Rabbit anti-Human, Rat PRKAR1A Polyclonal Antibody | anti-PRKAR1A antibody
Anti-PRKAR1A Antibody
Each vial contains 5mg BSA, 0.9mg NaCl, 0.2mg Na2HPO4, 0.05mg NaN3.
By Heat: Boiling the paraffin sections in 10mM citrate buffer, pH6.0, for 20mins is required for the staining of formalin/paraffin sections.
Other applications have not been tested.
IHC (Immunohistochemistry)
(PRKAR1A was detected in paraffin-embedded sections of human lung cancer tissues using rabbit anti- PRKAR1A Antigen Affinity purified polyclonal antibody at 1ug/mL. The immunohistochemical section was developed using SABC method.)
IHC (Immunohistochemisry)
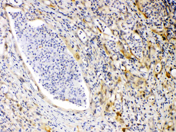
(PRKAR1A was detected in paraffin-embedded sections of human intestinal cancer tissues using rabbit anti- PRKAR1A Antigen Affinity purified polyclonal antibody at 1ug/mL. The immunohistochemical section was developed using SABC method.)
IHC (Immunohiostchemistry)
(PRKAR1A was detected in paraffin-embedded sections of rat testis tissues using rabbit anti- PRKAR1A Antigen Affinity purified polyclonal antibody at 1ug/mL. The immunohistochemical section was developed using SABC method.)
WB (Western Blot)
(Western blot analysis of PRKAR1A expression in rat thymus extract (lane 1), HEPG-2 whole cell lysates (lane 2) and MCF-7 whole cell lysates (lane 3). PRKAR1A at 48KD was detected using rabbit anti- PRKAR1A Antigen Affinity purified polyclonal antibody at 0.5ug/mL. The blot was developed using chemiluminescence (ECL) method.)
Background: cAMP-dependent protein kinase type I-alpha regulatory subunit is an enzyme that in humans is encoded by the PRKAR1A gene. This protein encoded by this gene was found to be a tissue-specific extinguisher that down-regulates the expression of seven liver genes in hepatoma x fibroblast hybrids. Mutations in this gene cause Carney complex (CNC). This gene can fuse to the RET protooncogene by gene rearrangement and form the thyroid tumor-specific chimeric oncogene known as PTC2. A nonconventional nuclear localization sequence (NLS) has been found for this protein which suggests a role in DNA replication via the protein serving as a nuclear transport protein for the second subunit of the Replication Factor C (RFC40). Several alternatively spliced transcript variants encoding two different isoforms have been observed.
2. Scambler P, Oyen O, Wainwright B, Farrall M, Law HY, Estivill X, Sandberg M, Williamson R, Jahnsen T (December 1987). "Exclusion of catalytic and regulatory subunits of cAMP-dependent protein kinase as candidate genes for the defect causing cystic fibrosis". Am J Hum Genet. 41 (5): 925-32.
NCBI and Uniprot Product Information
Customer Reviews
Loading reviews...
Share Your Experience
Similar Products
Product Notes
The PRKAR1A prkar1a (Catalog #AAA46723) is an Antibody produced from Rabbit and is intended for research purposes only. The product is available for immediate purchase. The Anti-PRKAR1A Antibody reacts with Human, Rat and may cross-react with other species as described in the data sheet. AAA Biotech's PRKAR1A can be used in a range of immunoassay formats including, but not limited to, IHC (Immunohistochemistry), WB (Western Blot). Researchers should empirically determine the suitability of the PRKAR1A prkar1a for an application not listed in the data sheet. Researchers commonly develop new applications and it is an integral, important part of the investigative research process. It is sometimes possible for the material contained within the vial of "PRKAR1A, Polyclonal Antibody" to become dispersed throughout the inside of the vial, particularly around the seal of said vial, during shipment and storage. We always suggest centrifuging these vials to consolidate all of the liquid away from the lid and to the bottom of the vial prior to opening. Please be advised that certain products may require dry ice for shipping and that, if this is the case, an additional dry ice fee may also be required.Precautions
All products in the AAA Biotech catalog are strictly for research-use only, and are absolutely not suitable for use in any sort of medical, therapeutic, prophylactic, in-vivo, or diagnostic capacity. By purchasing a product from AAA Biotech, you are explicitly certifying that said products will be properly tested and used in line with industry standard. AAA Biotech and its authorized distribution partners reserve the right to refuse to fulfill any order if we have any indication that a purchaser may be intending to use a product outside of our accepted criteria.Disclaimer
Though we do strive to guarantee the information represented in this datasheet, AAA Biotech cannot be held responsible for any oversights or imprecisions. AAA Biotech reserves the right to adjust any aspect of this datasheet at any time and without notice. It is the responsibility of the customer to inform AAA Biotech of any product performance issues observed or experienced within 30 days of receipt of said product. To see additional details on this or any of our other policies, please see our Terms & Conditions page.Item has been added to Shopping Cart
If you are ready to order, navigate to Shopping Cart and get ready to checkout.
