Rabbit anti-Human KAO Polyclonal Antibody | anti-KAO antibody
KAO antibody
Gene Names
AOC1; ABP; DAO; KAO; ABP1; DAO1
Reactivity
Human
Applications
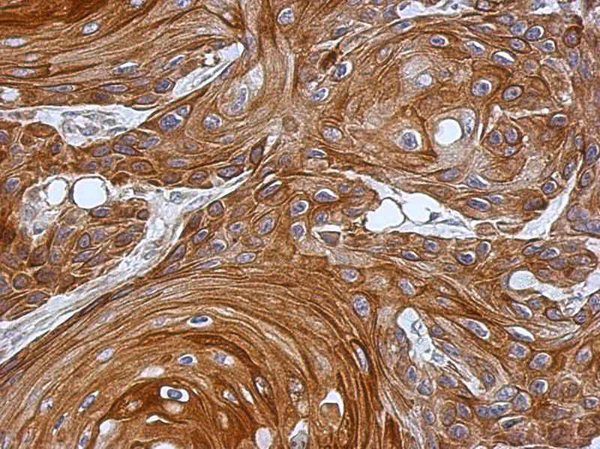
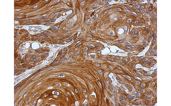
Immunohistochemistry, Western Blot
Purity
Purified by antigen-affinity chromatography.
Synonyms
KAO, Antibody; KAO antibody; anti-KAO antibody
Host
Rabbit
Reactivity
Human
Clonality
Polyclonal
Purity/Purification
Purified by antigen-affinity chromatography.
Form/Format
Supplied in 0.1M Tris-buffered saline with 10% Glycerol (pH7.0). 0.01% Thimerosal was added as a preservative.
Sequence Length
751
Applicable Applications for anti-KAO antibody
IHC (Immunohistochemistry), WB (Western Blot)
Immunogen Type
Recombinant protein
Immunogen Description
Recombinant protein fragment contain a sequence corresponding to a region within amino acids 1 and 149 of human ABP1
Target Name
KAO
Preparation and Storage
Store at -20 degree C for long term preservation (recommended). Store at 4 degree C for short term use.
Related Product Information for anti-KAO antibody
This gene encodes a membrane glycoprotein that is expressed in many epithelium-rich and/or hematopoietic tissues and oxidatively deaminates putrescine and histamine. The protein may play a role in controlling the level of histamine and/or putrescine in these tissues. It also binds to and is inhibited by amiloride, a diuretic that acts by closing epithelial sodium ion channels. [provided by RefSeq]
Product Categories/Family for anti-KAO antibody
NCBI and Uniprot Product Information
NCBI GI #
NCBI GeneID
NCBI Accession #
NCBI GenBank Nucleotide #
Molecular Weight
87,239 Da
NCBI Official Full Name
amiloride-sensitive amine oxidase
NCBI Official Synonym Full Names
amine oxidase, copper containing 1
NCBI Official Symbol
AOC1
NCBI Official Synonym Symbols
ABP; DAO; KAO; ABP1; DAO1
NCBI Protein Information
amiloride-sensitive amine oxidase [copper-containing]
UniProt Protein Name
Amiloride-sensitive amine oxidase [copper-containing]
UniProt Gene Name
AOC1
UniProt Synonym Gene Names
ABP1; DAO1; DAO; Diamine oxidase; KAO
UniProt Entry Name
AOC1_HUMAN
Customer Reviews
Loading reviews...
Share Your Experience
Similar Products
Product Notes
The KAO aoc1 (Catalog #AAA301044) is an Antibody produced from Rabbit and is intended for research purposes only. The product is available for immediate purchase. The KAO antibody reacts with Human and may cross-react with other species as described in the data sheet. AAA Biotech's KAO can be used in a range of immunoassay formats including, but not limited to, IHC (Immunohistochemistry), WB (Western Blot). Researchers should empirically determine the suitability of the KAO aoc1 for an application not listed in the data sheet. Researchers commonly develop new applications and it is an integral, important part of the investigative research process. It is sometimes possible for the material contained within the vial of "KAO, Polyclonal Antibody" to become dispersed throughout the inside of the vial, particularly around the seal of said vial, during shipment and storage. We always suggest centrifuging these vials to consolidate all of the liquid away from the lid and to the bottom of the vial prior to opening. Please be advised that certain products may require dry ice for shipping and that, if this is the case, an additional dry ice fee may also be required.Precautions
All products in the AAA Biotech catalog are strictly for research-use only, and are absolutely not suitable for use in any sort of medical, therapeutic, prophylactic, in-vivo, or diagnostic capacity. By purchasing a product from AAA Biotech, you are explicitly certifying that said products will be properly tested and used in line with industry standard. AAA Biotech and its authorized distribution partners reserve the right to refuse to fulfill any order if we have any indication that a purchaser may be intending to use a product outside of our accepted criteria.Disclaimer
Though we do strive to guarantee the information represented in this datasheet, AAA Biotech cannot be held responsible for any oversights or imprecisions. AAA Biotech reserves the right to adjust any aspect of this datasheet at any time and without notice. It is the responsibility of the customer to inform AAA Biotech of any product performance issues observed or experienced within 30 days of receipt of said product. To see additional details on this or any of our other policies, please see our Terms & Conditions page.Item has been added to Shopping Cart
If you are ready to order, navigate to Shopping Cart and get ready to checkout.
