Rabbit anti-Human, Mouse NIPSNAP3A Polyclonal Antibody | anti-NIPSNAP3A antibody
NIPSNAP3A Antibody
Gene Names
NIPSNAP3A; TASSC; HSPC299; NIPSNAP4
Reactivity
Human, Mouse
Applications
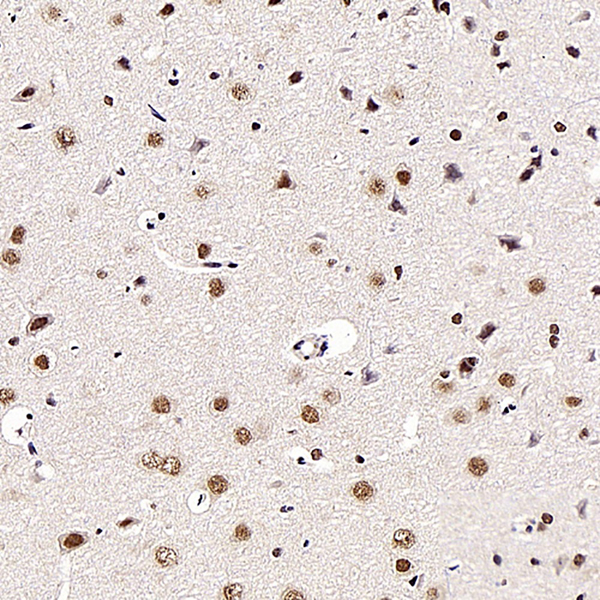
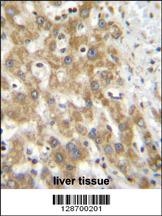
Immunohistochemistry, Western Blot, ELISA
Purity
Affinity chromatography purified via peptide column
Synonyms
NIPSNAP3A, Antibody; NIPSNAP3A Antibody; NIPSNAP3A, Non-neuronal SNAP25-like protein 3A, NIPSNAP4, TASSC; anti-NIPSNAP3A antibody
Host
Rabbit
Reactivity
Human, Mouse
Clonality
Polyclonal
Specificity
At least two isoforms of NIPSNAP3A are known to exist. NIPSNAP3A antibody is predicted to not cross-react with any other members of the NIPSNAP protein family.
Purity/Purification
Affinity chromatography purified via peptide column
Form/Format
Supplied in PBS containing 0.02% sodium azide.
Sequence Length
247
Applicable Applications for anti-NIPSNAP3A antibody
IHC (Immunohistochemistry), WB (Western Blot), ELISA
Immunogen Type
Peptide
Immunogen Description
Raised against a 16 amino acid peptide near the center of human NIPSNAP3A.
Target Name
NIPSNAP3A
Preparation and Storage
Can be stored at -20 degree C, stable for one year. As with all antibodies care should be taken to avoid repeated freeze thaw cycles. Antibodies should not be exposed to prolonged high temperatures.
Related Product Information for anti-NIPSNAP3A antibody
The NIPSNAP proteins comprise a family of evolutionarily well-conserved proteins with strong sequence similarity to the central portion of a protein encoded by C. elegans chromosome III between a 4-nitrophenylphosphatase (NIP) domain and non-neuronal SNAP25-like protein. NIPSNAP2, a novel gene encoding a protein with tyrosine phosphorylation sites and a transmembrane domain, is co-amplified with EGFR in approximately 40% of glioblastomas, the most common and malignant form of central nervous system tumors. While NIPSNAP3B is highly expressed skeletal muscle, NIPSNAP3A mRNA levels are low. NIPSNAP3A protein is associated with plasma membrane and partially localized in rafts. NIPSNAP proteins have been suggested to be important in vesicular transport.
Product Categories/Family for anti-NIPSNAP3A antibody
NCBI and Uniprot Product Information
NCBI GI #
NCBI GeneID
NCBI Accession #
NCBI GenBank Nucleotide #
Molecular Weight
28,467 Da
NCBI Official Full Name
protein NipSnap homolog 3A
NCBI Official Synonym Full Names
nipsnap homolog 3A (C. elegans)
NCBI Official Symbol
NIPSNAP3A
NCBI Official Synonym Symbols
TASSC; HSPC299; NIPSNAP4
NCBI Protein Information
protein NipSnap homolog 3A
UniProt Protein Name
Protein NipSnap homolog 3A
UniProt Gene Name
NIPSNAP3A
UniProt Synonym Gene Names
NIPSNAP4; NipSnap3A; NipSnap4; TassC
UniProt Entry Name
NPS3A_HUMAN
Customer Reviews
Loading reviews...
Share Your Experience
Similar Products
Product Notes
The NIPSNAP3A nipsnap3a (Catalog #AAA303092) is an Antibody produced from Rabbit and is intended for research purposes only. The product is available for immediate purchase. The NIPSNAP3A Antibody reacts with Human, Mouse and may cross-react with other species as described in the data sheet. AAA Biotech's NIPSNAP3A can be used in a range of immunoassay formats including, but not limited to, IHC (Immunohistochemistry), WB (Western Blot), ELISA. Researchers should empirically determine the suitability of the NIPSNAP3A nipsnap3a for an application not listed in the data sheet. Researchers commonly develop new applications and it is an integral, important part of the investigative research process. It is sometimes possible for the material contained within the vial of "NIPSNAP3A, Polyclonal Antibody" to become dispersed throughout the inside of the vial, particularly around the seal of said vial, during shipment and storage. We always suggest centrifuging these vials to consolidate all of the liquid away from the lid and to the bottom of the vial prior to opening. Please be advised that certain products may require dry ice for shipping and that, if this is the case, an additional dry ice fee may also be required.Precautions
All products in the AAA Biotech catalog are strictly for research-use only, and are absolutely not suitable for use in any sort of medical, therapeutic, prophylactic, in-vivo, or diagnostic capacity. By purchasing a product from AAA Biotech, you are explicitly certifying that said products will be properly tested and used in line with industry standard. AAA Biotech and its authorized distribution partners reserve the right to refuse to fulfill any order if we have any indication that a purchaser may be intending to use a product outside of our accepted criteria.Disclaimer
Though we do strive to guarantee the information represented in this datasheet, AAA Biotech cannot be held responsible for any oversights or imprecisions. AAA Biotech reserves the right to adjust any aspect of this datasheet at any time and without notice. It is the responsibility of the customer to inform AAA Biotech of any product performance issues observed or experienced within 30 days of receipt of said product. To see additional details on this or any of our other policies, please see our Terms & Conditions page.Item has been added to Shopping Cart
If you are ready to order, navigate to Shopping Cart and get ready to checkout.
