Rabbit anti-Human, Mouse HER2/ErbB2 Polyclonal Antibody | anti-HER2/ErbB2 antibody
Phospho-HER2/ErbB2 (Tyr1196) Antibody
Phosphate buffered saline, pH 7.4, 150mM NaCl, 0.02% sodium azide and 50% glycerol.
WB (Western Blot)
(Western blot analysis of extracts of MCF7 cells treated with human neuregulin-1, using Phospho-HER2/ErbB2 (Tyr1196) Antibody.)
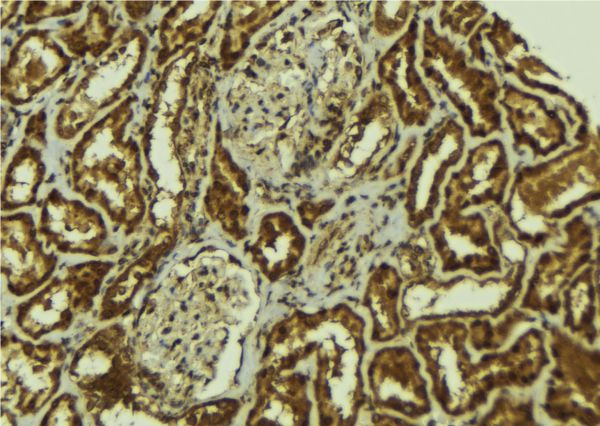
IHC (Immunohistochemistry)
(AAA321332 at 1/100 staining Mouse kidney tissue by IHC-P. The sample was formaldehyde fixed and a heat mediated antigen retrieval step in citrate buffer was performed. The sample was then blocked and incubated with the antibody for 1.5 hours at 22 degree C. An HRP conjugated goat anti-rabbit antibody was used as the secondary.)
Subunit Structure: Homodimer (PubMed:21454582). Heterodimer with EGFR, ERBB3 and ERBB4 (PubMed:10358079, PubMed:15093539, PubMed:21190959, PubMed:16978839). Part of a complex with EGFR and either PIK3C2A or PIK3C2B. May interact with PIK3C2B when phosphorylated on Tyr-1196 (PubMed:10805725). Interacts with PLXNB1 (PubMed:15210733). Interacts (when phosphorylated on Tyr-1248) with MEMO1 (PubMed:15156151). Interacts with MUC1; the interaction is enhanced by heregulin (HRG) (PubMed:12939402). Interacts (when phosphorylated on Tyr-1139) with GRB7 (via SH2 domain) (PubMed:12975581). Interacts (when phosphorylated on Tyr-1248) with ERBIN (PubMed:12444095). Interacts with KPNB1, RANBP2, EEA1, CRM1 and CLTC (PubMed:16314522). Interacts with PTK6 (PubMed:18719096). Interacts with RPA194 and ACTB (PubMed:21555369). Interacts with PRKCABP, SRC and MYOC (By similarity). Interacts (preferentially with the tyrosine phosphorylated form) with CPNE3; this interaction occurs at the cell membrane and is increased in a growth factor heregulin-dependent manner (PubMed:20010870). Interacts with HSP90AA1 and HSP90AB1 in an ATP-dependent manner; the interaction suppresses ERBB2 kinase activity (PubMed:26517842).
Post-translational Modifications: Autophosphorylated. Autophosphorylation occurs in trans, i.e. one subunit of the dimeric receptor phosphorylates tyrosine residues on the other subunit (Probable). Ligand-binding increases phosphorylation on tyrosine residues (PubMed:27134172). Signaling via SEMA4C promotes phosphorylation at Tyr-1248 (PubMed:17554007). Dephosphorylated by PTPN12 (PubMed:27134172).
Similarity: Belongs to the protein kinase superfamily. Tyr protein kinase family. EGF receptor subfamily.
NCBI and Uniprot Product Information
Predicted: 138 kDa
Customer Reviews
Loading reviews...
Share Your Experience
Similar Products
Product Notes
The HER2/ErbB2 erbb2 (Catalog #AAA321332) is an Antibody produced from Rabbit and is intended for research purposes only. The product is available for immediate purchase. The Phospho-HER2/ErbB2 (Tyr1196) Antibody reacts with Human, Mouse and may cross-react with other species as described in the data sheet. AAA Biotech's HER2/ErbB2 can be used in a range of immunoassay formats including, but not limited to, IHC (Immunohistochemistry), WB (Western Blot). Researchers should empirically determine the suitability of the HER2/ErbB2 erbb2 for an application not listed in the data sheet. Researchers commonly develop new applications and it is an integral, important part of the investigative research process. It is sometimes possible for the material contained within the vial of "HER2/ErbB2, Polyclonal Antibody" to become dispersed throughout the inside of the vial, particularly around the seal of said vial, during shipment and storage. We always suggest centrifuging these vials to consolidate all of the liquid away from the lid and to the bottom of the vial prior to opening. Please be advised that certain products may require dry ice for shipping and that, if this is the case, an additional dry ice fee may also be required.Precautions
All products in the AAA Biotech catalog are strictly for research-use only, and are absolutely not suitable for use in any sort of medical, therapeutic, prophylactic, in-vivo, or diagnostic capacity. By purchasing a product from AAA Biotech, you are explicitly certifying that said products will be properly tested and used in line with industry standard. AAA Biotech and its authorized distribution partners reserve the right to refuse to fulfill any order if we have any indication that a purchaser may be intending to use a product outside of our accepted criteria.Disclaimer
Though we do strive to guarantee the information represented in this datasheet, AAA Biotech cannot be held responsible for any oversights or imprecisions. AAA Biotech reserves the right to adjust any aspect of this datasheet at any time and without notice. It is the responsibility of the customer to inform AAA Biotech of any product performance issues observed or experienced within 30 days of receipt of said product. To see additional details on this or any of our other policies, please see our Terms & Conditions page.Item has been added to Shopping Cart
If you are ready to order, navigate to Shopping Cart and get ready to checkout.
