Rabbit p120 Polyclonal Antibody | anti-p120 antibody
p120 (Phospho-Tyr228) Polyclonal Antibody
Gene Names
CTNND1; CAS; p120; CTNND; P120CAS; P120CTN; p120(CAS); p120(CTN)
Reactivity
Human, Mouse, Rat
Applications
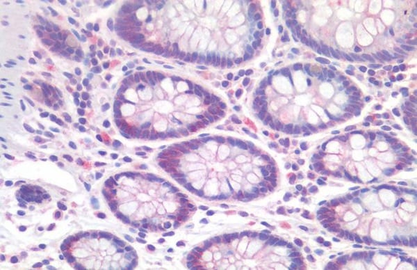
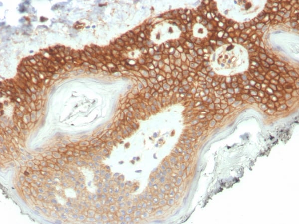
ELISA, Immunofluorescence, Immunohistochemistry, Western Blot
Purity
The antibody was affinity-purified from rabbit antiserum by affinity-chromatography using epitope-specific immunogen.
Synonyms
p120, Antibody; p120 (Phospho-Tyr228) Polyclonal Antibody; CTNND1; KIAA0384; Catenin delta-1; Cadherin-associated Src substrate; CAS; p120 catenin; p120(ctn); p120(cas); anti-p120 antibody
Host
Rabbit
Reactivity
Human, Mouse, Rat
Clonality
Polyclonal
Specificity
Phospho-p120 (Y228) Polyclonal Antibody detects endogenous levels of p120 protein only when phosphorylated at Y228.
Purity/Purification
The antibody was affinity-purified from rabbit antiserum by affinity-chromatography using epitope-specific immunogen.
Form/Format
Liquid in PBS containing 50% glycerol, 0.5% BSA and 0.02% sodium azide.
Concentration
1 mg/ml (varies by lot)
Sequence Length
968
Applicable Applications for anti-p120 antibody
ELISA, IF (Immunofluorescence), IHC (Immunohistochemistry), WB (Western Blot)
Immunogen Type
peptide
Immunogen Description
Synthesized peptide derived from human p120 around the phosphorylation site of Y228.
Modification
Phospho-Tyr228
Target Species
Human
Target Name
p120
Preparation and Storage
Store at -20 degree C/1 year
Product Categories/Family for anti-p120 antibody
NCBI and Uniprot Product Information
NCBI GI #
NCBI GeneID
NCBI Accession #
NCBI GenBank Nucleotide #
UniProt Accession #
Molecular Weight
65,641 Da
NCBI Official Full Name
catenin delta-1 isoform 1ABC
NCBI Official Synonym Full Names
catenin (cadherin-associated protein), delta 1
NCBI Official Symbol
CTNND1
NCBI Official Synonym Symbols
CAS; p120; CTNND; P120CAS; P120CTN; p120(CAS); p120(CTN)
NCBI Protein Information
catenin delta-1
UniProt Protein Name
Catenin delta-1
UniProt Gene Name
CTNND1
UniProt Synonym Gene Names
KIAA0384; CAS; p120(ctn)
UniProt Entry Name
CTND1_HUMAN
Customer Reviews
Loading reviews...
Share Your Experience
Similar Products
Product Notes
The p120 ctnnd1 (Catalog #AAA306955) is an Antibody produced from Rabbit and is intended for research purposes only. The product is available for immediate purchase. The p120 (Phospho-Tyr228) Polyclonal Antibody reacts with Human, Mouse, Rat and may cross-react with other species as described in the data sheet. AAA Biotech's p120 can be used in a range of immunoassay formats including, but not limited to, ELISA, IF (Immunofluorescence), IHC (Immunohistochemistry), WB (Western Blot). Researchers should empirically determine the suitability of the p120 ctnnd1 for an application not listed in the data sheet. Researchers commonly develop new applications and it is an integral, important part of the investigative research process. It is sometimes possible for the material contained within the vial of "p120, Polyclonal Antibody" to become dispersed throughout the inside of the vial, particularly around the seal of said vial, during shipment and storage. We always suggest centrifuging these vials to consolidate all of the liquid away from the lid and to the bottom of the vial prior to opening. Please be advised that certain products may require dry ice for shipping and that, if this is the case, an additional dry ice fee may also be required.Precautions
All products in the AAA Biotech catalog are strictly for research-use only, and are absolutely not suitable for use in any sort of medical, therapeutic, prophylactic, in-vivo, or diagnostic capacity. By purchasing a product from AAA Biotech, you are explicitly certifying that said products will be properly tested and used in line with industry standard. AAA Biotech and its authorized distribution partners reserve the right to refuse to fulfill any order if we have any indication that a purchaser may be intending to use a product outside of our accepted criteria.Disclaimer
Though we do strive to guarantee the information represented in this datasheet, AAA Biotech cannot be held responsible for any oversights or imprecisions. AAA Biotech reserves the right to adjust any aspect of this datasheet at any time and without notice. It is the responsibility of the customer to inform AAA Biotech of any product performance issues observed or experienced within 30 days of receipt of said product. To see additional details on this or any of our other policies, please see our Terms & Conditions page.Item has been added to Shopping Cart
If you are ready to order, navigate to Shopping Cart and get ready to checkout.
