Rabbit PRKAR1A Polyclonal Antibody | anti-PRKAR1A antibody
PRKAR1A Antibody
Phosphate buffered saline, pH 7.4, 150mM NaCl, 0.02% sodium azide and 50% glycerol.
IF (Immunofluorescence)
(AAA325924 staining HepG2 cells by IF/ICC. The sample were fixed with PFA and permeabilized in 0.1% Triton X-100, then blocked in 10% serum for 45 minutes at 25 degree C. The primary antibody was diluted at 1/200 and incubated with the sample for 1 hour at 37 degree C. An Alexa Fluor 594 conjugated goat anti-rabbit IgG (H+L) antibody, diluted at 1/600, was used as secondary antibody.)
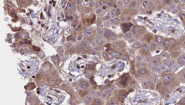
IHC (Immunohiostchemistry)
(AAA325924 at 1/100 staining Human liver cancer tissue by IHC-P. The sample was formaldehyde fixed and a heat mediated antigen retrieval step in citrate buffer was performed. The sample was then blocked and incubated with the antibody for 1.5 hours at 22 degree C. An HRP conjugated goat anti-rabbit antibody was used as the secondary.)
WB (Western Blot)
(Western blot analysis of A549 whole cell lysates, using PRKAR1A Antibody. The lane on the left is treated with the antigen-specific peptide.)
Function: Regulatory subunit of the cAMP-dependent protein kinases involved in cAMP signaling in cells.
Subunit Structure: The inactive holoenzyme is composed of two regulatory chains and two catalytic chains. Activation by cAMP releases the two active catalytic monomers and the regulatory dimer. PRKAR1A also interacts with RFC2; the complex may be involved in cell survival. Interacts with AKAP4. Interacts with RARA; the interaction occurs in the presence of cAMP or FSH and regulates RARA transcriptional activity. Interacts with the phosphorylated form of PJA2. Interacts with CBFA2T3 (By similarity). Interacts with PRKX; regulates this cAMP-dependent protein kinase. Interacts with C2orf88/smAKAP; this interaction may target PRKAR1A to the plasma membrane. Interacts with AICDA.
Post-translational Modifications: The pseudophosphorylation site binds to the substrate-binding region of the catalytic chain, resulting in the inhibition of its activity.
Similarity: Belongs to the cAMP-dependent kinase regulatory chain family.
NCBI and Uniprot Product Information
Predicted: 43 kDa
Customer Reviews
Loading reviews...
Share Your Experience
Similar Products
Product Notes
The PRKAR1A prkar1a (Catalog #AAA325924) is an Antibody produced from Rabbit and is intended for research purposes only. The product is available for immediate purchase. The PRKAR1A Antibody reacts with Human, Mouse, Rat and may cross-react with other species as described in the data sheet. AAA Biotech's PRKAR1A can be used in a range of immunoassay formats including, but not limited to, ELISA, ICC (Immunocytochemistry), IF (Immunofluorescence), IHC (Immunohistochemistry), WB (Western Blot). Researchers should empirically determine the suitability of the PRKAR1A prkar1a for an application not listed in the data sheet. Researchers commonly develop new applications and it is an integral, important part of the investigative research process. It is sometimes possible for the material contained within the vial of "PRKAR1A, Polyclonal Antibody" to become dispersed throughout the inside of the vial, particularly around the seal of said vial, during shipment and storage. We always suggest centrifuging these vials to consolidate all of the liquid away from the lid and to the bottom of the vial prior to opening. Please be advised that certain products may require dry ice for shipping and that, if this is the case, an additional dry ice fee may also be required.Precautions
All products in the AAA Biotech catalog are strictly for research-use only, and are absolutely not suitable for use in any sort of medical, therapeutic, prophylactic, in-vivo, or diagnostic capacity. By purchasing a product from AAA Biotech, you are explicitly certifying that said products will be properly tested and used in line with industry standard. AAA Biotech and its authorized distribution partners reserve the right to refuse to fulfill any order if we have any indication that a purchaser may be intending to use a product outside of our accepted criteria.Disclaimer
Though we do strive to guarantee the information represented in this datasheet, AAA Biotech cannot be held responsible for any oversights or imprecisions. AAA Biotech reserves the right to adjust any aspect of this datasheet at any time and without notice. It is the responsibility of the customer to inform AAA Biotech of any product performance issues observed or experienced within 30 days of receipt of said product. To see additional details on this or any of our other policies, please see our Terms & Conditions page.Item has been added to Shopping Cart
If you are ready to order, navigate to Shopping Cart and get ready to checkout.
