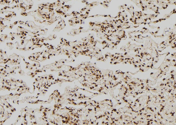
IHC (Immunohistochemistry)
(AAA321772 at 1/100 staining Human lung tissue by IHC-P. The sample was formaldehyde fixed and a heat mediated antigen retrieval step in citrate buffer was performed. The sample was then blocked and incubated with the antibody for 1.5 hours at 22 degree C. An HRP conjugated goat anti-rabbit antibody was used as the secondary.)
WB (Western Blot)
(Western blot analysis of GRF-1 phosphorylation expression in EGF treated 293 whole cell lysates, The lane on the left is treated with the antigen-specific peptide.)
IF (Immunofluorescence)
(AAA321772 staining 293 by IF/ICC. The sample were fixed with PFA and permeabilized in 0.1% Triton X-100, then blocked in 10% serum for 45 minutes at 25 degree C. The primary antibody was diluted at 1/200 and incubated with the sample for 1 hour at 37 degree C. An Alexa Fluor 594 conjugated goat anti-rabbit IgG (H+L) Ab, diluted at 1/600, was used as the secondary antibody.)
Function: Rho GTPase-activating protein (GAP) (PubMed:19673492, PubMed:28894085). Binds several acidic phospholipids which inhibits the Rho GAP activity to promote the Rac GAP activity (PubMed:19673492). This binding is inhibited by phosphorylation by PRKCA (PubMed:19673492). Involved in cell differentiation as well as cell adhesion and migration, plays an important role in retinal tissue morphogenesis, neural tube fusion, midline fusion of the cerebral hemispheres and mammary gland branching morphogenesis (By similarity). Transduces signals from p21-ras to the nucleus, acting via the ras GTPase-activating protein (GAP) (By similarity). Transduces SRC-dependent signals from cell-surface adhesion molecules, such as laminin, to promote neurite outgrowth. Regulates axon outgrowth, guidance and fasciculation (By similarity). Modulates Rho GTPase-dependent F-actin polymerization, organization and assembly, is involved in polarized cell migration and in the positive regulation of ciliogenesis and cilia elongation (By similarity). During mammary gland development, is required in both the epithelial and stromal compartments for ductal outgrowth (By similarity). Represses transcription of the glucocorticoid receptor by binding to the cis-acting regulatory sequence 5'-GAGAAAAGAAACTGGAGAAACTC-3'; this function is however unclear and would need additional experimental evidences (PubMed:1894621).
Subunit Structure: Interacts with RASA1 (By similarity). Interacts with the general transcription factor GTF2I, the interaction sequesters GTF2I in the cytoplasm (PubMed:19393245).
Post-translational Modifications: Phosphorylation of Tyr-1105 by PTK6 promotes the association with RASA1, inactivating RHOA while activating RAS. Phosphorylation at Tyr-308 by PDGFRA inhibits binding to GTF2I (PubMed:18829532, PubMed:19393245). Phosphorylated by PRKCA at Ser-1221 and Thr-1226, induces relocalization from the cytoplasm to regions of plasma membrane ruffling and prevents the binding and substrate specificity regulation by phospholipids (PubMed:19673492). In brain, phosphorylated by FYN and SRC (By similarity). During focal adhesion formation, phosphorylated by MAPK1 and MAPK3 at the C-terminal region, probably at Ser-1451, Ser-1476, Thr-1480 and Ser-1483. Phosphorylation by MAPK1 and MAPK3 inhibits GAP function and localizes ARGHAP35 away from newly forming focal adhesions and stress fibers in cells spreading on fibronectin (By similarity). Phosphorylation at Ser-1476 and Thr-1480 by GSK3B requires priming by MAPK and inhibits RhoGAP activity and modulates polarized cell migration (By similarity).
Similarity: N-terminal part (1-266) has GTPase activity. Required for proper cellular localization.The pG1 pseudoGTPase domain does not bind GTP.
NCBI and Uniprot Product Information
Predicted: 171 kDa
Customer Reviews
Loading reviews...
Share Your Experience
Similar Products
Product Notes
The GRF-1 arhgap35 (Catalog #AAA321772) is an Antibody produced from Rabbit and is intended for research purposes only. The product is available for immediate purchase. The Phospho-GRF-1 (Tyr1105) Antibody reacts with Human, Mouse, Rat and may cross-react with other species as described in the data sheet. AAA Biotech's GRF-1 can be used in a range of immunoassay formats including, but not limited to, ELISA, ICC (Immunocytochemistry), IF (Immunofluorescence), IHC (Immunohistochemistry), WB (Western Blot). Researchers should empirically determine the suitability of the GRF-1 arhgap35 for an application not listed in the data sheet. Researchers commonly develop new applications and it is an integral, important part of the investigative research process. It is sometimes possible for the material contained within the vial of "GRF-1, Polyclonal Antibody" to become dispersed throughout the inside of the vial, particularly around the seal of said vial, during shipment and storage. We always suggest centrifuging these vials to consolidate all of the liquid away from the lid and to the bottom of the vial prior to opening. Please be advised that certain products may require dry ice for shipping and that, if this is the case, an additional dry ice fee may also be required.Precautions
All products in the AAA Biotech catalog are strictly for research-use only, and are absolutely not suitable for use in any sort of medical, therapeutic, prophylactic, in-vivo, or diagnostic capacity. By purchasing a product from AAA Biotech, you are explicitly certifying that said products will be properly tested and used in line with industry standard. AAA Biotech and its authorized distribution partners reserve the right to refuse to fulfill any order if we have any indication that a purchaser may be intending to use a product outside of our accepted criteria.Disclaimer
Though we do strive to guarantee the information represented in this datasheet, AAA Biotech cannot be held responsible for any oversights or imprecisions. AAA Biotech reserves the right to adjust any aspect of this datasheet at any time and without notice. It is the responsibility of the customer to inform AAA Biotech of any product performance issues observed or experienced within 30 days of receipt of said product. To see additional details on this or any of our other policies, please see our Terms & Conditions page.Item has been added to Shopping Cart
If you are ready to order, navigate to Shopping Cart and get ready to checkout.
