Rabbit PPP1CA + 1CB Polyclonal Antibody | anti-PPP1CA antibody
PPP1CA + 1CB Antibody
Phosphate buffered saline, pH 7.4, 150mM NaCl, 0.02% sodium azide and 50% glycerol.
IF (Immunofluorescence)
(AAA323693 staining HepG2 by IF/ICC. The sample were fixed with PFA and permeabilized in 0.1% Triton X-100, then blocked in 10% serum for 45 minutes at 25 degree C. The primary antibody was diluted at 1/200 and incubated with the sample for 1 hour at 37 degree C. An Alexa Fluor 594 conjugated goat anti-rabbit IgG (H+L) Ab, diluted at 1/600, was used as the secondary antibody.)
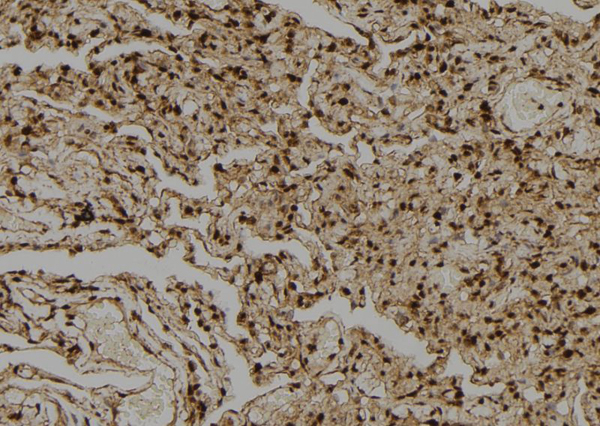
IHC (Immunohistochemistry)
(AAA323693 at 1/100 staining Human lung tissue by IHC-P. The sample was formaldehyde fixed and a heat mediated antigen retrieval step in citrate buffer was performed. The sample was then blocked and incubated with the antibody for 1.5 hours at 22 degree C. An HRP conjugated goat anti-rabbit antibody was used as the secondary.)
Subunit Structure: PP1 comprises a catalytic subunit, PPP1CA, PPP1CB or PPP1CC, which is folded into its native form by inhibitor 2 and glycogen synthetase kinase 3, and then complexed to one or several targeting or regulatory subunits. PPP1R12A, PPP1R12B and PPP1R12C mediate binding to myosin. PPP1R3A (in skeletal muscle), PPP1R3B (in liver), PPP1R3C, PPP1R3D and PPP1R3F (in brain) mediate binding to glycogen. Interacts with PPP1R39 (By similarity). Interacts with BTBD10 (By similarity). Interacts with KCTD20 (By similarity). Interacts with PPP1R9A and PPP1R9B. Part of a complex containing PPP1R15B, PP1 and NCK1/2. Interacts with PHACTR4; which acts as an activator of PP1 activity (By similarity). Interacts with PPP1R15A and PPP1R15B; the interactions mediate binding to EIF2S1. Interacts with PPP1R7. Interacts with YLPM1. Forms a complex with ILF2, ILF3, YLPM1, KHDRBS1, RBMX and NCOA5. Interacts with NOM1 and PPP1R8. Interacts with HHV-1 ICP34.5. Interacts with PPP1R16B. Interacts with RPSA only in the presence of PPP1R16B. Component of the PTW/PP1 phosphatase complex, composed of PPP1R10/PNUTS, TOX4, WDR82, and PPP1CA or PPP1CB or PPP1CC. Interacts with PPP1R10/PNUTS and PPP1R8. Interacts with WDR82 in the presence of PPP1R10/PNUTS. Interacts with TRIM28; the interaction dephosphorylates TRIM28 on 'Ser-824' and forms a complex at the p21 promoter site. Interacts with isoform 1 and isoform 4 of NEK2. Interacts with FER; this promotes phosphorylation at Thr-320. Interacts with DAB2; the interaction is mutually exclusive with the AXIN1:PPP1CA interaction. Interacts with FOXP3 (PubMed:23396208). Interacts with CENPA (PubMed:25556658). Interacts with ATG16L1 (PubMed:26083323).
Post-translational Modifications: Phosphorylated. Dephosphorylated at Thr-320 in the presence of ionizing radiation.
Similarity: Belongs to the PPP phosphatase family. PP-1 subfamily.
NCBI and Uniprot Product Information
Predicted: 38 kDa
Customer Reviews
Loading reviews...
Share Your Experience
Similar Products
Product Notes
The PPP1CA ppp1ca (Catalog #AAA323693) is an Antibody produced from Rabbit and is intended for research purposes only. The product is available for immediate purchase. The PPP1CA + 1CB Antibody reacts with Human, Mouse, Rat and may cross-react with other species as described in the data sheet. AAA Biotech's PPP1CA + 1CB can be used in a range of immunoassay formats including, but not limited to, ELISA, ICC (Immunocytochemistry), IF (Immunofluorescence), IHC (Immunohistochemistry), WB (Western Blot). Researchers should empirically determine the suitability of the PPP1CA ppp1ca for an application not listed in the data sheet. Researchers commonly develop new applications and it is an integral, important part of the investigative research process. It is sometimes possible for the material contained within the vial of "PPP1CA + 1CB, Polyclonal Antibody" to become dispersed throughout the inside of the vial, particularly around the seal of said vial, during shipment and storage. We always suggest centrifuging these vials to consolidate all of the liquid away from the lid and to the bottom of the vial prior to opening. Please be advised that certain products may require dry ice for shipping and that, if this is the case, an additional dry ice fee may also be required.Precautions
All products in the AAA Biotech catalog are strictly for research-use only, and are absolutely not suitable for use in any sort of medical, therapeutic, prophylactic, in-vivo, or diagnostic capacity. By purchasing a product from AAA Biotech, you are explicitly certifying that said products will be properly tested and used in line with industry standard. AAA Biotech and its authorized distribution partners reserve the right to refuse to fulfill any order if we have any indication that a purchaser may be intending to use a product outside of our accepted criteria.Disclaimer
Though we do strive to guarantee the information represented in this datasheet, AAA Biotech cannot be held responsible for any oversights or imprecisions. AAA Biotech reserves the right to adjust any aspect of this datasheet at any time and without notice. It is the responsibility of the customer to inform AAA Biotech of any product performance issues observed or experienced within 30 days of receipt of said product. To see additional details on this or any of our other policies, please see our Terms & Conditions page.Item has been added to Shopping Cart
If you are ready to order, navigate to Shopping Cart and get ready to checkout.
