Rabbit anti-Human, Mouse HIF1-alpha Polyclonal Antibody | anti-HIF1-alpha antibody
Rabbit anti-HIF1-alpha Antibody, Affinity Purified
Shelf Life: 1 year from date of receipt
WB (Western Blot)
(Detection of human HIF1 alpha by western blot. Samples: Whole cell lysate (50 ug) from HepG2 cells that were either treated with 200 uM cobalt chloride (+) or mock treated (-). Antibodies: Affinity purified rabbit anti-HIF1 alpha antibody AAA210862 (lot number AAA210862-7) used for WB at 0.04 ug/ml. Detection: Chemiluminescence with exposure times of 10 seconds. Lower Panel: Rabbit anti-COPB2 antibody .)
WB (Western Blot)
(Detection of mouse HIF1 alpha by western blot. Samples: Whole cell lysate (50 ug) from NIH3T33ells that were either treated with 200 uM cobalt chloride (+) or mock treated (-). Antibodies: Affinity purified rabbit anti-HIF1 alpha antibody AAA210862 (lot number AAA210862-7) used for WB at 0.04 ug/ml. Detection: Chemiluminescence with exposure times of 3 seconds. Lower Panel: Rabbit anti-COPB2 antibody .)
IP (Immunoprecipitation)
(Detection of human HIF1 alpha by western blot of immunoprecipitates. Samples: Whole cell lysate (1 mg for IP, 20% of IP loaded) from HepG2 cells that were treated with 200 uM cobalt chloride or untreated. Antibodies: Affinity purified rabbit anti-HIF1 alpha antibody AAA210862 (lot number AAA210862-7) used for WB at 0.04 ug/ml and for IP at 6 ug/mg lysate. Detection: Chemiluminescence with exposure times of 3 seconds.)
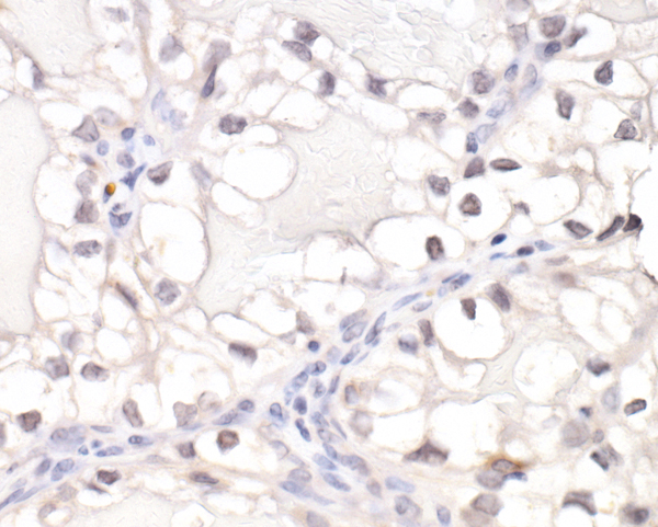
IHC (Immunohiostchemistry)
(Detection of human HIF1-alpha by immunohistochemistry. Sample: FFPE section of renal cell carcinoma. Antibody: Affinity purified rabbit anti-HIF1-alpha antibody (AAA210862) used at a dilution of 1:100 (2ug/ml). Detection: DAB)
ICC (Immunocytochemistry)
(Detection of human HIF1-alpha by immunocytochemistry. Sample: Formaldehyde-fixed asynchronous HeLa cells treated with 200 uM cobalt chloride (left) or mock treatment (right). Antibody: Affinity purified rabbit anti-HIF1-alpha antibody Cat. No. AAA210862 Lot6 (upper images) and AAA210862 Lot5 (lower images) used at a dilution of 1:100 (2ug/ml). Detection: Red-fluorescent goat anti-rabbit IgG-heavy and light chain cross-adsorbed Antibody DyLight 594 Conjugated . Counterstain: DAPI (blue) and fluorescent phalloidin (green).)
NCBI and Uniprot Product Information
Customer Reviews
Loading reviews...
Share Your Experience
Similar Products
Product Notes
The HIF1-alpha hif1a (Catalog #AAA210862) is an Antibody produced from Rabbit and is intended for research purposes only. The product is available for immediate purchase. The Rabbit anti-HIF1-alpha Antibody, Affinity Purified reacts with Human, Mouse and may cross-react with other species as described in the data sheet. AAA Biotech's HIF1-alpha can be used in a range of immunoassay formats including, but not limited to, ICC (Immunocytochemistry), IHC (Immunohistochemistry), IP (Immunoprecipitation), WB (Western Blot). Researchers should empirically determine the suitability of the HIF1-alpha hif1a for an application not listed in the data sheet. Researchers commonly develop new applications and it is an integral, important part of the investigative research process. It is sometimes possible for the material contained within the vial of "HIF1-alpha, Polyclonal Antibody" to become dispersed throughout the inside of the vial, particularly around the seal of said vial, during shipment and storage. We always suggest centrifuging these vials to consolidate all of the liquid away from the lid and to the bottom of the vial prior to opening. Please be advised that certain products may require dry ice for shipping and that, if this is the case, an additional dry ice fee may also be required.Precautions
All products in the AAA Biotech catalog are strictly for research-use only, and are absolutely not suitable for use in any sort of medical, therapeutic, prophylactic, in-vivo, or diagnostic capacity. By purchasing a product from AAA Biotech, you are explicitly certifying that said products will be properly tested and used in line with industry standard. AAA Biotech and its authorized distribution partners reserve the right to refuse to fulfill any order if we have any indication that a purchaser may be intending to use a product outside of our accepted criteria.Disclaimer
Though we do strive to guarantee the information represented in this datasheet, AAA Biotech cannot be held responsible for any oversights or imprecisions. AAA Biotech reserves the right to adjust any aspect of this datasheet at any time and without notice. It is the responsibility of the customer to inform AAA Biotech of any product performance issues observed or experienced within 30 days of receipt of said product. To see additional details on this or any of our other policies, please see our Terms & Conditions page.Item has been added to Shopping Cart
If you are ready to order, navigate to Shopping Cart and get ready to checkout.
